Cookie Consent byPrivacyPolicies.comCerec version 4.03 vous en pensez quoi? - Eugenol

Cerec version 4.03 vous en pensez quoi?

Capture d  cran 2015 03 12 12.28 - Eugenol
chicot29

27/09/2012 à 22h35

denlv35 écrivait:
-----------------

> Mon expérience sur une machine Chronophage,
> reconstitution molaire incisive canine : taille, empreinte, maquillage, pose
> :une heure
> prémolaire : 45 min
> et je m'arrange toujours pour effectuer un soin pendant la phase d'usinage et
> passage au four
>
> j'ai du mal a voir la perte de temps
>

Tu parles de couronnes ou d'onlays ?
Cet aprem pulpec 13,34 empreinte provisoire 1h15. séance suivante pose des 2 ic ccm 15 mn. tu as raison c'est pareil. juste que tu as les pulpecs et les reconstitutions coronaires dans la vue et les remboursements ic aussi. . Dans ce cas précis 183*2-79.56*2 = 206.88 euros de perdus pour une modeste complémentaire à 170%. Je te raconte pas à 300%.

R23 xiw4mg - Eugenol
R6 wzkwbf - Eugenol
R8 nkl6wq - Eugenol
R20 pfohue - Eugenol

Img 2951 flo3gr - Eugenol
molinarius

27/09/2012 à 22h35

wakrap écrivait:
----------------
> Terminé hier soir, 6 demi journées de travail, pas de provisoire sauf les
> centrales qui seront reprises quand la gencive sera cicatrisée. Toutes les dents
> pulpées sauf deux 6 qui ont pas supporté et ont du être dévitalisées car
> partaient en pulpite.
> Qu'est ce qu'on s'éclate avec le cerec

quid de la transparence du bord libre ? incisale ?
en tant que prothésiste si je livre ce genre prothèse c'est que l'on m a commandé
des céramiques type CMU ou Monocouche ...

Je suis de plus en plus inquiet de voir les résultats obtenus sachant que dans quelques jours
je vais recevoir un kit d'usinage dit humide pour usiner des vita blocs ou emax CAD

Pour l'instant hormis quelques onlay rien de bien concluant ...

wakrap je ne juge pas ton travail mais les résultas obtenue par le système ...


Image ag8nh7 - Eugenol
vali

27/09/2012 à 22h46


Je crois que wakrap n'a fait aucun maquillage.

--
AD qui adore son CEREC.


Image ag8nh7 - Eugenol
vali

27/09/2012 à 22h48



Quel matériaux à tu utilisé?
Avec un emax HT tu récupère de la transparence.
--
AD qui adore son CEREC.


Capture d  cran 2015 03 12 12.28 - Eugenol
chicot29

27/09/2012 à 22h59

molinarius écrivait:
--------------------
> wakrap écrivait:
> ----------------
> > Terminé hier soir, 6 demi journées de travail, pas de provisoire sauf les
> > centrales qui seront reprises quand la gencive sera cicatrisée. Toutes les
> dents
> > pulpées sauf deux 6 qui ont pas supporté et ont du être dévitalisées car
> > partaient en pulpite.
> > Qu'est ce qu'on s'éclate avec le cerec
>
> quid de la transparence du bord libre ? incisale ?
> en tant que prothésiste si je livre ce genre prothèse c'est que l'on m a
> commandé
> des céramiques type CMU ou Monocouche ...
>
> Je suis de plus en plus inquiet de voir les résultats obtenus sachant que dans
> quelques jours
> je vais recevoir un kit d'usinage dit humide pour usiner des vita blocs ou emax
> CAD
>
> Pour l'instant hormis quelques onlay rien de bien concluant ...
>
> wakrap je ne juge pas ton travail mais les résultas obtenue par le système ...

+1 mais on voit quand meme le fameux mimétisme de la ceram !)))))


Capture d  cran 2015 03 12 12.28 - Eugenol
chicot29

27/09/2012 à 23h06

Au fait les céréquistes pour faire passer les devis des onlays, vous faites comme avant 2006 pour les cérams ? A savoir anticiper une éventuelle cotation spr 50 ?


Photo thumb 45 lnhuvp - Eugenol
wakrap

27/09/2012 à 23h19

Ah ben oui, très peu de maquillage, emax HT A1 sur tout sauf les incisives et inc en empress multi A1. C'était la demande de la patiente, sourire USA. Et encore j'ai pu éviter de lui mettre du BL1, vous savez la touche de piano opaque comme ils aiment bien à LA, mais ici on est près des USA.
Moi aussi j'aime pas trop, mais bon, je fais toujours avec la demande des patients. D'aileurs la photo rend pas très bien à ce niveau car j'ai quand même mis du bleu sur l'incisal ant (sur du multi) et ça se voit pas à la photo.
Et comme toujours, je sus pas cher du tout, si ils veulent mettre le prix, on passe par un labo. Mais rares sont ceux qui peuvent se payer un tel travail en passant par un labo.


Image ag8nh7 - Eugenol
vali

27/09/2012 à 23h22

Molinarius, pas de stress tu es prothésiste, aucun de nous ne l'est. Ton travail sera beaucoup plus finis j'en suis sûre.
D'ailleurs tu nous montreras que l'on prenne notre claque.


--
AD qui adore son CEREC.


Photo thumb 45 lnhuvp - Eugenol
wakrap

27/09/2012 à 23h30

Pour résumer , je suis pas très copain avec ceux qui prétendent que le cerec c'est le top, qui racontent que l'on fait de belles couronnes comme dans un labo si l'on utilise le cerec à la séance, c'est du foutage de gueule et il y aura toujours du travail pour les labos à ce sujet.
Maintenant, 10% de la population se paie de belles bagnoles, je crois logique que 10% de la population se paie de belles dents de labo, le reste s'adaptera. La solution à la vali est idéale à mon sens, mais concevable dans des cabinets de groupe, moi je suis seul (on est 2 dentistes pour 10 000 habitants et 20 % de chômeurs sans droits sociaux particuliers ni chômage)dans une commune pas riche du tout. J'ai pas de vali sous la main.


Img 2951 flo3gr - Eugenol
molinarius

27/09/2012 à 23h31

vali écrivait:
--------------
> Molinarius, pas de stress tu es prothésiste, aucun de nous ne l'est. Ton travail
> sera beaucoup plus finis j'en suis sûre.
> D'ailleurs tu nous montreras que l'on prenne notre claque.
>
>
> --
> AD qui adore son CEREC.

c'est gentil vali

Cependant je reste quand même un peu dubitatif , je sais que le principale problème de l'usinage sous humide du cerec est les tailles des fraises disponible , et surtout qu'elles soient diamantées ... bon vient ensuite le soft et ses possibilités ..
En dernier le choix du matériau usiné ...et j'entend parler tout le temps emax , mais sous cette forme ( blue bloc) j'ai comme l'impression que c'est nettement en dessous de l'emax
stratifié ou pressé ..

je ne stress pas juste je n'aimerais pas que cet add on que j ai commandé termine au fond d'un placard ... :)


Capture d  cran 2015 03 12 12.28 - Eugenol
chicot29

27/09/2012 à 23h32

denlv35 écrivait:
-----------------
> après tout ce n'est peut être qu'une question d'organisation

Ouais, un labo, un prothésiste , 2 fauteuils et 2 assistantes en plus de la bécane. Tu me trouves la clientèle pour faire des onlays toute la journée pour faire vivre tout ce beau monde et on y va.


Photo thumb 45 lnhuvp - Eugenol
wakrap

27/09/2012 à 23h45

"Ouais, un labo, un prothésiste , 2 fauteuils et 2 assistantes en plus de la bécane. Tu me trouves la clientèle pour faire des onlays toute la journée pour faire vivre tout ce beau monde et on y va."

Eh oui, à côté il y a la vrai vie, loin de la théorie.


Capture d  cran 2015 03 12 12.28 - Eugenol
chicot29

27/09/2012 à 23h47

C'est con, mais je l'aimais bien cette bécane. Malheureusement pas du tout adaptée à notre NGAP de merde.


Image ag8nh7 - Eugenol
vali

28/09/2012 à 00h07

Au cab il y a moi et deux dentistes.
Je suis l'assistante ( avec tout ce que ca comporte) de l'un et je fais les prothèses pour les deux.
Bien sur nous travaillons aussi avec trois labos mais 90% des céramique sorte du cerec.

Je crois que c'est possible il faut juste former les prothésistes au métier d'assistante et hop plein de vali hihihi!!!


--
AD qui adore son CEREC.


Image ag8nh7 - Eugenol
vali

28/09/2012 à 00h12


Molinarius c'est exactement ce que je reproche au cerec la taille des fraises.
En quoi le fait qu'elle soit diamenté est il un probleme? Elle s'use plus vite??

--
AD qui adore son CEREC.


Capture d  cran 2015 03 12 12.28 - Eugenol
chicot29

28/09/2012 à 00h52

vali écrivait:
--------------
> Au cab il y a moi et deux dentistes.
> Je suis l'assistante ( avec tout ce que ca comporte) de l'un et je fais les
> prothèses pour les deux.
> Bien sur nous travaillons aussi avec trois labos mais 90% des céramique sorte du
> cerec.
>
> Je crois que c'est possible il faut juste former les prothésistes au métier
> d'assistante et hop plein de vali hihihi!!!
>
>
> --
> AD qui adore son CEREC.

Eh ben, si j'en avais une comme toi qui en plus motive a mort les patients je l'aurais encore le cerec. 3000 éléments sur 3 ans chapeau !


Img 2951 flo3gr - Eugenol
molinarius

28/09/2012 à 01h23

vali écrivait:
--------------
>
> Molinarius c'est exactement ce que je reproche au cerec la taille des fraises.
> En quoi le fait qu'elle soit diamenté est il un probleme? Elle s'use plus vite??
>
> --
> AD qui adore son CEREC.

les fraise s'usent plus vite ... pas sure tout dépend de la qualité ..
je pense plus qu'elles sont moins précises à la longue ,ne permettent pas un usinage
à la hauteur d'un modeling aussi parfait soit il .. n 'as tu pas remarqué des différences entre
ta modélisation et la pièce usiné?

pour info , sur ma machine je peux fraiser avec des fraises de 0,3 ce qui je peux te le dire permet d'obtenir des états de surface et des détails assez sympa ... mais elles sont en tungstène ... car les matériaux que j'usine peuvent être "découpés" pas l'emax ..

Mais je te promet , dès que le kit arrive , de poster les premiers tests ... et même pourquoi pas faire un essai avec un de tes fichier ;)


87 ujotte - Eugenol
Spatouille

28/09/2012 à 03h43

même avec une fraise neuve, tu ne pourras pas "creuser" autant tes sillons qu'en zr ...
et de toutes façons, beaucoup de préparation "à minima" de nos clients ne te permettront pas d'avoir l'épaisseur suffisante pour faire des sillons profonds (mini 0.8 pour le sillons médian) au détriment de la morpho ...
je cherche encore la fraise magique qui permet de les recreuser finement sans risquer de fêlé la couronne ....

il n'y a pas de différence esthétique entre monobloc usiné et monobloc pressé.
l'intérêt de l'usinage de l'emax est d'avoir un produit d'appel au prix assez bas pour les monoblocs maquillés et la possibilité de faire du très beau travail avec une stratification très très rapide (cut back) pour le prix d'une ccm, ce qui n'est pas vrai en pressé ...

tu trouveras vite les trucs pour sortir du good job.


Capture d  cran 2015 03 12 12.28 - Eugenol
chicot29

28/09/2012 à 11h28

vmdeugénol écrivait:
--------------------
> C'est un cas de figure assez fréquent, le gars qui jette l'éponge comme çà.
> Par contre il faut aussi remarquer que dans les grands meeting Cerec, ceux qui
> réunissent les plus grands spécialistes mondiaux, donc là où c'est qu'on peut
> apprendre des choses qui pourraient être utiles, on ne rencontre au maximum que
> 1% de dentistes français (pas plus tard que la semaine dernière 4 frenchy sur
> 450 participants du monde entier et encore parce que j'avais embarqué 3
> jeunes!!!).
>
> Donc ce qui en ressort c'est que sans formation valable et assurée par de vrais
> enseignants qui pratiquent depuis longtemps (et c'est pas pour demain en France)
> on rencontre beaucoup de difficultés pour passer vers des techniques qui vont
> changer complètement l'exercice professionnel.
>
> Il ne s'agit pas simplement d'investir mais surtout de s'investir..............
> sinon il y a de très bons labos, alginates...et autres vieilleries qui
> fonctionnent encore à merveille!!!!


J'ai renoncé pour 2 raisons :

1. Nomenclature inadaptée en France pour le cerec dont l'utilisation augmente le reste à charge pour les patients (pas de possibilité de faire d'ic, base de remboursement ridicule pour les onlays (40.97 au max).
2. Diminution du temps passé au fauteuil ( c'est un peu le but d'un dentiste) au profit d'un travail de labo ou cependant on gagne du temps comparé à des techniques conventionnelles c'est sur !))))

Pas parceque j'ai eu des difficultés à m'en servir. Le poudrage m'a bien cassé les pieds pourtant.

Bref si la nomenclature change on pourra utiliser la machine à fond sans passer 3 plombes à justifier des devis pour la plupart refusés actuellement, ce qui permettra d'embaucher un prothésiste et se consacrer à 100% à l'exercice au fauteuil.
Ça arrivera quand les poules auront des implants. En attendant j’affûte mes r25 et feu !))))
Il ne manque pas grand chose pourtant : spr 107 pour une couronne et suppression du spr 57, cotation spr 50 pour les onlays au lieu de sc17.












vmdeugénol

28/09/2012 à 14h05

Justement, il faut se renseigner sur les nouvelles formes de préparations, de restaurations qui sont tout à fait compatible avec notre vieille nomenclature obsolète.
L'inlay onlay ne constitue pas le fer de lance de la dentisterie moderne, c'est un très vieil acte hérité de la dentisterie rétentive de la fin du 19ième début du 20ième.
Loin de moi l'idée de relancer une millème polémique sur la nomenclature et les données actuelles de la science dentaire.
Juste une remarque, alors que l'amalgame est encore soutenu, les milieux scientifiques prévoient la fin des compos aux bisphénols et autres gourmandises pour 2020...

Le temps de réalisation d'un élément pour un dentiste formé et entrainé, donc juste un dentiste professionnel si on peut dire, est d'environ 30' de A à Z avec un cerec 3D ou AC.
Le poudrage fait partie de l'apprentissage et ne constitue pas un problème particulier.

Le seul vrai problème est dans la formation à la dentisterie du 21ième siècle...

Le regret et la nostalgie du passé sont aussi toxique qu'une espérance qui ne serait qu'un désir sans les moyens, tout cela nous pousse vers les passions tristes chères à Spinosa que Freud placera dans son oeuvre comme les piliers de la maladie mentale.

WaOOOUUU !!


chicot29 écrivait:
------------------

>
>
> J'ai renoncé pour 2 raisons :
>
> 1. Nomenclature inadaptée en France pour le cerec dont l'utilisation augmente le
> reste à charge pour les patients (pas de possibilité de faire d'ic, base de
> remboursement ridicule pour les onlays (40.97 au max).
> 2. Diminution du temps passé au fauteuil ( c'est un peu le but d'un dentiste) au
> profit d'un travail de labo ou cependant on gagne du temps comparé à des
> techniques conventionnelles c'est sur !))))
>
> Pas parceque j'ai eu des difficultés à m'en servir. Le poudrage m'a bien cassé
> les pieds pourtant.
>
> Bref si la nomenclature change on pourra utiliser la machine à fond sans passer
> 3 plombes à justifier des devis pour la plupart refusés actuellement, ce qui
> permettra d'embaucher un prothésiste et se consacrer à 100% à l'exercice au
> fauteuil.
> Ça arrivera quand les poules auront des implants. En attendant j’affûte mes r25
> et feu !))))
> Il ne manque pas grand chose pourtant : spr 107 pour une couronne et suppression
> du spr 57, cotation spr 50 pour les onlays au lieu de sc17.
>
>
>
>
>
>
>
>
>
>
>


Capture d  cran 2015 03 12 12.28 - Eugenol
chicot29

28/09/2012 à 15h39

"L'inlay onlay ne constitue pas le fer de lance de la dentisterie moderne, c'est un très vieil acte hérité de la dentisterie rétentive de la fin du 19ième début du 20ième."

Tu es sur que tu as un cerec ?)))) De toutes façons il faut remettre en phase les centres énergétiques du patient en levant les barrages avant toute intervention n'est ce pas?


"Le poudrage fait partie de l'apprentissage et ne constitue pas un problème particulier."

Ben voyons, c'est pour ça que le formateur nous avait conseillé d'investir dans une bouteille d'air médical et un aérographe pour éviter les pâtés dus à l'humidité de la bombe. Aucun intérêt donc d'investir une somme conséquente dans l'omnicam.

"Justement, il faut se renseigner sur les nouvelles formes de préparations, de restaurations qui sont tout à fait compatible avec notre vieille nomenclature obsolète."

Ah ! si le problème de nomenclature se résumait qu'à la forme des cavités..... ou alors il y a un truc que j'ai pas capté.

"Par contre il faut aussi remarquer que dans les grands meeting Cerec, ceux qui réunissent les plus grands spécialistes mondiaux, donc là où c'est qu'on peut apprendre des choses qui pourraient être utiles, on ne rencontre au maximum que 1% de dentistes français (pas plus tard que la semaine dernière 4 frenchy sur 450 participants du monde entier et encore parce que j'avais embarqué 3 jeunes!!!)."

Je serais curieux de connaitre les impressions des plus grands spécialistes mondiaux du cerec au vu de tes arguments sur la micro délégation de la dentisterie française.)))))))


"Juste une remarque, alors que l'amalgame est encore soutenu, les milieux scientifiques prévoient la fin des compos aux bisphénols et autres gourmandises pour 2020..."

Je croyais que c'était prévu le 21 décembre 2012. Ça me rassure !)))))


denlv35

28/09/2012 à 18h54

> Tu parles de couronnes ou d'onlays ?
> Cet aprem pulpec 13,34 empreinte provisoire 1h15. séance suivante pose des 2 ic
> ccm 15 mn. tu as raison c'est pareil. juste que tu as les pulpecs et les
> reconstitutions coronaires dans la vue et les remboursements ic aussi. . Dans ce
> cas précis 183*2-79.56*2 = 206.88 euros de perdus pour une modeste
> complémentaire à 170%. Je te raconte pas à 300%.



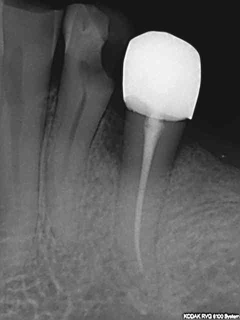
je parle de couronne bien sûr, les inlays me prennent en général 45 minutes

Dans ton calcul tu as omis de soustraire la facture du prothésiste pour les inlays core
pour ma part 50 euro donc le solde n'est plus que de 106 euro et va se réduire en peau de chagrin quand tu auras payé la facture des ccm

et ceci en comptant l'amortissement de la machine



P1060810  800x600  dlavv9 - Eugenol
Hebken

28/09/2012 à 19h25

chicot29 écrivait:
------------------
> "L'inlay onlay ne constitue pas le fer de lance de la dentisterie moderne, c'est
> un très vieil acte hérité de la dentisterie rétentive de la fin du 19ième début
> du 20ième."
>
> Tu es sur que tu as un cerec ?)))) De toutes façons il faut remettre en phase
> les centres énergétiques du patient en levant les barrages avant toute
> intervention n'est ce pas?
>
>
> "Le poudrage fait partie de l'apprentissage et ne constitue pas un problème
> particulier."
>
> Ben voyons, c'est pour ça que le formateur nous avait conseillé d'investir dans
> une bouteille d'air médical et un aérographe pour éviter les pâtés dus à
> l'humidité de la bombe. Aucun intérêt donc d'investir une somme conséquente dans
> l'omnicam.
>
> "Justement, il faut se renseigner sur les nouvelles formes de préparations, de
> restaurations qui sont tout à fait compatible avec notre vieille nomenclature
> obsolète."
>
> Ah ! si le problème de nomenclature se résumait qu'à la forme des cavités.....
> ou alors il y a un truc que j'ai pas capté.
>
> "Par contre il faut aussi remarquer que dans les grands meeting Cerec, ceux qui
> réunissent les plus grands spécialistes mondiaux, donc là où c'est qu'on peut
> apprendre des choses qui pourraient être utiles, on ne rencontre au maximum que
> 1% de dentistes français (pas plus tard que la semaine dernière 4 frenchy sur
> 450 participants du monde entier et encore parce que j'avais embarqué 3
> jeunes!!!)."
>
> Je serais curieux de connaitre les impressions des plus grands spécialistes
> mondiaux du cerec au vu de tes arguments sur la micro délégation de la
> dentisterie française.)))))))
>
>
> "Juste une remarque, alors que l'amalgame est encore soutenu, les milieux
> scientifiques prévoient la fin des compos aux bisphénols et autres gourmandises
> pour 2020..."
>
> Je croyais que c'était prévu le 21 décembre 2012. Ça me rassure !)))))
>

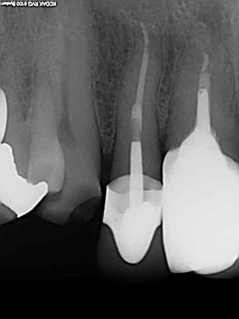
Allez Chicot, retourne donc à tes R25 et continue à nous montrer de belles endos sous digue, pour le reste le cerec a superbement évolué depuis 5 ans donc arrête de le casser sans cesse, je t'invite à rencontrer un confrère du nord qui en a un. ;)


Image ag8nh7 - Eugenol
vali

28/09/2012 à 20h45

Oulala! Ça dévie.
Je crois qu'il y a de la place pour toutes les dentisteries.
Du moment que chacun y trouve son compte.
Il n'y a pas de bonne ou de mauvaise façon de faire, c'est juste des pratiques différentes.
Le cerec à ces avantages et ces inconvénients, sûrement qu'en métropole il est plus facile de vendre des inlays (oui c'est bien le terme, vous êtes tous patrons d'une société) plutôt qu'au fin fond du vercors.
Être seul avec un cerec ça peut faire peur ou bien lasser, après tout c'est de prothèse dont on parle, ce n'est pas donné à tout le monde.
Puis le furieux manque de formation pose un réel problème.
Si chico29 avait eu un formateur pendant trois jours dans son cab pour lui montrer comment s'organiser autour du cerec et avoir une vraie formation personnalisée avec un suivi régulié, il l'aurait peut-être encore, son cerec.
Il n'y a pas de pour ou contre juste des personnes capables de s'investir, ou au niveau du temps, ou financièrement en employant quelqu'un pour les aider.
Une assistante peut être formée pour ça. couler les plâtres pour ceux qui n'aiment pas l'empreinte optique, Lancer l'usinage, faire le maquillage,autant de chose qui mit bout à bout font gagner du temps et de la tranquillité.
Il y a des solutions mais pas encore d'organisme indépendant pour ses solutions.
--
AD qui adore son CEREC.


Capture d  cran 2015 03 12 12.28 - Eugenol
chicot29

01/10/2012 à 11h37

Hebken écrivait:
----------------
> chicot29 écrivait:
> ------------------
> > "L'inlay onlay ne constitue pas le fer de lance de la dentisterie moderne,
> c'est
> > un très vieil acte hérité de la dentisterie rétentive de la fin du 19ième
> début
> > du 20ième."
> >
> > Tu es sur que tu as un cerec ?)))) De toutes façons il faut remettre en phase
> > les centres énergétiques du patient en levant les barrages avant toute
> > intervention n'est ce pas?
> >
> >
> > "Le poudrage fait partie de l'apprentissage et ne constitue pas un problème
> > particulier."
> >
> > Ben voyons, c'est pour ça que le formateur nous avait conseillé d'investir
> dans
> > une bouteille d'air médical et un aérographe pour éviter les pâtés dus à
> > l'humidité de la bombe. Aucun intérêt donc d'investir une somme conséquente
> dans
> > l'omnicam.
> >
> > "Justement, il faut se renseigner sur les nouvelles formes de préparations, de
> > restaurations qui sont tout à fait compatible avec notre vieille nomenclature
> > obsolète."
> >
> > Ah ! si le problème de nomenclature se résumait qu'à la forme des cavités.....
> > ou alors il y a un truc que j'ai pas capté.
> >
> > "Par contre il faut aussi remarquer que dans les grands meeting Cerec, ceux
> qui
> > réunissent les plus grands spécialistes mondiaux, donc là où c'est qu'on peut
> > apprendre des choses qui pourraient être utiles, on ne rencontre au maximum
> que
> > 1% de dentistes français (pas plus tard que la semaine dernière 4 frenchy sur
> > 450 participants du monde entier et encore parce que j'avais embarqué 3
> > jeunes!!!)."
> >
> > Je serais curieux de connaitre les impressions des plus grands spécialistes
> > mondiaux du cerec au vu de tes arguments sur la micro délégation de la
> > dentisterie française.)))))))
> >
> >
> > "Juste une remarque, alors que l'amalgame est encore soutenu, les milieux
> > scientifiques prévoient la fin des compos aux bisphénols et autres
> gourmandises
> > pour 2020..."
> >
> > Je croyais que c'était prévu le 21 décembre 2012. Ça me rassure !)))))
> >
>
> Allez Chicot, retourne donc à tes R25 et continue à nous montrer de belles endos
> sous digue, pour le reste le cerec a superbement évolué depuis 5 ans donc arrête
> de le casser sans cesse, je t'invite à rencontrer un confrère du nord qui en a
> un. ;)

Pas de soucis. Je ne casse pas la machine dont je n'avais aucune difficulté à me servir. Seulement de préciser le fait que nous sommes dentistes et que notre boulot c'est en bouche et que le métier d'assistante est assistante. point.
Dans ce pays l'imvestissement en dentaire est négatif la NGAP obsolette, ca me fait ch... de passer plus de temps à convaincre un patient de faire un onlay que de le réaliser.


1...789