Cookie Consent byPrivacyPolicies.comciment canalaire en seringue : Attention Danger! - Eugenol

ciment canalaire en seringue : Attention Danger!

3f3boxni50k58rq7e9ce9ddqrxgk - Eugenol
dentiste57

18/09/2012 à 22h15

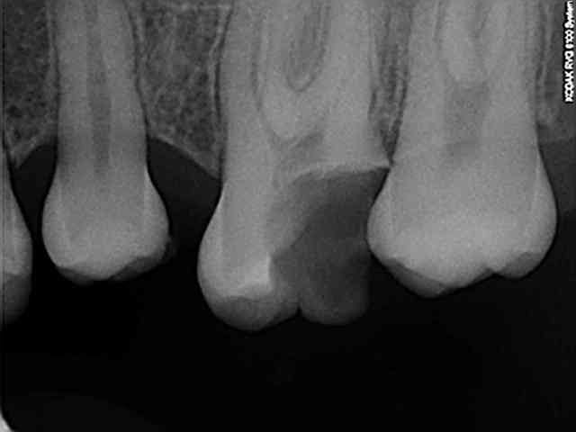
j'ai presque honte de vous montrer ce cas, mais je pense qu'il pourrait être utile de partager cette expérience avec vous.

je viens d'acheter récemment du ciment d'obturation canalaire en seringue avec un embout très fin pour injecter directement dans les canaux (dixit le commercial).

je l'essai donc avec sucés depuis 3 ou 4 semaines, mais là aujourd'hui, j'ai poussé trop fort sur la seringue et voilà le résultat; j'ai immortalisé les vaisseaux sanguins de la patiente.!!!

Dsc 6178 fnbqlf - Eugenol
R2 a1vuvg - Eugenol
R3 mgsupl - Eugenol

Img 1392 s73srk - Eugenol
Guttaman

18/09/2012 à 22h32

Tu crois franchement que nous, on fait notre formation continue sur ce que nous dit "le commercial " ? T'es sur egenol, un forum réservé aux professionnels voyons...;-)

Bon, bâchage à part, ta technique est évidemment à proscire vu que tu n'as AUCUN contrôle de la quantité de ciment que tu injectes. Tu as déjà de la chance de ne pas avoir eu ce problème plus tôt. Bon courage à ta patiente (et à toi) pour la suite. :-)
Nb : ça, c'est pas un aléa thérapeutique, hein....


Img 1392 s73srk - Eugenol
Guttaman

18/09/2012 à 22h45

D'ailleurs, ton titre est trompeur : ce n'est pas le ciment en seringue qui est dangereux...

Bon, ok, je sors...


Marque a3 orange fyvhyq - Eugenol
Marc Apap

18/09/2012 à 22h49

J'ai de la peine....


41467 100000418256397 4215 n ypxyho - Eugenol
Blette

18/09/2012 à 22h56

Oups ....
Ça c est les boules....
Mon pauvre , t as du refaire la radio 3 fois en priant pour un artéfact ....
:0(


Grueavatar nptrc9 - Eugenol
Le Choixpeau magique

18/09/2012 à 22h57

Ca va donner quoi ça à votre avis. Je crois que le AH+ n'est pas résorbable :-(


41467 100000418256397 4215 n ypxyho - Eugenol
Blette

18/09/2012 à 22h58

Le plus désolant c est que l endo aurait été magnifiquement réussi avec la pâte traditionnelle :0(


3f3boxni50k58rq7e9ce9ddqrxgk - Eugenol
dentiste57

18/09/2012 à 23h11

le pire c'est que je n'ai qu'à peine poussé sur la seringue!

d'ailleurs, je doute TRES FORTEMENT de n'être que le seul praticien en France ou dans le monde à qui cela soit arrivé.

alors courage! si il y en a d'autres qu'ils se dévoilent ( je me sentirai du coup moins seul)


120 81 mdkvjo - Eugenol
Monaco

18/09/2012 à 23h22

Conduite à tenir dans un cas pareil ?


dentine34

18/09/2012 à 23h22

Merci en tout cas pour la mise en garde!
Jspr que tout ira bien pour ta patiente...


41467 100000418256397 4215 n ypxyho - Eugenol
Blette

18/09/2012 à 23h25

Y aura peut être aucune conséquence négative comme un petit dépassement de pâte qui ne pose jamais de problème....


41467 100000418256397 4215 n ypxyho - Eugenol
Blette

18/09/2012 à 23h26

Moi j ai bien une lime de la fac en souvenir à l Apex de ma 46, merci vivian, je pense à toi à chaque fois que je me fais une radio....


baroud69

18/09/2012 à 23h32

Merci pour le partage d'expérience, ça change des kikitoutdurs.

Conduite à tenir ? Prier ?


120 81 mdkvjo - Eugenol
Monaco

18/09/2012 à 23h35

C'est vrai qu'on voit de ces trucs dans les canaux ...
Je pourrais ouvrir un musée des bizarreries avec les panos que je vois défiler.
(Le tout sans signes cliniques).
(Mention spéciale pour un lentulo implanté à l'apex d'une 22 je crois qui dépassait de 2 bons cm facile)


200106 10150128247663588 709988587 6466236 5598391 n d7mksb - Eugenol
hallboy

18/09/2012 à 23h45

il faut enormement de courage pour montrer une merde de cette amplitude, afin que cela n'arrive pas a d'autres.

merci Thomas ( c'est thomas, c'est ça? ) j e ne suis pas sur que moi j'aurais osé le montrer.


Modérateur

18/09/2012 à 23h46

Même chose.


Img 1392 s73srk - Eugenol
Guttaman

19/09/2012 à 00h02

hallboy écrivait:
-----------------
> il faut enormement de courage pour montrer une merde de cette amplitude, afin
> que cela n'arrive pas a d'autres.

Oui....enfin, en même temps, il poste pas avec son vrai nom et son adresse professionnelle non plus.
Mais c'est vrai que c'est sympa,


RépondreCiter
nobru340

19/09/2012 à 00h03

Je me trompe ou c'est sur un seul canal que tu as appuyé un chouia trop fort et c'est celui là qui t'a fait ce magnifique dripping à la Jackson Pollock ? Et puis, bon, les canaux accessoires et secondaires sont tops...:)


Photo pluton1b h9n4ea - Eugenol
pluton

19/09/2012 à 00h06

pareil...

cela dit, l'ampleur est quand même remarquable...je croise les doigts pour toi Thomas...

la morale de l'histoire: ne JAMAIS croire sur parole un représentant...se référer au mode d'emploi et éventuellement à l'avis de quelques bons confrères utilisateurs qui veulent bien te donner quelques trucs de manipulation...

dire que j'ai faillit passer aussi au AH+...et bien, je continue sagement avec mon pulpispad....


41467 100000418256397 4215 n ypxyho - Eugenol
Blette

19/09/2012 à 00h08

Merci de tous poster vos plus beaux "ratés " sur ce post ,
Et celui qui dit qu il n'en a jamais eu , c est qu il a commencé la profession hier !


Utilisateur banni

19/09/2012 à 00h29

...j'imagine la tronche de CDC face à la radio du temps de la DEP! :))

Merci d'avoir posté cet échec. Pas facile sur nonol.


3f3boxni50k58rq7e9ce9ddqrxgk - Eugenol
dentiste57

19/09/2012 à 00h29

Bon, tout ça pour dire qu'il ne faut pas injecter directement dans les canaux.
Je ne mets pas en cause le produit, mais je vous invite à faire attention, sinon, les résultats en endo sont plutôt très bon.

Et pis l'endo, c'est pas mon truc, ...


200106 10150128247663588 709988587 6466236 5598391 n d7mksb - Eugenol
hallboy

19/09/2012 à 00h50

je me sert de ce type de resine. mini goutte a la pointe du cone puis gutta condensor. c'est un bon produit.


S2y2o1v7q53ws4r5wy6ou8czrpom - Eugenol
pxav

19/09/2012 à 01h20

dentiste57 écrivait:
--------------------
> j'ai presque honte de vous montrer ce cas, mais je pense qu'il pourrait être
> utile de partager cette expérience avec vous.
Elle(s) me l'avait dis, mais là Thomas ce n'est plus de l'éjaculation précoce...Quand tu lâches la purée, tu ne fais pas semblant.:-))
Merci de nous montrer ça.
Enfin, pour la semaine prochaine, à Sallanches, tu as mieux?
--
xbk
"Si tous ceux qui croient avoir raison n'avaient pas tort, la vérité ne serait pas loin" Dac Pierre


marcus

19/09/2012 à 01h46

hypocrites !

vous êtes tous contents de pas l'avoir faite celle là ,

Mais si on commençait à parler des vôtres !

En ce qui me concerne , j'en ai malheureusement quelques unes

t'inquietes ,

Ya 95% de chances pour qu'il ne se passe rien