Cookie Consent byPrivacyPolicies.comune petite ROG en passant... - Eugenol

une petite ROG en passant...

Photo pluton1b h9n4ea - Eugenol
pluton

01/07/2012 à 21h34

je continue de poster des cas cliniques, j'en ai assez de la morosité de nonol en ce moment
même s'il y a des critiques, si c'est constructif, c'est mieux que rien...

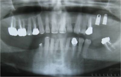
bon, comme dans le titre, une petite ROG avec pose de 3 leone (un 4.1/12 en 24, 4.1/8 en 25 et un 6.5/5 en 26)
pose de 3 cap de 1.5mm permettant de faire piquet de tente pour la rog réalisée avec du kasios et une membrane collagène AT de 22x22mm

désolé la vidéo est pas super, je n'avais qu'une seule assistante pour cette intervention donc pas de moyen de modifier les réglages en cours de chir...j'ai eu du mal à trouver des images vraiment exploitables

.be


Toriko ucqp9i - Eugenol
Giantcoco

01/07/2012 à 22h02

pas de soucis sur la technique mais je me pose toujours la question sur ce genre de cas quand je vois 3 implants et pas 2 avec bridge. qu'est ce qui motive le nombre? la trouille du "tiendra pas" c a d le manque de recul sur la durée de vie de la partie accastillage et le risque de casse, ou bien que l'os ne supportera pas les contraintes.
dernier consensus ITI que j'ai lu c'est pas de problème pour bridge même sur implant court, alors quid?


Logo vuaztn - Eugenol
mac

01/07/2012 à 22h10

Giantcoco écrivait:
-------------------
> pas de soucis sur la technique mais je me pose toujours la question sur ce genre
> de cas quand je vois 3 implants et pas 2 avec bridge. qu'est ce qui motive le
> nombre?

l'argent ou le manque de connaissances.


Photo pluton1b h9n4ea - Eugenol
pluton

01/07/2012 à 23h24

mac, t'es toujours sûr à 100% de tes rog?

sincèrement, j'aurais pas eu un implant court de 6.5mm planté dans à peine 3/4mm d'os, j'aurais fait un bridge entre 14 et 16...

à giantcoco, dans ton étude y figure ce genre de cas? ou c'est des implants courts totalement enfouis dans l'os?

donc "l'argent", non çà coûte moins cher que d'y retourner parce que çà a foiré, manque de connaissances, je me permets de te retourner la question parce que tu ne sais rien de ce patient, de ces antécédents ou même s'il bruxe ou non par ex (et oui, il bruxe...çà modifie quand même un peu les paramètres, non?)


Toriko ucqp9i - Eugenol
Giantcoco

01/07/2012 à 23h53

pluton écrivait:
----------------

> à giantcoco, dans ton étude y figure ce genre de cas? ou c'est des implants
> courts totalement enfouis dans l'os?

ouais implant de 6 mm posés "classiquement"
je posais juste la question car je vois régulièrement passer des cas de gros poseur ou l'on met systématiquement 3 implants pour remplacer les 4 5 et 6. Et je trouve ça gênant mais c'est a voir au cas par cas. d'ou ma question :)
>


Photo pluton1b h9n4ea - Eugenol
pluton

01/07/2012 à 23h59

ta question était bonne, t'inquiètes pas...;-)
là le cumul des risques m'a fait préférer bétonner en posant 3 implants et ce d'autant plus que j'avais largement la place


Img 1744 z0evts - Eugenol
dumaille

02/07/2012 à 00h03

Giantcoco écrivait:
-------------------

> je posais juste la question car je vois régulièrement passer des cas de gros
> poseur ou l'on met systématiquement 3 implants pour remplacer les 4 5 et 6. Et
> je trouve ça gênant mais c'est a voir au cas par cas. d'ou ma question :)
> >
qu'est que tu trouves gênant ?

--
La vie est une fête!


Toriko ucqp9i - Eugenol
Giantcoco

02/07/2012 à 00h34

j'ai un petite activité implantaire que j'essaie de conserver rationnelle dans ses indications, alors quand je vois les gros cabinets qui plantent pour planter en remplaçant des dents qui n'ont pas franchement d'antagoniste ou bien avec 14 implants pour 10 dents, je me dis que quand on a une grosse machine et bien il faut la faire tourner et que certaines considérations humaines deviennent secondaires.


Logo m4n3gc - Eugenol
drmarcus

02/07/2012 à 09h21

Belle maîtrise! Ce serait top si tu faisais du Prf.....

Pour répondre à ceux qui se pose la question du nombre d'implant:
Simple coté argent c'est réglé quant aux arcades complètes, la facturation est au forfait. Plus le praticien met des implants plus il est perdant suivant ce raisonnement. Il ne reste que le coté biomécanique et ça ne regarde que celui qui assure le travail.
Idem à partir de 3 implants, le 3ème est facturé à 50%..... ce qui rend l'amortissement sur 10 ans ridicule. L'os effectivement se porte mieux mais reste à gérer les espaces entre les implants.


--
"La vis est à l'implant ce que la carie est à la dent!" (Pozzi)


S2y2o1v7q53ws4r5wy6ou8czrpom - Eugenol
pxav

02/07/2012 à 09h32

Giantcoco écrivait:
-------------------

je me dis que quand on a une grosse machine et bien il
> faut la faire tourner et que certaines considérations humaines deviennent secondaires.

Tu as malheureusement raison, et ça ne fonctionne pas que pour les implants.
Ce qui n’empêche pas que dans certains cas, il est plus prudent de mettre plus que pas assez.
--
xbk
"Si tous ceux qui croient avoir raison n'avaient pas tort, la vérité ne serait pas loin" Dac Pierre


Logo vuaztn - Eugenol
mac

02/07/2012 à 10h02

pluton écrivait:
----------------
> mac, t'es toujours sûr à 100% de tes rog?
>
> sincèrement, j'aurais pas eu un implant court de 6.5mm planté dans à peine 3/4mm
> d'os, j'aurais fait un bridge entre 14 et 16...
>
> à giantcoco, dans ton étude y figure ce genre de cas? ou c'est des implants
> courts totalement enfouis dans l'os?
>
> donc "l'argent", non çà coûte moins cher que d'y retourner parce que çà a foiré,
> manque de connaissances, je me permets de te retourner la question parce que tu
> ne sais rien de ce patient, de ces antécédents ou même s'il bruxe ou non par ex
> (et oui, il bruxe...çà modifie quand même un peu les paramètres, non?)


donc si je comprends bien, ton problème c'est la " peur" de perdre l'implant en 16, donc si tu le perds, implant en 15 ou pas il faudra le remplacer quand même.

et ta ROG si elle marche pas tu déposes l'implant ou laisses un implant dans 3 mm d'os?


Photo pluton1b h9n4ea - Eugenol
pluton

02/07/2012 à 10h21

mac écrivait:
-------------

> donc si je comprends bien, ton problème...

non, je n'ai aucun problème, j'ai traité mon patient comme çà parce que mon plan de traitement était plus cohérent et sûr comme çà compte tenu de l'ensemble des paramètres/facteurs de risques qui caractérisent ce patient et dont tu n'as pas connaissance...

les études montrent aussi qu'on est tous capable de faire le funambule, çà peut passer, tu peux aussi te "viander"


RépondreCiter
Logo vuaztn - Eugenol
mac

02/07/2012 à 10h45

pluton écrivait:
----------------

> les études montrent aussi qu'on est tous capable de faire le funambule, çà peut
> passer, tu peux aussi te "viander"

faire un bridge de 3 dents sur 2 implants c'est faire le funambule?


Photo pluton1b h9n4ea - Eugenol
pluton

02/07/2012 à 11h20

mac écrivait:
-------------

> faire un bridge de 3 dents sur 2 implants c'est faire le funambule?

faire un bridge de 3 dents sur 2 implants, c'est quelque chose que je fais bien volontiers
dans ce cas, çà m'a paru être une prise de risque inutile

désolé mac, mais encore une fois, tu n'as pas tous les paramètres en main et juger de la nécessité ou non de placer un troisième implant est inapproprié...


RépondreCiter
Humator t9r5wy - Eugenol
humator

02/07/2012 à 11h58

moi, j'en aurais mis 4! ;-)
bon, sans rentrer dans la polémique du nombre d'implants, quelques remarques au passage:

1- merci pour le partage.

2- dommage, ta vidéo nous montre une grande partie de la pose implanto qui n'était peut être pas trop nécessaire, mais par contre, elle se termine un peu à la lelouche, en eau de boudin: on voit pas la fermeture des lambeaux, ce qui est assez intéressant dans ce type de cas. (enfin, j'ouvre ma gueule, mais moi, des vidéo, j'en fait pas!)

3- t'as mis la dose! il ne te restait qu'un gros flacon, ou bien c'est un choix délibéré?

4- bravo!

--
N.Hum


Photo pluton1b h9n4ea - Eugenol
pluton

02/07/2012 à 12h17

salut hum...;-)

pour la dose, c'est un 1cc et je n'ai pas tout mis...0.5cc çà aurait été un peu juste...je préfère un peu sur-corriger le défaut

pour la vidéo...j'aurais aimé mettre plus de choses, en effet avec les sutures...mais...plus de place sur la carte mémoire au moment de refermer donc pas les images (je me suis trompé de carte...j'ai mis une 8Go sur laquelle j'avais déjà des séquences filmées au lieu de celle vierge...)
quand même, vous voyez la dissection du périoste pour obtenir suffisamment de laxité du lambeau...

promis, je vous en ferai d'autres, de vidéos...et j'espère avoir un peu redonné envie à ceux qui postaient régulièrement de nous remontrer des images...photos et/ou vidéo...


Zz cnsu38 - Eugenol
toto48

02/07/2012 à 15h18

bravo et merci pour le partage.

pour ce qui est de nombre d'implant je l'aurais abordé comme toi mais j'aurais plus certainement cherché a gagner de l'os au niveau du sinus (le rapport implant/couronne ne semble pas poser problème).


Photo pluton1b h9n4ea - Eugenol
pluton

02/07/2012 à 15h28

toto48 écrivait:
----------------
> bravo et merci pour le partage.
>
> pour ce qui est de nombre d'implant je l'aurais abordé comme toi mais j'aurais
> plus certainement cherché a gagner de l'os au niveau du sinus (le rapport
> implant/couronne ne semble pas poser problème).

oui, mais t'as pas vu l'image dans le sinus?
l'orl ne veux pour l'instant pas y toucher mais j'avais son feu vert si pas de soulevé...et comme il y avait un défaut horizontal...et bien ROG...;-)


Zz cnsu38 - Eugenol
toto48

02/07/2012 à 16h04

effectivement, maintenant que tu le dis!


Morgan ztbb1b - Eugenol
BONNET jc

02/07/2012 à 16h34

On veut d' autres vdéo, please!


Photo pluton1b h9n4ea - Eugenol
pluton

02/07/2012 à 18h25

merci pour les encouragements
promis, il y en aura d'autres mais c'est bientôt les vacances pour moi...

merci aussi à ceux qui suivent le mouvement, D57, Chicot, humator entre autres qui postent à nouveau, allez les autres faites en autant...je suis sûr que growler, pxav, Pépé, etc...vous avez aussi des cas dans vos tiroirs...

je sais pas vous...mais moi, c'est comme çà que j'aime ce forum...;-)


Zz cnsu38 - Eugenol
toto48

03/07/2012 à 07h35

bon si j'attends le cas de ouf, super bien filmé, super bien réalisé... je crois que je ne posterai jamais alors je me lance



P.S. : si je n'étais pas prêt à accepter les critiques je ne posterai pas, alors allez-y!


Photo pluton1b h9n4ea - Eugenol
pluton

03/07/2012 à 09h35

toto48 écrivait:
----------------
> bon si j'attends le cas de ouf, super bien filmé, super bien réalisé... je crois
> que je ne posterai jamais alors je me lance

sincèrement t'aurais eu tords de pas te lancer...ta vidéo est plutôt bien faite, faudrait juste que tu mettes ta caméra sur pied...
du coup, je me sens moins seul à poster des vidéos...restait plus qu'alapex (et encore de plus en plus rarement...) en eugénologie...

> P.S. : si je n'étais pas prêt à accepter les critiques je ne posterai pas, alors
> allez-y!

les critiques sont toujours constructives si elles sont exprimées de telle manière qu'elles n'en deviennent pas blessante

tu n'as jamais, lors de tes sinus lift, regretté le col de 3mm juste sablé du TSV? ou regretté leur politique tarifaire?
si oui, faut que je te "parle du pays"...;-)


Blason dql7mj - Eugenol
growler

03/07/2012 à 10h17

c'est marrant toto48, tout bouge sur ta vidéo (cadre et titres) sauf ce qui nous interesse vivement c'est à dire le sujet qui est d'une stabilité surprenante. Tu as utilisé une fonction logiciel anti-bougé au montage ?
(et merci pour cette vidéo d'une intervention bien menée)


Zz cnsu38 - Eugenol
toto48

03/07/2012 à 10h40

j'ai débuté en implanto avec ZIMMER et le TSV, au fil de mon évolution j'ai commencé à lui trouver certaines limites: c'est un implant super polyvalent, un peu passe-partout donc génial pour débuter mais comme tu le dis le microfiletage peut manquer dans certaines indications.
Il l'ont d'ailleurs sorti désormais avec un mordançage jusqu'à la plateforme et les microspires (mais toujours avec la même connectique).
Tout ça et leurs tarifs, pour un implant pas franchement récent, ça a fini par me convaincre d'aller voir un peu ailleurs (Euroteknika pour le moment).

@growler: j'ai utiliser l'option stabilisation dans youtube et comme les légendes étaient déjà présentes...

je joins les radio et scan que j'avais oublié tout à l'heure.

Scan pr  op a4mzzk - Eugenol
Pr  op okjxp6 - Eugenol
Post op pnpnov - Eugenol

12