Cookie Consent byPrivacyPolicies.comCas de conscience - Eugenol

Cas de conscience

doagui

24/10/2012 à 00h10

Bonsoir,

J'ai reçu récemment un jeune patient de 24 ans qui me pose un cas de conscience.

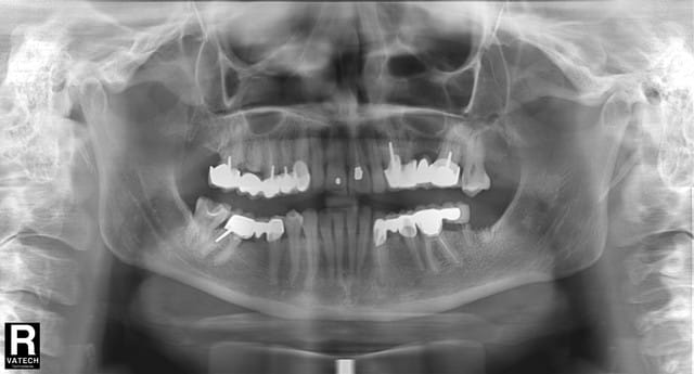
Il présente de nombreuses couronnes et bridges, pas franchement glorieux voire merdiques par endroit bien que très récents d'après ses dires. Il présente aussi des dents postérieures (genre 7 et 8, pas les 6) avec des reprises carieuses majeures sous des soins dégueulasses, des dents à l'état de racine à extraire, bref rien ne va.

J'ai voulu l'interroger et voici ce que j'ai fini par lui faire raconter.

Il a eu la CMU pendant longtemps, et il a été suivi dans un cabinet voisin du mien par le fils du dentiste qui était débutant. Là, presque tout a été couronné globalement, jusqu'aux 6. Plusieurs prothèses n'ont pas tenu et se sont descellées au bout de quelques mois, mais il avait trouvé un job entre temps et sa CMU s'était arrêtée. Il a rappelé le cabinet, on lui a répondu qu'ils ne pouvaient rien pour lui à moins qu'il ne paye le tarif classique.

Aujourd'hui je récupère un patient désespéré par l'état de sa bouche. Les racines dont les prothèses ont été perdues sont foutues, et le pire c'est que les autres trucs faits par le prédécesseur compliquent tout : en gros il faudrait défaire ce qui a été fait avant de recommencer à propre ! Il faudrait finalement mettre le prix d'une voiture dans la bouche de ce patient, et il ne le peux absolument pas.

Le patient est pret à faire un crédit pour remettre tout ça en ordre, mais je ne peux m'empêcher de penser que ça serait au praticien indélicat de mettre la main à la poche pour rattraper son boulot médiocre... J'attends de voir le bilan long cône que je lui ai prescrit pour m'en assurer, mais avec ce que j'en vois déjà je m'attends à trouver des endos merdiques sous les prothèses en place.

On me dit d'envoyer le patient vers le conseil de l'ordre. Je ne sais pas trop quelle conduite tenir. Le patient ne veut plus du tout avoir à faire avec l'ancien praticien, évidemment.

Qu'en pensez-vous ?


desmodontite

24/10/2012 à 00h19

j'ai le même problème avec une patiente.
Je ne sais pas quoi faire.
Pour moi, c'est la rcp du confrère qui doit marcher.

Il faudrait qu'il envoie un recommandé au confrère avec ton bilan long cône et que le patient demande des comptes, non?
Difficile d'orienter le patient sans être anticonfraternel.


Capture d  cran 2015 03 12 12.28 - Eugenol
chicot29

24/10/2012 à 00h30

doagui écrivait:
----------------
> Bonsoir,
>
> J'ai reçu récemment un jeune patient de 24 ans qui me pose un cas de conscience.
>
> Il présente de nombreuses couronnes et bridges, pas franchement glorieux voire
> merdiques par endroit bien que très récents d'après ses dires. Il présente aussi
> des dents postérieures (genre 7 et 8, pas les 6) avec des reprises carieuses
> majeures sous des soins dégueulasses, des dents à l'état de racine à extraire,
> bref rien ne va.
>
> J'ai voulu l'interroger et voici ce que j'ai fini par lui faire raconter.
>
> Il a eu la CMU pendant longtemps, et il a été suivi dans un cabinet voisin du
> mien par le fils du dentiste qui était débutant. Là, presque tout a été couronné
> globalement, jusqu'aux 6. Plusieurs prothèses n'ont pas tenu et se sont
> descellées au bout de quelques mois, mais il avait trouvé un job entre temps et
> sa CMU s'était arrêtée. Il a rappelé le cabinet, on lui a répondu qu'ils ne
> pouvaient rien pour lui à moins qu'il ne paye le tarif classique.
>
> Aujourd'hui je récupère un patient désespéré par l'état de sa bouche. Les
> racines dont les prothèses ont été perdues sont foutues, et le pire c'est que
> les autres trucs faits par le prédécesseur compliquent tout : en gros il
> faudrait défaire ce qui a été fait avant de recommencer à propre ! Il faudrait
> finalement mettre le prix d'une voiture dans la bouche de ce patient, et il ne
> le peux absolument pas.
>
> Le patient est pret à faire un crédit pour remettre tout ça en ordre, mais je ne
> peux m'empêcher de penser que ça serait au praticien indélicat de mettre la main
> à la poche pour rattraper son boulot médiocre... J'attends de voir le bilan long
> cône que je lui ai prescrit pour m'en assurer, mais avec ce que j'en vois déjà
> je m'attends à trouver des endos merdiques sous les prothèses en place.
>
> On me dit d'envoyer le patient vers le conseil de l'ordre. Je ne sais pas trop
> quelle conduite tenir. Le patient ne veut plus du tout avoir à faire avec
> l'ancien praticien, évidemment.
>
> Qu'en pensez-vous ?

Que déjà tu peux facilement faire un status radio toi même.
Et ensuite tu poses ton diagnostic, point barre. Le patient est majeur et vacciné, la marche à suivre s'impose d'elle même.















maurice

24/10/2012 à 00h33

tu es dentiste, pas avocat
tu fais ton plan de traitement, ton devis et puis c'est tout


doagui

24/10/2012 à 00h34

chicot29 écrivait:
------------------

>
> Que déjà tu peux facilement faire un status radio toi même.
> Et ensuite tu poses ton diagnostic, point barre.
>

Pas d'angulateur, et j'admets tout simplement que le status long cône du radiologue est mieux fait que le mien. Dans tout ce que je décris CA c'est la 1ere reflexion qui te vient ?


Capture d  cran 2015 03 12 12.28 - Eugenol
chicot29

24/10/2012 à 00h42

Maintenant il m'en vient une deuxième. Adresses à l'endo exclusif, il fait surement les rte des endos foireuses (que va te révéler le superbe, status radio du radiologue à n'en pas douter), mieux que toi .


Marque a3 orange fyvhyq - Eugenol
Marc Apap

24/10/2012 à 00h45

Comme les autres. Et au cas où le patient demanderait à faire jouer le rcp de l'ancien confrère, surtout ne touche à rien. Tu serais aussi impliqué.


doagui

24/10/2012 à 00h52

chicot29 écrivait:
------------------
> Maintenant il m'en vient une deuxième. Adresses à l'endo exclusif, il fait
> surement les rte des endos foireuses (que va te révéler le superbe, status radio
> du radiologue à n'en pas douter), mieux que toi .

Je fais mes retraitements moi-même. Quant au status si là je veux qu'il soit nickel c'est parce que dans ce cas précis il est possible qu'il soit utilisé comme "preuve" ou au moins comme outil de comparaison si le patient obtient sa pano d'avant les soins, donc je préfère que ça soit irréprochable.

Je peux savoir d'où vient cette agressivité ? Ton dessert n'est bien passé et je suis un dommage collatéral ? Ou bien t'as juste décidé d'être désagréable gratuitement ce soir ?


Capture d  cran 2015 03 12 12.28 - Eugenol
chicot29

24/10/2012 à 01h08

Pas du tout. Je t'indique seulement des pistes pour te débarrasser de la patate chaude (tu avais bien commencé avec le radiologue, qui va commenter le désastre, pardon j'avais mal compris). Un cas comme ça c'est au mieux des emmerdes. J'en ai eu un récemment, et le praticien précédent a décidé de refaire le boulot (pas mauvais dentiste cependant, seulement il a voulu conserver des racines au maximum sous son bridge complet, bon calcul NGAP mais mauvais calcul clinique). Ouf !


doagui

24/10/2012 à 01h17

Ok ok je comprends mieux.

Ici ce qui m'ennuie en fait c'est que le patient n'est pas un procédurier dans l'âme, et qu'il semble plutôt pencher vers l'idée de faire un crédit pour payer les soins.

Je suis un grand naïf je sais bien, mais ça ne me semble pas juste. Y'a un mec qui a profité de la CMU pour couronner ce qui l'arrangeait vite fait mal fait et se fiare un max de pognon, et il s'en sortirait comme ça alors que le patient se retrouverait avec un crédit sur le dos pour récupérer ce qui peut l'être ?

On parle quand même d'un mec de 24 ans qui y a perdu sa 13 ainsi que 4 dents mandibulaires, sans parler de ce que je risque de découvrir en plus, c'est pas juste un composite raté sur la 38...


chicot67

24/10/2012 à 01h28

Un coup de fil au CDC ?


RépondreCiter
Capture d  cran 2015 03 12 12.28 - Eugenol
chicot29

24/10/2012 à 01h30

Tu n'as pas la situation initiale pour juger. Certains profitent en effet de la cmu pour couronner des merdes qui mériteraient d’être extraites ( spr 107 versus dc 16 y a pas photo), c'est d'autant plus facile que le préjudice financier pour le patient est nul. " on tente et on verra bien ....."
Pour le coup de fil, j'ai testé. J'ai même eu un rendez vous, dossiers patients ( et pas qu'un peu, à l'appui avant , pendant et après (dentiste incriminé mon prédécesseur)).... Autant d'effet que de pisser dans un violon. Au mieux c'est toi qui te retrouve dans le viseur.


jeff13

24/10/2012 à 01h34

Ne juge pas ton confrère sans savoir ce qui s'est passé entre deux. Peut être que le patient a laissé traîne, oublié la brosse à dent, tu seras peut être agréablement surpris par les endos.
Sinon, tout le monde ne fait pas nécessairement de la merde quand c'est des CMU.
Tout le monde n'a pas la même philosophie que l'expert psychiatre d'Outreau, je cite "A être payer comme une femmes de ménage, je rends une expertise de femme de ménage"


doagui

24/10/2012 à 01h37

Oui oui bien entendu, je n'ai pas émis le moindre jugement quant au travail que j'avais sous les yeux, et j'attends de voir ce que la radio dira.

Ceci dit je vous avoue que je m'attends au pire, étant donné que ce n'est pas le 1er patient qui se plaint de ce dentiste, loin de là.


Blue eye thumb medium dx1i0w - Eugenol
bill

24/10/2012 à 01h37

Tu es un jeune confrère doagui ?

Faudra te blinder parce que ça tu le verras tous les jours et pas que sur des cmu.

Le problème c'est que reprendre des traitements bâclés est beaucoup plus difficile que d'intervenir en première intention et ce n'est jamais dénué d'emm***

Tu dis au patient ce que tu vois, ce que tu proposes et basta, à lui d'en tirer ses conclusions.

Moins tu parles, moins ça te retombe sur le dos le cas échéant, il y a un exemple célèbre dans la profession en ce moment.

Après tu peux te sentir l'âme d'un justicier, il y en a plein sur le net, c'est comme pour les actions d'éclat à chaque convention... ;-)


touma

24/10/2012 à 01h46

j'approuve de plus en plus difficilement ce genre d'attitude "confraternelle" ...

je trouve que ne rien faire tient presque de la non assistance à personne en danger (pas de mort d'accord) et à une époque où nous sommes condamnable pour pertes de chances si on oublie de mentionner la possibilité implantaire de notre arsenal thérapeutique (par exemple) je trouve que ne pas assister un patient victime d'un tel traitement ne devrait pas mériter un meilleur avenir judiciaire ....

me taper pas sur la tête, je n'agit pas tellement différemment dans ma pratique quotidienne, c'est ma conscience qui vous parle comme Doagui ...


RépondreCiter
Capture d  cran 2015 03 12 12.28 - Eugenol
chicot29

24/10/2012 à 01h46

bill écrivait:
--------------

>
> Le problème c'est que reprendre des traitements bâclés est beaucoup plus
> difficile que d'intervenir en première intention et ce n'est jamais dénué
> d'emm***
>

D'autant plus difficile que la génération "ic-couronne" qui a remplacé la précédente "screw-post amalgame" ne fait pas des étincelles en endo non plus malgré l'évolution des techniques. C'est bon ? je ne vise personne en particulier, hein ! .... Surtout pas moi !))))))


Capture d  cran 2015 03 12 12.28 - Eugenol
chicot29

24/10/2012 à 01h54

touma écrivait:
---------------

> je trouve que ne rien faire tient presque de la non assistance à personne en
> danger (pas de mort d'accord) et à une époque où nous sommes condamnable pour
> pertes de chances si on oublie de mentionner la possibilité implantaire de notre
> arsenal thérapeutique (par exemple) je trouve que ne pas assister un patient
> victime d'un tel traitement ne devrait pas mériter un meilleur avenir judiciaire

En fait d'avenir, c'est la PAP qui se profile à l'horizon. A 24 ans, pas mal pour un système que tout le monde nous envie, non ?


doagui

24/10/2012 à 02h28

Je trouve qu'on ne peut s'étonner de la mauvaise image que les gens ont de la profession, pas plus que des amalgames qui sont faits, si au final quand certains merdent on les couvre tous.

Comment demander à ne pas être mis tous dans le même sac si les "honnêtes" n'agissent pas et laissent faire les moins consciencieux ? Au final on ne vaut pas mieux qu'eux etl es gens ont raison de le penser.


RépondreCiter
Capture d  cran 2015 03 12 12.28 - Eugenol
chicot29

24/10/2012 à 02h41

Ben tu commences à éduquer tes patients. Je pose la digue parceque..., radio cone en place parceque....., reconstitution préendo parceque..... etc....
Après ils tombent en urgence dans un autre cabinet et ils disent : ah bon ? vous ne mettez pas de digue ?

Pas la peine de descendre un confrère, c'est contre productif , et ça te retombe sur la tronche vitesse grand V en cas d'arthrite post op par exemple.


ju

24/10/2012 à 03h15

j'ai pas bien compris si Doagui était dentiste, avocat ou juge.
On te dis qu'on ferait un plan de tmt en expliquant les différentes possibilités et basta car ton rôle s’arrête là. Ensuite le patient fait ce qu'il y a à faire ou pas.
Ce n'est pas ce que tu veux entendre alors tout de suite tu t'insurges contre la mentalité de la profession.

Tu ne sais RIEN de la situation initiale alors ne juge pas le travail du confrère.
Il a certainement voulu sauver des racines car le patient n'avait pas les moyens de faire autre chose qu'une PAP puisqu'il avait la CMU.

Quoi qu'il en soit, ta faculté de réflexion semble altérée par un parti-pris évident. je te conseille de te détendre un peu sur ta chaise et ne pas vouloir jouer au héros après chaque dire des patients. Tu risques de pas tenir très lgts.


levm

24/10/2012 à 04h21

Je ne pense que tu n'as pas à juger , ni dénoncer quoi que ce soit .
Si on prend l'intégralité de nos cas , nous avons tous des cas "réussis" et d'autres moins (Dentiste orfèvre compris)

Quand tu pointes un doigt sur un de tes confrères , un autre le fera sur toi .
Aimerais tu qu'un endo exclusif vienne à dire sur un de tes TR "mais comment peut on oublier un 4 eme canal ou peter un protaper"
"
Supporterais tu savoir qu'un paro critique le fait que tu ais pu poser une couronne alors que le problème paro n'est pas entièrement réglé ?


C'est peut etre malheureux à dire mais on s'adapte selon les impératifs économiques du patient et sa situation sociale .


compte tenu du contexte CMU sans faire de généralités , je ne me mouillerai pas trop en disant qu'on est en face de :
-Des patients à indice CFAO plus elévé que les patient non CMU
-Des patients qui ne paient rien et qui viennent qd bon leurs semblent. Il faut souvent les traiter en un minimum de temps .

Le patient n'a rien payé .
Aujourd'hui , il va payer pour des soins comme n'importe quel patient lambda . Au final ,il se présente dans ton cabinet comme si tu le voyais pour la première fois et il ne va payer qu'une seule fois .


Regarde le lien ci-dessous :
http://www.eugenol.com/sujets/398296-ciment-canalaire-en-seringue-attention-danger
Si tu voyais cette radio ,quel serait ton premier reflexe et ton premier avis sur ce dentiste.
Ce dentiste est pourtant brillant et doué .


Aiguille cyboyt - Eugenol
fatboy

24/10/2012 à 09h13

Le coup du "tu sais pas ce qui s'est passe pendant les soins"
"le patient est un gros degueulasse"... c'est un peu facile. On a tous des cas ou l'incompetence se dispute a l'arnaque, manifestement et sans aucun doute.
Quand un patient se pointe avec 17 couronnes faites il y a 3 ans, avec pas une seule endo obturee au-dela du tiers coronaire et les infections qui vont avec, avec des racines non extraites sous les bridges, des morceaux de lentulos petes dans le sulcus!, et tous les piliers caries. On peut pas dire alea therapeutique, ou c'est la faute du patient.
C'est une honte, et malheureusement ca continuera.
Au final, qu'est ce que je dis a la patiente qui a claque 15 000euros et a qui je fais un devis de 25 parce que maintenant c'est des implants, quand elle me demande ce qui s'est passe?
La faute a pas de chance, alors que au fond je me dis, mais qu'est ce que c'est que cette boucherie, sur une dame charmante, motivee, et qui souffre de douleurs et de cracher ses bridges tout les 6 mois?

Et bien ce que je fais, c'est que je hausse les epaules et je ferme ma gueule, parce que la confraternite c'est degueulasse dans ces cas ou ca tourne a la complicite mais sans, il n'y aurait plus de limites. Et crois-moi, c'est pas les dentistes de bonnes volontes qui en sortiraient vainqueurs mais ceux qui ont le plus de tchatche.

Ca me fait gerber moi aussi, mais je fais comme les autres, j'explique les problemes un par un, je fais un plan de traitement et un devis. Et aux questions, quand il y en a , je reponds que je n'ai pas le droit de juger le travail d'un autre dentiste.

Pano zbzce7 - Eugenol

RépondreCiter
chicchique

24/10/2012 à 10h17

Chaque cas est particulier, mais mon expérience me pousse à me méfier du terme ' très récent' employé par le patient.
J'y ai régulièrement droit , on peut multiplier par 2 ou 3 le temps indiqué.
Et plus le temps passe ,pire c'est : ex :être obligée de reprendre le dossier papier (avant 1996 date de l'informatisation) pour certifier au patient que oui,j'avais bien couronné la dent mais en 1991...
Je l'ai pris à l'humour ' vous vous rendez compte ,on se connait depuis plus de 20 ans!!' du coup le patient a blagué aussi ,bon ,l'affaire était close.
Mais il aurait été voir un autre praticien ,il aurait certifié que la pose datait de 4/5 ans!

Cela fait longtemps que je prends le patient dans mon cabinet à l'instant t ce qui s'est passé à t-1 ,c'est son problème ; si il a des doléances vis à vis de son ex praticien il va lui exprimer.
S' il veut faire une procédure ,il y a des consultations d'avocat ,aide juridique possible ou par son assurance responsabilité civile perso, il y aura une expertise avec l'état antérieur , estimation du préjudice etc..

Ne pas oublier: certains pensent qu'avec des bridges ou des couronnes le brossage est superflu...


Mnémosyne

24/10/2012 à 10h36

J'ai eu le même genre de problèmes avec un jeune dentiste qui m'avait précédée dans le cabinet que je viens de reprendre.

En six mois d'exercice, il m'a "légué" toute une batterie de cas à refaire. Bien entendu, les patients s'attendaient à ce que ce soit gratuit puisque c'est le même cabinet.

J'ai téléphoné au conseil de l'ordre et exposé la situation. Ils m'ont dit de ne pas le couvrir et d'inviter les patients mécontents à prendre contact avec eux pour être médiateurs.

J'ai refait les soins qui le nécéssitaient, et d'après ce que j'en sais (par les patients) le confrère va les rembourser des soins que je ferai.

J'essaie de ne pas présenter de facture trop élevée. Par exemple, j'ai refait un IC mais en conservant la CCM.

On paie des gens pour nous chapeauter, pourquoi ne pas se tourner honnêtement vers eux en cas de pépin?


12...