Cookie Consent byPrivacyPolicies.comRéparation CCM sur fauuteuil - Eugenol

Réparation CCM sur fauuteuil

temple

20/11/2012 à 01h31

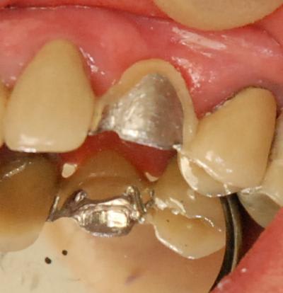
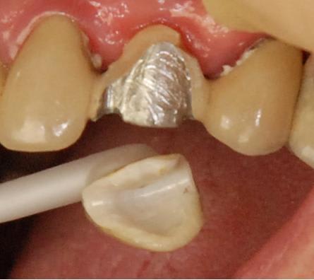
bonsoir,pourriez vous me renseigner sur la meilleure technique de réparation d'une céramique fracturée sur une centrale d'un bridge CCM complet maxillaire sur fauteuil MERCi de votre aide.


Smile beach jgh0a1 - Eugenol
Céramik

20/11/2012 à 06h35

Une facette céram !

Sinon, sablage et selon la situation (métal ou opaque exposé) il y a des kits de collage et compo.



--
Céramik


temple

20/11/2012 à 09h59

Quel kit de collage le mieux adapté ? concernant l'adhésif le xp bond de Dentsply pourrait tenir ??? je te remercie de me donner une réponse plus détaillée


Marque a3 orange fyvhyq - Eugenol
Marc Apap

20/11/2012 à 11h06

Le mieux, c'est de fraiser la couronne pour enlever toute la céramique + donner au métal une forme de dépouille et de faire une chape CCM ou CIV qui va être scellée ou collée par dessus.


Nounours 2010 002 frkvqz - Eugenol
tarin

20/11/2012 à 11h50

Marc Apap écrivait:
-------------------
> Le mieux, c'est de fraiser la couronne pour enlever toute la céramique + donner
> au métal une forme de dépouille et de faire une chape CCM ou CIV qui va être
> scellée ou collée par dessus.


Ben, c'est un bridge complet!?


Marque a3 orange fyvhyq - Eugenol
Marc Apap

20/11/2012 à 11h57

Et alors ? J'ai fait ça plusieurs fois, c'est de loin la solution la plus pérenne.


120 81 mdkvjo - Eugenol
Monaco

20/11/2012 à 12h00

Sauf si c'est un inter ..


Img 2951 flo3gr - Eugenol
molinarius

20/11/2012 à 14h50

Marc Apap écrivait:
-------------------
> Le mieux, c'est de fraiser la couronne pour enlever toute la céramique + donner
> au métal une forme de dépouille et de faire une chape CCM ou CIV qui va être
> scellée ou collée par dessus.

+1000

avis de protho .. et même sur inter ...
juste faire gaffe lors du fraisage de ne pas
chauffer de trop afin d'éviter d'étendre le problème
mais c'est de loin la meilleur des solutions ...
et une petite empreinte suffit avec la meilleur
définition possible


jeff13

20/11/2012 à 15h09

Je ne comprends pas l'idée. Vous virez le metal en proximal ou pas?


gil

20/11/2012 à 16h25

vaindiou ya du travail !!! oh mama !


060108 005 nrfjgc - Eugenol
NaFr

22/11/2012 à 16h08


valavala.....

bon.....hygiène déplorable, réfection du bridge impensable (pb paro), donc réparation de fortune en CFAO.....

--
Francis N.

R paration termin e mgxfea - Eugenol
Armature taiil e cvnwbl - Eugenol
Mise en place onlay d finitif qjtu52 - Eugenol
Onlay provisoire pe8epw - Eugenol
Onlay provisore pos  qekmq0 - Eugenol
Pose onlay d finitif dhpzfl - Eugenol

Avatar2 u3u8yh - Eugenol
riccyman

22/11/2012 à 21h38

c'est collé au Multilink ?


060108 005 nrfjgc - Eugenol
NaFr

23/11/2012 à 01h33

totalcem

--
Francis N.


temple

28/11/2012 à 03h13

pourriez vous me conseiller d'utiliser Ultradent® Porcelain Repair Kit ? thanks in advance