Cookie Consent byPrivacyPolicies.comCerec version 4.03 vous en pensez quoi? - Eugenol

Cerec version 4.03 vous en pensez quoi?

Smile beach jgh0a1 - Eugenol
Céramik

15/09/2012 à 03h36

teethsurfer écrivait:
---------------------
...et beaucoup de pratique!
>
> Vos critiques et conseils sont toujours les bienvenus, je trouve cet échange
> rare, assistante/prothésistes/praticiens très sympa et instructif ;o)



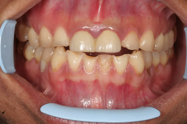
Photo 4, on dirait la grande pyramide...
Je trouve la taille agressive et la forme de la taille très triangulaire.

Ensuite, la forme finale est plutôt décevante...

Le site www.cadstar.org montre des e.max plus jolies, enfin, selon moi.

http://www.cadstar.org/gallery/emax-full-crowns

http://www.cadstar.org/video/cerec-imagination-video





--
Céramik


Images eb1m5g - Eugenol
tonio

15/09/2012 à 19h12

teethsurfer écrivait:
---------------------

> Vos critiques et conseils sont toujours les bienvenus, je trouve cet échange
> rare, assistante/prothésistes/praticiens très sympa et instructif ;o)

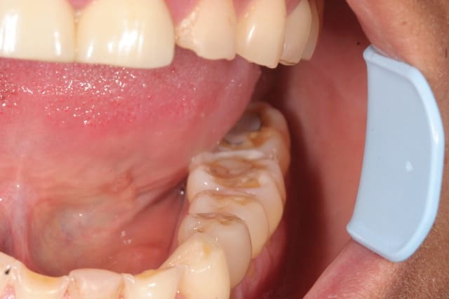
Je te remercie pour ton iconographie qui est de bien meilleure qualité que la couronne posée.
Je m'intéresse de plus en plus sur le CEREC pour ce qu'il me permettrait de faire avec un traitement en une séance de nombreux soins voire même endo + couronne.

J'ai juste 2 remarques à faire:

- pourquoi ne pas avoir attendu une quinzaine de jours, le temps que ta gencive cicatrise car elle a été bien "labourée" sur ce coup. C'est bien de vouloir tout gérer en une seule séance mais là on touche un point sur les limites du CEREC.

- la morphologie est particulièrement sommaire à mon goût. Si le CEREC ne permet de faire que ça, je passe mon chemin et je préfère laisser faire mon prothésiste.


Img 4593 pnrtmh - Eugenol
teethsurfer

16/09/2012 à 02h41

Merci Ceramik pour les liens de Cadstar, les résultats sont plutôt encourageants, cela veut dire qu'il est tout à fait possible de réaliser de belles reconstitutions avec le Cerec, j'aimerai bien connaître sa technique et ses astuces, à remarquer que les empreintes sont prises avec l'Omnicam, la nouvelle caméra sans poudre de Sirona non encore disponible en France. J'ai effectivement encore pas mal de chemin à faire avant d'en poster de si belles!

J'ai en effet taillé en pyramide car il ne me restait de valide qu'une partie du pan vestibulaire, et encore bien entamé par une profonde carie du collet heureusement sans contact pulpaire. J'aurai pu rajouter d'avantage de composite en OL, en général j'essaye de coller directement sur la dentine mais là il ne m'en restait que très peu...
J'aurai certainement obtenu un meilleur résultat en réduisant cette pyramide en hauteur forcément en l'aplatissant, mais je ne suis pas certain qu'un pilier plus large aurait changé grand chose, la MCXL gèrant bien les pans inclinés.

Tonio, je n'ai pas encore un grand recul et mes premiers mois ont été surtout consacrés à l'apprentissage de la technique de la CFAO, changeant totalement mes habitudes de pratique. Nous avons eu une initiation au maquillage, mon assistante et moi, mais elle a été très sommaire, comme Vali nous ne demandons qu'à progresser en esthétique autant en CAO pour ma part qu'en maquillage pour mon assistante. Mais le réel problème du Cerec c'est la formation, il faut aller chercher les infos soi même, comme ici.
En allant sur les liens de Cadstar sus cités, tu verras de belles céramiques réalisées au Cerec, donc c'est tout à fait possible et nous comptons bien y arriver un jour.

Avant d'avoir le Cerec, je reportais systématiquement mes empreintes à 1 semaine, maximum 10 jours, temps moyen de cicatrisation de la gencive lasérisée au CO². depuis, n'ayant plus besoin de placer de fil rétracteur, je réalise l'empreinte optique sans que la gencive soit forcée par le poudrage qui se dépose comme de la neige sur le sol et je peux t'assurer que la précision n'est pas altérée par l'aspect labouré de la gencive qui ne saigne pas par ailleurs.
je préfère autant que possible coller sur une dentine fraichement taillée pour la meilleure qualité du joint, autant que pour l'étanchéité qu'un provisoire ne pourrait pas assurer sans parler du ciment qu'il faudrait parfaitement éliminer, du risque de descellement (tailles non rétentives) et du confort du patient.

Sur le cas ci-joint j'ai travaillé avec mon assistante le maquillage pour essayer de l'améliorer, mais c'est encore loin d'être parfait, il va falloir que je dorme avec le bouquin de Gérald Ubassy que j'ai reçu sous mon oreiller...

16 vbdle6 - Eugenol
89 gl6rdu - Eugenol
147 a3nh5n - Eugenol
320 jcirkh - Eugenol
335 roccnm - Eugenol
341 knyqxa - Eugenol

Img 2951 flo3gr - Eugenol
molinarius

16/09/2012 à 03h07

Quelque part je suis rassuré de voir le résultat :)

moi qui bosse tout les jours devant l'écran et la fraiseuse avec un système plus performant que le cerec . Je sais très bien que ce n'est pas évident à un non initié et j'en profite pour dire à tout ceux qui balancent sur le forum "opérateur dépendant " comme si c'était la pire des choses qui soit , que sans opérateur qualifié , la machine ne vous sortira que de petites bouses bien ajustées :)

Je pense que tu finiras par sortir de jolies choses avec ton cerec teethsurfer , mais au pris de beaucoup de temps passé devant , car c'est chronophage , tu le sais , je le sais et ceux qui disent qu'en 20 mins c'est fait ( hors temps d'usinage) se fourvoient ..

Ton assistante va devoir s y coller plus que toi c'est sure , tu ne pourras pas être au four , au moulin etc etc ...
.
Sans compter les problèmes divers et variés (panne, bug informatique , mise a jour foireuse, fraise cassée ,erreur de scan bien chiant on le découvre à la fin ) bon bref la liste est longue

Pour un prothésiste évidement le cerec est l'ennemi ,sauf si d'aventure avec la progression de ces systèmes, on ne travaillera plus dans un labo , mais dans un cabinet :):)
Ca va couter cher au final :)



Olieve

16/09/2012 à 03h13

teethsurfer écrivait:
---------------------
il va falloir que je dorme avec le bouquin de Gérald Ubassy que j'ai reçu sous mon oreiller...



Je te conseille aussi un bouquin plus généraliste :

B4047 sm4559566502 lt3bm2 - Eugenol

Img 4593 pnrtmh - Eugenol
teethsurfer

16/09/2012 à 03h21

Franchement je pense que la CFAO intégrée au cabinet va s'imposer dans les années futures et que les prothésistes ne doivent pas la craindre. Les praticiens auront toujours besoin d'eux pour les gros travaux qu'ils pourront réaliser avec beaucoup plus de précision sans dépendre des aléas des empreintes physiques et avec beaucoup moins de retour et de courses.

Sans doute certains intégreront les cabinets de groupe comme dans le bon vieux temps, d'autres élargiront largement leur clientèle affranchie de la distance par le Net.
Pour l'instant, le Connect n'est pas encore aussi performant que le chairside mais il le deviendra certainement avec le temps...


Img 2951 flo3gr - Eugenol
molinarius

16/09/2012 à 03h27

Il y a un VRAI bon point positif avec le cerec !!

Maintenant tu sais ce que veux dire :" merde j'ai pas assez de hauteur pour creuser mes fonds de sillons " :)
Et je suis sûre que tu tailles beaucoup plus les prépas qu'auparavant ? Hein dit ? :-)


Img 4593 pnrtmh - Eugenol
teethsurfer

16/09/2012 à 03h31

Olieve écrivait:
----------------
> teethsurfer écrivait:
> ---------------------
> il va falloir que je dorme avec le bouquin de Gérald Ubassy que j'ai reçu sous
> mon oreiller...

> Je te conseille aussi un bouquin plus généraliste :

Merci pour la référence, peux tu me préciser le nom de l'auteur qui est illisible?

Le problème du bouquin d'Ubassy, tout magnifique qu'il soit, est qu'il s'adresse à des céramistes classiques pas à des cérécistes, à moins de recourir à du cut back. Mais il fourmis d'indications et d'astuces bonnes à connaître.
L'idéal serait de trouver un ouvrage adapté à la CFAO...


Img 2951 flo3gr - Eugenol
molinarius

16/09/2012 à 03h42

teethsurfer écrivait:
---------------------

>
> Le problème du bouquin d'Ubassy, tout magnifique qu'il soit, est qu'il s'adresse
> à des céramistes classiques pas à des cérécistes, à moins de recourir à du cut
> back. Mais il fourmis d'indications et d'astuces bonnes à connaître.
> L'idéal serait de trouver un ouvrage adapté à la CFAO...

Encore faudrait il que tous les softs soient identiques , ceux qui est loin d'être le cas , donc tu n'es pas pret de trouver cet ouvrage , il te faut un bouquin dédié au cerec et au soft qui le gère .


Img 4593 pnrtmh - Eugenol
teethsurfer

16/09/2012 à 03h49

molinarius écrivait:
--------------------

> Maintenant tu sais ce que veux dire :" merde j'ai pas assez de hauteur pour
> creuser mes fonds de sillons " :)
> Et je suis sûre que tu tailles beaucoup plus les prépas qu'auparavant ? Hein
> dit ? :-)

Exact pour les fonds de sillons ;o)
Oui et non pour la taille: je me suis mis à la préparation guidée par des fraises parfaitement adaptées au Cerec depuis mes tous premiers cas et cela me permet d'obtenir des congés réguliers tout en économisant plus de dentine car il y a moins de retouches et une sécurité qui limite les erreurs, je finis systématiquement par une sono-abrasion pour avoir une surface uniforme et lisse.


Images eb1m5g - Eugenol
tonio

17/09/2012 à 00h52

molinarius écrivait:
--------------------
>

Je suis d'accord avec toi.

>
> Je pense que tu finiras par sortir de jolies choses avec ton cerec
> teethsurfer , mais au pris de beaucoup de temps passé devant , car c'est
> chronophage , tu le sais , je le sais et ceux qui disent qu'en 20 mins c'est
> fait ( hors temps d'usinage) se fourvoient ..

L'histoire des 20 min pour la finition est à mon avis sous-évaluée pour sortir une céram qui ressemble à une dent et pas à de la porcelaine


>
> Ton assistante va devoir s y coller plus que toi c'est sure , tu ne pourras
> pas être au four , au moulin etc etc ...

Vali est un cas à part, je ne vois pas la très grande majorité des AD faire cette partie du travail, elles ont déjà bien assez de choses à faire.


> .
> Sans compter les problèmes divers et variés (panne, bug informatique , mise a
> jour foireuse, fraise cassée ,erreur de scan bien chiant on le découvre à la
> fin ) bon bref la liste est longue
>

C'est justement un point qui me freine sur le CEREC et qui m'a été confirmé par un pote qui a la machine. Il adore son CEREC mais déplore sa fragilité et le coût de la maintenance. A croire que le CEREC souffre de la même réputation que les fauteuils SIRONA ("c'est du cristal").


Smile beach jgh0a1 - Eugenol
Céramik

17/09/2012 à 03h17

Sur le site Cadstar, la très grande majorité des cas, pour pas dire presque tous, sont fait avec la blue cam et non l'omnicam.

Il y avait un vidéo de stain and glaze en un temps pour la céram vitabloc qui était bluffantt, je vais tenter de retrouver.

Pour ton cas de 2 prémolaires, tu t'en tires bien, mais les dents sont pas très top coté paro, et j'aurais peut-être penser implanto, mais bon....





--
Céramik


Photo thumb 45 lnhuvp - Eugenol
wakrap

19/09/2012 à 06h18

vali écrivait:
--------------
> HA VOILA!! vous comprenez pourquoi j'ai besoin d'un vrai cour de morpho.
>
>
> --
> AD qui adore son CEREC.

Moi, je dis, vous avez pas été sympas avec vali. Elle qui aime la campagne ne fait que reproduire les sillons de son enfance.




Blanc bleu belge  1  pzmbkr - Eugenol

Image ag8nh7 - Eugenol
vali

19/09/2012 à 13h23

Mdr. Je suis une parisienne née à Paris 18eme.
Alors oui des vaches j'en vois mais pas les mêmes.


--
AD qui adore son CEREC.


Image ag8nh7 - Eugenol
vali

25/09/2012 à 14h28


Dans la série que peut on faire avec un Cerec?
réponse: tenon anatomique avec Lava Ultima

Bon, ne me tapez pas dessus c'est une experience. ;-O

--
AD qui adore son CEREC.

Img 2275 yvvisg - Eugenol
Img 2276 x6schd - Eugenol
Img 2277 k6meyc - Eugenol
Img 2278 bsrw3n - Eugenol
Img 2280 axvqr3 - Eugenol

Capture d  cran 2015 03 12 12.28 - Eugenol
chicot29

25/09/2012 à 19h00

molinarius écrivait:
--------------------


> Pour un prothésiste évidement le cerec est l'ennemi ,sauf si d'aventure avec
> la progression de ces systèmes, on ne travaillera plus dans un labo , mais dans
> un cabinet :):)
> Ca va couter cher au final :)

Penses tu ? le cerec est l'ennemi du dentiste car il diminue le temps de travail en bouche. Ce système n'est valable qu'avec un prothésiste au cabinet. Personnellement j'ai autre chose à faire que de faire mumuse avec ce jouet high tech.
Au bout de 300 éléments au compteur environ j'ai craqué et viré la bécane, depuis je revis.


Img 2951 flo3gr - Eugenol
molinarius

26/09/2012 à 16h45

chicot29 écrivait:
------------------

> Penses tu ? le cerec est l'ennemi du dentiste car il diminue le temps de
> travail en bouche. Ce système n'est valable qu'avec un prothésiste au cabinet.
> Personnellement j'ai autre chose à faire que de faire mumuse avec ce jouet high
> tech.
> Au bout de 300 éléments au compteur environ j'ai craqué et viré la bécane,
> depuis je revis.

Ouch ! 100kE /300 ... quand même 333 euros l'élément !!

j'éspère que tu l'as bien revendu :)


Img 2951 flo3gr - Eugenol
molinarius

26/09/2012 à 16h45

chicot29 écrivait:
------------------

> Penses tu ? le cerec est l'ennemi du dentiste car il diminue le temps de
> travail en bouche. Ce système n'est valable qu'avec un prothésiste au cabinet.
> Personnellement j'ai autre chose à faire que de faire mumuse avec ce jouet high
> tech.
> Au bout de 300 éléments au compteur environ j'ai craqué et viré la bécane,
> depuis je revis.

Ouch ! 100kE /300 ... quand même 333 euros l'élément !!

j'éspère que tu l'as bien revendu :)


P1060810  800x600  dlavv9 - Eugenol
Hebken

26/09/2012 à 16h59

bla...bla...bla... ^^

moi très content du cerec


Image ag8nh7 - Eugenol
vali

26/09/2012 à 17h30


Au cab la barre des 3000 éléments sur trois ans ( environ) est dépassée.
Je vous laisse faire le calcul en sachant qu'un élément est vendu en moyenne 750€.
Tout est une question d'organisation. Et bien sur qu'à long terme les prothésistes vont rentrer dans les cabinets.
Je pense que même avec un prothésiste très bien payé, les consommables et l'entretien ça reste un très bon investissement.
--
AD qui adore son CEREC.


Photo thumb 45 lnhuvp - Eugenol
wakrap

26/09/2012 à 19h40

j'ai reçu une pub montrant une usineuse 5 axes de Kavo pour cab, Sirona s'est réveillé avec l'omnicam, peut être un jour la mcxl sera renouvellée aussi, elle en aurait bien besoin.


denlv35

26/09/2012 à 20h04

Hebken écrivait:
----------------
> bla...bla...bla... ^^
>
> moi très content du cerec

+1

Dans quelques années on fera le point sur " ceux qui en sont " et ceux qui n'en sont pas
moi je suis bien content "d'en être" déjà

Mon expérience sur une machine Chronophage,
reconstitution molaire incisive canine : taille, empreinte, maquillage, pose :une heure
prémolaire : 45 min
et je m'arrange toujours pour effectuer un soin pendant la phase d'usinage et passage au four

j'ai du mal a voir la perte de temps

et pas de retouche avant et après avoir posé (Magie ????? )


depuis maintenant un an et demi que j'ai le Cerec ,j'y vois un peu plus clair dans mon planning sans avoir fait baisser mon chiffre

après tout ce n'est peut être qu'une question d'organisation


vmdeugénol

27/09/2012 à 17h34

C'est un cas de figure assez fréquent, le gars qui jette l'éponge comme çà.
Par contre il faut aussi remarquer que dans les grands meeting Cerec, ceux qui réunissent les plus grands spécialistes mondiaux, donc là où c'est qu'on peut apprendre des choses qui pourraient être utiles, on ne rencontre au maximum que 1% de dentistes français (pas plus tard que la semaine dernière 4 frenchy sur 450 participants du monde entier et encore parce que j'avais embarqué 3 jeunes!!!).

Donc ce qui en ressort c'est que sans formation valable et assurée par de vrais enseignants qui pratiquent depuis longtemps (et c'est pas pour demain en France) on rencontre beaucoup de difficultés pour passer vers des techniques qui vont changer complètement l'exercice professionnel.

Il ne s'agit pas simplement d'investir mais surtout de s'investir..............
sinon il y a de très bons labos, alginates...et autres vieilleries qui fonctionnent encore à merveille!!!!




chicot29 écrivait:
------------------

>
> Penses tu ? le cerec est l'ennemi du dentiste car il diminue le temps de
> travail en bouche. Ce système n'est valable qu'avec un prothésiste au cabinet.
> Personnellement j'ai autre chose à faire que de faire mumuse avec ce jouet high
> tech.
> Au bout de 300 éléments au compteur environ j'ai craqué et viré la bécane,
> depuis je revis.


Image ag8nh7 - Eugenol
vali

27/09/2012 à 17h50

vmdeugenol

Sage est ta parole, mais long est le chemin... ;-P


--
AD qui adore son CEREC.


Photo thumb 45 lnhuvp - Eugenol
wakrap

27/09/2012 à 22h03

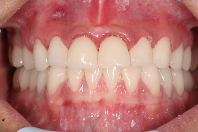
Terminé hier soir, 6 demi journées de travail, pas de provisoire sauf les centrales qui seront reprises quand la gencive sera cicatrisée. Toutes les dents pulpées sauf deux 6 qui ont pas supporté et ont du être dévitalisées car partaient en pulpite.
Qu'est ce qu'on s'éclate avec le cerec

A5 bc4vad - Eugenol
A4 eufbip - Eugenol
A9 t7ybnu - Eugenol

1...6789