Cookie Consent byPrivacyPolicies.comincisive centrale temporaire nécrosée. - Eugenol

incisive centrale temporaire nécrosée.

Monsieur Poupi

29/06/2012 à 16h33

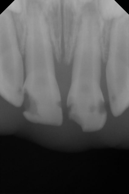
bonjour, aujourd'hui j'ai enlevé une 61 qui était à l'origine d'une cellulite à une petite fille de tout juste 3 ans, presque coopérative avec de l'atarax.
La 51 semble nécrosée aussi.
Je pense faire une pulpec sur la 51 par contre.
J'ai deja fait quelques pulpec sur des molaires temporaires sans succes, ya t-il de meilleurs taux de réussite sur les incisives ?

51 61 qvcwyl - Eugenol

Tozzi

30/06/2012 à 08h53

Des caries partout à 3 ans, çà promet...
J'imagine que toutes les autres dents ou presque doivent être touchées aussi.
Avant de penser traitement, il faut déjà penser à la cause de tant de dégâts précoces.


pichu

02/07/2012 à 03h57

Salut.
Les pulpectomies sur dents temporaires nécrosées se font si la dent est en stade de stabilisation (de 2à 4 ans pour les centrales) et s'il n'y a pas d'atteinte osseuse. Mais dans ton cas, j'ai l'impression qu'il y en a une, non? On ne voit pas bien l'apex de 51.