Cookie Consent byPrivacyPolicies.comciment canalaire en seringue : Attention Danger! - Eugenol

ciment canalaire en seringue : Attention Danger!

licorne

19/09/2012 à 02h06

Je vois que beaucoup critiquent les merdes des autres mais n'osent pas parler des leurs, par pudeur ou mensonge non avouable.
Ceux qui critiquent un confrère sont tous des CONS.
Que celui qui n'a jamais merdé me lance la première pierre.


--
Au pays des fous j'aurais pu être roi, et pourtant j'ai décidé de rester esclave parmi vous!


F e01w igu3rl - Eugenol
roumette

19/09/2012 à 02h37

Je suis désarmée...;-)


RépondreCiter
Img 1392 s73srk - Eugenol
Guttaman

19/09/2012 à 02h41

marcus écrivait:
----------------
> Ya 95% de chances pour qu'il ne se passe rien

On peut connaître la publication où tu as lu ça ?


RépondreCiter
1309531 ours brun n5iukf - Eugenol
seespan

19/09/2012 à 09h08

Salut
Normalement je fais pas sauf si on me le demande expressement, mais je suis aller montrer ta radio au service d'endo:

1 le produit que tu utilise est une produit de scellement et pas d'obturation canalaire, normalement tu n'es pas senser remplir le canal avec.
2 Il est impossible que tu sois aller dans les vaisseaux sanguin en injectant dans un canal préparé. Pour eux c'est un dépassement classique, la viscosité du produit étant différente de la guta ou ciment classique (le mode d'injection étant différent aussi) ça te donne se look atypique.
Pour les suites ils ne savent pas vue qu'il utilise les sealant pour seller donc ils en mettent très peut.
Regarde sur la composition du produit pour voir les différents éléments.
Probablement pas de problème vue que c'est un produit qui à était élaborés dans l'optique de dépassement canalaire possible.

Ps : si possible la prof responsable du service aimerait connaitre les suites de ce cas.
--
หมอจัดฟัน


1309531 ours brun n5iukf - Eugenol
seespan

19/09/2012 à 10h04

raeko écrivait:
---------------

>
> Avant l'endo, moi je dis, commence par trouver un prof pour l'orhographe.. C'est
> à vomir..
> Sealite et pas sealent.. et achète toi une bescherelle..

Ne change strictement rien au fait, il s'agit d'un matériaux de scellement qui doit etre utilisé pour sceller en conjonction avec un matériaux d'obturation type guta.

Je doute que l'auteur du file soit gêner par l'orthographe sur se poste. Il s'agit d'un forum professionnel et sur ce type de sujet on cherche généralement des informations fiables et utile.

คนโง่ ไปตายซะ
--
หมอจัดฟัน


nobru340

19/09/2012 à 10h13

Je n'ai pas l'impression que le cas de D57 ait été particulièrement critiqué. On a été habitué à des réactions bien pires en règle générale sur Eugénol et tout le monde est plutôt d'accord, jusqu'à présent, pour dire qu'il y a une certaine honnêteté de sa part à présenter son cas. Je ne vois pas l'intérêt de venir dire d'emblée que tout le monde fait des merdes: ce n'est pas le sujet pour le coup et personne n'a mis en cause les compétences de D57. Ou bien j'ai manqué quelque chose...


F e01w igu3rl - Eugenol
roumette

19/09/2012 à 10h28

Hola Hola Hola.....

Lé-ni-fi-ca-tion....

licorne il est vrai, cesse de voir le mal partout...
dentiste 57 n'a finalement pas été si victime de la vindicte populaire que ça...

Raeko, les propos de seespan sont toujours intéressants, on commence à avoir compris qu'il a une orthographe hors du commun, acceptons le comme tel, il s'en est expliqué...
Sourions en tout au plus...

Moi, j'apprécie qu'on publie ses plantages...à la condition bien sûr qu'ils ne soient pas systématiques, mais ici ce n'est pas le cas....

un peu d'humilité ne fait pas de mal...


RépondreCiter
1309531 ours brun n5iukf - Eugenol
seespan

19/09/2012 à 10h55

Plantage il faut pas pousser non plus, il s'agit d'un simple dépassement, l'apparence inhabituelle est due au produit qui n'est pas employer comme matériaux d'obturation habituellement (ne seraisse qu'en raison du prix qui est nettement plus élever que la guta). En aucun cas le matériaux n'a était injecter dans les vaisseaux sanguin.

Normalement il est résorbable (vérifier sur la notice, sinon contacter le fabriquant). Vue la quantité il y a un risque qu'il irrite la patiente mais même ça c'est pas sure.

A priori impressionnant mais moins grave que si il y avait eu un dépassement de guatta avec bris de lentulo dans la racine palatine, (racine inretrétable, en palatin une obturation a retro quasi impossible, l'amputation de racine palatine pas top, avec le dépassement de gutta l'implant on oublie, et possibilité de d'implication sinusienne avec le dépassement)


--
หมอจัดฟัน


South park   craig te7bfk - Eugenol
CRAIG

19/09/2012 à 11h09

Objectivement en voyant ce post je me disais que tous les Kekos du forum ("la digue j'aime ça", "no arsénieux for ever" ou "50 implants par mois ou rien") allaient rappliquer illico presto mais finalement il n'en est "presque" rien...

J'en avais déjà parlé avec un célèbre conférencier de pouvoir partager les boulettes de chacun afin d'avancer car le côté "regardez comme j'en ai une grosse" de pas mal de conférences a vite tendance à me prendre la tête.

Bravo à dentiste57 qui attendait tout de même d'être rassuré en espérant que d'autres allaient poster leurs exploits mais il ne faut pas trop rêver tout de même....


Dabitz

19/09/2012 à 11h36

Tu as informé le patient? Quelle a été sa réaction?
Merci pour le partage.

Salut.


dent2669

19/09/2012 à 12h31

Et si on lançais le concours de la plus belle ;-) !!!

Ou renommons ce fil : echec et complication en endodontie

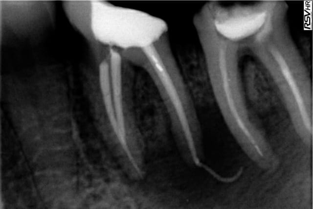
Cas : Patiente 45 ans, dent 37, gros réflexe nauséeux, ouverture buccale limitée à 2.5 travers de doigts, impossible de passer capteur rvg + digue pour vérifier la longueur de travail, pas de localisateur d'apex.
A l'essayage des cônes, le MV bloquais à 22 (longueur que j'avais mesurée sur la radio pré op avant de poser la digue).
Obturation au thermo-compacteur... et là... le drame... Mon cône à filé bien plus loin que prévu...
Le canal ML n'est pas très beau mais il a un apex commun avec l'autre !

Moralité : j'ai acheté un localisateur d'apex dans l'heure qui a suivi ! et dorénavant, en cas de doute, je démonterai la digue pour une rx cône en place avant de la remettre pour obturer !

Rxendo kniuaw - Eugenol

jeff13

19/09/2012 à 12h36

La mesure de longueur de travail est-elle fiable avec les logiciels radio?
Elle doit dependre pas mal de l'incidence qui doit bien etre orthogonale, non?


Avatar transparent iqadnc - Eugenol
adhoc

19/09/2012 à 12h37

Notre ineffable seespan a écrit

>Je doute que l'auteur du file soit gêner par l'orthographe sur se poste.<

Arffffffff....oui, je sais..., mais çà défoule et fait oublier tous nos cas incontrôlables rappelés par d'excellents praticiens. Courageux dentiste57, admiration pour ton honnêteté intellectuelle(bon au pire , extraction si nécrose alvéolaire)




king_zoulou

19/09/2012 à 14h03

Patient 45 ans CMU, 37 avec un énorme abcès, j'ouvre, je draine, la lime 30 va directement aux apex (d'après mon localisateur) et au-delà (d'après la radio) "on va essayer de sauver la dent mais franchement, ça m'étonnerait qu'on y arrive."
hydroxyde calcium à la fin du premier rdv quand ça s'est à peu près arrêter de suppurer.
deuxième rdv, après à peu près 20 minutes à essayer de calibrer mes cônes à la longeur de travail, je les sens bien buter à l'apex "cool, je croyais que j'y arriverais jamais"
Là, je prends Max et Spaden, vziouuuuu, radio, et meeeeerde "bon bah on va surveiller mais à mon avis faudra quand même extraire la dent"
Asymptomatique depuis un an ^^

Et puis évidemment, une boulette n'arrive jamais seul, exactement le même cas deux semaines après mais chez une patiente (même problème, même traitement, même résultat de merde, la pêche énorme d'origine en plus en mode "on va faire un traitement endo préimplantaire")

Et meeeerde gmkuqo - Eugenol
Et meeeerde bis m1sqgd - Eugenol

3f3boxni50k58rq7e9ce9ddqrxgk - Eugenol
dentiste57

19/09/2012 à 14h31

Dabitz écrivait:
----------------
> Tu as informé le patient? Quelle a été sa réaction?
> Merci pour le partage.
>
> Salut.

oui, bien sure, j'assume totalement.
mise sous ATBio au cas où .

à l'origine, je ne souhaitais que mettre un peu de ciment de scellement au fond et tapisser la paroi canalaire avec un lentulo pour finir avec la gutta. j'ai poussé un peu trop fort sur la seringue.
pour info, la patiente n'a aucun signe pathologique et se porte bien.


1309531 ours brun n5iukf - Eugenol
seespan

19/09/2012 à 14h37

C'est un produit qui normalement a était conçu pour l'éventualité d'un dépassement, en plus il en vendu en seringue donc la composition est parfaitement contrôlée. Vous auriez fait le mélange vous même sus était différent (incident type desmondontite car mélange trop liquide)

--
หมอจัดฟัน


Fresh watermelon 640x562 udulqz - Eugenol
gulguch

21/09/2012 à 20h25

dentiste57 écrivait:
--------------------
> oui, bien sure, j'assume totalement.
> mise sous ATBio au cas où .
>
> à l'origine, je ne souhaitais que mettre un peu de ciment de scellement au fond
> et tapisser la paroi canalaire avec un lentulo pour finir avec la gutta. j'ai
> poussé un peu trop fort sur la seringue.
> pour info, la patiente n'a aucun signe pathologique et se porte bien.

D57 j'ai eu ce genre d'image il y a longtemps mais en thermocompaction, jamais de suite opératoire et je parie qu'il en sera de mème pour toi (contre tous les autres).

"Qui montre ses m.. à autrui, s'attire de graves ennuis" (vieux proverbe Syldave)


flicflac

23/09/2012 à 06h55

J'ai suivit un cours avec un endodontiste hier, et le ciment présenté est celui qu'il utilise. AH plus jet.
Un confrère a acheté un ciment simailaire avec une petie aiguille pour l'insertion dans le canal avant l'introduction de la gutta, un peu comme le système utilisé au début de ce post. L'endodontiste en met seulement un peu au bout de la gutta... merci, je ferai comme lui et j'avertirai mon confrère de ne paas en injecter dans le canal....technique commercial qui peu sembler alléchante... mais combien sans controle.
C'est un ciment résine, qui est quand même biodégradable, mais relativement lent. C'est un ciment non cytotoxique contrairement à un ciment a base d'eugenol. Si gros puff la sensibilité peu durer de 24 à 48 heures, dans le cas d'un ciment eugenol...plusieurs mois. A noté que ce ciment est plus fluide garre aux excès.
En passant, pour d'autres cas présentés dans ce post. prendre l'habitude d'une radio de contrôle avec les gutta pour éviter les surprises.Les localisateurs d'apex sont précis à 90%, attention chez les dents jeunes apex ouvert et les dents avec lésions à cause de la non présence de ligament aux apex, ces appareils sont concu à partir du principe de la résistance électrique du ligament, en passant mettre le contact avec la lèvre du même côté que la dent que l'on traite est préférable.
L'endroit où les puff peuvent causé une douleur quoi persiste: racine mb des molaires supérieures ainsi que les racines buccales des prémolaires supérieures à cause des fenestration possible, de la minceur de l'os... pression sur le périoste= douleur probable... traitement flap et nettoyage.
salut les cousins, mon prochain ciment sera le AHplus jet, comme hallboy dit, c'est un bon ciment et je le crois.


Fresh watermelon 640x562 udulqz - Eugenol
gulguch

25/09/2012 à 01h30

Pourquoi pas.
En revanche "C'est un ciment non cytotoxique contrairement à un ciment a base d'eugenol.", excuse moi, croire que de la résine epoxy est moins toxique que de l'eugénol.. c'est un peu le monde enchanté de Oui-Oui, la littérature dentaire.


flicflac

27/09/2012 à 06h37


Orstavik 1987, 1988
• Zinc oxide sealers are cytotoxic and the effect can be long lasting
• Resin based sealer elicit initial severe inflammatory reaction (24-48h) and subsides after.
Balguerie E. et al 2011 JOE
• 5 sealers were compared for their penetration and adaptation in the dentinal tubules under scanning electron microscopy: Calcium hydroxide epoxy resin (Acroseal), Zinc oxide eugenol (Endobtur), Glass ionomer (Ketac-Endo), Epoxy resin (AH Plus), Silicon (RSA)
• AH Plus showed the most optimal tubular penetration and adaptation to the root canal wall


Images jm2g2g - Eugenol
dr_0le

27/09/2012 à 11h54

bel angiogramme en tout cas dentiste 57 ! =)


Fresh watermelon 640x562 udulqz - Eugenol
gulguch

28/09/2012 à 01h56

flicflac écrivait:
------------------
>
> Orstavik 1987, 1988
> • Zinc oxide sealers are cytotoxic and the effect can be long lasting
....


http://www.unboundmedicine.com/anesthesia/ub/citation/11843970/Cytotoxicity_of_resin__zinc_oxide_eugenol__and_calcium_hydroxide_based_root_canal_sealers_on_human_periodontal_ligament_cells_and_permanent_V79_cells_
et liens hypertextes correspondants.
Les études, on leur fait dire ce qu'on veut..


flicflac

28/09/2012 à 03h46

je ne crois pas que la cytotoxicité soit le guide pour le choix du ciement. Sa capacité a scellé et a résisté à la percolation me semble plus importante ainsi que l'abscence de douleur qui perdure en post-op.


la dent du président

24/10/2012 à 22h12

AH + au Lentulo et Thermafil.
Photo de l'écran.
Pour l'instant RAS.
Faut-il arrêter le Lentulo ?

2012 10 20 13.42 - Eugenol

maz

25/10/2012 à 10h06

la dent du président écrivait:
------------------------------
> AH + au Lentulo et Thermafil.
> Photo de l'écran.
> Pour l'instant RAS.
> Faut-il arrêter le Lentulo ?

quel intérêt le lentulo dans cette technique ?
le thermafil est une très bonne méthode d'obturation mais une goutte de ciment à l'entrée du canal est suffisante il me semble
donc oui, autant arrêter le lentulo :)