Cookie Consent byPrivacyPolicies.comAhhhh, la famille...... - Eugenol

Ahhhh, la famille......

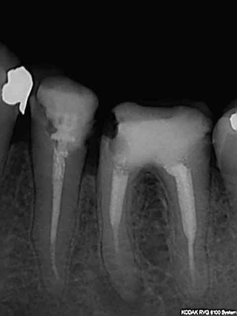
endo29

31/05/2012 à 16h28

Soigné mon beauf pulpec 17 (pète c... mais ca s'est bien passé........)
La 27 pas du tout dans la meme config, 4 racines 2 vestibulaires et 2 palatines.
Bilan sx pété dans la mésio - palatine (ca faisit une éternité que ca ne m'était pas arrivé) et racine disto-vestibulaire résorbée par la 8 (j'ai cru qu'en plus j'avais fait un faux canal).

R39 odka5n - Eugenol
R22 chifmv - Eugenol

Monsieur Poupi

31/05/2012 à 17h11

ça ne fait pas longtemps que je travaille, et j’espère que ça ne va pas continuer, mais les deux seuls instruments que j'ai pétés, c'est dans un ami et un membre de ma famille... je crois que c'est pareil pour tout le monde...
sinon je trouve le résultat très joli pour la première.
Tu pense avoir une herméticité sur la racine résorbée? l’extraction de la 8 est prévue ?


Capture d  cran 2015 03 12 12.28 - Eugenol
chicot29

31/05/2012 à 17h17

Gutta condensée au machtou à chaud. On verra pour la 8.... Un coup à l'envoyer dans le sinus)))). sinon les 2 sx je vais me brosser sans microscope....


Nounours 2010 002 frkvqz - Eugenol
tarin

31/05/2012 à 20h12

J'ai 38 ans d'exercice au compteur, et la seule hémorragie sérieuse que j'ai dû affronter, c'est aprés une extraction de 42 sur mon oncle!


malimor33

31/05/2012 à 20h32

Perforation du plancher de 27 lors d'une pulpec sur ma belle soeur au tout début de mon exercice il y a...je ne m'en souviens même plus mais ça marque, ça s'est terminé par une extrac. Sinon pas d'autres merdes sur la famille. Sur des patents, oui, hélas, fractures d'instruments rotatifs quand j'ai commencé à les utiliser, j'appuyais trop,faut pas appuyer. Maintenant j'y vais comme sur des oeufs


77DocA

01/06/2012 à 00h23

Paresthésie nerf lingual pendant 2 mois après une tronculaire, qui mise plus?


Smile beach jgh0a1 - Eugenol
Céramik

01/06/2012 à 01h19

endo29 écrivait:
----------------
> Soigné mon beauf pulpec 17 (pète c... mais ca s'est bien passé........)
> La 27 pas du tout dans la meme config, 4 racines 2 vestibulaires et 2 palatines.
> Bilan sx pété dans la mésio - palatine (ca faisit une éternité que ca ne m'était
> pas arrivé) et racine disto-vestibulaire résorbée par la 8 (j'ai cru qu'en plus
> j'avais fait un faux canal).



Cher endo29... Le 2e cas, avec la 26 moche, la 27 encore plus : la 28 lui a bouffé une racine, c'était un cas d'exo, non ?

--
Céramik


Capture d  cran 2015 03 12 12.28 - Eugenol
chicot29

01/06/2012 à 01h21

Ma grand mère sous ticlid, impossible à arrêter l’hémorragie après extrac, direction les urgences.....


Capture d  cran 2015 03 12 12.28 - Eugenol
chicot29

01/06/2012 à 01h27

Céramik écrivait:
-----------------
> endo29 écrivait:
> ----------------
> > Soigné mon beauf pulpec 17 (pète c... mais ca s'est bien passé........)
> > La 27 pas du tout dans la meme config, 4 racines 2 vestibulaires et 2
> palatines.
> > Bilan sx pété dans la mésio - palatine (ca faisit une éternité que ca ne
> m'était
> > pas arrivé) et racine disto-vestibulaire résorbée par la 8 (j'ai cru qu'en
> plus
> > j'avais fait un faux canal).
>
>
>
> Cher endo29... Le 2e cas, avec la 26 moche, la 27 encore plus : la 28 lui a
> bouffé une racine, c'était un cas d'exo, non ?
>
> --
> Céramik


26 extraite dans la foulée (j'ai viré la merde de screw-post amalgame qui tenait à un fil pour m’apercevoir qu'elle était fracturée dans le sens mésio-distal) pour le reste , stand- by et un ou deux clous à prévoir.)
Mmmmm, la suite RTE 36 avec pèche sur le mésial (quoique j'hésite à perturber le fragile équilibre d'un 4eme, avec ce qui s'est passé en face.....)l'avantage c'est que la 26 n'est plus là car la bouse d'amalgame avait gagné son duel d'usure sur la bouse de composite.)
Noter au passage l'évolution de la dentisterie française, on est passé du screw post amalgame au screw post composite, on arrête pas le progrès, c'est plus joli et moins toxique ! !))))


R5 bbmcuw - Eugenol

Smile beach jgh0a1 - Eugenol
Céramik

01/06/2012 à 05h33

et le joli amalgame qui déborde dans la gencive, les matrices, ça existent pas encore ?

--
Céramik


South park   craig te7bfk - Eugenol
CRAIG

01/06/2012 à 07h29

Les matrices?...Quoi c'est que ça?...(la tournure linguistique fait bien "québecoise"?...)

Nous on connait "Matrix" en France....C'est quoi "Matrice" ?....La version québécoise?....Avec votre manie de tout franciser...


Céramik écrivait:
-----------------
> et le joli amalgame qui déborde dans la gencive, les matrices, ça existent pas
> encore ?
>
> --
> Céramik


Blocperso talon jer3sl - Eugenol
mrquentin

01/06/2012 à 13h21

mmm il me semble que j'extraierai la 36
- plancher plus que fin
épaisseur de la racine mésiale en interradiculaire hyyyyyper mince d'après la radio, et déposer un screw post composite, ca va t'obliger à fraiser de la paroi....
outre la difficulté technique du RTE, je pense que la reconstruction d'une telle dent, probablement à l'aide d'un IC , aura raison des minces parois restantes


Bagheera tudzjy - Eugenol
bagheerra

01/06/2012 à 18h34

http://www.eugenol.com/sujets/396979-marre-marre-de-mes-proches


Maké

14/06/2012 à 12h46

J'ai pas beaucoup de kilomètres canalaires au compteur mais la SEULE perfo que j'ai faite c'est sur ma mère sur 26. Perforation du plancher ENORME. J'ai pas compris comment j'ai fais ça. Extraction. J'ai très mal dormis après...mais elle m'en voulait pas! Ahh les mamans!