Cookie Consent byPrivacyPolicies.comVATECH VS PLANMECA VS MORITA - Eugenol

VATECH VS PLANMECA VS MORITA

3f3boxni50k58rq7e9ce9ddqrxgk - Eugenol
dentiste57

24/10/2013 à 01h31

juste pour le plaisir...

Dentiste mondelange implant ot55j9 - Eugenol

3f3boxni50k58rq7e9ce9ddqrxgk - Eugenol
dentiste57

24/10/2013 à 01h57

le même patient

le pauvre, il est vraiment mal tombé...



Humator t9r5wy - Eugenol
humator

24/10/2013 à 10h00

Thomas, je trouve pas l'image topissime...

--
N.Hum


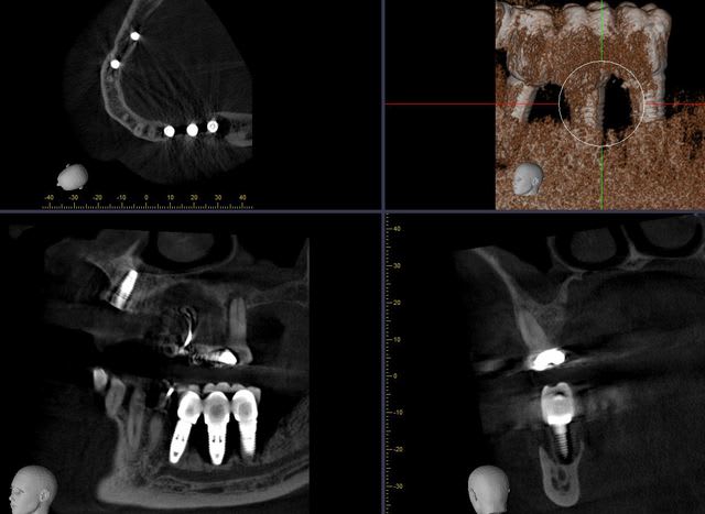
3f3boxni50k58rq7e9ce9ddqrxgk - Eugenol
dentiste57

24/10/2013 à 10h55

oui! c'est juste! mais le filtre n'était pas très bon et les réglages de départ non plus...et là, c'est pas la qualité de l'image qui est intéressante mais la position irréaliste des implants.
11 et 21 sortent à 4mm de la crête osseuse et dans la gencive libre...


et au niveau du métal , comment réagissent les autres machines ?


dcs

24/10/2013 à 14h09

Comme je l a dit depuis deux ans en m attirant les reproches de certains :Pour contrôler des implants une 2d ne suffit pas !!.
J invite donc nos nonoliens pros de l'implant , de nous faire des 3d .
Pour l irradiation , le record est détenu par la moita pour son faible taux d irradiation .Prix reçu à l adf l année dernière pour ça !


3f3boxni50k58rq7e9ce9ddqrxgk - Eugenol
dentiste57

24/10/2013 à 21h53



vous avez dis métal ?


Smile beach jgh0a1 - Eugenol
Céramik

10/02/2014 à 17h27

dentiste57 écrivait:
--------------------
>


>
> vous avez dis métal ?

Sympa
Il y a bcp de travail pour arriver a cette image ( comme enlever les artefact du métal ?)
--
Céramik


3f3boxni50k58rq7e9ce9ddqrxgk - Eugenol
dentiste57

11/02/2014 à 00h19

pratiquement aucun travail ! ça a due me prendre entre 1 et 2 secondes...


Avatar2 u3u8yh - Eugenol
riccyman

11/02/2014 à 10h08

. ^^ notre prof de DU nous disait que Morita ® , c'est la Rolls . maintenant j'imagine c'est le plus cher.


alex33

11/02/2014 à 21h07

Les prix commencent à devenir abordables
https://www.abcdent.pro/annonces/129042-vente-cone-beam-vatech-pax-duo3d


3f3boxni50k58rq7e9ce9ddqrxgk - Eugenol
dentiste57

12/02/2014 à 00h05

alex33 écrivait:
----------------
> Les prix commencent à devenir abordables
> https://www.abcdent.pro/annonces/129042-vente-cone-beam-vatech-pax-duo3d

Le prix , c'est bien. Mais 30000 pour rien voir correctement et en plus avec un petit champ ça sert à rien.

La vatech , c'est vraiment une daube ! Quand je vois les images , je rigole ...


12