Cookie Consent byPrivacyPolicies.comCerec version 4.03 vous en pensez quoi? - Eugenol

Cerec version 4.03 vous en pensez quoi?

87 ujotte - Eugenol
Spatouille

08/10/2012 à 21h12

pour molinarius,

depuis le blue bloc jusqu'au glaçage .

008 bagip9 - Eugenol
009 dfb6sm - Eugenol
010 g4xlop - Eugenol
011 kxials - Eugenol
012 tp6aby - Eugenol
013 uxufzm - Eugenol
014 dz8qi6 - Eugenol

Image ag8nh7 - Eugenol
vali

08/10/2012 à 21h16

Et pour vali! Il y a rien pour vali ;-P
Non je déconne.
Beau travail.


--
AD qui adore son CEREC.


87 ujotte - Eugenol
Spatouille

08/10/2012 à 21h35

aïe je me fait tirer l'oreille ... :)
tkt, je pense à toi .

merci pour le taf mais peut mieux faire et pour les photos aussi ...


Img 2951 flo3gr - Eugenol
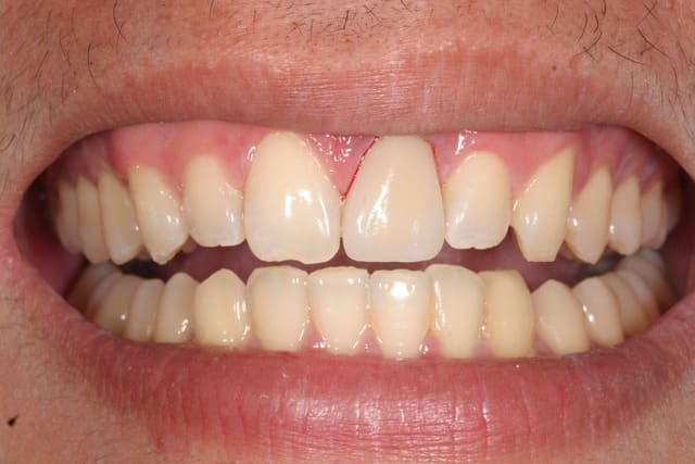
molinarius

08/10/2012 à 22h51

Spatouille écrivait:
--------------------
> pour molinarius,
>
> depuis le blue bloc jusqu'au glaçage .

merci spatouille ..
*

ca me donne un véritable aperçu de labo ;) *

>


Photo thumb 45 lnhuvp - Eugenol
wakrap

23/10/2012 à 02h35

Oh, j'ai fait une vilaine tache bleue sur la porcelaine, et je l'avais pas vue avant la photo, trop tard, le patient non plus.
Je sais pas faire mieux et j'espère bien trouver des formations de maquillage. Racine très sombre, scellement avec multilink jaune, sinon empress multi teinte A1.
En regardant la photo, elle est trop sympa, en réalité les dents naturelles sont beaucoup plus translucides en incisal qui est assez gris au naturel, donc l'empress se remarque plus nettement qu'on le voit sur la photo

Img 6324 vf6kfe - Eugenol

vmdeugénol

25/10/2012 à 11h20

Super boulot et beau mimétisme, juste une remarque morphologique les courbes distales sont un peu trop rectilignes, un mode reproduction aurait réduit cet effet un peu triangulaire pour reprendre les courbes de la voisine.


Photo thumb 45 lnhuvp - Eugenol
wakrap

25/10/2012 à 12h03

Oui, c'est un de mes soucis, comme j'ai une redcam bidouillée, je peux pas fonctionner en copie biogénérique quand je passe sur le soft 4. Bientôt, avec l'omnicam, la vie sera plus simple, je compte les jours maintenant...


vmdeugénol

25/10/2012 à 12h24

Tu peux aussi installer une 3.5 avec son système sur un HDD à part et utiliser le mode reproduction de cette version qui est super fiable et rapide.
C'est une solution de secours toujours rassurante. La 3.5 est la version la plus aboutie pour les Cerec3D et Cerec AC.
Avec l'omnicam les choses seront un peut-être un peu longues à se mettre en place.


Image ag8nh7 - Eugenol
vali

10/11/2012 à 23h18

Dis spatouille je trouve parfois que le mahogany est trop foncé pour les sillons. tu aurais pas une idée?
Merki ;-)


--
AD qui adore son CEREC.


87 ujotte - Eugenol
Spatouille

11/11/2012 à 00h15

euh ... en utilisé un autre ? :D

le orange peut être bien. sinon tu peut tous les mélanger entre eux, donc éclaircir le mahogany avec un clair ...

je ne connais pas le packaging de la version cab d'e.max, ce sont bien des stains dont tu me parles ? sinon tu peut acheter le coffret essence (au rayon protho) là tu aura du choix en couleur.
et tu en auras pour toute ta carrière !


tient, pour parfaire ta morpho, trouver "facilement" une symétrie entre deux centrales voici un truc facile à mettre en oeuvre ... en haut à gauche tu à "voir les photos" c'est plus parlant

http://www.ubassy.com/fr/trucs/trucs_main.php?NumTrucs=2#

:)


Image ag8nh7 - Eugenol
vali

11/11/2012 à 12h46

Cool.
J'ai suivi une formation sur les états de surfaces et volumes, c'était la même technique.
Le site à l'air très interessant merci spatouille. Si tu viens sur paris je te paye un resto. :-)
Oui c'est les stains que j'utilise. Je vais regarder le catalogue prothésiste.
Je me sers tous les jours de tes planches.
Encore un grand merci pour ta gentillesse.

--
AD qui adore son CEREC.


87 ujotte - Eugenol
Spatouille

11/11/2012 à 16h42

:)


1...89