Cookie Consent byPrivacyPolicies.comPlanification et guide chirurgical pour 2 implants - Eugenol
Utilisateur banni

17/10/2012 à 20h52

- la planification implantaire en 3D
- guide chirurgical en métal

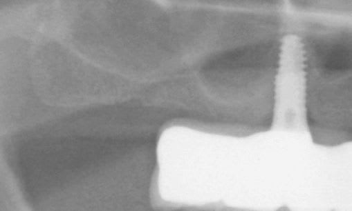
Cas clinique n° 1

Guide chirurgical 001 rnxpkn - Eugenol
Guide chirurgical 002 vtt1yt - Eugenol

Utilisateur banni

18/10/2012 à 11h05

Mais que signifie une planification implantaire en 3D ?


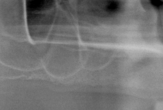
Images jm2g2g - Eugenol
dr_0le

18/10/2012 à 13h26

joli comblement =)


Utilisateur banni

18/10/2012 à 15h47

dr_0le écrivait:
----------------
> joli comblement =)
En effet.


Utilisateur banni

18/10/2012 à 18h07

Comment fonctionnent les logiciels de planification dentaire ?


Utilisateur banni

18/10/2012 à 20h29

Cas clinique n° 2

Combien de temps prend une planification pour 2 implants avec un logiciel dentaire ?

Guide chirurgical 005 sbqmwg - Eugenol
Guide chirurgical 003 capvkz - Eugenol
Guide chirurgical 004 f1p4ul - Eugenol

G-P

18/10/2012 à 21h21

Posit tu es très sibyllin.


Utilisateur banni

18/10/2012 à 21h36

G-P écrivait:
-------------
> Posit tu es très sibyllin.

Mâ Ananda Moyî disait : "Tant qu'il y a doctrine, il ne peut y avoir compréhension."

Qu'est que tu ne comprends pas ?


G-P

18/10/2012 à 21h51

Bah tes questions sont bizarres non ?
Je vais tenter de répondre.

> Mais que signifie une planification implantaire en 3D ?

Positionner l'implant le mieux adapté, virtuellement, au meilleur endroit possible en tenant compte des contraintes anatomiques et de la future prothèse.

> Comment fonctionnent les logiciels de planification dentaire ?

L'utilisateur se sert d'un clavier et une souris pour le faire fonctionner sur un ordinateur.


> Combien de temps prend une planification pour 2 implants avec un logiciel
> dentaire ?

Entre 15 minutes et 2 heures, à la louche.


Utilisateur banni

18/10/2012 à 22h42

Merci pour tes réponses G-P, j’espère qu’elles te sont aussi instructives qu’a moi.

Toutes les réponses sont justes et prendre un peu de temps pour une question peut en faire gagner en ayant des réponses.

Combien de temps prend une planification pour 2 implants à partir de planches scanner ?


Utilisateur banni

19/10/2012 à 00h42

Cas clinique n° 3

Guide chirurgical 006 cpe9vz - Eugenol

Utilisateur banni

19/10/2012 à 09h33

Quels sont les avantages d’une planification implantaire pour 2 implants avec un logiciel de planification implantaire et une étude sur planches scanner ?


Utilisateur banni

19/10/2012 à 11h29

Quelle précision supplémentaire pour une chirurgie à main levée apporte une planification implantaire pour 2 implants avec un logiciel de planification implantaire et une étude sur planches scanner ?


croc1765

19/10/2012 à 11h44

c'est quoi tout cela, la future annonce de l'iposit6 ?


Utilisateur banni

19/10/2012 à 16h24

Croc 1765, je réponds as des observations sur d’autres présentations ou les cas clinique semblent éloignés du quotidien. J’ai lu aussi tes interrogations sur l’utilisation d’un guide chirurgical sur greffe fibula. Tu aurais était présent lors de la chirurgie je pense qu’au vue de la configuration du site et de son accessibilité ton jugement aurais été différent. Les questions semblent simplistes ou obscure comme dit G-P mais leurs réponses sont plus complexes ou instructive qu’il n’y parait (à mon avis).


croc1765

19/10/2012 à 19h57

je suis navré mais pour l'instant il n'y a que des questions


Utilisateur banni

20/10/2012 à 11h45

Alors je vais préciser ma réponse.

Sur la présentation d’un cas clinique tu trouvais inutile l’utilisation d’un guide chirurgical sur greffe fibula. La présentation comportait, le projet prothétique, le projet implantaire pré-opératoire, une photo du guide chirurgical in situ, le résultat post-opératoire et les mesures de divergence entre la planification et le résultat obtenue. Ma réponse est bien, ce qu’on peu obtenir par l’utilisation d’un protocole de chirurgie guidée et l’utilisation d’un guide chirurgical spécifique. Maintenant tu semblais dire qu’un résultat similaire peut être obtenu sans l’utilisation d’un guide chirurgical ou que sont utilisation n’était pas justifiée car il n’y avait pas de mise en charge. Ton jugement doit être basé sur des faits, merci d’en apporter une réponse.

Sur le post je parle d’une planification 3D en présentent différent cas illustrés par des images extraites de celle-ci. Il m’est plus important de connaitre la perception des mots ou des images que de les étaler de façon abstraite.


Icon poker h4nm2d - Eugenol
jeff

20/10/2012 à 12h18

posit, le cas 3, avec les deux implants symphysaire, sans doute pour locator, a quand même l'air assez simple a main-levé .
tu as beaucoups de demande pour de petites interventions comme celle-ci ?


Bazaruto 2007 ircsez - Eugenol
jumpingjackflash

20/10/2012 à 13h59

Bof!
à 15° près c'est pas vraiment de la précision, la précision c'est 2° max et 1/4 de mm
mettre à main levé sans guide sans lambeau (sur un patient sous plavix) un implant dans un septum sinusien ça c'est de la précision le reste c'est du bricolage, jolie mais du joli bricolage

Pano pre op gxxnm1 - Eugenol
Screenshot873 j1awf7 - Eugenol
Img 0791 pwsaal - Eugenol
Img 0807 xm3qth - Eugenol
Pano post op kf0tgu - Eugenol
Img 2463 xuvhuk - Eugenol
Pano 2 ans post op mxavap - Eugenol
Img 2625 mt294q - Eugenol

Utilisateur banni

20/10/2012 à 17h07

jeff écrivait:
--------------
> posit, le cas 3, avec les deux implants symphysaire, sans doute pour locator, a
> quand même l'air assez simple a main-levé .
> tu as beaucoups de demande pour de petites interventions comme celle-ci ?

J’en ais eu plusieurs pour 2 et 4 implants symphysaire, outre le fait de paralléliser ou avoir une angulation maitrisée la procédure permet un lambeau à minima et une localisation de l’artère sublinguale. Cette intervention peut être parfaitement réalisée à main levée. Lorsqu’ ‘il y a défaut de parallélisme des usures prématurées des Locator peuvent être constatées. Une chirurgie à main levée à un coût plus économique qu’une chirurgie guidée le choix peut se faire aussi en thermes de sécurité, confort, résultat,…


Utilisateur banni

20/10/2012 à 17h43

jumpingjackflash écrivait:
--------------------------
> Bof!
> à 15° près c'est pas vraiment de la précision, la précision c'est 2° max et 1/4
> de mm
> mettre à main levé sans guide sans lambeau (sur un patient sous plavix) un
> implant dans un septum sinusien ça c'est de la précision le reste c'est du
> bricolage, jolie mais du joli bricolage

Pour calculer la précision post- opératoire il faut la comparer à une position déterminée pré-opératoirement, peut tu nous montrer la planification du cas que tu montre et au moins une OTP.

Quelle méthode utilises-tu pour calculer l’imprécision du système présenté ?

Si tu compare les 10 ans, la vingtaine d’ingénieurs pour maitre au point le système de navigation que tu présente et le coût d’acquisition du matériel à 0€ d’investissement nécessaire pour commander un guide Positdental, je comprend que tu puisse penser que c’est du bricolage. Maintenant libre à toi de présenter des cas cliniques notamment MCIPE avec pose immédiate de provisoire à armature métal pour ne pas me laisser penser que c’est un gadget mais un joli gadget.


Bazaruto 2007 ircsez - Eugenol
jumpingjackflash

20/10/2012 à 19h04

de quel coût parle tu
celui du cone beam
celui cumulé des guides métalliques à chaque chirurgie
ou le coût biologique d'ouverture de lambeau jusqu'aux oreilles

le système, dont tu pourrais me donner le prix, ne peut être entaché du fait d'avoir nécessité une recherche approfondit pour un résultat à la hauteur des besoins de l'implantologie

mais si on parle de précision alors on parle de précision, pas d'un système mis au point par des copains dans leurs cuisines

dans un post précédent je t'ai demandé des radios et la superposition de la planification et des radios post op montrait un delta de 15 à 20° de implants


Image gle53x - Eugenol
cadxpress13

20/10/2012 à 21h30

Ber moi j imprime si vous avez besoin www.cadxpress13.fr


Image gle53x - Eugenol
cadxpress13

20/10/2012 à 21h32

Pardon. Sur. cadxpress.fr.


irrident

20/10/2012 à 21h43

cadxpress13 écrivait:
---------------------
> Ber moi j imprime si vous avez besoin www.cadxpress13.fr

tu imprime quoi


12