Cookie Consent byPrivacyPolicies.comVATECH VS PLANMECA VS MORITA - Eugenol

VATECH VS PLANMECA VS MORITA

Avatar medium gvlehh - Eugenol
docteur.mamour

27/11/2012 à 18h48

voici deux images traitées avec simplant d'un même patient la première est faite avec un Planmeca et la seconde avec Vatech

à vos commentaires...

Molaire avec planmeca xnocuo - Eugenol
Molaire en vatech  ndhgqk - Eugenol

Blason dql7mj - Eugenol
growler

27/11/2012 à 19h46

il faut comparer en précisant les caractéristiques de la prise de vue (temps, KV) et est-on certain que le patient soit resté autant immobile durant l'un et l'autre examen ?


Avatar medium gvlehh - Eugenol
docteur.mamour

27/11/2012 à 22h27

peu importe, l'image vatech est sensiblement plus floue que planmeca, j'ai pu le constater plusieurs fois.
ici, je profite d'avoir le même patient pour montrer la différence que je vois à chaque fois.


dcs

27/11/2012 à 23h15

passe a morita c est bien mieux!


Avatar medium gvlehh - Eugenol
docteur.mamour

27/11/2012 à 23h52

Tu en as une ? Avec le champ 10x 8 ?


dcs

28/11/2012 à 00h17

oui depuis 1 an


Blason dql7mj - Eugenol
growler

28/11/2012 à 07h27

vous trouverez ici de quoi comparer les caractéristiques des différents appareils:
http://www.conebeam.com/cbctchart

Mamour, tu vas prendre lequel finalement ?


Avatar medium gvlehh - Eugenol
docteur.mamour

28/11/2012 à 11h05

merci growler pour ce lien

la morita R100 semble effectivement bien notée


Avatar medium gvlehh - Eugenol
docteur.mamour

28/11/2012 à 11h41

j' ai des coupes de chez morita
dés que je peux j'en mets de vatech

Capture morita 2 stjceh - Eugenol
Capture morita x66gah - Eugenol
Coupes morita fffknv - Eugenol

Avatar medium gvlehh - Eugenol
docteur.mamour

28/11/2012 à 12h58

voila pour vatech,
le logiciel est beaucoup plus facile d'utilisation mais la précision laisse tout de même à désirer

Capture vatech s6ple1 - Eugenol
Capture vatech1 rivm62 - Eugenol
Capture vatech2 njn6uu - Eugenol

003 penrd2 - Eugenol
Cingulum

28/11/2012 à 13h17

tu compares a partir de quoi ?
Par ce qu'en fonction du voltage et du patient les résultats entre clichés peuvent varier...
Je suis plutôt content de ma vatech moi :)



--
Dr Cingulum
-----Ancien interné----
----Attaché à l'apex----
http://www.clinic-all.fr/ formation par passion

Canine mjrawl - Eugenol
Odontomes l16ewl - Eugenol

Grueavatar nptrc9 - Eugenol
Le Choixpeau magique

28/11/2012 à 13h31

docteur.mamour écrivait:
------------------------
> j' ai des coupes de chez morita
> dés que je peux j'en mets de vatech

Sur tes images j'ai l'impression que le traitement est très poussé, attention aux algorithmes de "sharpen" qui sont avantageux visuellement mais qui ont aussi tendance à inventer des choses qui n'existent pas, c'est le même problème en 2D.


Avatar medium gvlehh - Eugenol
docteur.mamour

28/11/2012 à 14h05

non, je ne l'ai pas trop poussé, mais il est très dure à traiter correctement.


Avatar medium gvlehh - Eugenol
docteur.mamour

01/12/2012 à 22h08

bon, ben finalement, j'ai choisi Morita.

j'ai vu tourner la vatech, la planméca et la morita. et franchement, y a pas photo!


Avatar hsdnpu - Eugenol
Superted

02/12/2012 à 11h26

Sans indiscrétion, tu l.as eu à quel prix?


Avatar medium gvlehh - Eugenol
docteur.mamour

03/12/2012 à 23h49

j'espère vous montrer la prochaine fois la différence entre le cas vatech, planméca et morita.


3f3boxni50k58rq7e9ce9ddqrxgk - Eugenol
dentiste57

05/12/2012 à 00h05

comme j'ai une comparaison de ma propre tronche avec une morita r100 et un conne beam de 120 kv (position assise) j'en profite pour vous montrer la différence entre les deux au même endroit.

à vous de juger...

Capture cone beam 120kv ffse9u - Eugenol
Capture morita ja7x4o - Eugenol

3f3boxni50k58rq7e9ce9ddqrxgk - Eugenol
dentiste57

17/12/2012 à 14h09

je ne me lasse pas de mon dernier joujoux...

quel précision!

implants posée le matin même..
comme on calibrait la morita, j'en ai profité pour faire un champs 10*8

je sens que je vais apprendre à poser des implants avec les contrôles post op.

en Russie le scanner est obligatoire tout les ans à la suite d'une pose d'implant. un peu excessif mais cela permet d'avoir du recule sur la façon dont pose ses implants.

Vue implant vjiqt3 - Eugenol

antares

17/12/2012 à 20h24

Alors ça revient à combien une Morita ?
Qu'un a t il une opinion sur les cônes beam de Sirona ?


Grueavatar nptrc9 - Eugenol
Le Choixpeau magique

17/12/2012 à 23h28

Il s'appelle comment ton cone beam Thomas ?


3f3boxni50k58rq7e9ce9ddqrxgk - Eugenol
dentiste57

18/12/2012 à 01h07

http://www.moritadimtec.com/des-produits-d-exception/diagnostic-d-imagerie/veraviewepocs-3d-r100/

une 3d r100


3f3boxni50k58rq7e9ce9ddqrxgk - Eugenol
dentiste57

19/12/2012 à 14h27

c'est horrible!

je n’arrête pas de trouver des horreurs aux patients.

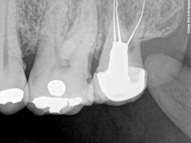
en deux jours je viens de découvrir des foyers infectieux carabinés à mes patients. des trucs qui passent complètement inaperçus avec des rétro-alvéolaires.

ici, pensez vous que ce soient les cônes d'argents qui soient en cause ?

Dr guillaumin   implantologie pawiqq - Eugenol
Guillaumin   mondelange   implants 2 u1mwiz - Eugenol

Photo pluton1b h9n4ea - Eugenol
pluton

19/12/2012 à 16h02

possible...y en a qui dépassent...
mais y a pas aussi une perfo ou une résorption interne sur la dent?
st davier, priez pour nous...;-)


3f3boxni50k58rq7e9ce9ddqrxgk - Eugenol
dentiste57

08/01/2013 à 22h17



voici un petit film réalisé à partir du wiever Morita où on voit un implant et les traitements canalaires sur les dents voisines...


3f3boxni50k58rq7e9ce9ddqrxgk - Eugenol
dentiste57

09/01/2013 à 00h43

.


12