Cookie Consent byPrivacyPolicies.comQue faites-vous sur ce patient???? - Eugenol
1309531 ours brun n5iukf - Eugenol
seespan

18/09/2012 à 14h47

shèmat pour extrusion avec aimant. Normalement a la porté de n'importe quel généraliste.

--
หมอจัดฟัน

Aimant gxfsdf - Eugenol

Cuisinier2 vnbbxx - Eugenol
jeff2

18/09/2012 à 15h22

J'ai tout relu et pourtant je n'ai vu aucune indication de l'âge du patient, et de son bilan médical à risque? de plus une pano est toujours judicieuse pour savoir si me problème existe ailleurs
encore une fois les soins faits me semblent très correctes, donc je cherche la cause avant de trouver une solution.
J'ai eu beaucoup de désillusions en trente ans avec des patients devenus diabétiques, asthmatique, parkinsoniens, ou simplement sous neuros, et la liste est longue.


Images jm2g2g - Eugenol
dr_0le

18/09/2012 à 15h25

Gutt-A écrivait:
----------------
> dr_0le écrivait:
> ----------------
> > sensibilité légères > endo + ccm est clairement un sur traitement..
> >
> > je pense comme certains, le cvi avec reconstruction sandwich en première
> > intention..
> > si persistance des douleurs on avise..
>
>
> Vu l'atteinte carieuse sur la rx, je dévitalise.
>
> "Sensibilités légères", chacun a un seuil de sensibilité à la douleur plus ou
> moins important. Celà ne veut pas forcément dire que la pulpe n'est pas atteinte
> de façon irréversible.
>
> Après tu peux toujours jouer les bricoleurs en calfeutrant avec des bouts de
> cvi.
>

je dis juste qu'il ne faut pas automatiquement devit + ccm..
et un cvi bien réalisé ne constitue pas du bricolage mais bien un soin a part entière..
mais effectivement si le curetage de la carie est trop sous gingival ou trop proche de la pulpe.. la question ne se pose plus


Dsc 3167 ff43tz - Eugenol
Xenophon

18/09/2012 à 16h29

Moi, je ne pars certainement pas sur une pulpec en première intention. Je tente les CVIMAR, éventuellement sous lambeau.


dentine34

18/09/2012 à 17h21

jeff2 écrivait:
---------------
> J'ai tout relu et pourtant je n'ai vu aucune indication de l'âge du patient, et
> de son bilan médical à risque? de plus une pano est toujours judicieuse pour
> savoir si me problème existe ailleurs

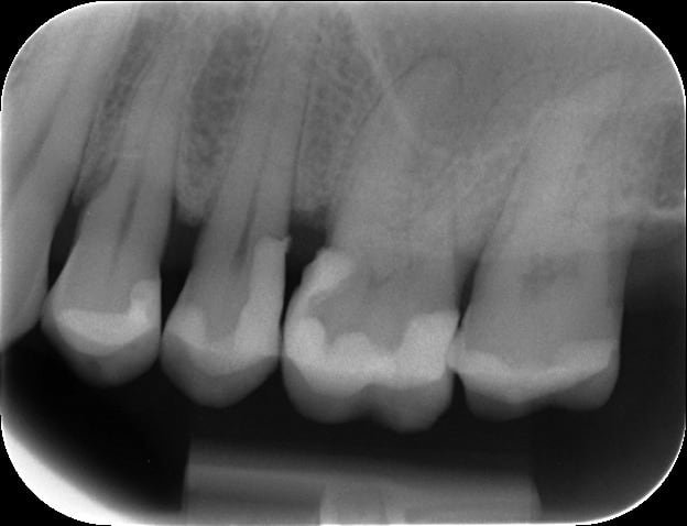
RAS niveau medical et patient âgé de 52 ans....je ne l'ai pas précisé car je ne vois pas en quoi ça aide au plan de traitement de deux caries radiculaires. Idem la pano je ne l'ai pas posté car je n'en vois pas l'intérêt pour la question posée et puis elle date d'y a 5ans. En effet, là où je bosse on ne fait pas de pano chaque année mais simplement lors du 1 er RDV quand il y a en bouche de nombrrux soins (endo, ccm, amalgame ou compo) et pour voir les DDS et structures maxillaires. Après plus vraiment besoin, surtout chez un patient de cet âge, car deux fois par an ils viennent se faire détartrer par l'hygieniste et une fois par an contrôle chez le dentiste avec bite-wing! Ceci-dit lui n'était pas venu depuis deux ans car en déplacement professionnel.

> encore une fois les soins faits me semblent très correctes, donc je cherche la
> cause avant de trouver une solution.

Effectivement les composites sont bien adaptés en proximal et non débordant mais il n'y avait pas du tout de point de contact (je suppute qu'une crête c'est cassée), du coup gros tassement alimentaire. Lors de la consultation en urgence c'était bourré d'aliment. Donc l'étiologie est facile...pas besoin de chercher une explication super compliquée, genre résorption externe comme j'ai pu lire précedemment.

> J'ai eu beaucoup de désillusions en trente ans avec des patients devenus
> diabétiques, asthmatique, parkinsoniens, ou simplement sous neuros, et la liste
> est longue.

En tout cas merci pour ton post ça fait toujours plaisir des conseils, surtout venant "d'un ancien!;) "


dentine34

18/09/2012 à 17h27

Gutt-A écrivait:
----------------
> dr_0le écrivait:
> ----------------
> > sensibilité légères > endo + ccm est clairement un sur traitement..
> >
> > je pense comme certains, le cvi avec reconstruction sandwich en première
> > intention..
> > si persistance des douleurs on avise..
>
>
> Vu l'atteinte carieuse sur la rx, je dévitalise.
>
> "Sensibilités légères", chacun a un seuil de sensibilité à la douleur plus ou
> moins important. Celà ne veut pas forcément dire que la pulpe n'est pas atteinte
> de façon irréversible.
>
> Après tu peux toujours jouer les bricoleurs en calfeutrant avec des bouts de
> cvi.


Moi non plus je ne pense pas que faire des CVI c'est faire du bricolage!!! D'ailleurs avant de faire l'endo, tu es bien obligé de nettoyer tout le tissus carieux et reconstruire aux CVI, non? Alors pourquoi se jeter directement sur endo+ccm si les cvi peuvent suffir après contrôle radio?! Ah peut être question de nomenclature et rentabilité!;)


Gutt-A

18/09/2012 à 17h28

.


vmdeugénol

18/09/2012 à 17h33

Oui çà marche très bien, avec un Cerec çà ne coute pas cher et le temps de collage est rapide et en juxta gingival c'est un + par rapport au compo.

bien sur, sur émail non préparé cela fonctionne très bien aussi, pour les chips du style diastème à fermer mais aussi, par exemple pour traiter des érosions occlusales chez les jeunes patients. On combine les principes de la V-prep pour que cela soit usinable tout en limitant au maximum le fraisage de la dent.


dentine34 écrivait:
-------------------
> Des chips de céramique?....le collage en milieu humide ça ne va pas être top je
> pense!
> Et puis si je peux coller des chips en céram, je peux tout aussi bien faire un
> bon collage avec un composite et ainsi réduire les frais pour le patient et
> respecter un certain gradiant thérapeutique...
>
> Par contre en as-tu déjà fait? Peuvent-elles être directement collées sur
> l'émail sans aucune préparation de la dent?...car j'ai peut-être un cas pour ça.


120 81 mdkvjo - Eugenol
Monaco

18/09/2012 à 17h35

Pas d'endo sur la 15 au moins ??
En revoyant la RX j'ai des doutes quand même ...


dentine34

18/09/2012 à 17h54

Monaco écrivait:
----------------
> Pas d'endo sur la 15 au moins ??
> En revoyant la RX j'ai des doutes quand même ...

Si peut-être, même sûrement....mais la 1ère étape reste quand même le nettoyage des cavités carieuses et mise en place d'un matériaux de reconstitution. Après en nettoyant si je vois que j'atteinds la pulpe, là il y a plus de doute! Dans tout les cas, je ne pars pas dans l'intention de faire une endo et une ccm. Je préviens juste le patient de la complexité du traitement et du risque d'endo!

Merci Seespan, pour l'égression ortho, c'est une super astuce à laquelle je ne pense pas forcément!


vmdeugénol

18/09/2012 à 18h00

M'enfin on fait pas des biopulpectomies sur des lésions comme çà !!!!


RépondreCiter
youn

18/09/2012 à 18h26

Franchement la 5 je me pose même pas de questions...endo ccm et ça quelque soit la nomenclature du pays. et la 6 si en préparant la 5 je juge que c'est jouable (un collage) et que je peux faire quelque chose de très correct je tente (pièce labo, chips ou inlay/onlay) et je surveille, si c'est trop profond ou que le joint est trop dur à réaliser idem. Je ne prends pas le risque de voir la lésions osseuse se poursuivre (et ne pas trop présumer sur les capacités d'hygiène des patients est bien souvent une bonne idée.) Vaut mieux un joint "parfait" fait au labo qu'une technique directe. Et en france malheureusement ton inlay/onlay SC17 a priori ton patient va lui préférer un bon SPR 50 + 57.


Gutt-A

18/09/2012 à 18h28

dentine34 écrivait:
Ah peut être question de nomenclature et rentabilité!;)


Oui tu as raison, mea culpa.
Je vais plutot mettre comme toi deux cvi pourris, et quand les racines des 5 et 6 seront atteints tres fortements par la carie dans 6 mois- 1an, çà sera extractions et 2 implants.
Finalement tu es plus rentable que moi!


vmdeugénol

18/09/2012 à 18h30

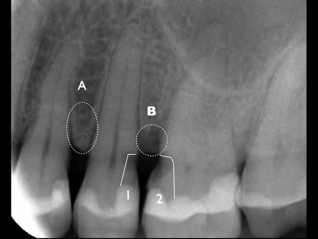
En A l'os est OK, l'espace biologique OK.

En B l'os est atteint et l'espace biologique perturbé.

Les lésions carieuses sont à distance de la pulpe, on n'a pas de perforation.

Objectif 1 rétablir un espace biologique inter-dentaire valide.
Objectif 2 préserver la pulpe vitale.

5 et 6 ont déjà des restaurations occlusales, il suffit de faire au choix selon les capacités techniques de chacun :

- Inlay céramique avec extension vers 1 et 2.

- V-prep étendue + restauration céramique vers 1 et 2 selon l'état occlusal qui n'est pas clair ici.

-chip céramique si l'ensemble dentaire hors lésion est en très bon état

- petite paro en option au laser sur la papille

Chips - Eugenol

dentine34

18/09/2012 à 18h46

Gutt-A écrivait:
----------------
> dentine34 écrivait:
> Ah peut être question de nomenclature et rentabilité!;)
>
>
> Oui tu as raison, mea culpa.
> Je vais plutot mettre comme toi deux cvi pourris, et quand les racines des 5 et
> 6 seront atteints tres fortements par la carie dans 6 mois- 1an, çà sera
> extractions et 2 implants.
> Finalement tu es plus rentable que moi!

Oups j'ai du te froissé! Mea culpa!
Je suis navré si toi tu fais des CVI pourris, mais moi je suis loin d'être le roi de la dentisterie mais j'essai d'être consciencieux. Donc comme dit plus haut mes CVI ou compos seront fait avec des fils de rétractions et la digue! Et puis une radio de contrôle à la fin ( que je posterai sur eugenol)! Et si techniquement c'est trop dur pour moi ou que ça baigne dans la salive par manque d'étenchéité ou que les restaurations soient débordantes ou qu'il reste de la carie à la radio et bien je changerai de plan de traitement! Mais en aucun cas je ne laisserai une merde en place! Donc désolé si tu ne maitrise pas le collage mais si c'est correctement réalisé ça na vas pas détruire les racines et entrainer l'extraction des dits dents!

Aujourd'hui j'ai commencé par la 6 car plus facile d'accès, mais j'ai quand même mis 90min...et demain la 5. On verra la radio finale...mais au moins j'aurai essayé!


Gutt-A

18/09/2012 à 19h43

c'était pour rire...


dentine34

20/09/2012 à 11h33

Bon voilà la radio "post-op"!...après deux rendez-vous de 90 minutes et pas mal de peine!

Fil de rétraction en place, pose de la digue, matrice Tofflemire à bosse...et j'ai réussi à obtenir quelque chose d'étenche et de sec. Du coup deux composites et pas de CVI. Et restauration d'un bon point de contact.

Le patient est au courant qu'il faudra surveiller les dents de près, et faire à chaque contrôle des test de vitalité.

Le travail est sûrement criticable, j'attends donc des remarques, mais pour une première perso je suis plutôt satisfait d'avoir éviter extraction et implants!

Sur la molaire, je ne sais pas pourquoi le composite fait cette vague car j'ai passé des disques et une bande de strip à polir...

P0052114 20120913 dr39443 bkvpvr - Eugenol

doagui

20/09/2012 à 11h39

Vu la situation j'aurais surement pas fait aussi bien ! Ceci dit, à mon avis ça va finir en pulpite sous peu vu la proximité pulpaire.


Little shop of horrors brzqjx - Eugenol
chatondecarte

20/09/2012 à 11h52

dentine34 écrivait:
-------------------
> Bon voilà la radio "post-op"!...après deux rendez-vous de 90 minutes et pas mal
> de peine!
>
> Fil de rétraction en place, pose de la digue, matrice Tofflemire à bosse...et
> j'ai réussi à obtenir quelque chose d'étenche et de sec. Du coup deux composites
> et pas de CVI. Et restauration d'un bon point de contact.
>
> Le patient est au courant qu'il faudra surveiller les dents de près, et faire à
> chaque contrôle des test de vitalité.
>
> Le travail est sûrement criticable, j'attends donc des remarques, mais pour une
> première perso je suis plutôt satisfait d'avoir éviter extraction et implants!
>
> Sur la molaire, je ne sais pas pourquoi le composite fait cette vague car j'ai
> passé des disques et une bande de strip à polir...


Pourquoi pas de cvi?


dentine34

20/09/2012 à 12h07

Oui le patient est au courant pour le risque de pulpite...ça survient au bout de combien de temps environ?

Pas de CVI car l'étenchéité était vraiment parfaite donc bonnes conditions pour faire des composites, et puis comme j'ai repris les anciens compos au moins là il n'y a pas de mélange entre CVI et compo.


RépondreCiter
Dabitz

20/09/2012 à 13h02

Beau travail.
Cependant à la vue de la proximité pulpaire j'aurai utilisé un CVI qui est mieux toléré par la pulpe et la gencive, ou alors au moins un fond de cavité sous le compo en région radiculaire.
Tiens nous au courant^de l'évolution du cas.

Salut.


1309531 ours brun n5iukf - Eugenol
seespan

20/09/2012 à 13h14

Juste une question que je voulais poser depuis le début, pourquoi pas un amalgame? Il y a une contre-indication particuliére ou c'est juste pour une question de prise qui se ferait en milieu humide.

--
หมอจัดฟัน


Bebe 038 nf8eum - Eugenol
danteyeah

20/09/2012 à 15h05

dentine34 écrivait:
-------------------
> Bon voilà la radio "post-op"!...après deux rendez-vous de 90 minutes et pas mal
> de peine!

Pourquoi 2 RDV? Tu as traité séparément la 5 et la 6?

La radio semble montrer une atteinte de la furcation radiculaire entre la racine palatine et la MV, difficile d'être sur d'une étanchéité ici, jouer la carte du CVI pouvait être plus rassurant.
La vague de composite prend surement son origine dans la position du coin (bois, plastique) nageant peur être dans l'espace inter dentaire très large vu la position des lésions carieuse.

A méditer: 3 heures d'un travail technique avec un pronostic pas évident pour moins de 90€ tous compris.....il y a un moment ou certaines indications ne le sont plus, simplement pour l'équilibre économique du cabinet. Je comprends le coté "héroïque" ou "jusqu'au boutiste" de la démarche, cela aurait vraiment un sens avec une certitude de pronostic. Mais ici je trouve que si tu devais généraliser ce genre de cas tu mettrais ton exercice en péril. Il vaudrait mieux alors perdre du temps pour faire accepter un traitement moins dévastateur pour la santé économique de ton cab.


dentine34

20/09/2012 à 15h28

danteyeah écrivait:
-------------------
> dentine34 écrivait:
> -------------------
> > Bon voilà la radio "post-op"!...après deux rendez-vous de 90 minutes et pas
> mal
> > de peine!
>
> Pourquoi 2 RDV? Tu as traité séparément la 5 et la 6?

Oui traité séparemment. J'ai commencé par la 6 car vision directe plus simple!


> La radio semble montrer une atteinte de la furcation radiculaire entre la racine
> palatine et la MV, difficile d'être sur d'une étanchéité ici, jouer la carte du
> CVI pouvait être plus rassurant.
> La vague de composite prend surement son origine dans la position du coin (bois,
> plastique) nageant peur être dans l'espace inter dentaire très large vu la
> position des lésions carieuse.
>
> A méditer: 3 heures d'un travail technique avec un pronostic pas évident pour
> moins de 90€ tous compris.....il y a un moment ou certaines indications ne le
> sont plus, simplement pour l'équilibre économique du cabinet. Je comprends le
> coté "héroïque" ou "jusqu'au boutiste" de la démarche, cela aurait vraiment un
> sens avec une certitude de pronostic. Mais ici je trouve que si tu devais
> généraliser ce genre de cas tu mettrais ton exercice en péril. Il vaudrait mieux
> alors perdre du temps pour faire accepter un traitement moins dévastateur pour
> la santé économique de ton cab.

Tu as tout à fait raison...mais je ne travaille plus en France, je me suis expatrié! Et j'ai la chance d'excercer là oü la cotation est en rapport avec le plateau technique utilisé, et le temps passé! Chaque acte a droit à une cotation (pose de digue, anesthésie, etc...).

Pour être franc si j'avais reçu ce patient quand je travaillais encore en France, je n'aurais jamais fais ceci....MALHEUREUSEMENT! Et j'aurai fait comme bon nombre de confrère endo+CCM.
Ici, grâce à une nomenclature adaptée nos plans de traitement ne sont pas dictés par la sécurité sociale! Du coup on a une autre philosophie de traitement, qui je pense se rapproche d'un idéal ou du moins ce que j'aimerai qu'on me fasse sur moi! Quoiqu'on fasse, nos traitements sont rentables pour le cabinet et il n'y a donc pas que la prothèse et les implants!


1309531 ours brun n5iukf - Eugenol
seespan

20/09/2012 à 15h32


et le chocolat c'est super bon
--
หมอจัดฟัน