Cookie Consent byPrivacyPolicies.comprothèse sur leone...plus simple y a pas... - Eugenol

prothèse sur leone...plus simple y a pas...

Photo pluton1b h9n4ea - Eugenol
pluton

02/07/2012 à 09h21

danteyeah écrivait:
-------------------
Il n'y a plus qu'à trouver
> l'outil unique capable de déveroullier/veroullier et sortir le cap et là je suis
> conquis !

si le cap est suffisamment haut, la pince de weinghart seule suffit...;-)
pour ce cas, j'ai voulu montrer "comment çà marche" avec les phases telles que décrites dans le manuel
mais sinon, tu saisis le cap avec un bord de pince sur un méplat de l'hexagone et l'autre sur la périphérie du cap, tu fais un mouvement de torsion et c'est fait...;-)


Bebe 038 nf8eum - Eugenol
danteyeah

02/07/2012 à 13h56

pluton écrivait:
----------------
>
> si le cap est suffisamment haut, la pince de weinghart seule suffit...;-)
> pour ce cas, j'ai voulu montrer "comment çà marche" avec les phases telles que
> décrites dans le manuel
> mais sinon, tu saisis le cap avec un bord de pince sur un méplat de l'hexagone
> et l'autre sur la périphérie du cap, tu fais un mouvement de torsion et c'est
> fait...;-)

Merci pour les éclaircissements, y a pas à dire j'dois être un peu lent à la compréhension, mais à la lumière de ce que tu viens d'écrire je comprends bien mieux comment fonctionne le leone, et effectivement à présent je ne connais pas plus simple ;-)


Mario ycg44a - Eugenol
Mario180

02/07/2012 à 15h01

goupil écrivait:
----------------
> aussi simple et rapide, moi j'en vois plein. C'est quoi au juste qui vous pose
> des difficultés pluton? dévisser une vis de cicatrisation (10 secondes)? mettre
> en place un transfert (10 secondes)? remettre la vis? Je veux bien qu'on mette
> une marque en avant sur certains critères mais pas sur l'hypothétique gain de 4
> ou 5 secondes lors d'une prise d'empreinte, un peu de sérieux. (et si vous
> prétendiez que le gain de temps est bien supérieur je me demanderais alors bien
> comment vous vous y preniez avec les autres marques pour constater un tel écart)
>
> en fait, à l'instar de la célèbre collection de bouquins, leone a inventé
> "l'implant pour les nuls"

C'est que l'ami goupil utilise (utilisait ?) si j'ai bien compris de l'inkone, pour lequel le positionnement du transfert est identique d'une simple pression digitale. Effectivement à quelques tours de vis de cicat près, c'est kif kif, et avec un tournevis court, ça passe 99% du temps sans soucis.

Celà dit, il me semble, même si je ne connait pas beaucoup d'autres systèmes, que l'utilisation d'un transfert, même pour du ciel fermé, peut parfois être très fastidieux.

Pour ce qui est de la remarque concernant les caps de Straumann (caps, clips ou pop-on, ou quelqu'en soit le nom selon la marque), cela manque dans le catalogue leone.

S'il pouvait y avoir quelque chose comme sur cette capture d'écran, ça pourrait parfois rendre service.

Capture d  cran 2012 07 02   12.59 - Eugenol

Photo pluton1b h9n4ea - Eugenol
pluton

02/07/2012 à 15h21

mario, pour moi, je ne vois que peu d'intérêt à ce système de cap de transfert car tu fais ton empreinte avec le transfert, çà part au labo, ton protho peux choisir avec les piliers d'essais en plastique celui qui convient le mieux, fait les retouches et la prothèse et basta...

si, une seule situation: le patient nauséeux +++++++ pour qui seule une empreinte sectorielle en technique "mordu" peut marcher...
çà m'est arrivé....1 fois en 10 ans et je pense qu'en raccourcissant simplement un transfert çà marcherait...et en plus pas de risque de voir une partie du pilier...


3f3boxni50k58rq7e9ce9ddqrxgk - Eugenol
dentiste57

02/07/2012 à 15h36

je ne suis pas de cet avis, ce type de pilier et transfert cap et fantastique pour gagner du temps.
il faut juste disposer de plusieurs piliers en stock et d'en faire l'empreinte.
pour les correspondant, c'est super facile, pas de démontage, c'est du clé en main.
bon, maintenant, ce type de piliers ne convient surtout que là où la crête est large et où il n'y a pas besoin d'avoir un pilier avec un évasement vestibulaire.


Logo m4n3gc - Eugenol
drmarcus

02/07/2012 à 16h36

Euh....désolé de vous décevoir mais pour un tel cas d'utilisation de "caps" ou autre nom, c'est strictement inutile et trop long pour du Leone.

Si vous avez sur les implants des FM alors une empreinte toute simple comme sur dents naturelles est possible. Je le rappelle pour mémoire les piliers sont pleins (rectifiables ou taillables en bouche si besoin).

Encore plus simple non et zero investissement!

Je n'ai peut etre pas compris ce que vous vouliez!
--
"La vis est à l'implant ce que la carie est à la dent!" (Pozzi)


Mario ycg44a - Eugenol
Mario180

02/07/2012 à 19h12

Je conviens tout à fait que l'intérêt est très marginal, mais je pense notamment comme le dit justement D57 aux transmissions à des correspondants qui font la prothèse. Cela n'est pas mon cas, mais je reçois encore parfois des patients pour faire uniquement la prothèse.

Utile également lorsqu'on veut monter le pilier et installer une prothèse provisoire pour stabiliser les tissus mous, pour faire l'empreinte plus tard (parce qu'on a du chantier ailleurs ou x raison). Sinon, il faut démonter le pilier, et re-léser l'attache épithéliale.


C'est juste un moyen hyper simple d'obtenir des limites parfaites sans démontage du pilier.

Mais encore une fois, c'est comme l'iphone, on peut très bien s'en passer et il y a moyen de faire aussi bien voir mieux autrement, c'est très clair.

Mais a-t-on jamais un outil de trop ?


Logo m4n3gc - Eugenol
drmarcus

02/07/2012 à 20h11

Mario180 écrivait:
------------------
> Je conviens tout à fait que l'intérêt est très marginal, mais je pense notamment
> comme le dit justement D57 aux transmissions à des correspondants qui font la
> prothèse. >
> Mais a-t-on jamais un outil de trop ?

Bien sur que non un outil n'est jamais de trop.

Mais, par habitude je maintiens sans interet, et aujourd'hui avec une dizaine de correspondant ils se régalent, comme je dis "ils n'ont qu'à se mettre à table". Maintenant ils stressent en me demandant si ce sera toujours comme ça........ de peur de revenir en arrière.
Il faut découvrir le système et via ce forum seul c'est difficile.
Un chapeau à Pluton avec ses vidéos.

Je t'accorde un bémol pour la MCI quoique..... Je fais évoluer Posit sur ce sujet et finalement je crois qu'il optera pour la solution que je préconise. Un peu de patience que l'on fasse aboutir le principe.

--
"La vis est à l'implant ce que la carie est à la dent!" (Pozzi)


Mario ycg44a - Eugenol
Mario180

03/07/2012 à 12h10

drmarcus écrivait:
------------------
> Je t'accorde un bémol pour la MCI quoique..... Je fais évoluer Posit sur ce
> sujet et finalement je crois qu'il optera pour la solution que je préconise. Un
> peu de patience que l'on fasse aboutir le principe.
>

Justement non, plus maintenant, J'ai appris qu'ils vendaient à présent des gaines titanes pour les piliers coniques.
Problème résolu ;)


Cinquo ht16g4 - Eugenol
dentistevip

12/07/2012 à 10h50

si l'absence de vis est une de tes raisons de vivre, alors leone te siéra.

Paul-Henry


Mario ycg44a - Eugenol
Mario180

12/07/2012 à 11h19

bien vu ;)


Utilisateur banni

12/07/2012 à 17h25

.

Extraction implantation mci implants leone positdental  jylwuu - Eugenol

Logo m4n3gc - Eugenol
drmarcus

12/07/2012 à 19h36

Pas mal............ et sans vis savourez nonolien c'est une première Mondiale ! J'entends: sans AUCUNE vis.
Il parait que c'était impossible à faire!: Réponse d'un grand babu à AIXPO 2011. Sans Posit surement :-)))))

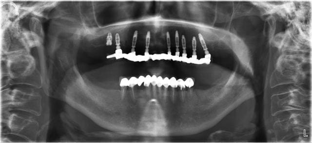
Un peu trop de taf pour soutenir la discussion. Je vous met la pano à 8 jours.

--
"La vis est à l'implant ce que la carie est à la dent!" (Pozzi)

Mci max axwnsl - Eugenol

01 ukhwbq - Eugenol
ʎqqoq

20/07/2012 à 23h32

Je relance le sujet parce que j'aimerais avoir des précisions quant à la réalisation de la prothèse.
Comme ça se passe?
-quand on utilise un pilier standard: vous le taillez en bouche et vous prenez un empreinte (galère...), le prothésiste s'en occupe et réalise directement la prothèse?
-pour les piliers angulés: Est-ce qu'il existe des bagues calcinables qui permettent au prothésiste d'avoir une adaptation top?

Comment ça se passe pour les labos qui ne connaissent pas le système? Ils peuvent s'y mettre assez facilement ou est-ce que la formation est de rigueur?
Merci


Smile beach jgh0a1 - Eugenol
Céramik

20/07/2012 à 23h53

-


Smile beach jgh0a1 - Eugenol
Céramik

20/07/2012 à 23h53

Il y a pas 2-3 vis pour maintenir le guide ?
;-))))))


--
Céramik


Photo pluton1b h9n4ea - Eugenol
pluton

21/07/2012 à 02h12

ʎqqoq écrivait:
---------------
> Je relance le sujet parce que j'aimerais avoir des précisions quant à la
> réalisation de la prothèse.
> Comme ça se passe?
> -quand on utilise un pilier standard: vous le taillez en bouche et vous prenez
> un empreinte (galère...), le prothésiste s'en occupe et réalise directement la
> prothèse?
> -pour les piliers angulés: Est-ce qu'il existe des bagues calcinables qui
> permettent au prothésiste d'avoir une adaptation top?
>
> Comment ça se passe pour les labos qui ne connaissent pas le système? Ils
> peuvent s'y mettre assez facilement ou est-ce que la formation est de rigueur?
> Merci

tout est là...

http://www.leone.it/english/implantology/prosthetic.php?img=1

pour tout te dire, mon prothésiste est ravi...et parle beaucoup du système autour de lui...


01 ukhwbq - Eugenol
ʎqqoq

21/07/2012 à 11h44

Je l'ai lu ça ;-) C'était juste pour avoir votre façon de procéder. Le commercial m'a donné les coordonnées d'un labo qui bosse sur Leone, mais il est super loin...


Photo pluton1b h9n4ea - Eugenol
pluton

21/07/2012 à 12h06

ma manière de procéder est très simple: je fais l'empreinte et je mets les analogues de labo en place
mon prothésiste traite l'empreinte, choisis les piliers (je lui ai donné le kit complet de piliers d'essai en plastique) les commande et me fait la prothèse...


01 ukhwbq - Eugenol
ʎqqoq

26/07/2012 à 00h37

Tu parles de kit pour choisir les piliers, ça veut dire que tu utilises principalement les piliers 360?


Logo m4n3gc - Eugenol
drmarcus

26/07/2012 à 09h34

Je me permet de répondre et donner mon avis sur l'utilisation de la boite de kit.
Elle permet le choix de tous les piliers, 360 ou non.
Dés que le choix est fait un pilier standard peut très bien convenir. Dans l'hypothèse où aucun ne va on choisit celui permettant la surcoulée.
C'est mon protho. qui choisit moi j'aime la facilité et c'est plus facile sur modèle.
Ensuite les "360" sont taillable également donc on fait ce que l'on veut!

--
"La vis est à l'implant ce que la carie est à la dent!" (Pozzi)


01 ukhwbq - Eugenol
ʎqqoq

26/07/2012 à 12h18

Merci Marc pour ta réponse.
J'ai une autre question concernant la séquence de forage. J'ai eu l'occasion de tester le système Zimmer, et la conicité du TSV fait que la séquence de forage se fait "toute seule" concernant l'axe, chaque foret étant bien guidé. Chez Leone, les forets ne me semblent pas être à étages, tu retrouves bien l'axe d'un foret à l'autre?
A vrai dire j'hésite avec le système Axiom. Mon associée serait plus partante pour ce dernier système, étant habituée aux systèmes "classiques"...


Mario ycg44a - Eugenol
Mario180

26/07/2012 à 13h42

ʎqqoq écrivait:
---------------
> Merci Marc pour ta réponse.
> J'ai une autre question concernant la séquence de forage. J'ai eu l'occasion de
> tester le système Zimmer, et la conicité du TSV fait que la séquence de forage
> se fait "toute seule" concernant l'axe, chaque foret étant bien guidé. Chez
> Leone, les forets ne me semblent pas être à étages, tu retrouves bien l'axe d'un
> foret à l'autre?
> A vrai dire j'hésite avec le système Axiom. Mon associée serait plus partante
> pour ce dernier système, étant habituée aux systèmes "classiques"...

Tiens, je connais cette situation... ;)


Logo m4n3gc - Eugenol
drmarcus

26/07/2012 à 13h59

Je ne sais pas si ma réponse te satisfera. Perso je n'aime pas les forets coniques je trouve que c'est un non sens. Par contre j'ai pratiqué une dizaine de système avec leur trousse respective et quel qu’il soit je n'ai eu aucun problème. C'est surement due à ma formation antérieure.
Tout ça pour dire qu'avec les Leone je n'ai aucun souci. J’apprécie surtout qu'une fois le foret pilote passé de ne plus avoir à me soucier de la profondeur de forage. C'est très sécurisant.
Je sais que Pluton préfère adjoindre son propre foret dans la séquence alors......c'est l'affaire de chacun.
Toutefois les forets à butée d'Odontec sont géniaux et je pense que y trouverais ton bonheur.

Quant au choix Anthogyr Leone là ça vous regarde. Tu connais ma philosophie par contre rien n'empêche de comparer l'investissement nécessaire pour un essai (Prothèse inclus).
Mais coté économie tissulaire et indication, en terme d'économie de santé en général, la réponse s'impose qu'on le veuille ou pas! Même les "babus" de Bordeaux l'ont reconnu; seulement (et déjà dit) Leone ne sponsorise pas........!

--
"La vis est à l'implant ce que la carie est à la dent!" (Pozzi)


Photo pluton1b h9n4ea - Eugenol
pluton

26/07/2012 à 16h19

drmarcus écrivait:
------------------
Perso je n'aime pas les forets
> coniques je trouve que c'est un non sens.

non, pas coniques...étagés...c'est fondamentalement différent...avec une progression régulière de 0.5mm maxi et une pointe reprenant le diamètre du foret précédant...donc guidé par le foret précédant...
faut que je te montre çà...;-)


> Je sais que Pluton préfère adjoindre son propre foret dans la séquence
> alors......c'est l'affaire de chacun.
> Toutefois les forets à butée d'Odontec sont géniaux et je pense que y trouverais
> ton bonheur.

la séquence de forage du leone c'est son point faible!!!
pas encore essayé les odontec... je viens de les avoir...