Cookie Consent byPrivacyPolicies.comdouleurs sous bridge et déontologie - Eugenol

douleurs sous bridge et déontologie

rvb

01/08/2012 à 20h27

ce patient se plaint de saignements abondants et de douleurs
vives au passage des brossettes.
la pose est très récente
j'explique que le surcontour est à l'origine des douleurs et saignements et que seul la réfection permettra le résolution du problème en enjoingnant le patient à revoir le confrère qui
a par ailleurs réalisé d'autres prothèses bien mieux intégrées.
le climat semble tendu entre les 2.
second entretien ce jour,le patient monte au plafond quand il passe la brossette interdentaire
il doit temporiser jusqu'à septembre.
le patient pense au contentieux, car il a alerté plusieurs fois son praticien traitant lors des séances de soins suivantes,ne récoltant comme conseil que le passage des brossettes avec démo douloureuse au cabinet.
je ne souhaite pas le pousser vers ce chemin mais reste circonspect quand à la prise de décision de mon confrère.
mon analyse vous semble-elle correcte:
surcontour ne respectant pas l'espace biologique avec apparition future d'une poche parodontale mettant en péril l'avenir de la prothèse

 x 0000266e 3 wwl6bs - Eugenol

doagui

01/08/2012 à 20h53

Mon conseil : reste à ta place, conseille mais ne juge pas, et ne dénigre pas le travail du voisin ! Surtout ne pousse pas le patient dans la voie du contentieux, laisse le se débrouiller avec le praticien précédent, qui fera surement ce qu'il faut pour éviter les emmerdes.


G-P

01/08/2012 à 21h02

Oui ne jugeons pas les screw-post et les limites fantaisistes.


RépondreCiter
doagui

01/08/2012 à 21h41

Attention, ne me faites pas dire ce que je n'ai pas dit, c'est effectivement critiquable ici entre professionnels, tout ce que je dis c'est que je me garderais bien de donner à un patient déjà en colère des raisons de l'être encore plus. Mon attitude dans ce cas-là c'est plutôt de dire au patient qu'il y a un soucis, sans critiquer le prédécesseur (sans le dédouaner non plus, il n'est pas question de mentir), et de dire qu'à mon sens il faut refaire. Partant de là, je conseille au patient de retourner chez son praticien qui devrait certainement faire un geste, car si c'est moi qui refait alors il faudra tout repayer.


41467 100000418256397 4215 n ypxyho - Eugenol
starsky55

01/08/2012 à 21h48

J ai déjà eu des patients se plaignant du voisin....
Ne juge pas....
Dans 6 mois il ira peut être chez un 3ème se plaignant de toi....

On n est pas juge du travail d un confrère, s il n est pas satisfait et que c est récent,
Il s arrange avec la personne qui a fait le bridge, ou il prend rendez vous avec le dentiste conseil ou un expert.... Ce sont eux qui sont plus à même pour trancher...


41467 100000418256397 4215 n ypxyho - Eugenol
starsky55

01/08/2012 à 21h49

Et d ailleurs , faute à qui finalement.... Au dentiste ou au prothésiste....?
Au patient hypersensible ?...


41467 100000418256397 4215 n ypxyho - Eugenol
starsky55

01/08/2012 à 21h54

Quelqu un sûr ce forum à t il déjà pense à cela....?
À l avenir avec des patients de plus en plus procéduriers pour le moindre petit hic , doit on ne rien faire, encaisser les plaintes, voir nos cotisations Rcp monter en flèche ?
Ou tout simplement faire signer en début de plan de traitement une décharge genre "je reconnais que le risque médical existe et que je m y expose" comme on le fait pour une AG ou autre intervention de médecine....

Un confrère proche à eu une plainte avec demande de 30.000 euros de dommages corporels suite à une sensibilité dentinaire pour un compo 1 face..... Ça fait réfléchir.....


Cuisinier2 vnbbxx - Eugenol
jeff2

01/08/2012 à 22h00

second canal MV oublié sur la 7? téléphones au confrère conseille lui un cône beam
les surcontours on en voit plein mais pas de douleur au passage de la brossette
la nomenclature de merde qu'on a, fait qu'on oublie beaucoup de second MV, alors ne lui jeton pas la pierre

ce patient se retrouve avec un bridge et trois dent devitalisées, alors qu'il assume aussi la dégradation de sa bouche, on est pas là pour sauver le monde


Images 5  n6rze9 - Eugenol
zebob

01/08/2012 à 22h15

ou bien le canal distal de la 27?


Canin

01/08/2012 à 22h25


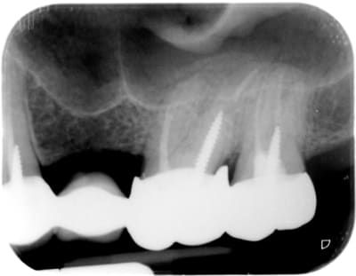
Ici le debordement est evident et il y a une atteinte osseuse visible, le boulo est a refaire

--
Canin


All star lmwyq8 - Eugenol
saint Desmotome

01/08/2012 à 23h29

Il y a quand même des praticiens qui tirent toute la profession vers le bas en osant faire du boulot comme celui-ci. C'est triste.


rvb

01/08/2012 à 23h47

en conclusion je suis content d'avoir dit au patient que ses douleurs pouvaient s'expliquer techniquement et que le confrère devrait prendre en compte ses doléances si la temporisation jusqu'à septembre n'apportait rien.
à la question "et après s'il ne propose rien?",j'ai effectivement informé du recours auprès du dentiste conseil.
une mauvaise incidence rx peut-elle à votre avis donner une fausse idéé de la "fantaisie" de la limite?




Grueavatar nptrc9 - Eugenol
Le Choixpeau magique

02/08/2012 à 00h08

rvb écrivait:
-------------
> à la question "et après s'il ne propose rien?",j'ai effectivement informé du
> recours auprès du dentiste conseil.

Pourquoi le dentiste conseil ? Qu'est-ce qu'il a à voir là dedans ?

Et ce genre de "conseil" n'est pas confraternel, si jamais le confrère l'apprend et se plaint au conseil de l'ordre tu te feras taper sur les doigts.


rvb

02/08/2012 à 00h14

pour moi c'est la démarche classique pour aller vers une expertise.
le conseil de l'ordre peut être une tentative de conciliation
préalable.


paradoxe

02/08/2012 à 00h18

Pfff...à cette bande de nazes qui critiquent et qui savent tout, mais qui ont toujours une excuse quand je vois leurs conneries.
Déjà, si ces douleurs sont dues à un surcontour, alors la douleur est très facile à supprimer en 2 mn.
Ce patient devrait il porter plainte contre l'initiateur de ce post qui n'a toujours RIEN fait pour supprimer ses douleurs ?

En plus, yen a qui donnent le baton pour se faire battre !
MDR, vous devez aimer ça... vous êtes maso.




Grueavatar nptrc9 - Eugenol
Le Choixpeau magique

02/08/2012 à 00h20

rvb écrivait:
-------------
> pour moi c'est la démarche classique pour aller vers une expertise.

Déjà non pas du tout, c'est la démarche classique pour entraîner un indu pour le praticien.
Ensuite c'est ton rôle de faire du conseil juridique aux patients afin de leur indiquer la méthode pour attaquer leur ancien praticien ?

> le conseil de l'ordre peut être une tentative de conciliation
> préalable.

Et quel rapport avec le dentiste conseil ?


rvb

02/08/2012 à 00h28

la tu peux m'eclaircir les idées.
hypothèse:le patient estime que la prothèse ne le satisfait pas.
il demande un entretien auprès du co.
si pas d'entente des 2 parties,qui diligent une expertise?
je croyais que c'était le dentiste conseil.


Utilisateur banni

02/08/2012 à 00h31

On est tous le nul de quelqu'un, un jour ou l'autre.

Ne t'en mêle pas, ni de près, ni de loin, ça va te retomber sur la tronche (le patient va déformer tes paroles). Et pour pas un rond en plus.

Tu éludes. Tu lui conseilles de revoir son praticien.

Patient suivant.





41467 100000418256397 4215 n ypxyho - Eugenol
starsky55

02/08/2012 à 00h41

Et à vouloir démonter son bridge pour lui en re proposer un neuf "beaucoup mieux" tu t exposes au risque de fracturer une racine avec l arrache couronne.... Et la .... Youpi, t auras tout gagné ...
T as pas assez de recul avec les années si ça ne t es pas encore arrivé mais ton heure viendra .... Et tu réfléchiras un peu plus avant de t élancer tête baissée :0)


rvb

02/08/2012 à 00h56

starsky55 écrivait:
-------------------
> Et à vouloir démonter son bridge pour lui en re proposer un neuf "beaucoup
> mieux" tu t exposes au risque de fracturer une racine avec l arrache
> couronne.... Et la .... Youpi, t auras tout gagné ...
> T as pas assez de recul avec les années si ça ne t es pas encore arrivé mais ton
> heure viendra .... Et tu réfléchiras un peu plus avant de t élancer tête baissée
> :0)
>
la tu t'emballes.
le peu de sagesse que je possède m'a surtout retenu d' une telle proposition.
mon premier post mentionne que le confrère a réalisé d'autres
couronnes mieux intégrées.
loin de moi l' idée du "je ferai mieux".
je cherche le juste milieu entre le "mais non c'est dans votre tête" et le "faut aller voir votre avocat" et cherche à anticiper une situation de blocage dans laquelle je deviendrait un éventuel conseillé du patient dans une démarche de contentieux.
apparemment j'ai des lacunes .
mais ma seule expérience est une demande d'expertise demandée par le dentiste conseil suite à plainte d'un patient.
l'avis positif donné a arrêté le contentieux.
loin de moi l'envie de souffler sur les braises




G-P

02/08/2012 à 23h15

Il faut juste garder une attitude neutre, le patient sait très bien comprendre quand quelque chose ne va pas.
Ce n'est pas ton rôle de diriger un patient vers le CDO ou conseil juridique ou autre, c'est anti-confraternel. Laisse au patient, grâce au miracle d'internet, le moyen de trouver ces réponses.

"- Mais docteur, j'ai mal ! Mon bridge je l'ai depuis 6 mois et j'ai mal tout le temps !
- Mais madame Chombier, je ne vous ai pas fait ce travail, retournez voir votre praticien qui sera plus à même de vous proposer une solution"

Aucun commentaire sur la qualité du travail, réponse neutre mais ferme.

On a déja suffisamment d'emmerdes sans rajouter celles des autres :)


Blue eye thumb medium dx1i0w - Eugenol
bill

03/08/2012 à 01h13

G-P écrivait:
-------------

>
> Aucun commentaire sur la qualité du travail, réponse neutre mais ferme.
>
> On a déja suffisamment d'emmerdes sans rajouter celles des autres :)


+1

Et tu seras content si ton confrère fait la même chose le jour où ça t'arrivera.
Si,si, tu verras, un jour... ;-)


Dent masqu e petite f0pbaj - Eugenol
dudule

03/08/2012 à 02h35

Et toujours le même débat... comme quoi on peut partir un temps et retrouver les marronniers de nonol.

Puisqu'on te dit qu'il faut couvrir ton confrère qui a passé 10 min chrono pour faire ces TR des merdes et passé certainement pas moins de temps pour coller des screws posts (je ne savais même pas que l'on en vendait encore)... et encore 10 min pour une empreinte dont on imagine la qualité au vu du résultat.

Ton rôle de soignant est d'indiquer au patient qui vient te consulter pour ça, que le bridge pose problème et qu'il convient de le refaire pour trouver une solution à son problème (Tu pourras en profiter pour refaire les TR au passage (de préférence démonte le sans arrache couronne car effectivement tu risques de fracturer une racine).


RépondreCiter
Tozzi

03/08/2012 à 15h46

Si son ancien praticien démontait son bridge pour en refaire un (évidemment il ne fera pas d'ic et refera encore moins les endo), un jour ou l'autre çà sera une infection qui se déclarera sur une des dents porteuses.
Si on veut éviter tous les problèmes possibles, il faudrait tout démonter, reprendre toutes les endos, faire des ic, et refaire un bridge digne de ce nom. C'est-à-dire des dizaines d'heures de travail et tout à repayer pour le patient. Je doute qu'on puisse le convaincre de se lancer dans une telle galère.


Grueavatar nptrc9 - Eugenol
Le Choixpeau magique

03/08/2012 à 17h17

dudule écrivait:
----------------
> Puisqu'on te dit qu'il faut couvrir ton confrère

Il y a un monde entre "couvrir" et indiquer la démarche pour engager une procédure, tu ne crois pas ?


12