Cookie Consent byPrivacyPolicies.comCas clinique : E-max monobloc antérieures - Eugenol

Cas clinique : E-max monobloc antérieures

Bagheera tudzjy - Eugenol
bagheerra

16/06/2012 à 13h20

Je poste mon premier cas clinique sur Eugénol (il paraît que ça manque, en ce moment), avec mon premier traitement de cette importance en antérieur : 5 E-max monobloc

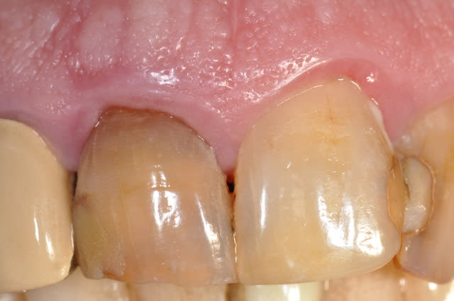
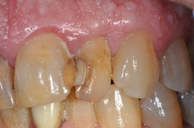
Le patient est motivé uniquement par la couleur de ses "dents de devant". 13-12-11-22 sont dépulpées, seule 21 est vivante. J'ai tenté un éclaircissement interne sur 21, sans grand résultat. Choix de l'emax monobloc pour des raisons financières. J'ai hésité à ne faire qu'une facette sur 21, j'aurai sans doute du.

Première séance : préparations (y compris dépose de la CCM sur 12), provisoires, photos.
Deuxième séance : reprises des endos nécessaires, réfections des FM.
Troisième séance : empreinte.
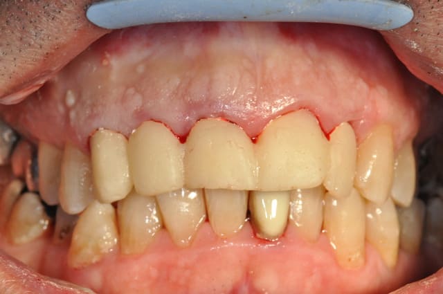
Quatrième séance : essayage, collage au Panavia, photos.

A vos critiques !

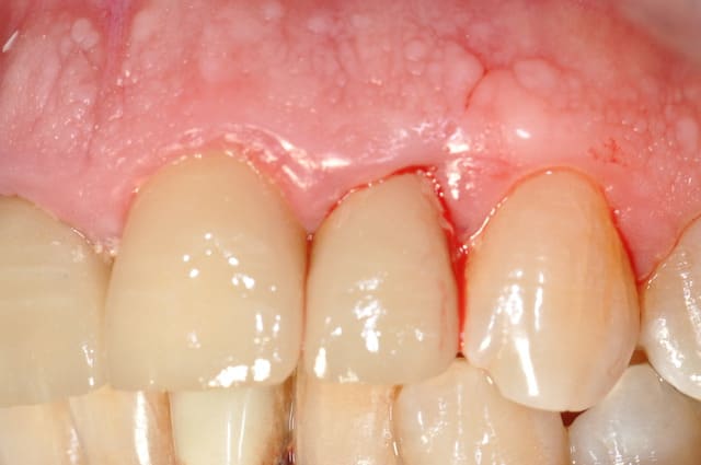
NB : Les photos sont apparues dans le désordre. Le jour de la pose, il y a un saignement sulculaire sur 22 provoqué par la dépose des excès de colle.

Dsc 0397 diwcg5 - Eugenol
Dsc 0073 aaltey - Eugenol
Dsc 0074 rmklgt - Eugenol
Dsc 0075 dyzc8d - Eugenol
Dsc 0076 g0bir1 - Eugenol
Dsc 0079 a3ixig - Eugenol
Dsc 0341 zhu0ml - Eugenol
Dsc 0390 g1iaks - Eugenol
Dsc 0391 ipd1yc - Eugenol
Dsc 0393 llobx0 - Eugenol
Dsc 0395 o42wwm - Eugenol
Dsc 0396 bx5xdz - Eugenol

200106 10150128247663588 709988587 6466236 5598391 n d7mksb - Eugenol
hallboy

16/06/2012 à 13h30

tres sympa l'Emax; mm monobloc. j'aurasi bien aimé voir lempreinte.


Gaudi parc guell lezard  ntokms - Eugenol
lezard

16/06/2012 à 13h49

Belle réussite

Question sans doute innocente:
Qu'est ce que tu appelles mono bloc, je fais des Emax qui ressemblent beaucoup aux tiennes, existe-il d'autres types d'Emax, mon prothé m'aurai menti ??



Bagheera tudzjy - Eugenol
bagheerra

16/06/2012 à 13h58

lezard écrivait:
----------------
> Belle réussite
>
> Question sans doute innocente:
> Qu'est ce que tu appelles mono bloc, je fais des Emax qui ressemblent beaucoup
> aux tiennes, existe-il d'autres types d'Emax, mon prothé m'aurai menti ??
>
>

Merci.
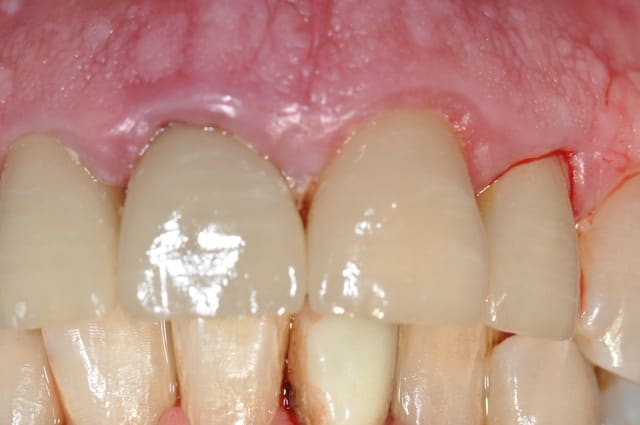
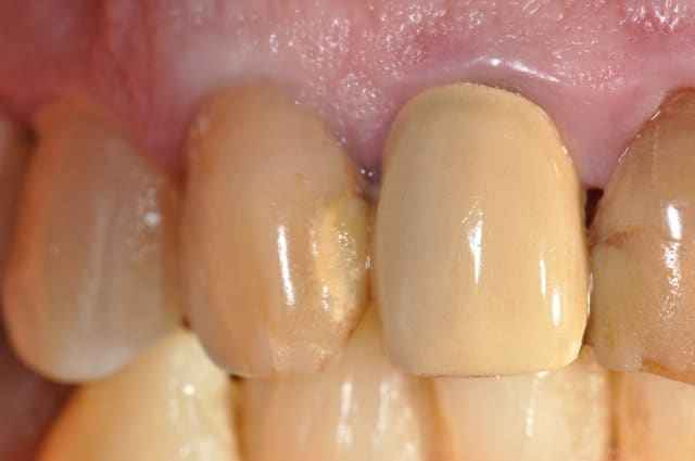
L'Emax monobloc est une couronne en céramique pressée à partir d'un seul lingotin. Une seule teinte, juste un maquillage de surface et un glaçage. Cest donc assez basique même si c'est plus solide.
L'alternative est l'Emax stratifié : armature en Emax, céramique cosmétique stratifiée par dessus, comme une CCM. Normalement, c'est le top, et c'est nécessaire quand tu as par exemple une seule centrale à faire avec l'adjascente naturelle très caractérisée (translucidité du bord libre, opalescence, collet plus saturé, etc.)


Bagheera tudzjy - Eugenol
bagheerra

16/06/2012 à 13h58

hallboy écrivait:
-----------------
> tres sympa l'Emax; mm monobloc. j'aurasi bien aimé voir lempreinte.

Ouf, juste avant qu'elle parte à la poubelle.
Double mélange classique Atoprint Platinium +, Expasyl.

Dsc 0398 eoms9e - Eugenol

Gaudi parc guell lezard  ntokms - Eugenol
lezard

16/06/2012 à 15h10

bagheerra écrivait:
-------------------
> lezard écrivait:
> ----------------

> Merci.
> L'Emax monobloc est une couronne en céramique pressée à partir d'un seul
> lingotin. Une seule teinte, juste un maquillage de surface et un glaçage. Cest
> donc assez basique même si c'est plus solide.
> L'alternative est l'Emax stratifié : armature en Emax, céramique cosmétique
> stratifiée par dessus, comme une CCM. Normalement, c'est le top, et c'est
> nécessaire quand tu as par exemple une seule centrale à faire avec l'adjascente
> naturelle très caractérisée (translucidité du bord libre, opalescence, collet
> plus saturé, etc.)


Merci pour l'info, faut que j'en parle à mon labo, ils me facturent l'Emax seulement 4 € de plus que la céram monocuisson, c'est sans doute une monobloc.


YalonPowa

16/06/2012 à 15h38

Les récentes études montrent que la monobloc emax est aussi solide qu'une zircone.

La startifiée est plus fragile.

En ce qui me concerne, le maquillage est plus visible qu'une stratifiée qui perd un peu de son dégradée une fois collée.

Mon proto me facture la monobloc aussi cher qu'une stratifiée. Il parait que le travail demandé est le même et qu'il passe tout aussi longtemps à la faire.


roucoulou

16/06/2012 à 15h38

Est-ce que tu as suivi des formations particulières sur l'esthétique ?
Ca peut paraitre idiot mais je ne sens pas capable d'obtenir les mêmes résultats, je fais beaucoup de ccm mais je n'ose pas passer au tout céram.


YalonPowa

16/06/2012 à 15h42

En ce qui concerne les critiques, parcequ'il en faut.

Je pense que tu t'en tire pas mal car le maquillage est un peu opaque et cache ce qu'il y a en dessous.

Mais si tu fais stratifié, il vaut mieux demander une chappe opaque (HO) pour cacher toutes les differences de teinte sur les dents et avoir un truc plus unis.

Belles photos !


Grumpy cat ifik8s - Eugenol
radich_a_tord

16/06/2012 à 16h13

roucoulou écrivait:
-------------------
> Est-ce que tu as suivi des formations particulières sur l'esthétique ?
> Ca peut paraitre idiot mais je ne sens pas capable d'obtenir les mêmes
> résultats, je fais beaucoup de ccm mais je n'ose pas passer au tout céram.

En achetant ce bouquin : http://www.information-dentaire.fr/boutique/librairie-revue-detail.php?produit=432

tu auras une bonne base de départ dans le monde du tout céramique. Infos sur les matériaux, les spécificités de préparation, le mode d'assemblage par collage, etc


Bebe 038 nf8eum - Eugenol
danteyeah

16/06/2012 à 16h33

Bon, pas une seule critique pour l'instant , faut bien qu'il y en ai un qui si colle, et qui va bien évidement se faire incendier, tant pis.

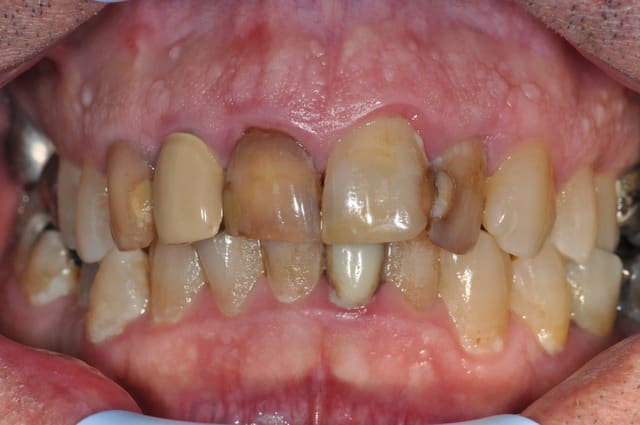
Deux choses me gène dans ce cas, et ce n'est pas les Emax, au demeurant tout à fait correctes . Non ce qui me gène c'est la gestion de la paro, de l'hygiène dans un premier temps qui laisse sérieusement à désirer et la gencive sulculaire de la 11 qui présente un oedème et une coloration plus marqué en post-op qu'en pré-op: un deuxième jeu de provisoire, une gingivoplastie et une hygiène rigoureuse auraient amélioré la situation.

Ensuite, il n'y a peut être pas de problème de ce coté là, mais l'occlusion des blocs postérieurs est inquiétante (occlusion croisée, endoclusie des prémolaires supérieures), si le calage et le fonctionnement des blocs postérieurs est défaillant, il pourrait y avoir des compensation en antérieures délétère pour les jolies Emax: As-tu bien analysé l'occlusion avant de faire ta proposition esthétique, car il est possible qu'un traitement plus global puisse être nécessaire (que du conditionnel, et des suppositions....je marche sur des oeufs, je me suis suffisamment fait allumer auparavant :-)).

Un truc par contre qu'il faut noter, c'est qu'il semble Bagheerra que tu n'as acquis ton matos photo que très récemment, et qu'en quelques jours tes images sont déjà exploitables, lisibles et de bonnes qualités (quelques flou de MAP encore), et cela doit être encourageant pour tout ceux qui hésite encore à utiliser un tel matos....bravo!!

Ah, dernière critique: il reste pas mal de débris de colle sur les photos, vaut mieux prendre des clichés une fois que tout est propre.


Img 3657 cwjvqm - Eugenol
alapex

16/06/2012 à 16h36

A vos critiques ?
Et tu demandes ça sur nonol ?
Tu es suicidaire ?


Tes Emax sont tout sauf lumineuses , pour des Emaux ça se remarque . Tu n'as pas tenu compte de la différence de teintes des supports et on ne met pas d'Emax avec du métal dessous . Je ne connais pas Panavia , mais tu aurais du prendre plus masquant pour ton collage .


Bon , allez c'est méchant mais pas gratuit , je me suis aussi planté comme un c*n une fois , c'est pour ça que j'en parle , et les photos sont toujours plus cruelles que le socialement acceptable (vie de tous les jours ) .

Bravo quand même et bon w-e .


roucoulou

16/06/2012 à 17h06

radich_a_tord écrivait:
-----------------------
> En achetant ce bouquin :
> http://www.information-dentaire.fr/boutique/librairie-revue-detail.php?produit=432
>
> tu auras une bonne base de départ dans le monde du tout céramique. Infos sur les
> matériaux, les spécificités de préparation, le mode d'assemblage par collage,
> etc

Merci !!


Sans titre tztxfv - Eugenol
Monet

16/06/2012 à 17h22

J'espère que tes chapes sont opaques


Logo qw3xdt - Eugenol
DDS

16/06/2012 à 18h49

Monet écrivait:
---------------
> J'espère que tes chapes sont opaques

Non elles ne le sont pas, on voit la teinte du moignon par transparence

--
Normal is not something to aspire to, it's something to get away from...


Mario ycg44a - Eugenol
Mario180

16/06/2012 à 21h43

J'espère que le sourire que tu à rendu à cette patiente va l'encourager à plus d'entretien.

Pour la critique, je rejoins un peu les remarques précédentes : un prothésiste qui maîtrise bien son sujet peut obtenir une esthétique comparable amha en zircone, voire en CCM, alors pourquoi prendre le risque (mécaniquement) de l'Emax, et surtout son surcoût. De plus, dans ce cas le collage ne semble pas nécessaire.

Belle photos, et merci de poster ton travail.


Grueavatar nptrc9 - Eugenol
Le Choixpeau magique

16/06/2012 à 21h56

Salut, l'image des moignons c'est la 341 ? Parce que si c'est le cas c'est quand même assez crado.


Smile beach jgh0a1 - Eugenol
Céramik

17/06/2012 à 05h16

Merci de placer un cas clinique.

Vu la situation de départ, tu as fait un travail correct.
Ceci dit, j'aime pas, et les autres ont relevé la plupart des lacunes.

Analyse bien tes photo, tu y apprendras pas mal de choses pour ton prochain cas.



--
Céramik


Images jm2g2g - Eugenol
dr_0le

17/06/2012 à 23h56

danteyeah écrivait:
-------------------
> Bon, pas une seule critique pour l'instant , faut bien qu'il y en ai un qui si
> colle, et qui va bien évidement se faire incendier, tant pis.
>
> Deux choses me gène dans ce cas, et ce n'est pas les Emax, au demeurant tout à
> fait correctes . Non ce qui me gène c'est la gestion de la paro, de l'hygiène
> dans un premier temps qui laisse sérieusement à désirer et la gencive sulculaire
> de la 11 qui présente un oedème et une coloration plus marqué en post-op qu'en
> pré-op: un deuxième jeu de provisoire, une gingivoplastie et une hygiène
> rigoureuse auraient amélioré la situation.
>
> Ensuite, il n'y a peut être pas de problème de ce coté là, mais l'occlusion des
> blocs postérieurs est inquiétante (occlusion croisée, endoclusie des prémolaires
> supérieures), si le calage et le fonctionnement des blocs postérieurs est
> défaillant, il pourrait y avoir des compensation en antérieures délétère pour
> les jolies Emax: As-tu bien analysé l'occlusion avant de faire ta proposition
> esthétique, car il est possible qu'un traitement plus global puisse être
> nécessaire (que du conditionnel, et des suppositions....je marche sur des oeufs,
> je me suis suffisamment fait allumer auparavant :-)).
>
> Un truc par contre qu'il faut noter, c'est qu'il semble Bagheerra que tu n'as
> acquis ton matos photo que très récemment, et qu'en quelques jours tes images
> sont déjà exploitables, lisibles et de bonnes qualités (quelques flou de MAP
> encore), et cela doit être encourageant pour tout ceux qui hésite encore à
> utiliser un tel matos....bravo!!
>
> Ah, dernière critique: il reste pas mal de débris de colle sur les photos, vaut
> mieux prendre des clichés une fois que tout est propre.

je pense un peu comme Danteyeah..
a voir le tartre sur les 7 sur la photo finale, l'aspect des courbes d'occlusion et les dents postérieures, j'aurai probablement (ce n'est que supposition) proposé un plan de traitement plus 'global', pour gérer le calage postérieur...
a plus


Blason dql7mj - Eugenol
growler

18/06/2012 à 00h19

pour ne parler que du rendu de teinte, tu aurais dû demander de la chape HO comme dit plus haut car, par exemple, la différence de luminosité entre les moignons de 11 et 21 transparait également sur le résultat final. Et si ce n'est pas suffisant tu utilises en plus une colle opaque sur le moignon le plus sombre.

ça m'arrive de traiter de tels cas avec de la céramique/zirconzahn scellée.


Gonzo k0qhwz - Eugenol
matten

18/06/2012 à 02h02

DOmmage que la teinte finale tende vers le vert-gris...


le dabe

19/06/2012 à 10h36

growler écrivait:
-----------------
> pour ne parler que du rendu de teinte, tu aurais dû demander de la chape HO
> comme dit plus haut car, par exemple, la différence de luminosité entre les
> moignons de 11 et 21 transparait également sur le résultat final. Et si ce n'est
> pas suffisant tu utilises en plus une colle opaque sur le moignon le plus
> sombre.
Tu as raison pour le collage, par contre, pas pour le HO ou la zircone. Dans le genre moche et gris vert, c'est pas mal, et de toute facon n'est utilisable qu'en technique de stratification, donc hors sujet ici puisqu'on est sur du monobloc.
Se pose clairement le champ d'application des produits et l'obligation de ne pas en sortir. La question à se poser au départ était, l'emax, monobloc donc translucide, est elle dans ce champ d'application? Au vue des colorations des préparations, non. En tout cas pas en monobloc.
Pilier coloré implique HO (moche) ou zircone alumineuse (top) ou ccm (mais on sort du sans métal)


le dabe

19/06/2012 à 10h40

le dabe écrivait:
-----------------
> growler écrivait:
> -----------------
> > pour ne parler que du rendu de teinte, tu aurais dû demander de la chape HO
> > comme dit plus haut car, par exemple, la différence de luminosité entre les
> > moignons de 11 et 21 transparait également sur le résultat final. Et si ce
> n'est
> > pas suffisant tu utilises en plus une colle opaque sur le moignon le plus
> > sombre.
> Tu as raison pour le collage, par contre, pas pour le HO ou la zircone. Dans le
> genre moche et gris vert, c'est pas mal, et de toute facon n'est utilisable
> qu'en technique de stratification, donc hors sujet ici puisqu'on est sur du
> monobloc.
> Se pose clairement le champ d'application des produits et l'obligation de ne pas
> en sortir. La question à se poser au départ était, l'emax, monobloc donc
> translucide, est elle dans ce champ d'application? Au vue des colorations des
> préparations, non. En tout cas pas en monobloc.
> Pilier coloré implique HO (moche) ou zircone alumineuse (top) ou ccm (mais on
> sort du sans métal)

Et de catégorie puisqu'il faut stratifier, bien sur...


S2y2o1v7q53ws4r5wy6ou8czrpom - Eugenol
pxav

19/06/2012 à 11h09


l'Emax monobloc, peut très bien passer, il aurait suffit de maquiller les moignons avec un opaque.
Mais même si les résultats seront corrects, ils ne seront pas "parfaits" avec du monobloc, ni avec autre chose non plus d'ailleurs en dehors d'un traitement plus global.
Je ne saurais trop te conseiller de finir par les antérieurs, tes patients resteront jusqu'à la fin du TTT, alors que de commencer par les antérieurs....

Merci d'offrir ton travail à la critique.

xbk
"Si tous ceux qui croient avoir raison n'avaient pas tort, la vérité ne serait pas loin" Dac Pierre


RépondreCiter
vmdeugénol

19/06/2012 à 11h44

Pour du tout céramique sur ce type de cas, il aurait était plus simple, vu l'état des supports de normaliser la teinte des moignons en faisant du fibré + composite, un peu de paro à minima pour les festons (un petit coup de laser par exemple).

De plus, les préparations sont trop profondes pour optimiser les qualités optiques de l'emax monobloc.

Ce cas préparé pour du ccm est traité avec du cc....

pas mal mais peu mieux faire sans beaucoup d'efforts supplémentaires.