Cookie Consent byPrivacyPolicies.comRéhabilitation antérieure 2, besoin de conseils... - Eugenol

Réhabilitation antérieure 2, besoin de conseils...

Toriko ucqp9i - Eugenol
Giantcoco

09/10/2012 à 19h19

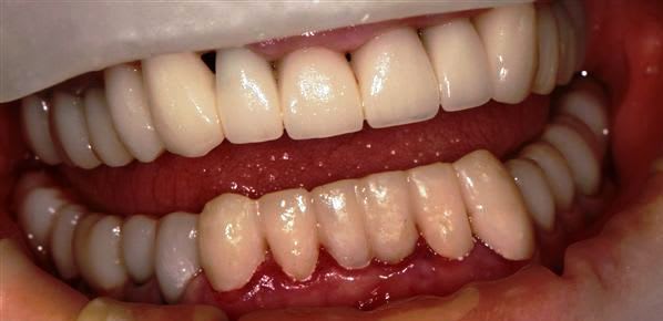
je suis pas un champion de l’esthétique mais les canines sont très marquées dans son sourire. est ce a cause de la forme d'arcade en U ? mais je pense qu'en les diminuant on gagnerait en féminité.

je trouve en revanche que la paro est top, très bien gérée.


S2y2o1v7q53ws4r5wy6ou8czrpom - Eugenol
pxav

09/10/2012 à 20h47

matten écrivait:
----------------
> le principal est que la patiente soit heureuse.
>
> Sinon a remarquer:
>
> 1) la patiente a une paralysie faciale (levre superieure gauche). Le fait que
> les canine-premolaires-molaires cote II soient plus longues que les incisives
> accentue ce probleme.
>
> Je raccourcirais ttes les dents de 23 à 26 de 2mm.
>
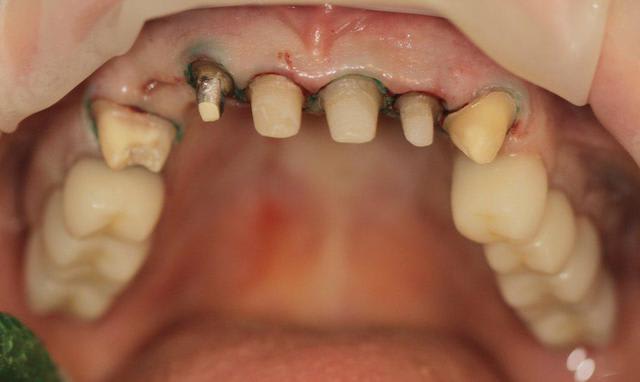
> 2) Axe de 13 pas bon. trop de bombe vestibulaire. Peut etre que la dent n'est pas assez taillee. En tout cas je la trouve trop dominante dans le sourire.

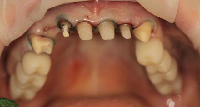
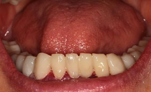
Pour 13 la dent est extraite, et il ne s'agit que de l’essayage esthétique, (avec la prothésiste) qui note tout ce qui est a corrigé (trait de crayon sur 13 et surtout tirage de photos pour noter tout )

Bien vue pour la lèvre, mais il ne s'agit pas de paralysie faciale mais de stress, car après 1/4 d'heurs de port des cérams en bouche la mobilité revient.
Pour retrouver une DV j'ai augmenter les postérieures donc je ne vais pas les diminuer, alors que la DV est satisfaisante.

La critique que je fais, c'est le manque de "facettes" sur les postérieurs, je n'aime pas tout ces arrondis.

N'oublions pas non plus que, comme dis plus haut "je ne lui ai pas promis pas la lune non plus",pour ça il faudrait de l'ortho, du temps et des qualités que ni mon équipe ni moi n'avons.


--
xbk
"Si tous ceux qui croient avoir raison n'avaient pas tort, la vérité ne serait pas loin" Dac Pierre


mat2t

09/10/2012 à 22h04

Tu factures combien les wax up si la patiente refuse le devis ?


S2y2o1v7q53ws4r5wy6ou8czrpom - Eugenol
pxav

09/10/2012 à 22h09

0€, sauf si j'ai préciser avant que j'avais du taf pour pour préparer le devis, mais en général c'est 0. (un cas d'implanto refusé la veille de la chir que j'ai fait payer 500€, sur les dix dernières années)

--
xbk
"Si tous ceux qui croient avoir raison n'avaient pas tort, la vérité ne serait pas loin" Dac Pierre


S2y2o1v7q53ws4r5wy6ou8czrpom - Eugenol
pxav

09/10/2012 à 22h10

Giantcoco écrivait:
-------------------
>
> je trouve en revanche que la paro est top, très bien gérée.

Oui, merci des compliments sauf qu'il n'y a pas eu de paro...
--
xbk
"Si tous ceux qui croient avoir raison n'avaient pas tort, la vérité ne serait pas loin" Dac Pierre


Img 2951 flo3gr - Eugenol
molinarius

10/10/2012 à 00h01

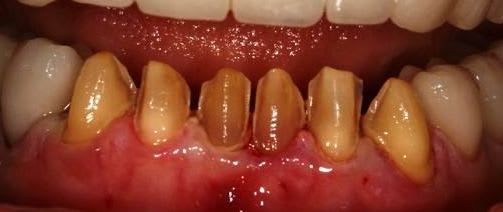
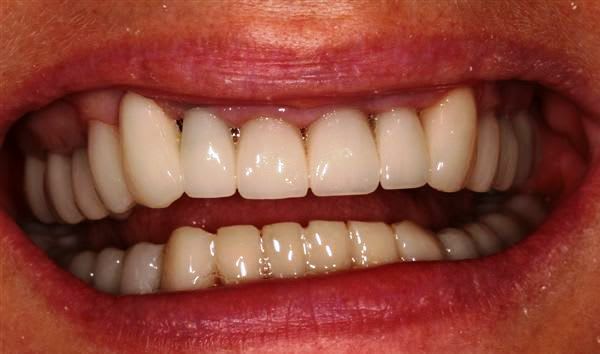
ce qui est dommage , c'est la découpe des céramiques (cut back) , trop régulière , les lobes sont trop marqués et oui les canines faut les adoucir :):)

Tu n'aurais pas du céder pour le B1 .... A1 aurait eu un "meilleur" rendu... ce B1 il faudrait le virer de tout les teintier :)


S2y2o1v7q53ws4r5wy6ou8czrpom - Eugenol
pxav

10/10/2012 à 00h06

molinarius écrivait:
--------------------
> ce qui est dommage , c'est la découpe des céramiques (cut back) , trop régulière
> , les lobes sont trop marqués et oui les canines faut les adoucir :):)
>
> Tu n'aurais pas du céder pour le B1 .... A1 aurait eu un "meilleur" rendu...
> ce B1 il faudrait le virer de tout les teintier :)
>
>
Tout à fait d'accord avec toi pour le B1, et aussi pour le cut back et les canines, c'est d'ailleurs le but de cet essayage.

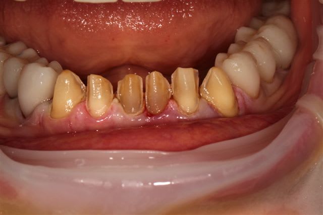
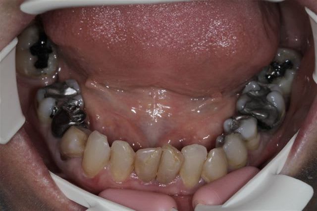
Photos de la taille (je n'ai pas déposé la prothèse sur 22 mais taille et maquillage ensuite), et du bas postérieures en place.

--
xbk
"Si tous ceux qui croient avoir raison n'avaient pas tort, la vérité ne serait pas loin" Dac Pierre

Img 4838 ggta1w - Eugenol
Img 4837 veoqod - Eugenol
Img 4840 url34k - Eugenol
Img 4841 m6gh7s - Eugenol

maz

10/10/2012 à 00h08

pxav écrivait:
--------------
> matten écrivait:
> ----------------
> Le fait que
> > les canine-premolaires-molaires cote II soient plus longues que les incisives
> > accentue ce probleme.
> >
> > Je raccourcirais ttes les dents de 23 à 26 de 2mm.
> >
>
> Pour retrouver une DV j'ai augmenter les postérieures donc je ne vais pas les
> diminuer, alors que la DV est satisfaisante.

je suis d'accord avec matten, les cotés qui tombent, ça fait ligne du sourire inversée

à avoir monté la DV, il y avait pas moyen de la monter plus par le bas et moins par le haut ?

sinon ça fait quand même un sacré changement, clairement mieux, même en blanc :)


maz

10/10/2012 à 00h12

d'ailleurs, je dis ça et j'ai exactement le même problème sur une patiente qui en est au stade des prov (fin d'ostéointégration)
le secteur 2 à tellement egressé que c'est trop chaud à rattraper

Sourire trop long   gauche qipz0y - Eugenol

S2y2o1v7q53ws4r5wy6ou8czrpom - Eugenol
pxav

10/10/2012 à 00h38

maz écrivait:
-------------

> je suis d'accord avec matten, les cotés qui tombent, ça fait ligne du sourire
> inversée
>
> à avoir monté la DV, il y avait pas moyen de la monter plus par le bas et moins
> par le haut ?

> sinon ça fait quand même un sacré changement, clairement mieux, même en blanc :)

Oui, mais j'ai augmenté beaucoup le bas , et j'ai eu peur que ce soit trop haut, néanmoins diminuerais peut être les cuspides vestibulaires des secteurs postérieurs sans jouer sur la DV, mais pas avant que tout soit fini.

J'aurais aussi à régler le problème des papilles, j’espère que D57 saura me conseiller pour ça.



--
xbk
"Si tous ceux qui croient avoir raison n'avaient pas tort, la vérité ne serait pas loin" Dac Pierre


S2y2o1v7q53ws4r5wy6ou8czrpom - Eugenol
pxav

10/10/2012 à 00h48

En regardant les photos du bas, je crois que tu as raison Maz, 1 à 2 mm de plus en bas...mais pas sur?

--
xbk
"Si tous ceux qui croient avoir raison n'avaient pas tort, la vérité ne serait pas loin" Dac Pierre

Img 4568 xwzg2r - Eugenol
Img 4635 urz8tm - Eugenol
Img 4647 oxuwof - Eugenol
Img 4564 jonqoi - Eugenol

S2y2o1v7q53ws4r5wy6ou8czrpom - Eugenol
pxav

11/10/2012 à 23h11

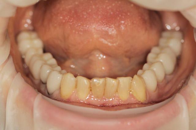
J'ai essayé de suivre certains de vos conseils...

--
xbk
"Si tous ceux qui croient avoir raison n'avaient pas tort, la vérité ne serait pas loin" Dac Pierre

Img 4976r gtsvmz - Eugenol
Img 4969 pmjqvi - Eugenol
Img 4986 xhu7yk - Eugenol
Img 4982 g71qgz - Eugenol

maz

12/10/2012 à 01h31

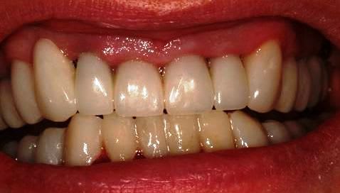
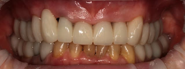
certes ça fait un peu blanc pour la majorité d'entre nous, mais quand on voit le départ et son sourire à la fin, je dit bravo :)


Smile beach jgh0a1 - Eugenol
Céramik

12/10/2012 à 06h11

Joli travail
Canines un peu grosses
Reste à faire 6 e.max en bas (33-43)?

--
Céramik


S2y2o1v7q53ws4r5wy6ou8czrpom - Eugenol
pxav

12/10/2012 à 09h17

maz écrivait:
-------------
> certes ça fait un peu blanc pour la majorité d'entre nous, mais quand on voit le départ et son sourire à la fin, je dit bravo :)

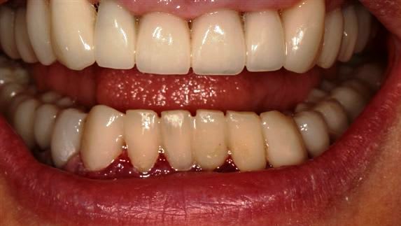
Pour moi aussi ça fait blanc, et ce n'est pas la fin, comme

Céramik écrivait:
-----------------
> Joli travail
> Canines un peu grosses
> Reste à faire 6 e.max en bas (33-43)?
>
> --
> Céramik


oui il reste 6 emax en bas, et j'hésite un peu facettes ou couronnes???
des avis?
--
xbk
"Si tous ceux qui croient avoir raison n'avaient pas tort, la vérité ne serait pas loin" Dac Pierre


maz

12/10/2012 à 10h12

si tu peux faire des facettes, à quoi bon mutiler plus pour faire des couronnes ?


S2y2o1v7q53ws4r5wy6ou8czrpom - Eugenol
pxav

12/10/2012 à 10h54

maz écrivait:
-------------
> si tu peux faire des facettes, à quoi bon mutiler plus pour faire des couronnes
> ?
>

Il est évident que si l'on ne considère que le tissu dentaire, les facettes seront moins mutilantes, les plus conservateurs diront même que déjà c'est du sur-traitement, un éclaircissement et un peu de composite c'est suffisant.
Mais si l'on considère la "bouche" dans son ensemble, il ne me parait pas évident de corriger les malpositions uniquement avec des facettes, si je veux vestibuler les antérieurs du bas.
J'ai voulu garder 13 vivante et de ce fait je me suis retrouvé avec une difficulté esthétique qui n'aurait pas été si j'avais lingualè plus 13
--
xbk
"Si tous ceux qui croient avoir raison n'avaient pas tort, la vérité ne serait pas loin" Dac Pierre


gwenbob

12/10/2012 à 13h15

Commande un (beau) wax-up ésthetique ( cire transp etc...pou
présentation à ta cliente)
une goutière souple en fonction du wax-up afin de pouvoir faire ton bridge immédiat et gérer la dv en fonction de la position de convenance
première empreinte : bridge provisoire usiné, plus beau plus solide
Sur posterieures : onlays-composite, mais attention pas n'importe quoi
sur antérieures Zircones avec une exigence impérative sur guidage pré défini par les reconstitutions des postérieures


S2y2o1v7q53ws4r5wy6ou8czrpom - Eugenol
pxav

12/10/2012 à 14h51

gwenbob écrivait:
-----------------
> Commande un (beau) wax-up ésthetique ( cire transp etc...pou
> présentation à ta cliente)
> une goutière souple en fonction du wax-up afin de pouvoir faire ton bridge
> immédiat et gérer la dv en fonction de la position de convenance
> première empreinte : bridge provisoire usiné, plus beau plus solide
> Sur posterieures : onlays-composite, mais attention pas n'importe quoi
> sur antérieures Zircones avec une exigence impérative sur guidage pré défini par
> les reconstitutions des postérieures

J'ai l'impression que tu arrives en cours de route et que tu n'as pas lu le post, ou alors je ne saisi pas tout.
--
xbk
"Si tous ceux qui croient avoir raison n'avaient pas tort, la vérité ne serait pas loin" Dac Pierre


41467 100000418256397 4215 n ypxyho - Eugenol
Blette

12/10/2012 à 21h53

moi je dirais juste : felicitations, tres, tres joli !
:0)


Smile beach jgh0a1 - Eugenol
Céramik

13/10/2012 à 02h31

Facettes avec recouvrement incisif
Pas de couronnes.
Mon humble avis...

--
Céramik


S2y2o1v7q53ws4r5wy6ou8czrpom - Eugenol
pxav

13/10/2012 à 10h37

oui c'est effectivement ce que je pense, j'ai fait une prè-taille sur le modèle plâtre, ça semble passer.

--
xbk
"Si tous ceux qui croient avoir raison n'avaient pas tort, la vérité ne serait pas loin" Dac Pierre


S2y2o1v7q53ws4r5wy6ou8czrpom - Eugenol
pxav

17/10/2012 à 21h40

Voilà, c'est fait mais je pense que nous allons réfléchir quand à la solution finale, celle à facettes ou bien une taille un peu plus importante pour réduire la hauteur (à vérifier sur les modèles.

--
xbk
"Si tous ceux qui croient avoir raison n'avaient pas tort, la vérité ne serait pas loin" Dac Pierre

Img 5000 ng6sew - Eugenol
Img 4999 vycis5 - Eugenol
Img 5002 lgb1by - Eugenol
Img 5003 cqgfnr - Eugenol
Img 5007 pwmjrp - Eugenol
Img 5010 vxitbe - Eugenol
Img 5012 euv6gw - Eugenol
Img 5013 sostjj - Eugenol
Img 5014 ql5pxb - Eugenol

Android jyzura - Eugenol
Tavéca

17/10/2012 à 23h45

il me semble que gerer cet encombrement serait plus simple en emax, je suis ton cas
avec impatience...
Pour le haut tres joli travail, avec un petit bemol pour les canines et 13 en particulier qui pourtant semblait plus facile à gérer au depart que 23 , et pour les papilles mais a voir dans quelques temps.
j'attends de voir des radios pour me prosterner ;)


S2y2o1v7q53ws4r5wy6ou8czrpom - Eugenol
pxav

18/10/2012 à 00h59

Facettes ou couronnes ce sera en Emax de toutes façon.
Pour les papilles j'attends aussi.
13 est vivante, et comme elle était très vestibulé, ce n’était pas si simple.

Je me suis pris les pieds dans le tapis, 13 c'est le bridge, c'est 23 qui est vivante, donc mauvaise position de 13 je vais voir ce que je peux faire, sachant que ce qui compte c'est le rendu du sourire, plutôt que la photo en macro...
Pour le bas, je vais reprendre la taille, ça n'est pas top.

--
xbk
"Si tous ceux qui croient avoir raison n'avaient pas tort, la vérité ne serait pas loin" Dac Pierre