Cookie Consent byPrivacyPolicies.comCas clinique : E-max monobloc antérieures - Eugenol

Cas clinique : E-max monobloc antérieures

Bazaruto 2007 ircsez - Eugenol
jumpingjackflash

19/06/2012 à 12h30

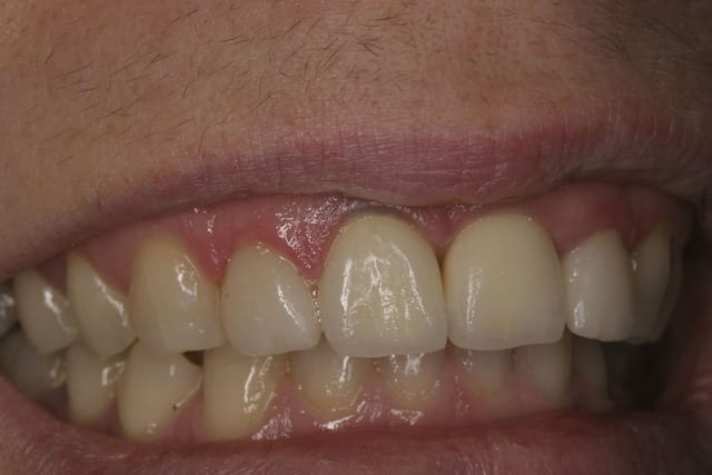
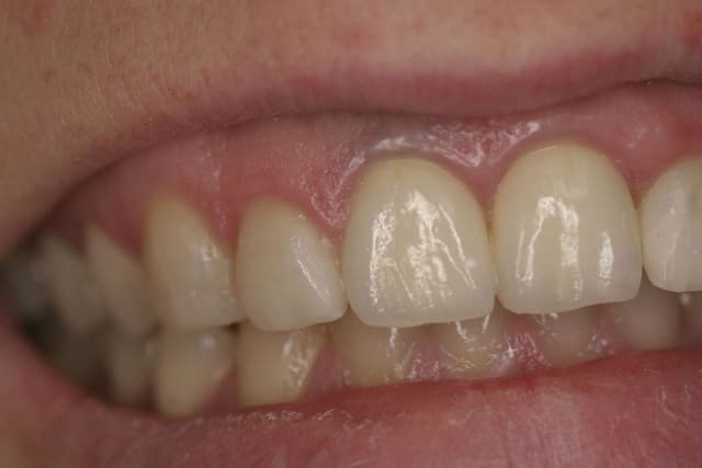
les Emax existent en HT OU LT haute ou basse translucidité
là il aurait fallu prendre des LT pour cacher la misère
il aurait fallu aussi faire un petit effort sur le provisoire au moins sur les bords


Grueavatar nptrc9 - Eugenol
Le Choixpeau magique

19/06/2012 à 15h19

jumpingjackflash écrivait:
--------------------------
> les Emax existent en HT OU LT haute ou basse translucidité
> là il aurait fallu prendre des LT pour cacher la misère

N'importe quoi tu ne caches rien avec le LT.

En monobloc, LT c'est le standard, mais ça demande d'avoir des moignons non teintés.
Avec des moignons teintés, il faut faire une chape en HO et stratifier.
Dans le cas présenté, je ne serais pas très étonné que les monoblocs aient été réalisées avec du MO, et le résultat n'est jamais bien terrible.
Avec une vraie préparation des moignons (élimination de tous les compos présents, éviction carieuse soignée, nouvelles reconstitutions avec un compo teinte dentine) et des monoblocs en LT (avec éventuellement des cut back judicieusement placés), le résultat aurait été mieux, amha.


Dsc 3167 ff43tz - Eugenol
Xenophon

19/06/2012 à 16h42

C'est marrant comme tous ces gens qui critiquent ( très gentiment cela va de soit) ne présentent jamais rien ......
Curieux, non ?


Bebe 038 nf8eum - Eugenol
danteyeah

19/06/2012 à 18h24

Xenophon écrivait:
------------------
> C'est marrant comme tous ces gens qui critiquent ( très gentiment cela va de
> soit) ne présentent jamais rien ......
> Curieux, non ?

Je pense que tu n'as pas fouillé assez.....par contre je trouve les critiques (même si elles sont pas toutes tendre), très constructives sur ce cas.... Vraiment ils y a pleins d'idées tout à fait juste et pleines d'enseignement pour celui qui cherche à les comprendre. C'est bien un des posts les plus utile en clinique esthétique de ces dernier mois, et merci à Bagheerra de s'y être risqué.


Img 2951 flo3gr - Eugenol
molinarius

19/06/2012 à 18h31

comme d'hab ... faut être motivé pour poster des cas ...

comme sur ce post où la réalisation n'est pas top certes mais
honorable puisque budget restreint au départ ...
On le sait qu'une strat c'est plus jolie ,évidement qu'avec un traitement des prépas le résultat aurait sans doute été différent.
Travaillez vous à perte ? non ?

Moi je trouve bien de poster des cas comme celui ci , de ceux
que l'on voit tout les jours (du tout venant) et sur ce dernier , un bon compromis .

bien ouéj bagheerra ;)

et continus de poster des cas...exceptionnels ou non !


Img 3657 cwjvqm - Eugenol
alapex

19/06/2012 à 18h43

Suis d'accord avec les 2 précédents et aussi avec Xénophon , je fais donc mon mea culpa sur le cas de Bagheerra que je prie de bien vouloir considérer que ce qu'on peut prendre pour une critique gratuite , n'a pour but que de dire une vérité en un temps T , pour progresser .
PS/ Ce n'est pas ici que je poste mes merdes , et j'en fais plus qu'à mon tour , mais j'ai des excuses je suis bon à rien et mauvais en tout ...)))


Dsc 3167 ff43tz - Eugenol
Xenophon

19/06/2012 à 20h24

danteyeah écrivait:
-------------------

>
> Je pense que tu n'as pas fouillé assez.....par contre je trouve les critiques
> (même si elles sont pas toutes tendre), très constructives sur ce cas....


Je ne parlais pas pour toi. Cela va de soit. Plutôt pour les deux ou trois précédents mon message.
S'appliquer sur les provisoires, patati et patata. Les photos en macro ne pardonnent rien et je sais de quoi je parle.
Bagherra a fait un travail qui est perfectible certes ( comme mon travail le premier, surtout quand on le dissèque à la loupe !) mais très méritoire.


Dsc 3167 ff43tz - Eugenol
Xenophon

19/06/2012 à 20h29

alapex écrivait:
----------------

> mais j'ai des excuses je suis bon à rien et mauvais en tout ...)))
>

L'humilité est la première des vertus d'un dentiste. Elle permet de se remettre en question. Mais il faut aussi voir la progression si on ne veut pas stopper net sa progression et se décourager.


Bagheera tudzjy - Eugenol
bagheerra

23/06/2012 à 14h22

vmdeugénol écrivait:
--------------------
> Pour du tout céramique sur ce type de cas, il aurait était plus simple, vu
> l'état des supports de normaliser la teinte des moignons en faisant du fibré +
> composite, un peu de paro à minima pour les festons (un petit coup de laser par
> exemple).
>
> De plus, les préparations sont trop profondes pour optimiser les qualités
> optiques de l'emax monobloc.
>

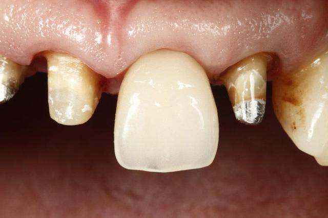
Que veux-tu dire par là ? J'ai volontairement donné pas mal d'épaisseur de céramique en vestibulaire à cause de la teinte des moignons.
J'avais proposé du stratifié, et là j'aurai mis une chape opaque. Il me semble que la translucidité de la céramo-céramique même basique est toujours meilleure qu'une CCM.

Par ailleurs je n'ai pas repris tous les moignons car certains tenons, anciens, sont assez longs et larges, et j'ai estimé que leur dépose faisait courir un risque inutile ici, vus l'absence de pathologie apicale et la demande du patient, qui est tout à fait satisfait du résultat final.

Merci pour toutes vos critiques et remarques effectivement globalement constructives. J'ai pleins de chose à améliorer, certes, j'en ai conscience. Tout le monde n'est pas Ceramik ou Pascal Magne...


Mario ycg44a - Eugenol
Mario180

23/06/2012 à 15h25

Fil et débat très intéressant : merci Bagheerra.


Smile beach jgh0a1 - Eugenol
Céramik

24/06/2012 à 05h18


Je ne prétend pas être à la hauteur de Pascal Magne ! Loin de là.
Je pense que ton labo a un peu manqué la céram.
Tu as fournit des photo des tailles et la couleur des pilliers ?

Ton collage aurait put être fait avec une résine plus opaque, quoique, cela ne jout pas pour bcp.
Sinon, peut-étre un cas pour des zircone, encore cela dépend de la qualité de ton céramiste, car des zircone basique, c'est môche, très môche.

Je te suggère aussi un peuplus de tx paro avant débuter. La gencive fait peur.
Tu as des radio des centrales ?

--
Céramik


Mario ycg44a - Eugenol
Mario180

24/06/2012 à 12h43

bagheerra écrivait:
-------------------
> vmdeugénol écrivait:
> --------------------

> > De plus, les préparations sont trop profondes pour optimiser les qualités
> > optiques de l'emax monobloc.
> >
>
> Que veux-tu dire par là ? J'ai volontairement donné pas mal d'épaisseur de
> céramique en vestibulaire à cause de la teinte des moignons.

Up


Bebe 038 nf8eum - Eugenol
danteyeah

26/06/2012 à 15h39

alapex écrivait:
----------------
>
> Tes Emax sont tout sauf lumineuses , pour des Emaux ça se remarque . Tu n'as pas
> tenu compte de la différence de teintes des supports et on ne met pas d'Emax
> avec du métal dessous......

Pas toujours vrai, ou en tous cas à nuancer, car les chapes HO ça marche bien:

Exemple, patiente désirant un blanchiment et une amélioration du bloc incisif qui présente deux centrales avec RC (maousse, désolé ni photos, ni radios, faut me croire sur parole, la vérité jamais je mens!!!) et CCM inesthétique (surtout après le blanchiment), fausse poche paro sur 12 et gros compo sur 22.

Choix thérapeutique: facettes Emax sur 12 et 22 avec plastie gingivale, CCC Emax sur 11 et 21 en conservant les RC (trop risqué de les descendre). Ici le choix de l'Emax pour les deux types de restauration trouvait un sens dans la mesure où l'on voulait conserver la même céramique cosmétique pour la stratification.
Alors c'est vrai qu'il y a un un peu moins de naturel sur les CCC que sur les facettes (et que je ne suis pas au niveau de celle de Cingulum), mais cela reste très harmonieux, et cela prouve que le HO couvre parfaitement un moignon "crado" comme dirait Choipx ;-)

Emax preop ifshrt - Eugenol
Emax pose mbjfng - Eugenol
Emax fin 2 rmwttq - Eugenol

Logo qw3xdt - Eugenol
DDS

26/06/2012 à 23h54

Juste une question pour le cas que tu présentes: pourquoi du HO et pas une chape zircone?

--
Normal is not something to aspire to, it's something to get away from...


003 penrd2 - Eugenol
Cingulum

27/06/2012 à 00h30

pour avoir la même céramique de cosmétique sur les facettes et les couronnes... plus facile pour le prothésiste d’accorder les teintes. De plus la Zircone n'a pas la même fluorescence que l'emax, plus difficile de faire des dents "jeune"

Un cas en Moyenne Opacité (MO) avec du métal dessous.
Ce qui est un problème c'est plus souvent la coloration cervicale de la dent dépulpée que la présence de métal...

SVP ne dépulpez pas les dents ;)



--
Dr Cingulum
-----Ancien interné----
----Attaché à l'apex----
http://www.clinic-all.fr/ formation par passion

282658 3741403326456 146022857 n pmngzs - Eugenol
206180 3741398406333 875828710 n mqqw55 - Eugenol
428390 3741399926371 125717986 n xv9ebz - Eugenol
563554 3741406726541 1810856248 n oefn7v - Eugenol
564151 3741404846494 1494335365 n vc52po - Eugenol
598830 3741401206403 1992878705 n gtfkek - Eugenol

Logo qw3xdt - Eugenol
DDS

27/06/2012 à 00h42

Dans le cas précédent, les centrales paraissent trop opaques dues au HO comparativement aux 2 facettes.

--
Normal is not something to aspire to, it's something to get away from...


Bebe 038 nf8eum - Eugenol
danteyeah

27/06/2012 à 02h54

DDS écrivait:
-------------
> Dans le cas précédent, les centrales paraissent trop opaques dues au HO
> comparativement aux 2 facettes.
>
C'est vrai (et je le dis dans mon post). Mais cela aurait été pire avec une chape zircone (même teintée), car le montage céramique cosmétique des CCC serait alors différent de celui des facettes. On imagine aussi la couleur de la racine de la 11 en voyant le "tatouage" de la gencive; ici le HO était nécessaire pour masquer la teinte de la racine (et force est d'avouer que cela fonctionne, en tout cas c'est ce qui me semble), et une CCC était nécessaire à une parfaite intégration gingivale (là aussi ça me semble fonctionner).

De plus l'exemple de cingulum (à tomber!!! Comme toujours), montre bien les capacités de recouvrement des chapes Emax même en MO, ce qui va, avec panache, dans le sens de mon post, merci pour le partage d'aussi beau cas.


Img 2951 flo3gr - Eugenol
molinarius

01/07/2012 à 13h58

danteyeah écrivait:
-------------------
> DDS écrivait:
> -------------
> > Dans le cas précédent, les centrales paraissent trop opaques dues au HO
> > comparativement aux 2 facettes.
> >
> C'est vrai (et je le dis dans mon post). Mais cela aurait été pire avec une
> chape zircone (même teintée), car le montage céramique cosmétique des CCC serait
> alors différent de celui des facettes.

Vraiment n'importe quoi .... je ne vois pas du tout en quoi le montage aurait été différent .... penses tu qu'un IC sablé donc bien bien foncé empêche de réaliser des montages céramique de qualité sur de la zircone ?




On imagine aussi la couleur de la racine
> de la 11 en voyant le "tatouage" de la gencive; ici le HO était nécessaire pour
> masquer la teinte de la racine (et force est d'avouer que cela fonctionne, en
> tout cas c'est ce qui me semble), et une CCC était nécessaire à une parfaite
> intégration gingivale (là aussi ça me semble fonctionner).
>
> De plus l'exemple de cingulum (à tomber!!! Comme toujours), montre bien les
> capacités de recouvrement des chapes Emax même en MO, ce qui va, avec panache,
> dans le sens de mon post, merci pour le partage d'aussi beau cas.


003 penrd2 - Eugenol
Cingulum

01/07/2012 à 14h50

Je pense qu'il parlait de monter facettes et couronnes alors avec des poudres cosmétiques differentes

--
Dr Cingulum
-----Ancien interné----
----Attaché à l'apex----
http://www.clinic-all.fr/ formation par passion


Img 2951 flo3gr - Eugenol
molinarius

01/07/2012 à 15h54

Je monte de la noritaké et de l'emax sur mes chapes zircone , le montage varie dans l'utilisation et la concentration de telle ou telle poudre propre à chaque marque mais le principe de base reste identique ....
J'ai remarqué une chose avec l'emax , les transparents , opalescents donne un ton plus grisonnant à la teinte choisie ... c'est un défaut dans certains cas et un avantage pour des onlay par exemple ...
Je pense plus que le choix du cosmétique doit dépendre de la teinte à reproduire et des effets à donner à la reconstitution ..

Je passe un temps fou à faire mes propre teintier en ce moment .... 16 en emax et 16 en noritaké....c'est du taf !! mais je vous prie de croire qu'il y a de sacrées différences entre chaque marque pour un même teintier référent !!!

Utilisez vous ces teintiers "maison" ?

Si vous le pouvez et si votre prothésiste vous a à la bonne demandez lui de vous en faire ...
laissez lui le temps de le faire ....


Vous verrez par vous même .... en bouche en plus c'est flagrant


RépondreCiter
Bebe 038 nf8eum - Eugenol
danteyeah

01/07/2012 à 18h03

molinarius écrivait:
>
> Vraiment n'importe quoi .... je ne vois pas du tout en quoi le montage aurait
> été différent .... penses tu qu'un IC sablé donc bien bien foncé empêche de
> réaliser des montages céramique de qualité sur de la zircone ?
>

Je t'aime bien molinarus, mais parfois ton obsession pour la zircone et le leadership de ce materiau dans ton activité te fait oublier que tout les prothésistes ne bossent pas comme toi, et donc effectivement comme la souligné Cingulum, le Prothesiste, avec qui on a fait ce cas, n'utilisait pas le même cosmétique sur Emax que sur zircone, d'où notre choix, voilà tout.
Au sein même du labo ( une dizaine de céramiste), on est pas sur de qui fera le montage, et connement en faisant de l'Emax on est sur d'avoir le meilleur céramiste.
Je faisais aussi beaucoup de zircone et t'inquiète pas je connais l'étendu de la possibilité de ce matériau et d'ailleurs il y plus d'1 an j'avais posté un cas de réhabilitation complète en zircone avec des moignons différent, et on voit bien que la zircone y est efficace.
Bon, ça va t'énerver un peu mais les protos que j'ai côtoyé sont meilleur avec de l'Emax qu'avec de la zircone, je n'y suis pour rien mais bizarrement ceux qui me présentaient un travail tout céramique avec uniquement de la zircone dans leur choix de materiau, étaient systématiquement moins bon que ceux qui proposaient l'Emax en plus.


Img 2951 flo3gr - Eugenol
molinarius

01/07/2012 à 19h07

danteyeah écrivait:
-------------------
> molinarius écrivait:
> >
> > Vraiment n'importe quoi .... je ne vois pas du tout en quoi le montage aurait
> > été différent .... penses tu qu'un IC sablé donc bien bien foncé empêche de
> > réaliser des montages céramique de qualité sur de la zircone ?
> >
>
> Je t'aime bien molinarus, mais parfois ton obsession pour la zircone et le
> leadership de ce materiau dans ton activité te fait oublier que tout les
> prothésistes ne bossent pas comme toi,

Merde j'ai raté mon coup !! je m'attendais à des propos plus dure de ta part danteyeah....
L'occasion était trop belle de critiquer ton boulot !! une fois n'est pas coutume , ;)
moi aussi je t'aime bien ;)


Néanmoins !! oui je défend ce materiau car sur ce forum il est loin d'avoir le leadership ... et même bien trop souvent maltraité (je parle en connaissance de cause après avoir posté pas mal de cas ) au profit de l'emax ....très bon materiau au passage !

et donc effectivement comme la souligné
> Cingulum, le Prothesiste, avec qui on a fait ce cas, n'utilisait pas le même
> cosmétique sur Emax que sur zircone, d'où notre choix, voilà tout.
> Au sein même du labo ( une dizaine de céramiste), on est pas sur de qui fera le
> montage, et connement en faisant de l'Emax on est sur d'avoir le meilleur
> céramiste.
> Je faisais aussi beaucoup de zircone et t'inquiète pas je connais l'étendu de la
> possibilité de ce matériau et d'ailleurs il y plus d'1 an j'avais posté un cas
> de réhabilitation complète en zircone avec des moignons différent, et on voit
> bien que la zircone y est efficace.
> Bon, ça va t'énerver un peu mais les protos que j'ai côtoyé sont meilleur avec
> de l'Emax qu'avec de la zircone, je n'y suis pour rien mais bizarrement ceux qui
> me présentaient un travail tout céramique avec uniquement de la zircone dans
> leur choix de materiau, étaient systématiquement moins bon que ceux qui
> proposaient l'Emax en plus.

Attention également !! le procédé de pressage de l'emax permet a des laboratoire de faire
fabriquer de la céramique à des non céramistes ... n'importe quel quidam doté d'une bonne morphologie peu te sortir 15 emax dans une journée !! Bien entendue concernant les facettes c'est une autre histoire `... car il faut stratifier ...

Ne pas croire que emax dans un labo est forcément gage de top qualité , bien souvent l'investissement ce fait sur la rentabilité ... Pas pour tous évidement mais souvent ...c'est d'ailleurs un argument de vente chez IVOCLAR


Voila bon sinon c'est triste ce calme plat sur le forum en ce moment


RépondreCiter
Grueavatar nptrc9 - Eugenol
Le Choixpeau magique

01/07/2012 à 23h47

molinarius écrivait:
--------------------
> Attention également !! le procédé de pressage de l'emax permet a des
> laboratoire de faire
> fabriquer de la céramique à des non céramistes ... n'importe quel quidam doté
> d'une bonne morphologie peu te sortir 15 emax dans une journée !! Bien entendue
> concernant les facettes c'est une autre histoire `... car il faut stratifier ...
>
> Ne pas croire que emax dans un labo est forcément gage de top qualité , bien
> souvent l'investissement ce fait sur la rentabilité ... Pas pour tous évidement
> mais souvent ...c'est d'ailleurs un argument de vente chez IVOCLAR


Salut Molinarius, ce que tu écris est sans doute vrai, mais ce qui est bien avec l'emax c'est que même une couronne monobloc faite par un tâcheron rendra toujours bien... tu peux même te planter dans la teinte, ça fait bien quand même.
Les CCM et Zircone au contraire ne supportent pas la médiocrité, et c'est souvent médiocre.


Img 2951 flo3gr - Eugenol
molinarius

02/07/2012 à 00h22

Le Choixpeau magique écrivait:
------------------------------
> molinarius écrivait:
> --------------------
> > Attention également !! le procédé de pressage de l'emax permet a des
> > laboratoire de faire
> > fabriquer de la céramique à des non céramistes ... n'importe quel quidam doté
> > d'une bonne morphologie peu te sortir 15 emax dans une journée !! Bien
> entendue
> > concernant les facettes c'est une autre histoire `... car il faut stratifier
> ...
> >
> > Ne pas croire que emax dans un labo est forcément gage de top qualité , bien
> > souvent l'investissement ce fait sur la rentabilité ... Pas pour tous
> évidement
> > mais souvent ...c'est d'ailleurs un argument de vente chez IVOCLAR
>
>
> Salut Molinarius, ce que tu écris est sans doute vrai, mais ce qui est bien avec
> l'emax c'est que même une couronne monobloc faite par un tâcheron rendra
> toujours bien... tu peux même te planter dans la teinte, ça fait bien quand
> même.
> Les CCM et Zircone au contraire ne supportent pas la médiocrité, et c'est
> souvent médiocre.

non pas sans doute .... c'est une réalité..
évidement une couronne faite d'un bloc sera toujours plus facile réaliser correctement
étant donné qu'il n y a plus de noyau ...!! quelle découverte ?? :) :)
Bien sure que la stratification est plus complexe et requiere du céramiste des compétences
accrues ainsi qu'un support (la prépa) lui aussi dégagé de toute médiocrité ;)

et donc?





Grueavatar nptrc9 - Eugenol
Le Choixpeau magique

02/07/2012 à 00h34

molinarius écrivait:
--------------------
> évidement une couronne faite d'un bloc sera toujours plus facile réaliser
> correctement
> étant donné qu'il n y a plus de noyau ...!! quelle découverte ?? :) :)
> Bien sure que la stratification est plus complexe et requiere du céramiste
> des compétences
> accrues ainsi qu'un support (la prépa) lui aussi dégagé de toute médiocrité ;)
>
> et donc?

Bah donc je trouve qu'une emax monobloc même réalisée par un mec pas super douée sera toujours plus jolie qu'une zircone "standard" stratifiée. Donc pour moi l'intérêt de la zircone est très faible.
Je parle bien sûr plutôt des secteurs postérieurs, je n'ai jamais essayé les monoblocs en antérieur (et donc je suis peut être un peu HS par rapport au sujet).