Cookie Consent byPrivacyPolicies.comsinus lift et CBS - Eugenol

sinus lift et CBS

P1060496 m7josl - Eugenol
rhizalyse

11/10/2012 à 22h08

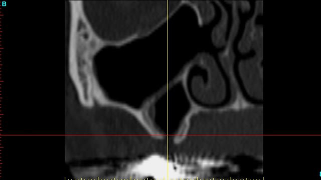
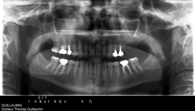
je dois pratiquer un rehaussement de plancher sinusien par volet latéral et je ne sais comment gérer le décollement de la membrane de Schneider au niveau de la communication bucco sinusale

Dès le départ, je m'inquiète au niveau du décollement du lambeau sur la CBS, on risque de déchirer à ce moment là

je joins quelques captures pour vous faire une idée

vos avis éclairés sont les bienvenus

Capt 1957337 h0muvi - Eugenol
Capt 1947248 ubk4pf - Eugenol
Capt 1949039 yc99fq - Eugenol
Capt 1956296 sqhfp8 - Eugenol

XLB

11/10/2012 à 23h21

http://diilv.com/seminar/courses/ChenNo.pdf

tres bon document sur les CBS


Img 0812 mvp6i0 - Eugenol
jeamba

12/10/2012 à 01h22

Gérer un décollement avec une CBS c'est déjà assez compliqué mais tu as le septum en plus.


3f3boxni50k58rq7e9ce9ddqrxgk - Eugenol
dentiste57

12/10/2012 à 09h24

dès que je peux je te mets des photos d'un cas similaire avec les explications.

R3 pthfcf - Eugenol

S2y2o1v7q53ws4r5wy6ou8czrpom - Eugenol
pxav

12/10/2012 à 09h28

XLB écrivait:
-------------
> http://diilv.com/seminar/courses/ChenNo.pdf
>
> tres bon document sur les CBS

Merci, c'est effectivement très intéressant.
--
xbk
"Si tous ceux qui croient avoir raison n'avaient pas tort, la vérité ne serait pas loin" Dac Pierre


croc1765

12/10/2012 à 17h33

ok pour l'article en cas de perfo verticale mais comment procéder lors de perfo sur la membrane lors de l'abord lateral?


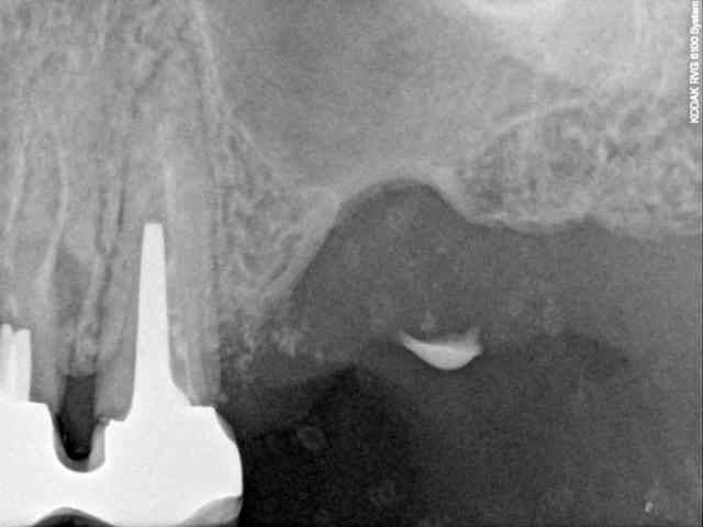
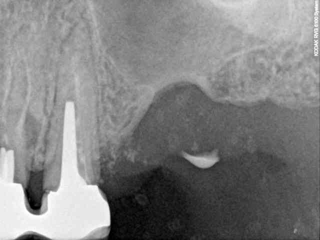
P1060496 m7josl - Eugenol
rhizalyse

12/10/2012 à 18h26

merci pour ton doc
dommage je ne maitrise pas bien l'anglais


P1060496 m7josl - Eugenol
rhizalyse

12/10/2012 à 18h27

je ne vois pas de septum dans la zone de comblement

pourrais-tu préciser?


P1060496 m7josl - Eugenol
rhizalyse

12/10/2012 à 18h28

avant jeudi ce serait sympa :-)


S2y2o1v7q53ws4r5wy6ou8czrpom - Eugenol
pxav

12/10/2012 à 20h17

rhizalyse écrivait:
-------------------
> avant jeudi ce serait sympa :-)
C'est le septum de l'homme invisible;-))

--
xbk
"Si tous ceux qui croient avoir raison n'avaient pas tort, la vérité ne serait pas loin" Dac Pierre


3f3boxni50k58rq7e9ce9ddqrxgk - Eugenol
dentiste57

13/10/2012 à 01h36

d'abord, je ne te conseille pas de faire ton sinus par voie latérale mais d'utiliser la cbs comme fenêtre d’accès.
je te poste les photos demain, ce soir je suis trop crevé.
voici juste pour commencer la présentation du cas..

50 ans, fumeuse, belle femme, CBS suite à une malheureuse extraction
fermeture de la cbs par un chir maxillo-faciale à l'aide de la boule de Bichat
6 ans plus tard elle se plaint de gênes à ce niveau.

elle veut des dents.

Karine panoramic1 qukyq7 - Eugenol
Karine axial hugayu - Eugenol
Karine overview bwnmay - Eugenol
Karine 3d lehmdt - Eugenol
Karine cross section pvx9dd - Eugenol

P1060496 m7josl - Eugenol
rhizalyse

13/10/2012 à 14h36

c'est une idée mais alors comment décoller le lambeau au niveau de la CBS? en épaisseur partielle?
à moins de d'inciser en forme de cercle autour de la CBS
puis de décoller en épaisseur totale autour, puis de rentrer la "chaussette" après avoir agrandi la fenêtre?


3f3boxni50k58rq7e9ce9ddqrxgk - Eugenol
dentiste57

13/10/2012 à 15h32

question subsidiaire:

la communication est elle fermée par la muqueuse ou non ?


3f3boxni50k58rq7e9ce9ddqrxgk - Eugenol
dentiste57

14/10/2012 à 02h09

je fais bref!

déjà ne fais pas la même chose que moi; décales ton trait d'incision par rapport à l'entrée de la CBS

- coupes la communication entre la membrane de Schneider et la muqueuse (ici, c'était à moitié de la gencive et de la boule de Bichat mélangée avec du tissus de granulation)
- cautérise avec un bistouri électrique ou un simple bistouri chauffé à blanc.
- refoules le sinus
- prf
- combles (Rog +membrane, ...)
-sutures et le tour est joué.

fais nous des photos, les miennes sont pourries, les piles étaient nazes...

bonne chir, je t'envie.!!

Dsc 3386 ldbnph - Eugenol
Dsc 3388 k915a0 - Eugenol
Dsc 3389 hogsty - Eugenol
Dsc 3390 xrj33k - Eugenol
Dsc 3393 lrovrb - Eugenol
Dsc 3394 did2le - Eugenol
Dsc 3395 vt3d3c - Eugenol
Dsc 3400 qsfbfo - Eugenol
Dsc 3407 pdx0ip - Eugenol
Dsc 3409 mzdzjn - Eugenol
Dsc 3412 rqlbfr - Eugenol
Dsc 3419 etives - Eugenol
Dsc 3422 urehjx - Eugenol
Dsc 3423 nirenc - Eugenol

3f3boxni50k58rq7e9ce9ddqrxgk - Eugenol
dentiste57

14/10/2012 à 02h11

la suite avec les yeux de fukushima..

R4 y4fx2k - Eugenol
R11 gjkjzo - Eugenol
001 mtdzr6 - Eugenol
002 jy80fw - Eugenol
R3 glyv82 - Eugenol
R5 tbjjma - Eugenol
R6 cglia8 - Eugenol

S2y2o1v7q53ws4r5wy6ou8czrpom - Eugenol
pxav

14/10/2012 à 12h13

Très beau travail, Thomas et Karine va bien?
Vire le nom sur les paneau
a+


--
xbk
"Si tous ceux qui croient avoir raison n'avaient pas tort, la vérité ne serait pas loin" Dac Pierre


P1060496 m7josl - Eugenol
rhizalyse

14/10/2012 à 13h18

merci pour ce beau travail

mais je me vois difficilement refouler la membrane par
cette petite ouverture
dans ton cas c'était pour la première molaire donc une seule dent
ici j'ai une édentation de trois dents minimum
à moins d'agrandir le volet au niveau de la CBS et de faire tout le boulot par cet orifice mais j'aurai du mal à disséquer en avant jusqu'à la canine
je peux aussi faire un deuxième volet traditionnel

question subsidiaire: tu me propose de prendre des clichés
mais comment respecter les consignes d'aseptie ? ( mon assistante est trop gourde pour prendre des clichés)


3f3boxni50k58rq7e9ce9ddqrxgk - Eugenol
dentiste57

14/10/2012 à 13h26

pour prendre des photos, mon appareil est placé dans deux sachets stériles.


3f3boxni50k58rq7e9ce9ddqrxgk - Eugenol
dentiste57

14/10/2012 à 13h29

( mon assistante est trop
> gourde pour prendre des clichés)
>
ça, ! ça s'apprend.
mes assistantes commencent seulement à bien faire les photos.
je n'ai pourtant pas encore eu le temps de vraiment les former à ça.


P1060496 m7josl - Eugenol
rhizalyse

14/10/2012 à 13h38

ok, le sachet doit etre fin pour ne pas voiler l’objectif

et pour les autres questions quel est ton avis?

" je me vois difficilement refouler la membrane par
cette petite ouverture
dans ton cas c'était pour la première molaire donc une seule dent
ici j'ai une édentation de trois dents minimum
à moins d'agrandir le volet au niveau de la CBS et de faire tout le boulot par cet orifice mais j'aurai du mal à disséquer en avant jusqu'à la canine
je peux aussi faire un deuxième volet traditionnel "


Moustache asiatique 2 b9rsxq - Eugenol
goupil

14/10/2012 à 17h32

il faudrait quand même ajouter pour les lecteurs que prendre un cliché rétro-alvéolaire de la curette est autant inutile que crétin.


Choukroun Joseph

14/10/2012 à 17h51

D 57,
Excellente initiative de passer par la voir crestale. C'est la meillleure solution.
Mais tu peux être plus efficace en prélevant sur la paroi latérale une "pastille osseuse" que tu impacteras en crestal sur la perte osseuse. Tu recrées très facilement une corticale à cet endroit.
Pour le PRF, il est temps qur tu passes à la Box..
Amicalement.


3f3boxni50k58rq7e9ce9ddqrxgk - Eugenol
dentiste57

14/10/2012 à 20h01

goupil écrivait:
----------------
> il faudrait quand même ajouter pour les lecteurs que prendre un cliché
> rétro-alvéolaire de la curette est autant inutile que crétin.

la beauté de l'images peut être?
mais sinon, c'est exacte, cela n'apporte rien en cours de chirurgie, comme ton commentaire d'ailleurs!


3f3boxni50k58rq7e9ce9ddqrxgk - Eugenol
dentiste57

14/10/2012 à 20h03

Choukroun Joseph écrivait:
--------------------------
> D 57,
> Excellente initiative de passer par la voir crestale. C'est la meillleure
> solution.
> Mais tu peux être plus efficace en prélevant sur la paroi latérale une "pastille
> osseuse" que tu impacteras en crestal sur la perte osseuse. Tu recrées très
> facilement une corticale à cet endroit.
> Pour le PRF, il est temps qur tu passes à la Box..
> Amicalement.

ça, j'avoue, que j'y avais pas pensé. c'est une excellente idée d'ailleurs. à méditer pour la prochaine intervention...

(la box, je l'ai depuis.. :)
et c'est vrai que c'est mieux)


sinclair

14/10/2012 à 21h26

salut

petite question: pourquoi tu n'as pas réalisé une petite fenetre laterale complémentaire qui t'aurait permis un meilleur décollement de la membrane?