Cookie Consent byPrivacyPolicies.comsinus lift et CBS - Eugenol

sinus lift et CBS

3f3boxni50k58rq7e9ce9ddqrxgk - Eugenol
dentiste57

14/10/2012 à 21h50

rhizalyse écrivait:
-------------------
je me vois difficilement refouler la membrane par
> cette petite ouverture
> dans ton cas c'était pour la première molaire donc une seule dent
> ici j'ai une édentation de trois dents minimum
> à moins d'agrandir le volet au niveau de la CBS et de faire tout le boulot par
> cet orifice mais j'aurai du mal à disséquer en avant jusqu'à la canine
> je peux aussi faire un deuxième volet traditionnel "

cela ne change pas grand chose que ce soit sur 1 2 ou 3 dents.
attaquer le sinus par la voie crestal est à mon humble avis plus facile que de commencer latéralement, se déplacer vers le bas puis progresser sur la paroi en face de ton ouverture.
j'ai l'habitude de ne réaliser que de très petites ouvertures pour faire les sinus lift.
mais si tu le sens pas tu dois être à l'aise et faire une deuxième ouverture. tu verra bien dans un premier temps avec l'ouverture de la cbs.
dans le cas présenté, je n'ai pas mis plus de 1/4 d'heure (photos comprises), c'est te dire si il était facile de disséquer...


P1060496 m7josl - Eugenol
rhizalyse

14/10/2012 à 22h18

une dernière précision:

l'accès à la CBS doit bien se faire en épaisseur partielle
pour éviter la déchirure ?


P1060496 m7josl - Eugenol
rhizalyse

14/10/2012 à 22h21

ou bien incision circulaire autour de la CBS et décollement en épaisseur totale du reste du lambeau ?


3f3boxni50k58rq7e9ce9ddqrxgk - Eugenol
dentiste57

14/10/2012 à 22h27

un décollement en épaisseur pleine me paraitrait mieux, sinon, je crois que si tu la fais en décalé par rapport à la crête, ce serait bien.


209209668 fh2mys - Eugenol
fredo667

15/10/2012 à 13h50

Salut

J ai un cas exactement similaire à traiter en ce moment, j'avai cru avoir une legere differnciation entre muqueuse et mb scnheider mais quand j ai décollé, patatra, la communication est venu comme une pastille, et j ai du refermer.

Donc j'y retourne dans deux semaine et je vais décoller tout autour la muqueuse puis je vais dissequer en demi épaisseur au dessus, puis au piezo, j'use los jusqu'a retrouver le contact de la vrai mb sinusienne et je décollerai autour.

Dis moi si tu as pensé à la même chose...


209209668 fh2mys - Eugenol
fredo667

15/10/2012 à 14h05

décalage en palatin de l'incision pour moi aussi


P1060496 m7josl - Eugenol
rhizalyse

15/10/2012 à 18h44

exactement pareil :-)


209209668 fh2mys - Eugenol
fredo667

25/10/2012 à 00h37

dentiste57 écrivait:
--------------------
> Choukroun Joseph écrivait:
> --------------------------
> > D 57,
> > Excellente initiative de passer par la voir crestale. C'est la meillleure
> > solution.
> > Mais tu peux être plus efficace en prélevant sur la paroi latérale une
> "pastille
> > osseuse" que tu impacteras en crestal sur la perte osseuse. Tu recrées très
> > facilement une corticale à cet endroit.
> > Pour le PRF, il est temps qur tu passes à la Box..
> > Amicalement.
>
> ça, j'avoue, que j'y avais pas pensé. c'est une excellente idée d'ailleurs. à
> méditer pour la prochaine intervention...
>
> (la box, je l'ai depuis.. :)
> et c'est vrai que c'est mieux)

Non, je trouve que c'était la bonne technique, tu es bien diplomate.


3f3boxni50k58rq7e9ce9ddqrxgk - Eugenol
dentiste57

25/10/2012 à 01h41

et au fait, qu'a donné cette intervention ?
as tu des photos ??


P1060496 m7josl - Eugenol
rhizalyse

25/10/2012 à 17h43

patient enrhumé, RV annulé :(

je me demande toujours comment aborder la dissection autour de la perforation de la corticale

surtout en épaisseur partielle, après ça, on n'y voit plus rien

amicalement

marc


209209668 fh2mys - Eugenol
fredo667

29/10/2012 à 23h19

BOn, moi, je l'ai faite ce matin. Flash annulaire pété par une de mes assistante, donc pas de photos.

Pour répondre à ta question, qui m'a aussi travaillé, j'ai incisé à distance de la cbs.
C'était coincé entre la 15 et la 17, donc pas fastoche pour le passage de la lame.

J'ai décollé en pleine épaisseur mais coolcool, jusqu'à sentir la résistance de la cbs, tu chopes avec la précelle ton lambeau et tu utilises des lames neuves pour la dissection.
Prends beaucoup de temps, car une fois clivé les deux plans, ça va comme sur des roulettes.

Avec les curettes à sinus, tu redécolle bien le périoste sur les bords de la cbs en refoulant vers l'intérieur de la perfo, puis, dès que tout le mou est refoulé à l'intérieur, tu fais comme d'ab. élargit ta fenêtre si tu te sens pas à l'aise avec l'ouverture dont tu disposes, mais pour ma part, je n'ai meme pas mis l'insert sur le piezo.

Donc tout bien passé, en plus c'était l'assistante de l'orthodontiste d'à côté, aussi un peu de pression....


P1060496 m7josl - Eugenol
rhizalyse

30/10/2012 à 20h24

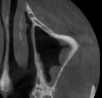
en voilà un autre; question:

comment gérer la découpe du volet osseux avec une artère volumineuse intra-osseuse sans provoquer d'hémorragie ?
ci joints quelques clichés.

Annie h7k3dv - Eugenol
Annie  2  h9wouz - Eugenol
Annie  3  wujgmc - Eugenol
Annie  4  fmbkfb - Eugenol

Image001 e0kg9q - Eugenol
clemsdent

30/10/2012 à 20h53

elle a l'air grosse .... !!!!

dissection de la fenêtre autour de l'artère (piezo).
mais je ne voudrais pas avoir le faire...!
Ou un implant plus court?
Sinuslift interne?


Canin

30/10/2012 à 21h47

rhizalyse écrivait:
-------------------
> en voilà un autre; question:
>
> comment gérer la découpe du volet osseux avec une artère volumineuse
> intra-osseuse sans provoquer d'hémorragie ?
> ci joints quelques clichés.

si tu veux éviter hémorragie, faut la mettre en évidence l'électrocoaguler ou éventuellement ligaturer mais la première solution est la plus simple.

normalement tu la vois par transparence quand tu fais to volet osseux.

la piézzo permet un certain confort pour libérer l'os autour



--
Canin


Blason dql7mj - Eugenol
growler

30/10/2012 à 21h57

tu passes dessous


Android jyzura - Eugenol
Tavéca

30/10/2012 à 22h08

tu fais autre chose qu'un sinus lift par voie laterale.
Il me semble que vu la quantité d'os disponible il y a d'autres options.


P1060496 m7josl - Eugenol
rhizalyse

30/10/2012 à 22h47

si j'applique le bistouri electrique sur l('artere,
que se passe-t-il?
je me sers souvent du bistouri électrique pour des indications ponctuelles
mais jamais pour une electro coagulation


G-P

30/10/2012 à 23h00

En chirurgie générale ils le font sans arrêt. Un petit coup de bistouri électrocautère, hop plus de saignement.


Canin

30/10/2012 à 23h39

rhizalyse écrivait:
-------------------
> si j'applique le bistouri electrique sur l('artere,
> que se passe-t-il?
> je me sers souvent du bistouri électrique pour des indications ponctuelles
> mais jamais pour une electro coagulation

Relis le mode d'emploi et appliques le bon réglage, ça peut être utile.

Le mieux étant d'éviter l'artère.

T'as une pano, car les coupes dont pas super explicite


--
Canin


Manolito wom2of - Eugenol
manolito

31/10/2012 à 22h24

attention, pour coaguler l'artere il te faut un vrai bistouri electrique (pas un servotome) . apres il faudra quand même ligaturer l'artere en mesial et distal pour eviter un saignement post op et une élimination du biomat, un hématome et une infection.
pour ma part ouverture de la fenetre au mectron pour ne ps avoir à gerer cette complication.


3f3boxni50k58rq7e9ce9ddqrxgk - Eugenol
dentiste57

31/10/2012 à 23h12

pour mieux comprendre , c'est surtout, qu'il faut un bistouri BI-polaire et non MONO-polaire comme le servotome ou le colten

sinon écraser l'artère ça marche bien aussi...


P1060496 m7josl - Eugenol
rhizalyse

31/10/2012 à 23h20

ci-joint la coupe panoramique

j'ai juste un servotome

j'ai deux embouts pour électrocoagulation mais jamais essayé

la notice indique intensité coupe à 5 et waves à 1

j'ai l'impression que l'idéal serait encore de dessiner une
fenêtre n’atteignant pas l'artère mais pas sûr de pouvoir
passer les curettes

voilà

Annie5 jf9u2v - Eugenol

P1060496 m7josl - Eugenol
rhizalyse

31/10/2012 à 23h27

écraser l'artère ?


3f3boxni50k58rq7e9ce9ddqrxgk - Eugenol
dentiste57

01/11/2012 à 01h01

cet image est réalisée avec quel type de cone beam ??


Android jyzura - Eugenol
Tavéca

01/11/2012 à 14h12

dentiste57 écrivait:
--------------------
> cet image est réalisée avec quel type de cone beam ??

je crois que c'est un aquarelle 3D ;)