Cookie Consent byPrivacyPolicies.comCas clinique esthétique à suivre - Eugenol

Cas clinique esthétique à suivre

Android jyzura - Eugenol
Tavéca

15/11/2012 à 15h39

J'ai commencé ce cas récemment, donc je tiendrais a jour ce fil si il est suivit, au fur et à mesure du traitement.
L’intérêt et de confronter nos conceptions et opinions afin pourquoi pas de faire évoluer mon traitement.
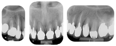
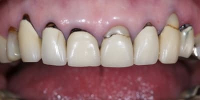
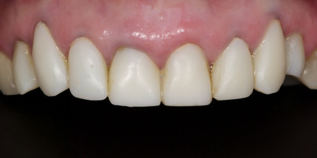
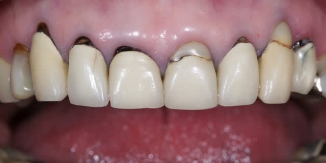
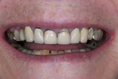
La demande concerne la réhabilitation esthétique du bloc incisif supérieur.
On ne parlera pas de bruxisme, de dvo, de gouttière et de réhabilitation globale pour diverses raisons, seule le traitement esthétique de 14 a 24 nous concerne ici et ses différentes solutions pour le traiter.
j'ai bien sûr ma petite idée sur le plan de traitement que j'ai d'ailleurs j'ai déjà debuté et que je vous ferai partager un peu plus tard si ça vous intéresse.

1 heaysf - Eugenol
5 cpfus2 - Eugenol
2 ctexqz - Eugenol
3 xd1fe4 - Eugenol

maz

15/11/2012 à 19h42

c'est dur de parler d'un cas pareil en ne voyant que 14 à 24

a part changer les couronnes, faut décider si il y a un peu de paro avant, si tu veux refaire les endos ...

je dirais qu'il faudrait une photo avec un sourire plus naturel, pour mieux voir la forme des lèvres lors du sourire et adapter les dents à ça

alors que si on regarde tout, ça devient autrement plus compliqué


Avatar 46 aoi1yc - Eugenol
HononLulu

15/11/2012 à 21h19

Pas de pano, pas de photo globale.
Fais comme tu le sens après tout. On espère juste que tu as une vision globale de la réhabilitation , parce que, faire des jolies couronnes, c'est pas ça le plus dur.
La reflexion préalable..........c'est autre chose


Android jyzura - Eugenol
Tavéca

16/11/2012 à 10h48

Caixxaic écrivait:
------------------
> Ce cas semble d'un premier abord plutôt casse-figure... Fais nous parvenir ce
> que tu proposes!

Ça va venir mais ton avis m’intéresse.


maz écrivait:
-------------
> c'est dur de parler d'un cas pareil en ne voyant que 14 à 24

En même temps c'est quand même le sujet et pour simplifier en ne pensant pas global, mais esthétique pure de 14 a 24.


> a part changer les couronnes, faut décider si il y a un peu de paro avant

Quelle type de paro ferais-tu ?
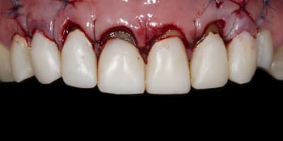
Un allongement de couronne et un Conj. enfouie avec lamb. tracté coronairement sur 13-23 est prévu.

, si tu
> veux refaire les endos ...

j'ai hésité car les ccm initiales ont 35 ans, mais ça me gênait de ne pas les faire.


>
> je dirais qu'il faudrait une photo avec un sourire plus naturel, pour mieux voir
> la forme des lèvres lors du sourire et adapter les dents à ça

Voila.


HononLulu écrivait:
-------------------
> Pas de pano, pas de photo globale.

Une pano dans ce cas ! Et pourquoi pas une radio du colon aussi ;)

pas de photo globale.
Vous êtes exigent sur eugenol, ya quand déjà matière a réflexion avec les radios et photos présentées.


> Fais comme tu le sens après tout. On espère juste que tu as une vision globale
> de la réhabilitation , parce que, faire des jolies couronnes, c'est pas ça le
> plus dur.

Ben justement c'est ce qu'on essai de faire, non ?


> La reflexion préalable..........c'est autre chose

Peux-tu nous faire part de la tienne?



3 com., et aucune proposition de traitement!


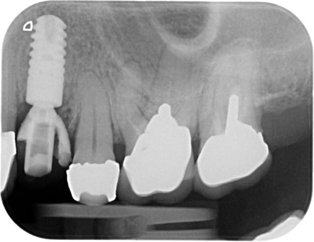
Alors j'ai commencé le traitement:
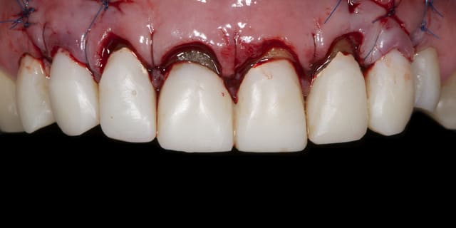
-ext 24 car mobilité type 2 + implant immédiat + couronne prov. en sous occ.
-Démontage difficile des ccm, mais surprise, traitement endo relativement mou et donc a priori pas trop délicat a reprendre.
-couronnes prov.

PS : j'aime pas mettre sur eugénol des photos des patients même masqués, je la retirai bientôt.

4 zpu69i - Eugenol
7 ab9mph - Eugenol

Zz cnsu38 - Eugenol
toto48

16/11/2012 à 11h43

Si personne ne te propose rien, ça vient peut être du fait que tu ne donnes pas assez d'éléments.
Donne nous de quoi réfléchir, précise que la patiente ne veut pas toucher au reste et je suis sûr que tu auras plus de réponses.


dent2669

16/11/2012 à 11h55

comment peux tu faire tenir un greffe de conjonctif (aussi bien faite soit-elle) sur de la résine ou de la céramique ???

A mon avis, tu auras peut-être un bon résultat à court terme mais rien n'est moins sur pour dans quelques années !!

La greffe ne sera pas pérenne si tu n'as pas un support vasculaire certain. Et à moins que les matériaux prothétiques aient fait des progrès dans la nuit, ils ne sont toujours pas capable de vasculariser un greffon... Me trompe-je ?


Android jyzura - Eugenol
Tavéca

16/11/2012 à 12h02

toto48 écrivait:
----------------
> Si personne ne te propose rien, ça vient peut être du fait que tu ne donnes pas
> assez d'éléments.
> Donne nous de quoi réfléchir, précise que la patiente ne veut pas toucher au
> reste et je suis sûr que tu auras plus de réponses.
>

je pense pourtant avoir été explicite lors de l'intro du sujet.
je recentre le débat donc.

Quoi faire de 14 a 24 uniquement pour rendre le plus jolie des sourires a Mme?
A part 24 rien ne bouge, pas de douleurs, pas de problème paro, juste un problème esthétique sur ses vielles ccm.

on fait juste des nouvelles ccm ou on peut faire mieux?
j'ai un plan de tt, mais l'idée c'est de voir comment chacun aborderait ce cas.
Maintenant si il faut une pano, un cone beam, une NFS, un montage en articulateur et une étude cephalométrique pour donner ses idées sur ce cas...


Bebe 038 nf8eum - Eugenol
danteyeah

16/11/2012 à 19h23

Bin! Y'a pas grand chose à dire en faite. Suffit d'appliquer quelques dogmes d'esthétique du sourire( voir ouvrage de J.C. PARIS du même nom). Donc on simule la ligne des bords libre en fonction de la lèvre inf lors du sourire, on s'occupe de l'esthétique rose en fonction du sourire, et là l'intérêt d'un conjonctif enfouie sur 13 et 23 est discutable car la patiente ne semble pas les découvrir lors du sourire, par contre une élongation de 11 et 21 (si leur longueur le permet: racine courte), serait la bien venue afin d'harmoniser les formes des futur couronnes . Enfin on zieute du coté des couloirs vestibulaire et on remarque qu'une réhabilitation de 14 à 24 ne sera pas suffisante pour redonner toute sa splendeur à ce sourire: de 6 à 6 semble bien mieux indiqué.
évidement ça fini en recouvrement périphérique pour tout le monde avec de la jolie céramique pleine de vie et de naturelle.

Cependant même si ce n'est pas le sujet du post, il y a un détail (qui n'en est pas un), c'est le bruxisme de madame; je veux bien qu'elle se soit "zenifiée" à l'aube de la retraite, mais cela aurait été bon que tu nous précise que l'occluso est stable juste pour notre tranquillité intellectuelle.....ça a le neurone sensible le Nonolien ;-)


Android jyzura - Eugenol
Tavéca

19/11/2012 à 10h56

dent2669 écrivait:
------------------
> comment peux tu faire tenir un greffe de conjonctif (aussi bien faite soit-elle)
> sur de la résine ou de la céramique ???
>
> A mon avis, tu auras peut-être un bon résultat à court terme mais rien n'est
> moins sur pour dans quelques années !!
>
> La greffe ne sera pas pérenne si tu n'as pas un support vasculaire certain. Et à
> moins que les matériaux prothétiques aient fait des progrès dans la nuit, ils ne
> sont toujours pas capable de vasculariser un greffon... Me trompe-je ?

Évidemment tu as parfaitement raison c'est pourquoi lors de la confection des prov sur 13-23 je n'ai pas touché la racine pour adapter les prov. Ainsi lors de la chir , j'ai effectué une plastie vestibulaire radiculaire qui a permis de déplacer coronairement la limite prothetique de 2 mm env..
Ainsi j'ai pu effectué classiquement un conj enf.conjointement a un allongement de couronne de 12 à 22.

6 l4uvu1 - Eugenol

Android jyzura - Eugenol
Tavéca

19/11/2012 à 11h14

danteyeah écrivait:
-------------------
> Bin! Y'a pas grand chose à dire en faite.

moi je trouve que c' est le contraire c'est pourquoi j'ai créée ce fil.
Endo: rett ou pas...
prothèse: richemond, inlay core, moignon compo, tenon fibré, tenon metal metal, ccm, full ceram, solidarisée ou pas...
paro: élongation coronaire, chir muco...
chir: extraction, implant....



Suffit d'appliquer quelques dogmes
> d'esthétique du sourire( voir ouvrage de J.C. PARIS du même nom).

Celui-la ou d'autre j'avoue que je ne le connais pas.
(exemples joints)

Donc on simule
> la ligne des bords libre en fonction de la lèvre inf lors du sourire, on
> s'occupe de l'esthétique rose en fonction du sourire, et là l'intérêt d'un
> conjonctif enfouie sur 13 et 23 est discutable car la patiente ne semble pas les
> découvrir lors du sourire,

Je suis ok avec toi, mais 2 raisons me pousse a le faire quand même:

- harmoniser a ligne des collets des canines qui sera moins tronquée lors du sourire et éviter les récidives avec les nouvelle ccm.
- comme j’interviens de 12 a 22 c'est pas beaucoup plus long.


par contre une élongation de 11 et 21 (si leur
> longueur le permet: racine courte), serait la bien venue afin d'harmoniser les
> formes des futur couronnes


j'ai fais de 12 a 22

. Enfin on zieute du coté des couloirs vestibulaire
> et on remarque qu'une réhabilitation de 14 à 24 ne sera pas suffisante pour
> redonner toute sa splendeur à ce sourire: de 6 à 6 semble bien mieux indiqué.

tout a fait et d'accord avec toi , puis aussi le bas, et donc on passe de de 8 couronnes a 28.
j'aurais bien aimé mais le patienta des limites.

> évidement ça fini en recouvrement périphérique pour tout le monde avec de la
> jolie céramique pleine de vie et de naturelle.
>
> Cependant même si ce n'est pas le sujet du post, il y a un détail (qui n'en est
> pas un), c'est le bruxisme de madame; je veux bien qu'elle se soit "zenifiée" à
> l'aube de la retraite, mais cela aurait été bon que tu nous précise que
> l'occluso est stable juste pour notre tranquillité intellectuelle.....

c'est un cas globale je te le confère, mais ici le but est se centrer sur l’esthétique pour discuter sur la zone 14-24,
la suite est prévu pour plus tard.


ça a le
> neurone sensible le Nonolien ;-)

je te le fait pas dire;)

New york octobre 009001 wenbeu - Eugenol
Crit res esth tiques hmtthq - Eugenol

Smile beach jgh0a1 - Eugenol
Céramik

19/11/2012 à 14h01

Beau travail de 14-24, mieux si 16 à 26...

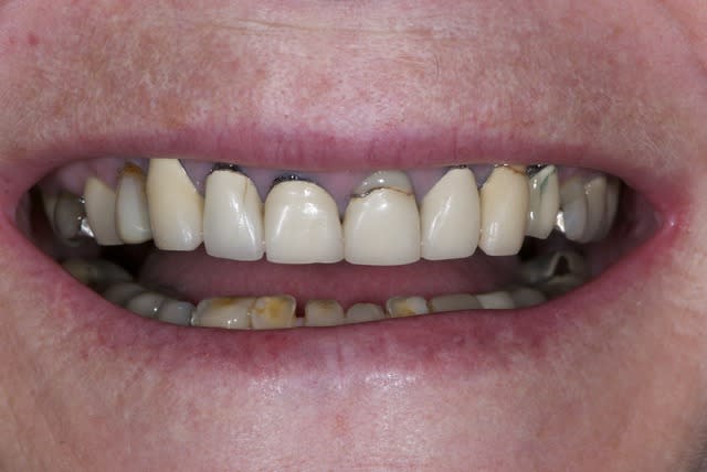
C'est quand même un cas de global haut/ bas, la DV est surement trop fermée et les dents du bas ont perdu combien 2-3-4 mmm de longueur ?

Au minimum, une gouttière

--
Céramik


Android jyzura - Eugenol
Tavéca

10/12/2012 à 17h04

Céramik écrivait:
-----------------
> Beau travail de 14-24, mieux si 16 à 26...
>
> C'est quand même un cas de global haut/ bas, la DV est surement trop fermée et
> les dents du bas ont perdu combien 2-3-4 mmm de longueur ?
>
> Au minimum, une gouttière

je dis pas le contraire.
mais chaque chose en son temps, je trouve que c'est déjà très intéressant de parler déjà que du bloc antero-sup. pour soulever toutes les possibilités et nos avis.

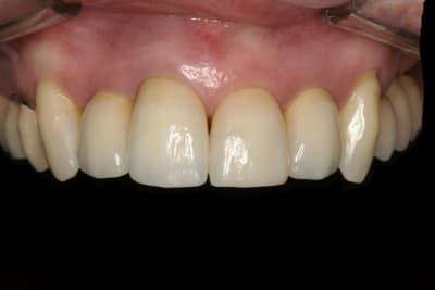
Aujourd'hui a 4 semaines:

A suivre reTR + moignon compo + tenon fibré + nouvelles prov dans les prochaines semaines.

Dsc 3653 e5cffv - Eugenol

Smile beach jgh0a1 - Eugenol
Céramik

11/12/2012 à 01h26

Ça avance bien

--
Céramik


Android jyzura - Eugenol
Tavéca

07/03/2013 à 17h22

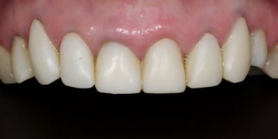
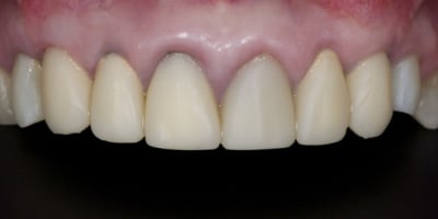
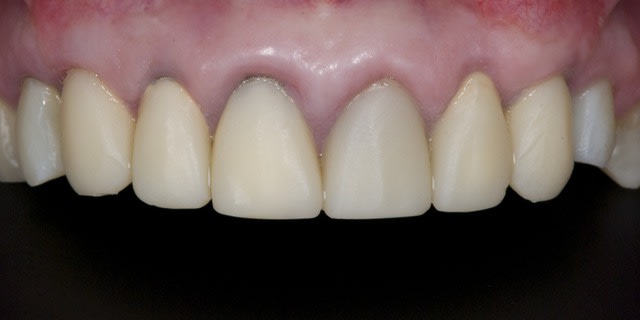
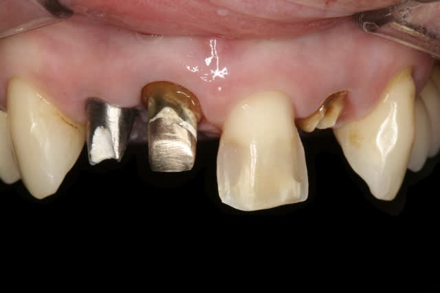
La suite avec les deuxièmes provisoires en places, le projet esthétique étant validé, les emp. ont été réalisées, ceramo-metal sur moignon composite a venir..

Page 01 u4huf6 - Eugenol
Dsc 4143 heqrcf - Eugenol
Dsc 4146 yxh7zi - Eugenol

RépondreCiter
Bebe 038 nf8eum - Eugenol
danteyeah

07/03/2013 à 23h48

Merci, d'avoir posté......on suit ;-)


topex

08/03/2013 à 00h21

Bravo,
Très beau cas.

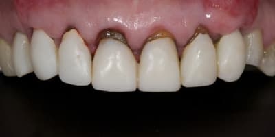
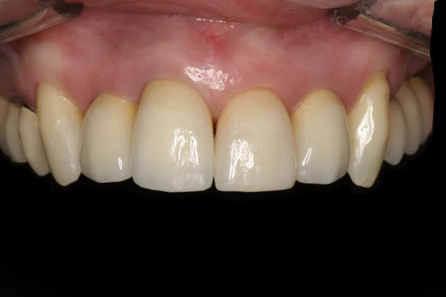
Une photo des préparations aurait été utile pour comprendre le choix des matériaux pour les CCM ou CCC.
Notamment pour la 21 qui me semble un peu grise avec la provisoire sur l'angle mésio vestibulaire.

J'attend la suite avec impatience...


Android jyzura - Eugenol
Tavéca

08/03/2013 à 12h31

topex écrivait:
---------------

> Une photo des préparations aurait été utile pour comprendre le choix des matériaux pour les CCM ou CCC.
> Notamment pour la 21 qui me semble un peu grise avec la provisoire sur l'angle
> mésio vestibulaire.


Tu as entièrement raison, j'ai prévu de faire les photos des préparation le jour de la pose, je les publierai a ce moment là.
En ce qui concerne la 21 grisé, en fait c'est un moule ion rebasé comme les autres sur moignon composite comme les autres.
Mais n'ayant pas vaseliné le moignon, et utilisant l'Unifast qui est très rapide, je me suis fait avoir par la prise de la résine, et je n'ai pas pu retiré la provisoire!
J'ai donc éliminé les excès et je la referai a l’essayage.
Et donc la différence avec les autres est due a l’absence de ciment provisoire blanc opaque.

En ce qui concerne le choix entre ccc et ccm, il faut savoir que 90 % de mes couronnes sont en emax, mais dans le cas de racines extrêmement colorées ( ce qui est le cas ici)mon choix se porte sur des ccm classiques pour masquer ces colorations radiculaires que même une chape opaque sur emax ne peux dissimuler aussi bien qu'une ccm.






RépondreCiter
003 penrd2 - Eugenol
Cingulum

08/03/2013 à 13h18

pour la chape opaque emax, cela masque complètement ce qu'il y a dessous.
J'en fait régulièrement sur pilier implantaire par exemple.


--
Dr Cingulum
-----Ancien interné----
----Attaché à l'apex----
http://www.clinic-all.fr/ formation par passion

 mg 2281 jvwx10 - Eugenol
 mg 2282 acftst - Eugenol
 mg 2283 zg2les - Eugenol
 mg 2285 ylrdzd - Eugenol
 mg 2286 wid32r - Eugenol
 mg 2290 dehjjd - Eugenol

Android jyzura - Eugenol
Tavéca

08/03/2013 à 14h24

Cingulum écrivait:
------------------
> pour la chape opaque emax, cela masque complètement ce qu'il y a dessous.

Bien sur la chape opaque emax est opaque est permet des réalisations très esthétique, je suis d'accord avec toi.

Mais ici il s'agit de dents ant sur racines naturelles, et toi tu montres une emax trans-vissé sur implant sur une dent post.
Cela n'a rien a voir. On ne peut pas comparer ce qui n'est pas comparable.

- la limite sur une couronne implantaire est souvent plus enfoui par choix ou par obligation qu'une couronne
- le biotype est souvent plus épais en post qu'en ant.
- la finition de la chape métal vest peut être plus proche de la ligne de finition vest du fait de sa finesse/chape pressé emax.
- tu cimentes tes ccm: ciment blanc opaque.
- tu colles tes emax. composite non opaque.

Pour avoir fait l’expérience plusieurs fois je préfère dans ce cas précis et pour ces raisons des ccm que des emax.
l’esthétique sera beaucoup facile a gérer surtout avec un cas plurale et symétrique.

Question : quel intérêt, a part le coût peut-être, de l'emax sur moignon implantaire métal qu'une ccm?

1 temov1 - Eugenol

003 penrd2 - Eugenol
Cingulum

08/03/2013 à 15h37

plus simple pour mon labo de presser des Emax.
Il utilise un pilier droit, et fait du trans vissé avec...
pas besoin de pilier base précieux... Et on gagne l'avantage du mordançage de l'emax pour son collage
je mettais le cas ou j'avais le temps par temps, pour montrer qu'on voit pas le métal.
j'ai des cas antérieurs en opaque. Je trouve que c'est plus joli qu'une ccm. Après ça dépend du talent du prothésiste surtout ...

--
Dr Cingulum
-----Ancien interné----
----Attaché à l'apex----
http://www.clinic-all.fr/ formation par passion


Android jyzura - Eugenol
Tavéca

11/03/2013 à 13h18

Cingulum écrivait:
------------------
>Je trouve que c'est plus joli qu'une ccm.
> Après ça dépend du talent du prothésiste surtout ...


je suis totalement d'accord avec toi sur ce point,mais il faut pas enterrer la ccm;)
Exemple ici d'un cas ant avec
- une facette
- une ccm sur moignon metal implantaire
- une ccm sur inlay core
- une ccm a tenon.

Img 2242 2 2 v1yyou - Eugenol

RépondreCiter
Android jyzura - Eugenol
Tavéca

12/03/2013 à 12h15

Pour les curieux.

Img 2104 2 upf4zn - Eugenol
Img 2096 xhkhtk - Eugenol

Bouddha 2 wmj1zk - Eugenol
HAIG

12/03/2013 à 19h23

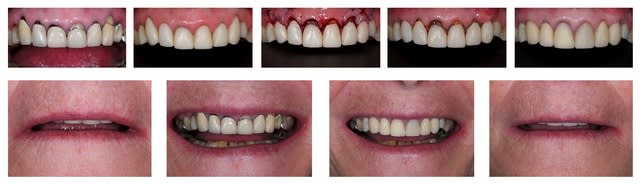
Oui la CCM a encore de beaux jours.
Jolie prepa sur la 11.

--
" Douter c'est penser et du doute vient le progrès" Descartes

HAIG d(º¿º)b


topex

16/03/2013 à 00h32

Très belles photos!

sur la 11 l'inlay core est en métal précieux ?
L'armature de la CCM 11 l'est elle aussi ?

Pour revenir au sujet "cas esthétique" , je trouve le bord libre de 11 un peu trop translucide.

Mais j'adore l'état du parodonte!

bravo


Android jyzura - Eugenol
Tavéca

16/03/2013 à 01h01

topex écrivait:
---------------
> Très belles photos!
>
> sur la 11 l'inlay core est en métal précieux ?
> L'armature de la CCM 11 l'est elle aussi ?

Certainement, j'ai en faite taillé dans une ccm à tenon que je n'arrivais pas à déposer.
La ccm est a base d'or.

> Pour revenir au sujet "cas esthétique" , je trouve le bord libre de 11 un peu
> trop translucide.

c'est vrai qu'un mimétisme parfait entre une ccm et une facette est tres difficile à obtenir.
Il est légèrement diffèrent ici.

> Mais j'adore l'état du parodonte!

la patiente y est pour beaucoup aussi.


12