Cookie Consent byPrivacyPolicies.comRéhabilitation antérieure 2, besoin de conseils... - Eugenol

Réhabilitation antérieure 2, besoin de conseils...

S2y2o1v7q53ws4r5wy6ou8czrpom - Eugenol
pxav

24/07/2012 à 15h10

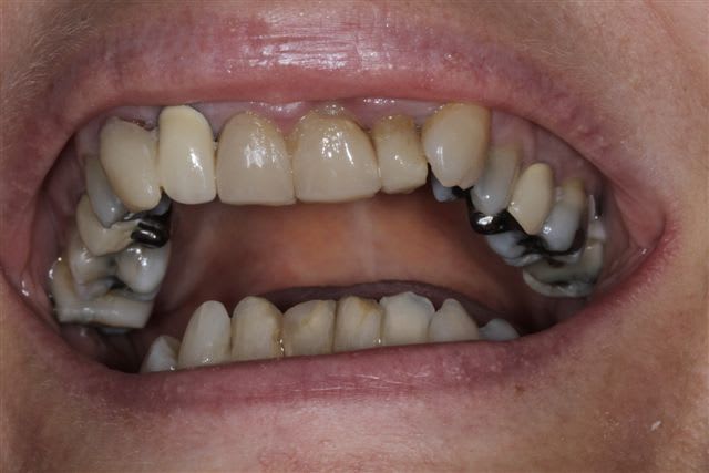
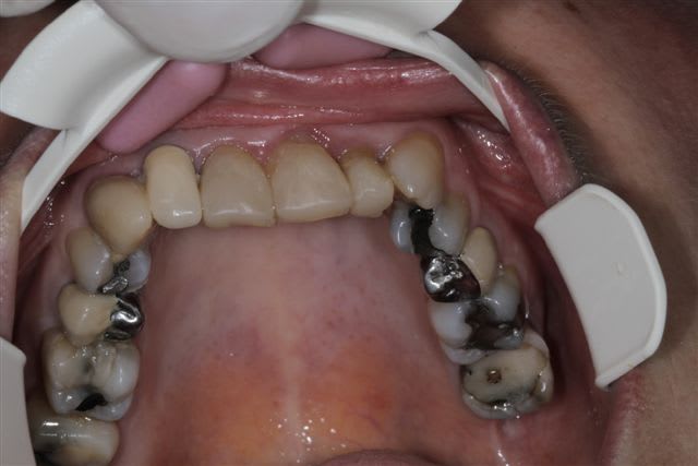
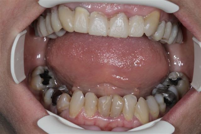
N'hésitiez pas çà me donner votre avis, patiente 47 ans ne supporte plus ses antérieurs, maquillées à la résine il y a quelques années.
Pas de demande concernant l'occlusion, ni les postérieurs, à fait des économies et veux s'offrir "un sourire", sur fond propre budget envisageable au départ 4000€
Personnellement j'aimais bien lEmax, mais depuis ce genre de réflexion d'un confrère, lu sur un autre post :

"molinarius écrivait:
--------------------
> moi je trouve ça à chier ,, l'Emax c'est vraiment un produit de bobo !
>
> les 12 22 ne sont pas alignées , les canines trop pointues et ressorties
> le tout est opaque à mort
>
> franchement ça casse pas 3 pattes à un canard...."
Je me pose des questions....
Allez les pros à vos claviers, les devoirs de vacances commencent.
Ps: l'ortho c'est non alors n'en parlez pas.
--
xbk
"Si tous ceux qui croient avoir raison n'avaient pas tort, la vérité ne serait pas loin" Dac Pierre

Img 4565 g6f2qa - Eugenol
Img 4568 lod0tj - Eugenol
Img 4636 frvwon - Eugenol
Img 4637 fl2jev - Eugenol
Img 4569 qh8mgg - Eugenol
Img 4635 uf6l5j - Eugenol

Smile beach jgh0a1 - Eugenol
Céramik

24/07/2012 à 15h37


Salut pxav
C'est un cas de réhab global, ortho et 28 couronnes.
Les secteurs post sont en mauvais état, l'occlusion est moche, et si tu ne fais que le sourire, tu auras de drôle de résultat et des casses de céram ou bien des antagonistes.
Pour 4000 euro, tu fais combien de couronnes, sur quelles dents et de quelle teinte ?
Au final, 6 couronnes en haut ?

--
Céramik


Images nv3xcf - Eugenol
au fond du canal

24/07/2012 à 15h52

Vu les axes actuels des antérieures, soit tu gardes la même forme et les mêmes axes et tu auras de dents assorties mais pas vriament plus esthétiques. Sinon c'est ortho et la totale. Si tu changes la forme sans amélioration de l'esthétique ce sera l'echec mécanique assuré.
Je ne saurais pas quoi proposer à cette patiente si elle arrivait sur mon fauteuil.


S2y2o1v7q53ws4r5wy6ou8czrpom - Eugenol
pxav

24/07/2012 à 16h22

Dans les conditions qui me sont imposées au départ par la patiente sont je le redis:

Budget sur fond propre 4000 roros (remboursement SS en plus, mais ça va pas chercher loin)
Pas d'ortho
Demande exclusivement esthétique (raz le bol d'avoir ce sourire qui me complexe depuis mon adolescence)

Je propose ce cas à vos réflexion car je pense qu'il est un très bel exemple de ce que nous pouvons voir dans la patientèle, et qui ne dois pas nous décourager d'emblée de jeu, mais interroge quand même sérieusement.
Je précise que le prochain rdv de la patiente est le 03 Août, que pour le moment je n'ai commencé aucun soins, simplement un travail de réflexions, pour faire comprendre à la charmante dame (qui n'est pas dans la catégorie bobos) que je ne suis ni magicien, ni philanthrope.


--
xbk
"Si tous ceux qui croient avoir raison n'avaient pas tort, la vérité ne serait pas loin" Dac Pierre


alex33

24/07/2012 à 17h18

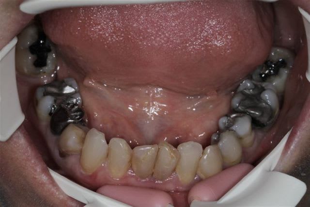
Je suis assez d'accord avec Ceramik, ce qui me saute aux yeux,outre l'esthétique bien sur, ce sont les courbes occlusales de la patiente, notamment secteur 2 et 3 en postérieurs(26 ne semble pas en occlusion, et 27 sur une pointe).
Le secteur antérieur doit donc supporter pas mal de contraintes... d'autant plus que le guide incisif semble assez fermé.
Perso, je ne toucherai à rien en antérieur,( d'autant plus avec du tout céram) tant que les courbes postérieures ne sont pas rétablies.

Alex


l adan

24/07/2012 à 17h23

Il n'y a pas un probleme sur l'occlusion cote gauche type coulure de platre ?


Dsc 3167 ff43tz - Eugenol
Xenophon

24/07/2012 à 19h38

pour moi, réhabilitation globale.
Paro ++
refaire les courbes occlusales
en antérieur, faire un compromis pour légèrement corriger la classe 2.

à mon avis, plus de 4000 euros.


S2y2o1v7q53ws4r5wy6ou8czrpom - Eugenol
pxav

25/07/2012 à 00h54

l adan écrivait:
----------------
> Il n'y a pas un problème sur l'occlusion cote gauche type coulure de plâtre ?
Non,la dent (?) est comme ça, par contre 38 à déjà "subie" une correction à la cire.

--
xbk
"Si tous ceux qui croient avoir raison n'avaient pas tort, la vérité ne serait pas loin" Dac Pierre


S2y2o1v7q53ws4r5wy6ou8czrpom - Eugenol
pxav

25/07/2012 à 01h04

Il semble évident que ceci ne peut être traité que de façon globale, mais la difficulté est de le faire comprendre à la patiente, qui veut seulement un "sourire".
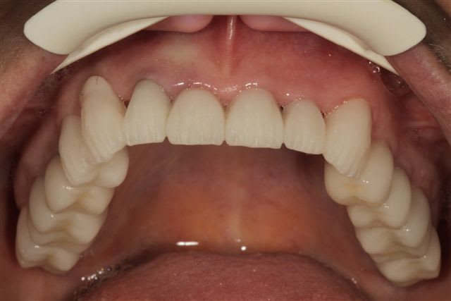
Donc dans un premier temps pano, pour bilan et empreintes pour essayer de lui faire comprendre l'étendue du problème.
Pour le pano, vous l'aurez demain.
premier wax up à minima
Mais autant un wax up ça nous parles, autant la patiente ne déclenche pas, et commence à douter.


--
xbk
"Si tous ceux qui croient avoir raison n'avaient pas tort, la vérité ne serait pas loin" Dac Pierre

Img 4642 xhxzqz - Eugenol
Img 4643 rkybng - Eugenol
Img 4644 ymu6ad - Eugenol
Img 4645 aoo9ng - Eugenol
Img 4646 g0lhiu - Eugenol
Img 4647 vgxasd - Eugenol
Img 4648 ku4vnk - Eugenol
Img 4649 qyemcc - Eugenol
Img 4650 wiqsie - Eugenol

dentine34

25/07/2012 à 01h17

Meme si tu as ce budget trés limité, ne néglige pas la paro et la rehab des secteurs post. Au pire, ne fais pas 28 couronnes et de l'odf mais par exemple de jolis compos en post ppur recuperer des courbes d'occlusion plus favorables (tu peux d'ailleurs t'aider pour les faire de gouttières thermoformés issues des wax-up) ou alors mets les dents post sous couronnes provisoires longue durée (cuites au labo), pour depanner la patiente quelques années le temps qu'elle remette un peu d'argent de coté! Par contre pour l'anterieur et en fonction des radios fait de l'unitaire si tu veux faire de l'emax...sinon bridge Ceramo metal ou bridge avec armature zircone. Mais vu que ton budget est serré je ne pense pas qu'il soit judicieux de tout dépenser pour du tout ceram alors que du ceramo metal pourrait faire l'affaire...et laisse du budget pour la paro!


S2y2o1v7q53ws4r5wy6ou8czrpom - Eugenol
pxav

25/07/2012 à 10h59

dentine34 écrivait:
-------------------
> Meme si tu as ce budget trés limité, ne néglige pas la paro et la rehab des
> secteurs post. Au pire, ne fais pas 28 couronnes et de l'odf mais par exemple de
> jolis compos en post ppur recuperer des courbes d'occlusion plus favorables

Les compos postérieur pour recuperer des courbes d'occlusion, je ne vois pas comment l'on peut assurer des point de contacts et une modification de l'occlusion avec des compos.

(tu peux d'ailleurs t'aider pour les faire de gouttières thermoformés issues des wax-up) ou alors mets les dents post sous couronnes provisoires longue durée(cuites au labo), pour depanner la patiente quelques années le temps qu'elle remette un peu d'argent de coté!

Là tu est plus dans du sérieux pour l'avenir de la patiente, mais je ne vois pas la différence entre de l'emax monoblox et des provisoires cuites au labo au niveau quantité de travail, donc si je fais des "provisoires" elles seront en Emax (monobloc), je serais plus tranquille, et la patiente aussi.


Par contre pour l'anterieur et en fonction des radios fait de l'unitaire si tu veux faire de l'emax...sinon bridge Ceramo metal
> ou bridge avec armature zircone. Mais vu que ton budget est serré je ne pense pas qu'il soit judicieux de tout dépenser pour du tout ceram alors que du ceramo metal pourrait faire l'affaire...et laisse du budget pour la paro!
Là encore, ce sera Emax, même si bridge il y a, car effectivement une canine est condamnée, à moins que que je lui pose un gentil petit Axiom pour éviter le bridge.
Car une fois le devis global signé, je choisi ce qui me semble bien.
La difficulté n'est donc pas de composer avec le devis de Madame (4000€), mais de lui faire comprendre que si elle veut une bouche "jolie", même si l'Emax est à chier comme dit Molinarus, et surtout une reconstruction pérenne dans le temps, qui lui permettra ensuite d'aller faire faire du vraiment beau.

Donc le challenge est surtout de lui faire faire un saut dans l'effort en multipliant sa participation par 3, 4 ou 5(sur fond propre je le rappelle et elle n'est pas dans la future tranche à 75%, loin de là).
Mais je pense que si j'arrive à la faire rêver, qu'elle n'aura plus cette bouche, elle est capable comme bien souvent de sauter le pas.
Si elle ne va pas dans le sens réhabilitation globale, je la dirigerais vers la sortie, et elle trouvera facilement un confrère moins strict que moi.
Sachant que pour une cas comme ça, que je trouve passionnant, mes honoraires sont aussi capable de s'adapter vers le bas, si besoin.
--
xbk
"Si tous ceux qui croient avoir raison n'avaient pas tort, la vérité ne serait pas loin" Dac Pierre

Img 4564 roil3m - Eugenol
Img 4564 c5cwmw - Eugenol

Bebe 038 nf8eum - Eugenol
danteyeah

25/07/2012 à 14h11

Vu et revu plusieurs fois ce fil, et je n'ai pas mieux à proposer que les autres. Les 4000€ je les mettrai chez l'ortho, elle a alors au moins 2 ans pour se trouver une mutuelle "philanthrope" (ou faire des économies, c'est parfois plus rentable) pour permettre après l'ortho d'alléger la facture de la réhabilitation prothétique, tout en espérant que ce qui reste tienne le coup.


S2y2o1v7q53ws4r5wy6ou8czrpom - Eugenol
pxav

25/07/2012 à 14h56

Oui mais la patiente ne veux pas d'ortho, ne veux pas deux ans (la cinquantaine approche et ça fait froid dans le dos à beaucoup de patient qui veulent profiter avant...

Le pano
--
xbk
"Si tous ceux qui croient avoir raison n'avaient pas tort, la vérité ne serait pas loin" Dac Pierre

Viodeni 27.06 - Eugenol

S2y2o1v7q53ws4r5wy6ou8czrpom - Eugenol
pxav

25/07/2012 à 15h09

comme je l'ai dis plus haut le wax up ne parle pas à la patiente, j'ai donc au cours d'un rdv long, et à partir d'une empreinte du waxup, fait un "provisoire de présentation" en résine, sans fioriture juste pour que la dame comprenne mieux ce que je pouvais essayer de lui apporter.
On peut faire un montage sur photoshop mais ça n'a pas le même impact.
La patiente m'a demandé une fois le "maquillage" en place l'autorisation de le montrer à son mari...retour deux heures après, pas contente du tout ...que je dépose la résine.
et:" mon mari est d'accord pour refaire le haut mais le bas je ne peux pas"!
Et bien pas de bras pas de chocolat madame, pas de bas pas de haut...à plus tard.

--
xbk
"Si tous ceux qui croient avoir raison n'avaient pas tort, la vérité ne serait pas loin" Dac Pierre

Img 4555r sxljms - Eugenol
Img 4556 je7c9t - Eugenol
Img 4554r fqcjrw - Eugenol
Img 4552 z7sunl - Eugenol
Img 4553 mqlczv - Eugenol
Img 4562 bjmldp - Eugenol
Img 4559 xtll3j - Eugenol

Images nv3xcf - Eugenol
au fond du canal

25/07/2012 à 15h23

Si en plus le mari, qui n'a eu vent d'aucune des longues explications que tu as faites à sa femme, donne son avis, t'es pas sorti de l'auberge.


S2y2o1v7q53ws4r5wy6ou8czrpom - Eugenol
pxav

25/07/2012 à 15h24

détrompes toi, le sourire de l'autre est ce qu'il y a de plus important.

--
xbk
"Si tous ceux qui croient avoir raison n'avaient pas tort, la vérité ne serait pas loin" Dac Pierre


G-P

25/07/2012 à 18h52

En bref, t'as évité une bonne prise de tête :D


S2y2o1v7q53ws4r5wy6ou8czrpom - Eugenol
pxav

25/07/2012 à 20h06

Et non car elle est revenue 3 jours après et nous sommes d'accord pour le haut et le bas, avec un devis conséquent, donc maintenant à moi de bien gérer ça et de lui apporter ce pourquoi elle vient.
Mais ça prouve que ne pas céder sur ce que l'on pense nécessaire, c'est mieux, même si je suis en accord avec Pierre Dac..
--
xbk
"Si tous ceux qui croient avoir raison n'avaient pas tort, la vérité ne serait pas loin" Dac Pierre


Smile beach jgh0a1 - Eugenol
Céramik

26/07/2012 à 19h14

pxav écrivait:
--------------
> Et non car elle est revenue 3 jours après et nous sommes d'accord pour le haut
> et le bas, avec un devis conséquent, donc maintenant à moi de bien gérer ça et
> de lui apporter ce pourquoi elle vient.
> Mais ça prouve que ne pas céder sur ce que l'on pense nécessaire, c'est mieux,
> même si je suis en accord avec Pierre Dac..
> --
> xbk
> "Si tous ceux qui croient avoir raison n'avaient pas tort, la vérité ne
> serait pas loin" Dac Pierre

Bravo pour la première manche.
Mais pour la 2e, sans ortho, tu auras des antérieures supérieurs épaisses comme des molaires, non?

Sinon, complet en haut et couronnes en bas, on dépasse encore le 4000 euro.
Je suis curieux, pour le haut ET le bas, ton devis est de combien ? 5x son budget initial ?


--
Céramik


S2y2o1v7q53ws4r5wy6ou8czrpom - Eugenol
pxav

26/07/2012 à 19h28

oui, environ x 5... et tu a vu le pano tout est dévitalisé donc je vais lui changer les axes de incisives, sachant que je ne lui promet pas la lune non plus.
Et puis je sais que si je veux le top du top, je n'ai qu'à demander à Molinarus de me faire un truc zicone....;-)

--
xbk
"Si tous ceux qui croient avoir raison n'avaient pas tort, la vérité ne serait pas loin" Dac Pierre


Img 2951 flo3gr - Eugenol
molinarius

26/07/2012 à 21h09

pxav écrivait:
--------------
> oui, environ x 5... et tu a vu le pano tout est dévitaliser donc je vais lui
> changer les axes de incisives, sachant que je ne lui promet pas la lune non
> plus.
> Et puis je sais que si je veux le top du top, je n'ai qu'à demander à Molinarus
> de me faire un truc zicone....;-)
>
> --
> xbk
> "Si tous ceux qui croient avoir raison n'avaient pas tort, la vérité ne
> serait pas loin" Dac Pierre

A ton service ... moi les trucs zircone j'en ai partout ;)

mais il est temps pour moi de fermer la porte du labo et pour 4 semaines àprès une année riche en taf, expériences ..... à moi le bateau et la caraibes ....
Bonnes vacances à tous .. portez vous bien


S2y2o1v7q53ws4r5wy6ou8czrpom - Eugenol
pxav

09/10/2012 à 18h24

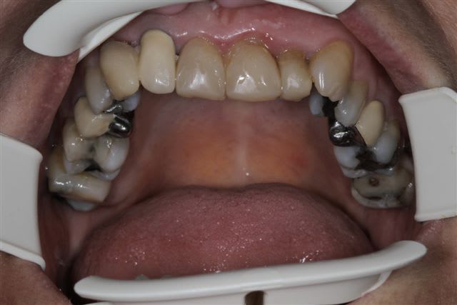
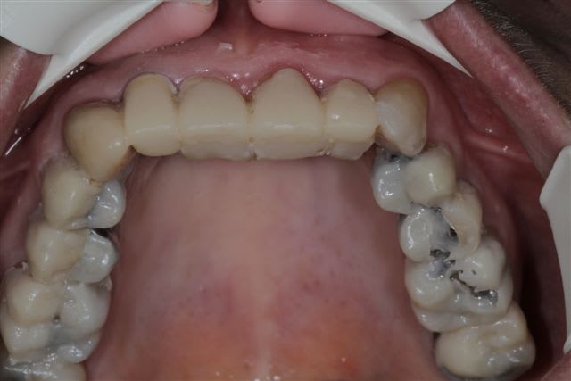
La suite, les soins ont commencés le 07/08.
Postérieur bas (16/08)et haut (14/09) en place, essayage des Emax avec "cutback".
Pour la teinte la patiente exige B1, sans maquillage, elle n'a pas attendu 47 ans pour que ça ne soit pas Blanc de blanc, alors là dessus j'ai cédé.
A vos claviers...
--
xbk
"Si tous ceux qui croient avoir raison n'avaient pas tort, la vérité ne serait pas loin" Dac Pierre

Img 4565 lqbrqv - Eugenol
Img 4567 imbnsb - Eugenol
Img 4893 fxtuca - Eugenol
Img 4897 vdkejs - Eugenol
Img 4889 vdumor - Eugenol
Img 4894 t0bg3q - Eugenol
Img 4896 v1rxff - Eugenol

Bebe 038 nf8eum - Eugenol
danteyeah

09/10/2012 à 18h48

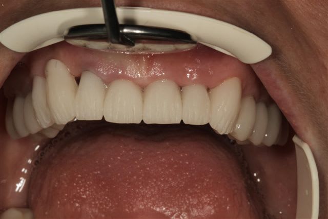
Merci pour ce cas.
Cas typique de patient refusant l'ortho avant la réhabilitation global, avec un résultat esthétique ....disons que j'aime pas, bon si la patiente est contente!
Moi en tout cas au prochain patient qui refuse l'ortho nécessaire avant la réhabilitation globale, je lui montre ce cas. Merci encore je pense que cela sera utile.

Peut-on encore à ce stade diminuer (fortement) le volume des canines, réaligner les faces vestibulaires des PM droites, augmenter le volumes des centrales et distaliser les latérales???
Une petite élongation coronaire sur 11 et 21 n'aurait pas été de refus si racine pas trop courte.


Gonzo k0qhwz - Eugenol
matten

09/10/2012 à 18h53

le principal est que la patiente soit heureuse.

Sinon a remarquer:

1) la patiente a une paralysie faciale (levre superieure gauche). Le fait que les canine-premolaires-molaires cote II soient plus longues que les incisives accentue ce probleme.

Je raccourcirais ttes les dents de 23 à 26 de 2mm.

2) Axe de 13 pas bon. trop de bombe vestibulaire. Peut etre que la dent n'est pas assez taillee. En tout cas je la trouve trop dominante dans le sourire.


doagui

09/10/2012 à 19h11

Les 2 canines sont effectivement très massives... Après tu fais avec les moyens que la patiente te donne, évidemment, mais là pour le coup je trouve pas ça très beau non plus.