Cookie Consent byPrivacyPolicies.comdevinette diagnostique Thai introuvable - Eugenol

devinette diagnostique Thai introuvable

1309531 ours brun n5iukf - Eugenol
seespan

27/09/2012 à 14h21

Ayant apprit de mes erreurs, j'ai compris qu'il n'était pas conseillé de poser une devinette en rapport avec les pathologies osseuses si je ne voulais pas que canin me la pourrisse si tôt connecté. Soupçonnant que le résultat serais le même avec une pathologie gingivale (et n'ayant rien d'approprié de toute façon) je me tourne vers les tissues dentaire

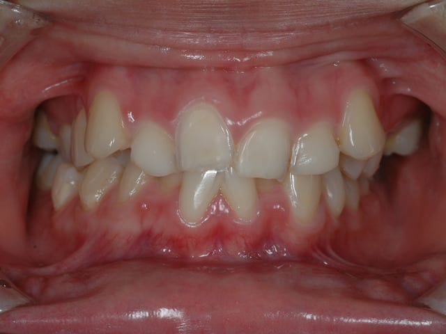
Patiente de seize ans, vivant dans une grande métropole Thailandaise.
A votre avis quel est l'étiologie de l'usure de l'email sur les incisives central supérieure.



Ps : impossible car quand j'ai appris l'étiologie je me suis demandé ce que la patiente avait fumer pour me sortir une ânerie pareille. En fait l’âne c'était mois et l'étiologie donné par la patiente était la bonne.


--
หมอจัดฟัน

Anne nonima1 fwdtge - Eugenol
Anne nonima2 amh60o - Eugenol

41467 100000418256397 4215 n ypxyho - Eugenol
Blette

27/09/2012 à 14h25

Elle était tentée par des facettes Céram, mais le prix de l essence et du chauffage ayant flambe entre temps, ....' elle ne s'est pas présentée au rendez vous le jour de la pose ......

Blague a part .... Je dirais : Sport de haut niveau et bruxisme


1309531 ours brun n5iukf - Eugenol
seespan

27/09/2012 à 14h27


Nope ni l'un ni l'autre, au passage le bruxisme aurait compliqué mon traitement ortho.
--
หมอจัดฟัน


sagrada

27/09/2012 à 14h31

elle joue de la guitare avec les dents


1309531 ours brun n5iukf - Eugenol
seespan

27/09/2012 à 14h38

sagrada écrivait:
-----------------
> elle joue de la guitare avec les dents

Non, des trauma incisif pas mal car décapsulage des bouteilles de bière avec les dents, mais c'est surtout a la campagne et ça ressemble pas a ça.

--
หมอจัดฟัน


1309531 ours brun n5iukf - Eugenol
seespan

27/09/2012 à 14h39


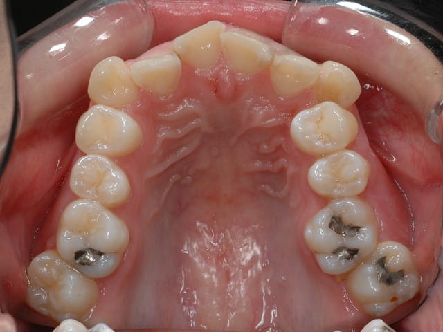
Si j'ai mis une vue vestibulaire et occlusal il y a une raison
--
หมอจัดฟัน


sagrada

27/09/2012 à 14h42

pas evident ,


aterman

27/09/2012 à 14h55

Les appareils dentaires sont signes de richesse et de bonne sante en Asie et on peut les acheter sur les marches et se les mettre soi meme...
Elle a rate la sceance de collage sur la 11?


1309531 ours brun n5iukf - Eugenol
seespan

27/09/2012 à 14h59

aterman écrivait:
-----------------
> Les appareils dentaires sont signes de richesse et de bonne sante en Asie et on
> peut les acheter sur les marches et se les mettre soi meme...

Exacte, il y a deux ans il y eu un mort avec un de ses system, mais il ne tienne pas tous par collage, il y en a des amovible aussi.

Pour cette patiente ce n'est pas le cas, l’étiologie est autre


--
หมอจัดฟัน


Monsieur Poupi

27/09/2012 à 15h52

Elle porte des grillz dentaire parce qu'elle est fan de hip hop


1309531 ours brun n5iukf - Eugenol
seespan

27/09/2012 à 16h05

Monsieur Poupi écrivait:
------------------------
> Elle porte des grillz dentaire parce qu'elle est fan de hip hop
Non

--
หมอจัดฟัน


coconutbzh

27/09/2012 à 16h15

Elle ronge des os ?


Sinon l'étiologie est propre à la Thaïlande où ça aurait pu arriver par chez nous ?


1309531 ours brun n5iukf - Eugenol
seespan

27/09/2012 à 16h35

coconutbzh écrivait:
--------------------
> Elle ronge des os ?

Ronger des os n'expliquerait en rien ce type de lésion. La vue frontal et occlusal vous les détailles assez bien ainsi que les dents touchée.
>
> Sinon l'étiologie est propre à la Thaïlande où ça aurait pu arriver par chez
> nous ?
Chez nous (enfin chez vous) peut probable, dans un autre pays tropical oui .

--
หมอจัดฟัน


mannena

27/09/2012 à 16h36

c'est peut etre a cause du bandeau metallique vestibulaire d'une plaque amivible d'interception qui visait à corriger l'endognathie maxillaire..


1309531 ours brun n5iukf - Eugenol
seespan

27/09/2012 à 17h10

mannena écrivait:
-----------------
> c'est peut etre a cause du bandeau metallique vestibulaire d'une plaque
> amivible d'interception qui visait à corriger l'endognathie maxillaire..

Bien pensé mais non .
--
หมอจัดฟัน


Nounours 2010 002 frkvqz - Eugenol
tarin

27/09/2012 à 17h22

Elle est couturière?


1309531 ours brun n5iukf - Eugenol
seespan

27/09/2012 à 17h36

tarin écrivait:
---------------
> Elle est couturière?

Dans ce cas la on aurait une encoche sur le bord incisif d'une incisive supérieure et de sa correspondante occlusal inférieure.
Les lésions ne corresponde franchement pas.
--
หมอจัดฟัน


marco17

27/09/2012 à 17h42

elle suce des Mr Freeze


Cuisinier2 vnbbxx - Eugenol
jeff2

27/09/2012 à 17h56

Elle frotte ses dents sur les cornes des éléphants car ça porte bonheur.


1309531 ours brun n5iukf - Eugenol
seespan

27/09/2012 à 17h58

jeff2 écrivait:
---------------
> Elle frotte ses dents sur les cornes des éléphants car ça porte bonheur.

Je n'expliquerait même pas pourquoi ça ne peut pas être ça tellement ça doit être évident pour un dentiste.

--
หมอจัดฟัน


Cuisinier2 vnbbxx - Eugenol
jeff2

27/09/2012 à 18h00

A Bali, il y a une cérémonie, le Matatha (pas sur de l'orthographe), peut être existe 'il un semblant de cérémonie

sinon, le truc le plus absurde serait qu'elle s'use les dents avec du sable pour les "blanchir"


Saucisson aux piments odddxi - Eugenol
AMG31

27/09/2012 à 18h27

j'ai un patient qui a ca sur tout le bloc incisif sup mais lui je sais il sagit de tres tres gros exces de vin rosé (j'aimerai pas voir le tête de son estomac!!!)


sagrada

27/09/2012 à 18h37

elle fait de la trompette ?


1309531 ours brun n5iukf - Eugenol
seespan

27/09/2012 à 18h38

Non je doute que le vin soi responsable sur votre patient :-)

Le tanin peut provoquer des colorations sur les dents mais riens de plus.
Comment je le sais ?
Mais c'est evident en observant la nature et par déduction.


--
หมอจัดฟัน


1309531 ours brun n5iukf - Eugenol
seespan

27/09/2012 à 18h44

sagrada écrivait:
-----------------
> elle fait de la trompette ?
Un appareil amovible d'ortho pourrait à l’extrême rigueur expliquer ces lésion.
Mais un instrument de musique, comme le vin ou le coca tout bonnement impossible.

--
หมอจัดฟัน


12