Cookie Consent byPrivacyPolicies.comContrôle post-op 2 ans - Eugenol

Contrôle post-op 2 ans

flicflac

21/11/2012 à 04h00

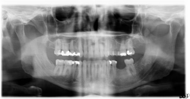
Contrôle post-op 2 ans.... reformation osseuse....
les 2 dernières radiographie sont inversées pour l'ordre chronologique

1 qpk9lh - Eugenol
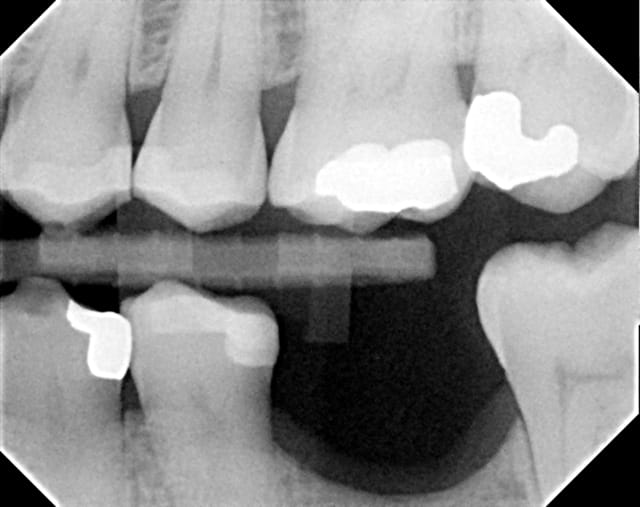
Avril 2010 i86phq - Eugenol
Avril2010 z0go6l - Eugenol
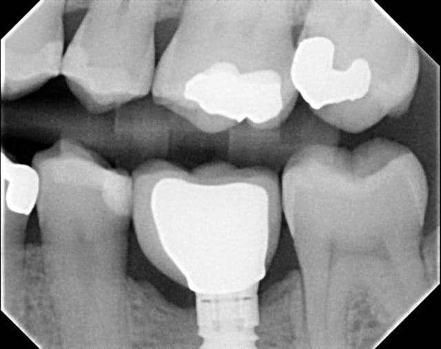
Novembre 2012 s3atpd - Eugenol
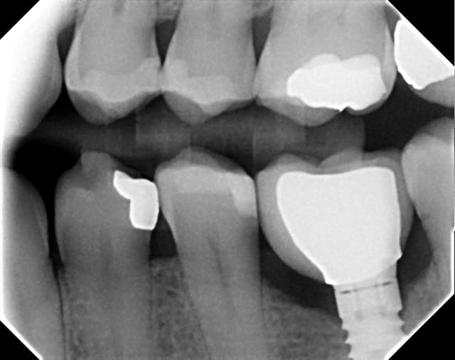
Octobre 2010 fuaz8f - Eugenol

Smile beach jgh0a1 - Eugenol
Céramik

22/11/2012 à 01h53

Nice !
et personne ne répond...
vous êtes pas gentil ;-)


--
Céramik


flicflac

22/11/2012 à 03h12

Merci Ceramik, le laserlok... pas si mal


flicflac

22/11/2012 à 03h13

je pense que mon céramiste ne supporte pas assez la porcelaine???


Smile beach jgh0a1 - Eugenol
Céramik

22/11/2012 à 04h24

En effet, il devrait y avoir des "épaules" de métal pour supporter les crêtes marginales...

Ou bien tu passes au full zircone !



--
Céramik


S2y2o1v7q53ws4r5wy6ou8czrpom - Eugenol
pxav

22/11/2012 à 08h37

une radio avec le même angle que celle de 2010, permettrait de mieux se rendre compte, et une photo pour visualiser gencive et occlusion ça permettrait peut être de mieux comprendre pourquoi le nonos va bien.

--
xbk
"Si tous ceux qui croient avoir raison n'avaient pas tort, la vérité ne serait pas loin" Dac Pierre


paradoxe

22/11/2012 à 09h17

Cool..
des hypothèses, pour tenter de comprendre (en plus du talent du praticien) ?
Hygiène extrême ? Prédisposition congénitale ? Marque de l'implant


Casque beotien a3jo39 - Eugenol
beotien

22/11/2012 à 09h34

la nature a toujours tendance a aplanir ses courbes!

en tout cas bravo


flicflac

23/11/2012 à 03h15

Pour les radio... excuse pxav... il s'agit de BW (interproximal) seul l'angulation mésio-distal change...on voit quand même un trait noirâtre entre l'os présent ert la néoformation....bravo patient mais arrête sinon la couronne va se décimenté...


flicflac

23/11/2012 à 03h16

.ceramik... toute zircone sur implant???


Smile beach jgh0a1 - Eugenol
Céramik

23/11/2012 à 04h08

flicflac écrivait:
------------------
> .ceramik... toute zircone sur implant???

Yes
2 options
1-100 % zircone transvissée
2-Connection titane et full zicone collé (hors bouche) puis transvissé



--
Céramik


flicflac

23/11/2012 à 05h26

et la 3em option
cimenté sur pilier en titane...en bouche