Cookie Consent byPrivacyPolicies.comCerec version 4.03 vous en pensez quoi? - Eugenol

Cerec version 4.03 vous en pensez quoi?

Img 4593 pnrtmh - Eugenol
teethsurfer

09/09/2012 à 22h11

Je confirme...
J'ai pu réaliser 2 bridges en Emax de 3 éléments sans problème grâce aux conseils de Vali avec la version 4.03 et l'en remercie encore.
La MCXL réduit d'abord curieusement la largeur du bloc B40 avant de tailler le bridge aussi simplement que si cela concernait un élément unitaire.
Voici les photos du premier cas, les embrasures ont été renforcées au maximum car la DV est très réduite, j'ai préféré l'option endocouronne sur la 15 qui semblait présenter plus de surface de collage qu'une reconstitution classique à ancrage avec tenon fibré, après test en résine d'un bridge provisoire.

827 lt37qm - Eugenol
843 tko1qy - Eugenol
641 d6iho9 - Eugenol
846 un2soq - Eugenol
Img 2645 kynf6r - Eugenol
Img 2662 f2glby - Eugenol

Scan10030 ukikhq - Eugenol
vava

09/09/2012 à 22h32

teethsurfer écrivait:
---------------------
> Je confirme...

sympa le provisoire en emax


Img 2951 flo3gr - Eugenol
molinarius

09/09/2012 à 22h45

N y a t il pas une librairie morphologique digne
D un bloc emax dans ton cerec?!! Car enfin là
Je suis assez d accord , même en provisoir on fait
Mieux!
Deplus même si la hauteur de construction est limité,
Toutes les ambrasures sont fermées .., vous n avez pas
Un module de calcul des forces vous permettant de régler
Les connections en fonction de la longueur, largeur , hauteur
Et des caracteristiques du materiau utilisé..?


Img 2951 flo3gr - Eugenol
molinarius

09/09/2012 à 22h48

J attend un add on pour usiner de l emax sur ma machine, en voyant ce
Cas je commence a douter...
Tu n as pas des screenshot de ta construction ?


Img 2951 flo3gr - Eugenol
molinarius

09/09/2012 à 23h08

2 bridges provisoire usiné dans un bloc de résine standard...

Photo 1 ulosq8 - Eugenol
Photo 2 wkvp6f - Eugenol
Photo 3 ygqaau - Eugenol
Photo 4 rfimga - Eugenol
Photo 5 iymyiz - Eugenol

Img 4593 pnrtmh - Eugenol
teethsurfer

10/09/2012 à 00h40

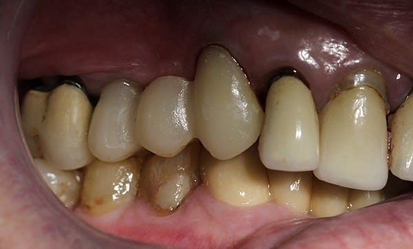
Effectivement je reconnais parfaitement que l'esthétique pourrait être améliorée...

Comme je l'ai dit, il s'agit de mon premier bridge en emax et l'articulé n'etait pas très favorable, ce qui m'a conduit à préférer donner la priorité à la solidité au dépend de l'esthétique car je ne voulais prendre aucun risque, quitte à exagérer volontairement les connexions, à la grande satisfaction de ma patiente âgée et arthritique qui désirait des séances courtes et sans position allongée.

Il est tout à fait possible d'accentuer les caractères anatomiques en augmentant la précision de l'outil de réglage biogénérique et obtenir des sillons plus fouillés avec des pentes cuspidiennes plus marquées ainsi que de galber et ouvrir les embrasures mais en diminuant en même temps l'épaisseur de la céramique...

J'ai aussi du reprendre totalement la forme et les dimensions de ce bridge en gonflant le tiers occlusal car la proposition du système n'était pas adaptée car trop réduite et anarchique , ce qui ne fut pas le cas de mon 2° bridge.

l ne s'agit pas ici d'un concours de beauté mais de la faisabilité de la réalisation d'un bridge avec la version 4.03, ce qui est de toute évidence tout à fait possible.


Img 2951 flo3gr - Eugenol
molinarius

10/09/2012 à 00h51

teethsurfer écrivait:
---------------------
> Effectivement je reconnais parfaitement que l'esthétique pourrait être
> améliorée...
>
> Comme je l'ai dit, il s'agit de mon premier bridge en emax et l'articulé n'etait
> pas très favorable, ce qui m'a conduit à préférer donner la priorité à la
> solidité au dépend de l'esthétique, à la grande satisfaction de ma patiente âgée
> et arthritique qui désirait des séances courtes et sans position allongée.
>
> Il est tout à fait possible d'accentuer les caractères anatomiques en augmentant
> la précision de l'outil de réglage biogénérique et obtenir des sillons plus
> fouillés avec des pentes cuspidiennes plus marquées mais en diminuant en même
> temps l'épaisseur de la céramique...
>
> J'ai aussi du reprendre totalement la forme et les dimensions de ce bridge en
> gonflant le tiers occlusal car la proposition du système n'était pas adaptée car
> trop réduite et anarchique , ce qui ne fut pas le cas de mon 2° bridge.
>
> Il ne s'agit pas ici d'un concours de beauté mais de la faisabilité de la
> réalisation d'un bridge avec la version 4.03, ce qui est tout à fait possible.

Non pas un concour, d ailleurs c'est bien de poster tout et pas seulement les cas les
Plus merveilleux...
Désolé je n avais pas vu que c'était ton premier bridge....
Sinon ne pas oublier que tu usines du monobloc, donc
n ai pas peur de casser a tout va , je ne connais pas ton soft
Mais je serais très surpris qu il ne t indique pas les limites du materiau
Via l utilusation de couleur , par exemple (rouge) quand c est trop fin ou bleu
quand il y largement de quoi faire ,.!?


Img 4593 pnrtmh - Eugenol
teethsurfer

10/09/2012 à 01h07

Les indications des limites sont très précises et il est facile de contrôler un manque d'épaisseur ou une surocclusion d'après le paramétrage que l'on définie au préalable, mais ce que j'ignore et que le soft ne m'indique pas, c'est la résistance des zones de connections qui apparaissent par défaut en rouge assimilable à une forte pression, ce qui est normal pour une continuité de céramique sensée représenter une interface et je suis allé au maximum, je transmettrai les photos du design du cabinet.

Avec l'expérience, je vais certainement ouvrir d'avantage les embrasures et fouiller l'anatomie, mes 2 bridges se comportant pour le moment très bien.

Jusqu'à présent je n'ai eu aucune casse en unitaire sur mes premiers mois de Cerec et j'espère bien que ce soit aussi le cas pour mes bridges mais je tache autant que possible de respecter les limites optimales des préparations que je réalise le plus souvent avec des fraises guides donnant une uniformité aux tailles tout en étant relativement économes de dentine.


Photo thumb 45 lnhuvp - Eugenol
wakrap

10/09/2012 à 08h59

A yé, j'ai eu ma première casse de couronne cerec, une nana (j'ai bien écrit une nana, pas une vahiné...) qui s'est battue, un uppercut, la mandibule a résisté mais mon empress sur la la 7 du bas a explosé en 2, la moitié vest est toujours en place. 2 ans que j'en fait, je dois être à 300 restaurations tout compris et c'est la première casse. La dent est intacte donc j'ai simplement regardé et elle repasse semaine prochaine, je collerai directement une nouvelle couronne usinée sur l'empreinte d'il y a un an.


Img 4593 pnrtmh - Eugenol
teethsurfer

10/09/2012 à 15h08

Cela m'arrivera certainement aussi un jour, les accidents de ce genre sont imprévisibles, d'autre part en fonction de la situation il nous arrive de prendre certains risques...

Voici les photos de la CAO, le soft m'a proposé un bridge décalé et en sous occlusion quoique bien fouillé comme expliqué précédemment,en le corrigeant j'ai perdu en anatomie mais gagné en équilibre et en solidité, j'aurai sans doute pu retravailler d'avantage les formes.
les connexions apparaissent en rouge et ont été étendues au maximum.

Les conseils pour mieux gérer ce type de problème sont toujours les bienvenus.

Img 2197 w2k4dm - Eugenol
Img 2198 avlkav - Eugenol
Img 2200 d7volg - Eugenol
Img 2207 tldoag - Eugenol
Img 2212 pag5jv - Eugenol
Img 2220 d4uqlr - Eugenol
Img 2214 b3mxne - Eugenol

Img 2951 flo3gr - Eugenol
molinarius

10/09/2012 à 15h45

teethsurfer écrivait:
---------------------
> Cela m'arrivera certainement aussi un jour, les accidents de ce genre sont
> imprévisibles, d'autre part en fonction de la situation il nous arrive de
> prendre certains risques...
>
> Voici les photos de la CAO, le soft m'a proposé un bridge décalé et en sous
> occlusion

Attention aux proposition du soft!! il ne propose rien en fait il positionne juste les dents , à toi de les modifier ( réduire , agrandir , tourner etc etc )


quoique bien fouillé comme expliqué précédemment,en le corrigeant j'ai
> perdu en anatomie mais gagné en équilibre et en solidité, j'aurai sans doute pu
> retravailler d'avantage les formes.
> les connexions apparaissent en rouge et ont été étendues au maximum.

j ai plutot l'impression que les zones rouge sont en fait les zones de pénétration d'une dent
dans une autre ..
Logiquement quand il s'agit d'une zone de connection , il y a une délimitation autour (pointillé) que tu peux modifier (étendre ou réduire)


>
> Les conseils pour mieux gérer ce type de problème sont toujours les bienvenus.

je ne connais pas ton soft , mais ils fonctionnent tous de la même manière à quelques détails pret .
Je trouve que la 15 est vraiment trop en sous occlusion ce qui à pour conscéquence de diminuer la hauteur de la dent et donc la zone de contact avec l'inter (14)
La 14 aussi est trop en sous occ ...

Sur mon soft , je peux modifier les zones de connection , je pense que tu dois pouvoir aussi le faire par exemple (cylindrique , ovoide, allonger horizontalement etc)




Img 2951 flo3gr - Eugenol
molinarius

10/09/2012 à 15h52

je viens de regarder les photos du bridge , qu'utilises tu pour le glacage ? l'aspet granuleux de l'état de surface n'est pas commun ...
J'ai l impression que ta température de glaçage n'est pas optimum , manque de brillance
regarde un peu ton programe de cuisson et apporte y des modifications (température ou temps de maintien) Faire attention au temps de séchage ...
Idem pour le maquillage , il vaut mieux le faire en 2 temps
En premier tu maquilles et tu cuit , et ensuite tu refait un cuisson de glasure par dessus ton maquillant déjà cuit ...


Img 4593 pnrtmh - Eugenol
teethsurfer

10/09/2012 à 23h02

Mon assistante a évoqué ce problème de surface granuleuse avec Vali qui lui a conseillé de ne pas utiliser le liquide diluant pour les maquillants mais le remplacer par la glazure liquide sans en rajouter avant cuisson.

D'autre part, elle nous a aussi conseillé de réaliser 2 cuissons, mais la première pour transformer le bleu en la teinte de base choisie et la deuxième pour les maquillants.

Comment procèdes tu exactement, une première cuisson avec maquillage sur le bleu et ensuite une deuxième avec glazure liquide?
Quels programmes et quel four?

Mes programmes ont été paramétrés par des formateurs d'Ivoclar.

J'ai essayé de mettre en contact les cuspides vestibulaires des 14 et 15 mais le résultat était totalement disproportionné et risquait de créer des interférences latérales, je n'ai donc conservé que les contacts des cuspides palatines.

Je peux donner la forme que je désire aux connections mais je n'ai jamais encore vu de délimitation en pointillé (emax ou telio), en avez-vous eu en 4.03?

Quel soft utilises tu, celui de labo ou le chairside?
Sur l'autre bridge en emax ainsi que sur mon premier telio, je n'ai eu que des retouches esthétiques et latérales, le 4.03 m'a bien géré l'occlusion pourtant aussi problématique que pour ce cas.

Voici encore des photos concernant l'intrados et la sculpture des faces occlusales nécessaire pour ce bridge.

Img 2382 xeso4l - Eugenol
Img 2440 usyhed - Eugenol
Img 2404 z4tv5x - Eugenol
Img 2457 oudipl - Eugenol

Photo thumb 45 lnhuvp - Eugenol
wakrap

11/09/2012 à 00h15

Si tu fais une cuisson préalable pour simplement le changement de teinte, tu peux raccourcir le temps de séchage de 5 à 1 mn au départ comme tu n'as pas de glaze.
Ce qui compte pour de bonnes propriétés mécaniques, c'est le deuxième plateau de cuisson de 7 mn à 840°(en particulier pour un bridge), celui là il te le faut à un moment où un autre au cours de tes différentes cuissons.

Pour l'aspect granuleux, j'en ai eu aussi à un moment et je l'ai corrigé en changeant souvent la glaze (jamais plus de une semaine dans son distributeur) qui a tendance à sécher et faire ces petits granules.


87 ujotte - Eugenol
Spatouille

11/09/2012 à 01h09

Il ne faut pas confondre cuisson de cristallisation où le blue-bloc acquiert sa teinte et sa solidité et cuisson de caractérisation ou encore de glaçage ... celà fait en fait trois cuissons , car molinarius à raison, il vaut mieux d'abord réaliser le maquillage, le fixer par une cuisson basse et le recouvrir par de la glazure ...

@Wakrap, la stabilisation à 840 pendant 7mn doit être réalisée uniquement lors de la cuisson de cristallisation (passage du bleu à la teinte) , tu ne maintient pas une glazure aussi longtemps en stabilisation à température finale, elle jaunirait .... (les stains pareil)

pourtant certain le font lors de la cristallisation pour gagner une cuisson (cf le post de teethsurfer), mais c'est un non sens, sans le support visuel d'un bloc à sa teinte finale comment estimer la quantité de maquillants à appliquer ? et je redit que ce ne sont pas des produit fait pour résister à une si longue stabilisation ...

l'état de surface n'a rien à voir avec la quantité de glazure appliquée ou sa qualité ... c'est une conséquence du macro relief de la pièce usinée, il conviendra de l'adoucir avec une meulette silicone avant les cuissons citée plus haut ...


@Vali, je m'aperçoit que je t'ai oublié avec les vacances, je te ramène ça très vite !


Photo thumb 45 lnhuvp - Eugenol
wakrap

11/09/2012 à 01h30

Oui, je n'ai pas tout détaillé, mais on peut faire une seule cuisson globale avec ces 7 mn, c'est même le protocole standard et la glasure fait avec. Je n'avais pas notion de ce que tu décris pour ce jaunissement de glasure, ça doit arriver donc quand on fait une cuisson de finition trop longue sur une céram déjà cristallisée. Mais bon, aucune raison de faire deux cristallisations aussi.

Comme tu dois sans aucun doute connaître tes sources, je vais, quand le temps est disponible, faire selon ton protocole et bien séparer la cristallisation des autres cuissons. Mais on est plus du tout dans la logique de la couronne réalisée dans la séance.
En ce sens, ne vaut-il pas mieux, selon toi, utiliser les nouveaux protocoles de cuisson rapide proposés qui diminuent un peu les caractéristiques mécaniques, mais qui ne nuisent donc pas à la glasure avec un palier limité à 3 ou 4 minutes?

Pour l'état de surface, je maintiens mon propos, non pas que c'est la seule cause, mais c'en est une à éliminer, en tout cas j'y suis confronté, dans mon pays chaud.


damdam

11/09/2012 à 15h15

vali écrivait:
--------------
> Vmdeugénol écrivait:
> -------------------- > Vali la réponse concernant la dimension des blocs résines
> à teethsurfer est > vraiment d'intérêt général pour cette affaire de bridge B40
> Emax.
> > C'est dommage de ne pas développer!
> > > Pour l'instant je suis en vacances jusqu'en septembre mais je garde un oeil
> sur > nonol à l'approche des côtes quand la 3G donne.
> > > @ et bonnes vacances à tous >
> > > teethsurfer écrivait:
> > --------------------- >
> > > > > Pour Vali: Gilles Bismuth est en vacances jusqu'à fin août et je tombe
> sur une > > boîte vocale chez Sirona!
> > > Tu programmes bien du B55 en Telio avec un bloc Emax B40, pour quelle
> raison.
>
>
>
> Bonjour,
> J'ai répondu à teethsurfer mais pas sur le forum ;-)
> En fait le B55 est de la même longueur que le B40 donc la machine le reconnaît.
> À la dernière étape juste avant l'usinage tu vas dans " changer la taille du
> bloc" la il te propose deux solutions. Ou B40L ( qui est beaucoup trop long, il
> faut des fraises 20S et impossibles de se procurer les blocs) ou B55 qui a la
> même longueur que le B40 mais pas la même largeur mais ça ce n'est pas grave la
> machine acceptée quand même.
> J'espère avoir répondu à ta question.
> Bonne journée
>
> --
> AD qui adore son CEREC.

Attention à vos moteur de la mcxl qui forcent un peu plus en croyant attaquer de la résine alors que c' est de la céram....
Ça coûte cher en rep

Je suis revenu à utiliser inlab avec bridge en mode réduit sans faire la réduction et sélectionner le matériau vita Zirconia en BZ 40
La au moins le moteur sait qu il va tomber sur du dur.....

Peut être que je suis peureux... Est ce que quelqu 'un a des infos plus précises qui tendraient à dire qu' il n' y a aucun risque pour les moteurs?

Pour l'aspect peau d'orange ne pas oublier que le d'entamer est très gras et donc de bien dégraisser la pièce avant glaçage. J'utilise une brosse souple avec du savon liquide et depuis je n'ai plus ce problème.

En espérant aider de ma maigre expérience....


Img 4593 pnrtmh - Eugenol
teethsurfer

11/09/2012 à 16h42

Vali m'a fait remarquer que l'emax bleu est plus tendre que la résine, il obtient sa dureté uniquement après cristallisation...donc ce serait encore une rumeur parmi tant d'autres comme celle que la machine ferait un bruit d'enfer lors de la fabrication, ce que je n'ai absolument pas remarqué, la taille se fait tout à fait normalement!

Pour la suite des programmes à partir d'un four Ivoclar, où situer vous le speed dans les cuissons multiples?


Image ag8nh7 - Eugenol
vali

11/09/2012 à 17h46

plus tendre que de l'empress hihihi.


--
AD qui adore son CEREC.


Image ag8nh7 - Eugenol
vali

11/09/2012 à 18h21

Avant la cuisson l'emax se situe entre 130mpa et 150mpa après cuisson 360mpa;
L'empress a une résistance de 160mpa.
et les blocs telio cad 130mpa.


--
AD qui adore son CEREC.


Photo thumb 45 lnhuvp - Eugenol
wakrap

11/09/2012 à 18h42

Je pense, pour pouvoir juger au niveau du fraisage, qu'il faut avoir la dureté de l'emax bleu. Cuit c'est 5800 vickers. Pas cuit, j'en sais rien, j'ai pas trouvé sur les doc ivoclar. Ce qui est annoncé sur les doc c'est la résistance à la flexion qui est doublée à la cuisson et qui démarre au niveau de l'empress avant cuisson.
Pour les moteurs, je pense que ce qui compte c'est la distance de passage de la fraise entre chaque passage. Cette distance est augmentée quand tu sélectionnes usinage rapide, et là ça doit forcer, mais pour de l'emax cette option n'est pas valide, probablement en raison de la dureté vickers du produit.
Pour le telio, ils donnent 180 vickers soit 30 fois moins que l'emax cuit(pas cuit?), mais le temps d'usinage me semble le même, les paliers seraient donc identiques entre chaque passage de fraise. J'aurai tendance à penser qu'il ne devrait pas y avoir de problème.
D'autre part le telio bourre les fraises qui sont très vite moins efficaces et ça force encore plus à mon avis de ce point de vue.


Image ag8nh7 - Eugenol
vali

11/09/2012 à 19h18

heu!!! si si tu peux faire un usinage rapide sur emax.



--
AD qui adore son CEREC.


Image ag8nh7 - Eugenol
vali

11/09/2012 à 19h23

ok! je vais mener l'enquête auprès d'ivoclar pour la résistance vickers. hihihi!!!! j'adore les mission.


--
AD qui adore son CEREC.


Photo thumb 45 lnhuvp - Eugenol
wakrap

11/09/2012 à 19h25

Mais dis moi, tu les aimes bien les missions auprès d'ivoclar.......
Réponse dans la nuit?


Photo thumb 45 lnhuvp - Eugenol
wakrap

11/09/2012 à 19h27

vali écrivait:
--------------
> heu!!! si si tu peux faire un usinage rapide sur emax.
>
>
>
Je vais vérifier, car je ne pouvais pas , peut être alors en rapport avec ma vieille MCl, je n'ai pas regardé depuis que j'ai une mcxl


12345...