Cookie Consent byPrivacyPolicies.combridge et implants courts - Eugenol

bridge et implants courts

Zz cnsu38 - Eugenol
toto48

06/09/2012 à 17h56

Bonjour,
j'ai besoin de vos regards expérimentés pour savoir si je suis dans les clous avec le plan de traitement que j'envisage pour ce patient:
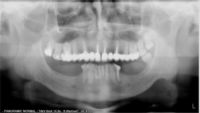
homme, 61 ans, ancien fumeur (arrêt depuis 5 ans), pas de pb général, légère classe II, brossage correct sans plus.
Il veut du fixe en bas.
34 a été retraitée: silence clinique depuis (env 6 mois) mais image toujours présente confirmer par le scan.
le volume osseux me permet d'envisager:

en 45 : 3,7/8 en mésial du foramen
en 46 :3.7/8
en 46/47: 3.7/8

en 34 : 3,7/12
en 35 : 3,7/8
en 36 : 4.8/6

n'ayant pas ou très peu d'expérience sur des bridges post avec des implants aussi courts et étroits, que me conseillez vous:
3implants par secteur, uniquement 2 par secteur, ou au contraire augmentation osseuse pour poser plus long et plus gros.
merci d'avance.

010 kstazr - Eugenol

Pepsi tmi4vp - Eugenol
cartman

06/09/2012 à 18h17

Bonjour,

merci d'avoir posté ce cas.
Le diamètre de 3.7 pour des molaires me semble un peu juste voir périlleux. Sinon je ne vois pas de problème à avoir recours aux 8 mm. Ils auront un meilleur pronostic que des tentatives de greffes pénibles, hasardeuses et couteuses pour gagner deux malheureux mm de hauteur.


Toriko ucqp9i - Eugenol
Giantcoco

06/09/2012 à 18h59

+1 la longueur n'est pas un problème mais la largeur de crête peut en être un une ROG peut t'aider


Canin

06/09/2012 à 22h24

Fonces, 3,7 pour moi c'est du standard.

3 implants par secteur c' est top. Tu remplaces finalement 5 racines dentaires par 3 racines implantaires avec 2 inter de bridge si tu envisages cela sous l angle de la premolarisation.

Le rapport est favorable, et un 3,7 pour une premol c est top.

Voilà mon raisonnement.

Sinon pour déterminer tes largeurs, tu as fais un scan ? Car je penses qu il vaut mieux poser un 3,7 avec dans de bonnes conditions osseuses que poser un 4,5 avec une ROG.

Je suis pour la simplification des protocoles quand c est possible, concept à la suisse.

--
Canin


G-P

06/09/2012 à 23h52

Y'a que moi qui ne conserve pas 34 ?


Canin

07/09/2012 à 00h16

G-P écrivait:
-------------
> Y'a que moi qui ne conserve pas 34 ?

Si, d accord sur le principe avec toi, mais le monsieur a pas posé la question, donc il gère


Peut-être il a fait rte et attend guérison.

Si on commence, ya aussi un souci sur 27 en distal, et 11-23 apical et le devenir de 18 et de 28 ?
--
Canin


G-P

07/09/2012 à 00h44

Remarque si il place un implant en 34 c'est qu'il ne conserve pas, sans doute.
/facepalm


Zz cnsu38 - Eugenol
toto48

07/09/2012 à 11h19

oui en général je préfère enlever la dent avant de mettre l'implant, je trouve ça plus pratique ;)


Humator t9r5wy - Eugenol
humator

07/09/2012 à 11h33

pour moi, pas de problèmes sur les dimensions proposées.

--
N.Hum


Zz cnsu38 - Eugenol
toto48

07/09/2012 à 11h42

En fait, il s'agit d'un cas que j'ai recupéré de mon associé, qui s'est arrêté précipitamment en mars pour raison perso.
La prothèse au maxillaire a 1 an, j'ai bien vu les soucis endo mais tant que ça ne se réveille pas je fais l'autruche, sauf pour 27 et 18/28 qui ont été soignées ou extraites (la pano date un peu).
en bas mon associé avait prévu (avant d'avoir vu le scan) bridge sur 2 implants secteur 4 et bridge dent-implant 34/36 (pas de remplacement 37).
Donc vu le pb sur 34, c'est plus possible, et pour ce qui est de faire des bridges avec 2 implants dans chaque secteur vu le volume osseux (le scan vient d'être réalisé) je suis un peu dubitatif sur l'attitude à adopter, même si j'ai regardé le scan à nouveau ce matin et que je peux mettre du 4,1 mm partout(même en gardant un marge corticale suffisante en Vestibulaire) voire du 4,5 en 46/47.


Casque beotien a3jo39 - Eugenol
beotien

07/09/2012 à 19h05

4 c'est pas mal non plus
tu peux faire un patchwork:-))

leone os D1 pas de prothèse pendant + de 20ans
pas d'osteotension forage sans irrigation

ma seule règle m'adapter a l'épaisseur de l'os

je ne conseille pas de faire ainsi!

G1 gybirl - Eugenol

RépondreCiter
Logo m4n3gc - Eugenol
drmarcus

07/09/2012 à 19h11

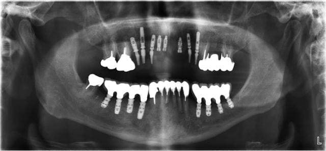
Simplement pour dire que ça peut se faire! Depuis 2 ans environ. Ok c'est au maxillaire et le bas pour l'occlusion on peut mieux faire mais chaque chose en son temps.

--
"La vis est à l'implant ce que la carie est à la dent!" (Pozzi)

Certes maxillaire jpt2wk - Eugenol

Logo m4n3gc - Eugenol
drmarcus

07/09/2012 à 19h23

Moins de recul 1 an seulement pour le bas. En haut c'est une sorte de MCI avec provioire (made in drmarcus).
Maintenant si tu penses que la largeur va tu peux te baser sur cet exemple.

--
"La vis est à l'implant ce que la carie est à la dent!" (Pozzi)

Mandibule cj3msl - Eugenol

209209668 fh2mys - Eugenol
fredo667

07/09/2012 à 20h10

Salut,

Tu as étudié le scan sur des planches?
AHAM, avec une planification informatique, qui s'affranchit du plan de coupe choisit par le radiologue, tu te mets sans probleme en avant du trou mentonnier de la 45 et tu peux mettre la longueur qui te conviens et te rassureras du coup.

Mais je peux me tromper. Pour l'implant avec 6 de hauteur, il est préférable d'avoir de l'os de part et d'autre et de prendre pas trop large plutot qu'un os de cortical qui risque de se résorber. Quand tu as 10 mm ca va, 6 c'est plus coton. Utilise un implant pas trop agressif, vaut mieux qu'il soit positionner avec un torque de 10 et en nourrice plutot que forcer et risquer de traumatiser l'os.


Avatar ow44t3 - Eugenol
Chicot

09/09/2012 à 19h28

Tu peux aussi virer tout le bas et faire un piloti sur 4,5 ou 6 implants......

I Joke !


--
;O)