Cookie Consent byPrivacyPolicies.comDébuter avec le Legacy 3 - Eugenol

Débuter avec le Legacy 3

cônemorse

28/06/2012 à 16h34

Bonjour à tous,

Actuel poseur de Tekka, je compte me tourner vers le système Legacy 3 de chez Implant Direct.
Le site ID est très complet mais il me manque tout de même quelques réponses à certaines questions que je vous jette en vrac:

- La trousse chir de base contient les Hex Drills HD1.25 et 2.5. Ces 2 porte-implants permettent-ils de poser tous les diamètres ou bien les HD2.0 et 3.0 sont-ils indispensables?
- Le FMD remplace-t'il tous les diamètres de HD?
- L'insertion des implants peut-elle se faire uniquement au moteur ou avez-vous pour habitude de terminer le travail à la clé à cliquet ou dynamométrique?
- Le torque de vissage des vis de cicatrisation et des piliers prothétiques se fait-elle bien à 30Ncm? Si oui, l'achat d'une clé TW30 est-elle pertinente ou mieux vaut-il investir dans dans une multi-setting wrench?
- Quelle vitesse de rotation pour le passage des forets (1000 trs/min?)?
- Quels délais de livraison?
- Paiement à la commande? Par carte bleue? virement? à la commande? A réception?

Voilà, je crois avoir fait le tour des questions que je me pose. N'hésitez pas à faire vos remarques sur le système, son fonctionnement et les trucs et astuces qui simplifient la vie.

D'avance merci pour vos réponses.


Photo pluton1b h9n4ea - Eugenol
pluton

28/06/2012 à 16h54

cônemorse écrivait:
-------------------
> Bonjour à tous,
>
> Actuel poseur de Tekka, je compte me tourner vers le système Legacy 3 de chez
> Implant Direct.
> Le site ID est très complet mais il me manque tout de même quelques réponses à
> certaines questions que je vous jette en vrac:
>
> - La trousse chir de base contient les Hex Drills HD1.25 et 2.5. Ces 2
> porte-implants permettent-ils de poser tous les diamètres ou bien les HD2.0 et
> 3.0 sont-ils indispensables?

pour la trousse de base, tu as ces hex tools uniquement en version longue pour la 2.5mm et 3mm, prends une courte en 2.5mm en plus pour placement pratique avec la clef à cliquet...
l'hex de 2.5mm est commun avec tous les porte implants/piliers quelque soit le diamètre

l'hex de 2mm ne sert que pour les "one piece" et se reprendre dans le col du legacy3 de 3.2mm
l'hex de 3mm ne sert que pour se reprendre dans le col des implants de 5.7mm...
donc pour les 2mm et 3mm, ne sont utile que les modèles longs (HT2 et HT3...les HTS en 2 et 3mm ne m'ont jamais servi...sauf le 2.5mm très pratique)

> - Le FMD remplace-t'il tous les diamètres de HD?

le FMD prend le carré de tout porte implant quelque soit le diamètre mais je lui préfère le HD2.5 plus pratique car moins encombrant

> - L'insertion des implants peut-elle se faire uniquement au moteur ou avez-vous
> pour habitude de terminer le travail à la clé à cliquet ou dynamométrique?

insertion au moteur, à la clef, à la main même si tu veux, tout est possible...
seul truc, leur couple d'insertion final est élevé...y a de forte chance pour que tu termine de toutes façons à la clef...direct dans le col de l'implant...

> - Le torque de vissage des vis de cicatrisation et des piliers prothétiques se
> fait-elle bien à 30Ncm? Si oui, l'achat d'une clé TW30 est-elle pertinente ou
> mieux vaut-il investir dans dans une multi-setting wrench?

vis de cicat, à la main, donc environ 15Ncm, prothèse 30Ncm
donc TW30 largement suffisante...

> - Quelle vitesse de rotation pour le passage des forets (1000 trs/min?)?

comme tu veux...moi sur mon moteur je limite au maxi à 1400trs...si tu es proche d'une zone "hot", tu peux aussi tourner au mini...la progression sera ultra douce et sécurisante...

> - Quels délais de livraison?

24 à 48h çà dépend de l'heure de ta commande...

> - Paiement à la commande? Par carte bleue? virement? à la commande? A réception?

moi par CB sur le site...;-)

je t'envoie un MP...;-)


dr.demolay

28/06/2012 à 19h57

c'est très bon système !! un vrai 4*4, tu seras pas déçu
si, tu as déjà posé du TSV zimmer tu sais tout...


cônemorse

28/06/2012 à 23h51

Non je n'ai jamais posé de TSV mais j'avoue que la compatibilité avec Zimmer est un argument important après la déroute Tekka...


Smile beach jgh0a1 - Eugenol
Céramik

29/06/2012 à 01h48

Le Legacy-3 est un bon système "clone évolué" du TSV

J'attends le ID avec connection conique...
va sortir bientôt...


--
Céramik


Photo pluton1b h9n4ea - Eugenol
pluton

29/06/2012 à 13h16

Céramik écrivait:
-----------------
> Le Legacy-3 est un bon système "clone évolué" du TSV
>
> J'attends le ID avec connection conique...
> va sortir bientôt...

normalement prévu pour fin d'année...mais si c'est comme pour les legacy3 en 6mm...on les attends toujours...alors qu'ils devaient être au catalogue début juin après avoir été maintes fois reportés...
cela dit je sais que quelques privilégiés (non, pas moi, désolé) les ont déjà testé en France...


olivier

29/06/2012 à 14h10

peu t on poser des legacy 3 avec des forets d'autres marques ??


cônemorse

29/06/2012 à 14h18

olivier écrivait:
-----------------
> peu t on poser des legacy 3 avec des forets d'autres marques ??

Tu peux les poser avec les forets dédiés au Tapered Screw Vent (TSV) de chez Zimmer.
Le protocole chirurgical et les instruments sont les mêmes.
Mais compte-tenu du prix des forets chez Zimmer, mieux vaut utiliser les forets du Legacy...


olivier

29/06/2012 à 14h29

et ceux là ....

http://www.saeg.it/prodotti_impl.php?LANG=4&id=prodotti&IDC=impl&ACT=1&SUBCAT=26&ACT=12


les diamètres et les longueurs correspondent ???


cônemorse

29/06/2012 à 14h46

olivier écrivait:
-----------------
> et ceux là ....
>
> http://www.saeg.it/prodotti_impl.php?LANG=4&id=prodotti&IDC=impl&ACT=1&SUBCAT=26&ACT=12
>
>
> les diamètres et les longueurs correspondent ???

Les longueurs oui, les diamètres non


Photo pluton1b h9n4ea - Eugenol
pluton

29/06/2012 à 15h22

pour les forets ID la séquence est la suivante (les forets sont étagés sauf 5.1)
2/2.3
2.3/2.8
2.8/3.4
3.4/3.8
3.8/4.4
4.4/4.8
5.1
4.8/5.4

à cela peut s'ajouter(mais je recommande vivement...) les CBD DRILLS en:
3.2
3.7
4.2
4.7
5.2
5.7

remarque...à moins de 55€ le foret faut pas s'emmerder à chercher ailleurs...


olivier

29/06/2012 à 15h54

c'est qu'il faut racheter encore une trousse etc......


Photo pluton1b h9n4ea - Eugenol
pluton

29/06/2012 à 16h49

olivier écrivait:
-----------------
> c'est qu'il faut racheter encore une trousse etc......

qu'est-ce que tu poses actuellement?

sinon, non pas vraiment, la clef à cliquet est standard avec le carré...au pire, elle coûte à peine 115€
les hex d'insertions (HT2.5 et en version courte HT2.5S sont à moins de 40€ pièce de même que celui pour le moteur...
pour les tournevis, c'est du classique hex de 1.25mm comme dans presque tous les systèmes...


olivier

29/06/2012 à 17h08

Alphabio dont je sais qu'il y une compatibilité prothétique avec Zimmer , Mis etc.....


Photo pluton1b h9n4ea - Eugenol
pluton

29/06/2012 à 17h27

bon et bien là, mis a part les forets (et encore le 2mm et le 2.8mm c'est ok tu peux les utiliser)...rien à acheter puisque tu as déjà les outils d'insertions en 2.5mm...y a que le 3mm qui ne sert que pour les implants de 5.7mm que tu n'as pas...

il te faudrait donc que le 2.8/3.4; 3.4/3.8; 3.8/4.4; 4.4/4.8 et les CBD drills de 3.2; 3.7; 4.2; 4.7; 5.2 pour pouvoir poser sans rien de plus les legacy3 jusqu'au 5.2mm de diamètre...;-)

tout ce que tu as en prothèse (vis de cicat, transferts, moignons prov etc) de plateforme 3.5mm sont 100% compatibles pour les implants de 3.7 et 4.2mm
la plateforme est en 4.5mm pour les 4.7 et 5.2mm et en 3mm pour le 3.2mm
donc, vraiment, ton investissement serait minime...


cônemorse

14/09/2012 à 15h04

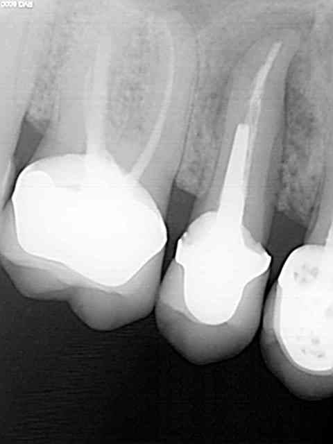
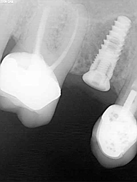
Comme promis, je donne des nouvelles de mes débuts avec le Legacy 3.
1er implant avec ce système, ce matin.
Remplacement, d'une 15 fracturée. Dent extraite en décembre 2011, attente de la cicatrisation à cause de l'infection importante autour de la dent et pose aujourd'hui d'un 3.7 longueur 10.
Mes impressions:
- Utilisation aisée de la trousse
- Malgré la faible densité osseuse, très bonne stabilité primaire
- En revanche, lecture des graduations sur les forets pas forcément simple et vis cicat fournie un peu courte, nécessitant un petit aménagement gingival autour.
Mais globalement, bon feeling, il me reste à bien me familiariser avec le système.
Quelques radios pour illustrer le cas...

Js 1 wjplje - Eugenol
Js 2 vpryz9 - Eugenol
Js 3 orny9q - Eugenol

Photo pluton1b h9n4ea - Eugenol
pluton

14/09/2012 à 15h27

cônemorse écrivait:
-------------------
> Comme promis, je donne des nouvelles de mes débuts avec le Legacy 3.
> 1er implant avec ce système, ce matin.
> Remplacement, d'une 15 fracturée. Dent extraite en décembre 2011, attente de la
> cicatrisation à cause de l'infection importante autour de la dent et pose
> aujourd'hui d'un 3.7 longueur 10.
> Mes impressions:
> - Utilisation aisée de la trousse

c'est vrai qu'elle est très bien étudiée question ergonomie...;-)

> - Malgré la faible densité osseuse, très bonne stabilité primaire

tu avais sous foré??? si oui, normal que la stab primaire soit bonne...c'est la force de ce système, tu peux réellement adapter ta stratégie de forage aux sensations cliniques...

> - En revanche, lecture des graduations sur les forets pas forcément simple et
> vis cicat fournie un peu courte, nécessitant un petit aménagement gingival
> autour.

question d'habitude pour la lecture amha...mais tu vas vite t'y faire...
la vis de cica fournie (extention...) fait 3mm, dans ce cas, c'est vrai qu'une 5mm aurait été parfaite...
remarque, c'est pas très grave, tu la changeras dans 3 ou 4 mois, et çà sera bien sympa pour la gencive...;-)

> Mais globalement, bon feeling, il me reste à bien me familiariser avec le
> système.
> Quelques radios pour illustrer le cas...

joli, et bien exécuté...;-)


cônemorse

14/09/2012 à 15h33

Merci Pluton pour tes remarques et (surtout) tes conseils.
J'ai hésité à sous-forer, mais n'étant pas habitué au système, je suis allé jusqu'au 3.4, mis en place de l'implant à 25 N. La prochaine fois je sous-forerai très certainement.


Photo pluton1b h9n4ea - Eugenol
pluton

14/09/2012 à 16h14

pour les marques sur les forets, moi j'ai un truc tout bête: il y en a 3 qui sont assez rapprochés et que l'on repère visuellement facilement même si le foret tourne : au milieu des 2 grosses bandes noires, assez fin, c'est le 11.5mm en dessous le 10mm et au dessus le 13mm...et de part et d'autre des 2 grosses bandes noires c'est 8mm et 16mm...si çà peut t'aider...;-)


cônemorse

14/09/2012 à 16h35

C'est comme ça que je me repère, mais sur les forets tekka c'était juste un peu plus visible...après, je pense que tu as raison, ça n'est qu'une question d'habitude...
Mais encore une fois, merci de partager tes astuces, c'est toujours utile!! ;-)


Image r6habu - Eugenol
Thomas Crown

22/05/2015 à 18h54

cônemorse écrivait:
-------------------
> Merci Pluton pour tes remarques et (surtout) tes conseils.
> J'ai hésité à sous-forer, mais n'étant pas habitué au système, je suis allé
> jusqu'au 3.4, mis en place de l'implant à 25 N. La prochaine fois je
> sous-forerai très certainement.

J ai eu la méme situation il y a quelque temps, j ai refermé et ca va depuis.
Comment ça s est passé pour toi lors de la pose de la vis de couverture , et ensuite ?
Merci les gars.


cônemorse

22/05/2015 à 21h48

Je n'ai eu aucun souci par la suite.
Un petit coup de bistouri pour réaménager la muqueuse et empreinte 3 semaines après.
J'ai revu le patient depuis, rien n'a bougé.

Ce problème est je trouve assez récurent. La vis fournie et même la 3mm sont souvent un peu courtes alors que la 5 est souvent trop haute. Ou alors je me débrouille comme un manche...

C'est finalement le seul petit reproche que je ferais au système.


Image r6habu - Eugenol
Thomas Crown

26/02/2016 à 14h08

salut les chirs, petite question sur le " petit " legacy 3, le 3mm:
faut il aussi torquer le FM à 30N, ou moins ?


cônemorse

26/02/2016 à 17h03

Tu veux parler du 3.2mm de diamètre? Parce que s'ils ont sorti un 3mm de longueur je ne suis pas au courant...
Je torque tous mes piliers à 30N. Pas de souci... sauf si pas intégré ;-)))))


Utilisateur banni

27/02/2016 à 11h25

J'ai commencé à poser du legacy 3 depuis octobre-novembre ... et du coup je vais commencer à poser mes couronnes et bridges sur implants : A quel torque doit on visser les piliers droits, angulés, multiunits? Qu'est ce que préconise le fabriquant? Est ce que c'est le même torque que pour les TSV ?


12