Tous les forums
problème durant anesthésie avec quicksleeper
27/06/2012 à 18h23
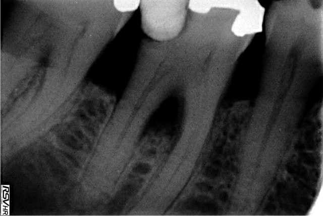
Bonjour, y 'aurait t'il quelqu'un qui pourrait m'aiguiller sur la complication que j'ai eue pendant une anesthésie intra osseuse sur une 46 radio ci jointe.
je me suis mis en distal de 46, avec QS4 et aiguille ostéocentrale je fais une penetration intra osseuse sans grande difficulté. J'injecte un tiers de l'aiguille en vitesse lente et là patiente m'a fait des signes comme quoi elle avait une douleur importante dans la zone postérieure à cette anesthésie en se tenant la joue jusqu' à l'oreille.
Honnêtement je ne sais pas trop d'ou cela peut venir; je n'ai rien changé pendant l'anesthésie, j'ai gardé le même axe, la vitesse d'injection n'a pas changé, il n' y a pas eu de copeau expulsé... Elle a ressenti une douleur très importante comme une irradiation
Quelqu'un a t'il une idée sur la provenance de la douleur?
27/06/2012 à 18h29
Je ne suis pas un vieux dentiste, j'ai moins de 30 ans mais vous me faites bien rire avec votre "QS 3 ou 4" à 2000$ !! Il vous pose bien des soucis ;-)
27/06/2012 à 18h40
ils doivent avoir un bon service commercial pour refiler cette mer.. a tout le monde!!
27/06/2012 à 19h05
Il faudrait une pano; tu as peut être un kyste qui est sorti de sa torpeur lors de son effraction par le liquide qui se diffuse dans la corticale.
27/06/2012 à 19h19
nicklebenou écrivait:
---------------------
il n' y a pas eu de copeau expulsé...
Comment peux-tu le savoir?
27/06/2012 à 19h24
el diablo écrivait:
-------------------
> ils doivent avoir un bon service commercial pour refiler cette mer.. a tout le
> monde!!
Mon associé et moi nous servons du QS tous les jours avec beaucoup de bonheur. Mon associé est pédo exclusif.
Essaies avant de nous sotir des grossièretés gratuites.
C'est marrant comment beaucoup de confrères estiment que leur activité est ce qu'il y a de mieux et que tout ce qui ce fait ailleurs est "merdique".
Il faut regarder un peu au dela de votre crachoir de temps en temps et etre un peu tolérant.
27/06/2012 à 19h24
j ai aussi eu des soucis avec le QS4, des patients qui disent sentir un "coup de chaud" au niveau de l'injection.
mais bon , ca marche plutot pas mal
et pas de probleme de plaie gingivale apres par rapport auc intra ligamentaires.
de mon cote j ai tjrs un peu peur que l'aiguille pete ou de toucher le nerf dentaire...
27/06/2012 à 19h27
Don Chicot écrivait:
--------------------
> el diablo écrivait:
> -------------------
> > ils doivent avoir un bon service commercial pour refiler cette mer.. a tout le
> > monde!!
>
> Mon associé et moi nous servons du QS tous les jours avec beaucoup de bonheur.
> Mon associé est pédo exclusif.
> Essaies avant de nous sotir des grossièretés gratuites.
> C'est marrant comment beaucoup de confrères estiment que leur activité est ce
> qu'il y a de mieux et que tout ce qui ce fait ailleurs est "merdique".
> Il faut regarder un peu au dela de votre crachoir de temps en temps et etre un
> peu tolérant.
Manque de bol, j'ai eu un qs 3 et je n'ai pas aimé. Raté Chicot....
27/06/2012 à 19h37
> Essaies avant de nous sotir des grossièretés gratuites.
> C'est marrant comment beaucoup de confrères estiment que leur activité est ce
> qu'il y a de mieux et que tout ce qui ce fait ailleurs est "merdique".
> Il faut regarder un peu au dela de votre crachoir de temps en temps et etre un
> peu tolérant.
Mouais sauf que quand tu dis ça, c'est toi qui pense que c'est mieux chez toi !!! C'est celui qui dit qui est !!
Quant au QS, je l'ai déjà essayé pour voir... bah voilà une innovation vendue une petite fortune qui ne m'apporte rien dans ma pratique... et le problème décrit dans ce post ne serait, me semble-t-il, jamais arrivé avec une technique classique... c'est donc pour ça que je me suis permis cette petite perfidie !
27/06/2012 à 19h51
Le QS qui déconne c'est comme la femme frigide qui dit que tu es mauvaise langue......
C'est un outil, bien utilisé c'est génial... je parle du QS bien sur....
--
Dr Cingulum
-----Ancien interné----
----Attaché à l'apex----
http://www.clinic-all.fr/ formation par passion
27/06/2012 à 19h52
rep à Don chicot:
pour l'absence de copeau, je ne pense pas qu'il y 'en ai eu j'ai purgé ma perforation osseuse, puis je me suis reinséré sans rotation sans problème.
Le fait que j'ai pu injecté pendant 30 secondes plus d'1/3 de la carpule me laisse supposer que ca ne vient pas d'un copeau et mon expérience m'a fait remarqué que l'expulsion d'un copeau est douloureuse sur l'instant et ne continue pas après.
mais je peux me tromper
27/06/2012 à 19h55
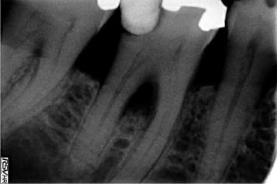
tiens une photo prise 20 secondes après une péri-apicale sur une 27....là où on pique toujours, zone facile... douleur fulgurante et vasoconstriction massive de la joue gauche...
C'est de la merde la péri apicale...
--
Dr Cingulum
-----Ancien interné----
----Attaché à l'apex----
http://www.clinic-all.fr/ formation par passion
27/06/2012 à 19h56
"le coup de chaud" c'est le petit flash que le patient peut ressentir (c'est que dalle!) quand on ne démarre pas a vitesse lente (humour: j'aime bien ce signe, c'est un bon indicateur de réussite, le patient aime moins mais bon, c'est un signe qui existe souvent quand on faut une intraseptale ou intralig!). Pas specifique donc au QS4:-)))
A quel praticien ce n'est pas arrivé au moins une fois , mon cingulum!!!!
27/06/2012 à 19h59
Rép à Cingulum:
Ca me fait plaisir cette photo j'ai la même dans le tiroir.
Ca m'est arrivé sur la même patiente 2 fois une sur la 17 et une sur la 27. ;-)
27/06/2012 à 20h14
nicklebenou écrivait:
---------------------
> rep à Don chicot:
> pour l'absence de copeau, je ne pense pas qu'il y 'en ai eu j'ai purgé ma
> perforation osseuse, puis je me suis reinséré sans rotation sans problème.
> Le fait que j'ai pu injecté pendant 30 secondes plus d'1/3 de la carpule me
> laisse supposer que ca ne vient pas d'un copeau et mon expérience m'a fait
> remarqué que l'expulsion d'un copeau est douloureuse sur l'instant et ne
> continue pas après.
> mais je peux me tromper
Non, non, avec tes explications, ça exclue le copeau.
Je ne peux pas t'aider malheureusement car je n'ai pas rencontré ce genre de problème.
27/06/2012 à 20h18
el diablo écrivait:
-------------------
j'ai eu un qs 3 et je n'ai pas aimé. Raté Chicot....
Tu n'aimes pas donc c'est de la M...
Ma belle-mère, elle aime pas les coquilles Saint-Jacques
Mon beauf, il aime pas le vélo,
Mon voisin, il aime pas les arabes
Et toi t'aimes pas le QS, c'est pas notre problème, c'est le tien.
27/06/2012 à 23h20
Cingulum écrivait:
------------------
> tiens une photo prise 20 secondes après une péri-apicale sur une 27....là où on
> pique toujours, zone facile... douleur fulgurante et vasoconstriction massive de
> la joue gauche...
> C'est de la merde la péri apicale...
>
> --
> Dr Cingulum
> -----Ancien interné----
> ----Attaché à l'apex----
> http://www.clinic-all.fr/ formation par passion
Quelle est la CAT dans ce cas?
28/06/2012 à 01h05
Cingulum écrivait:
------------------
> tiens une photo prise 20 secondes après une péri-apicale sur une 27....là où on
> pique toujours, zone facile... douleur fulgurante et vasoconstriction massive de
> la joue gauche...
> C'est de la merde la péri apicale...
>
> --
Injection intravasculaire?
Tu aspires pour contrôler avant de pousser sur le piston?
28/06/2012 à 01h16
perso je n'utilise que le QS4 pour toutes anesthesies osteocentrale transcorticale et paraapicale
on ne peut pas dire que c'est de la merde il suffit de decider d'apprendre à s'en servir
quant'à ton probleme nickle c'est peut etre la pression du liquide anesthesique sur l'inflammation peri apicale existante qui a produit cette douleur ;dans un cas comme celui ci tu arretes l'injection quelques secondes et tu repends ;donc en vitesse tres lente