Cookie Consent byPrivacyPolicies.comiMuco-récessions gingivales version 2.0 - Eugenol
Avatar2 u3u8yh - Eugenol
riccyman

19/01/2013 à 01h21

toujours pas de version Android?

non? Bon...

Salut ^^


Screenshot 2013 01 13 07 28 47 1 sd6bi0 - Eugenol
@polline

19/01/2013 à 08h52

Question bête ?
À quoi sert l application ?
Formation continue pour nous ?
Cas cliniques pour expliquer aux patients ?


Img 8465 fqhxid - Eugenol
noahaxeltiger-olivier

19/01/2013 à 10h28

@polline écrivait:
------------------
> À quoi sert l application ?
> Formation continue pour nous ?
> Cas cliniques pour expliquer aux patients ?

Bonjour @polline,

iMuco-recessions gingivales est une application de formation continue sur le traitement chirurgical des récessions gingivales.
Certains collègues l'utilisent aussi pour expliquer le traitement à leurs patients (photos avant, en fin de chirurgie et après). Il y a également tout un tas de recommendations post-chirurgicales.
Certaines fac aux US l'utilisent aussi comme support pédagogique.

Voilà une vidéo-démo pour que tu puisses voir à quoi ressemble l'application :


Screenshot 2013 01 13 07 28 47 1 sd6bi0 - Eugenol
@polline

19/01/2013 à 20h28

noahaxeltiger-olivier écrivait:
-------------------------------
> @polline écrivait:
> ------------------
> > À quoi sert l application ?
> > Formation continue pour nous ?
> > Cas cliniques pour expliquer aux patients ?
>
> Bonjour @polline,
>
> iMuco-recessions gingivales est une application de formation continue sur le
> traitement chirurgical des récessions gingivales.
> Certains collègues l'utilisent aussi pour expliquer le traitement à leurs
> patients (photos avant, en fin de chirurgie et après). Il y a également tout un
> tas de recommendations post-chirurgicales.
> Certaines fac aux US l'utilisent aussi comme support pédagogique.
>
> Voilà une vidéo-démo pour que tu puisses voir à quoi ressemble l'application :
>
>



Merci je venais juste d échanger mon ipad contre la tablette Samsung de mon homme....
C est donc inexploitable sans systeme Apple alors??
Et sur un cd rom vous le vendez????
Au pire Je lui emprunterai sa tablette le soir alors??? J ai hâte de tout voir!!!!
Dommage que ce soit si compliqué de faire pour android ...


Android jyzura - Eugenol
Tavéca

28/01/2013 à 13h44

noahaxeltiger-olivier écrivait:
-------------------------------
> Sympa !!
>
> Pour moi aujourd'hui, c'était un lambeau déplacé coronairement modifié multiple
> avec du mucograft.
>
> Bonne chir à tous!
>
> Amicalement
> Olivier


salut Noah,

Récemment tu avais évoqué que l’épaisseur de tissu créé avec le mucograft était moins importante qu'avec une greffe de gencive attachée classique.
il n’était donc pas un matériaux de substitution pour un conjonctif enfouis.
Tes indications ont évoluées?


Img 8465 fqhxid - Eugenol
noahaxeltiger-olivier

28/01/2013 à 20h34

Tavéca écrivait:
----------------
> salut Noah,
>
> Récemment tu avais évoqué que l’épaisseur de tissu créé avec le mucograft était
> moins importante qu'avec une greffe de gencive attachée classique.
> il n’était donc pas un matériaux de substitution pour un conjonctif enfouis.
> Tes indications ont évoluées?


Ola, ola, je crois que tu confonds un peu tout. Greffe gingivale libre et greffe de tissus conjonctif sont 2 techniques complètement différentes !!

Le mucograft a 2 indications cliniques :
- augmentation de bande de gencive attachée : il est exposé, non recouvert et se substitut alors à une greffe gingivale libre
- recouvrement radiculaire : il est recouvert par un lambeau tracté et se substitut à un tissus conjonctif enfoui.

Quand j'ai dis que l'épaisseur de tissu créé avec du Mucograft était moins importante je faisais la comparaison avec une greffe gingivale libre. C'était le cas où une augmentation de bande de gencive attachée était nécessaire avant l'augmentation osseuse par bloc en phase pré-implantaire. Dans un tel cas, je confirme que je préfère la greffe gingivale libre qui donne des résultats plus satisfaisants à mon goût.

Dans le cas que je présente ici dans ce post, il s'agit d'utiliser le Mucograft comme substitut d'une greffe de tissu conjonctif enfoui. Dans une tel cas, quand la zone à greffer est trop étendue et qu'il est difficile de prélever autant de tissu, oui, je trouve que le Mucograft est indiqué (et je n'ai pas changé d'avis sur ce point). Le résultat n'est pas meilleur qu'avec un tissus conjonctif, il n'est pas moins bon non plus.

Amicalement
Olivier


Android jyzura - Eugenol
Tavéca

28/01/2013 à 21h54

Ma phrase était peut être ambigue, mais non je ne confond pas ces deux techniques, mais par contre j'avais cru comprendre que le substituer a un conjonctif enfoui n'était pas forcement un avantage, mais il est vrai que tu parles d'augmentation crestale .


noahaxeltiger-olivier écrivait:
-------------------------------

> Le seul intérêt du mucograft, quand il se substitue à la greffe gingivale libre,
> est l'absence de suites post op pour le patient. Pour ce qui est du gain de
> gencive attaché, il est comparable en surface mais ce genre de materiau de
> substitution doit être améliorer pour préserver/augmenter le volume de tissu
> créé.
>
> > D'autres part, tu mentionnes une épaisseur plus faible bans le cas du
> mucograft,
> > pense tu malgré tout qu'il puisse représenté une bonne alternative pour les
> cas
> > de conjonctif enfouis?
>
> Le seul intérêt du mucograft, quand il se substitue à un conjonctif enfoui, est
> la taille du matériau disponible qui permet de couvrir de larges zones qu'il
> serait impossible de recouvrir avec un prelevement palatin. Aucun avantage au
> niveau des suites post op puisque le prelevement de tissu conjonctif n'est pas
> douloureux en post op pour le patient. Un inconvenient à nouveau avec les
> materiaux de substitution est le mauvais maintient/augmentation de l'epaisseur
> des tissus recréés. C'est pour cette raison que Geistlich n'a pas l'augmentation
> crestale comme indication du Mucograft.
>
> Ayant commencé à utiliser Mucograft en testeur pour Geistlich il y a plus de 4
> ans maintenant, je serais surpris qu'une version améliorée de ce materiau ne
> vienne sous peu combler les manques du materiau que l'on connait aujourd'hui.
> Affaire à suivre....


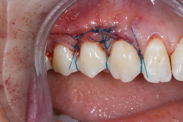
 mg 0207 xwjxcl - Eugenol
Tillc

08/03/2013 à 13h20

Pour boucler un fils commencé un peu plus haut voila la cicat.
Tunnel+ conjonctif tracté

Img 1725 ucxbs7 - Eugenol
Img 1743 dapqfw - Eugenol
Img 1809 yb92go - Eugenol

Android jyzura - Eugenol
Tavéca

08/03/2013 à 14h37

Joli cas.
Mais si je peux me permettre le recouvrement est incomplet même si récession était assez importante sur la 14 .
Il est dommage de ne pas avoir englober le récession débutante sur la 12.
Je n'aurais pas osé dans ce cas faire cette technique et aurait préféré une greffe de gencive libre puis un LTC, certes moins esthétique et plus longue mais plus pérenne AMHA en regard de la 14.
toutefois je ne connais pas le désir du patient et je trouve le résultat assez satisfaisant.

Tu as mis un conjonctif ou du mucograft?


HansHelder

09/03/2013 à 10h57

superbe tillc!

a croire que tu as fait un "copie-colle"


 mg 0207 xwjxcl - Eugenol
Tillc

26/03/2013 à 17h57

Tavéca écrivait:
----------------
> Joli cas.
> Mais si je peux me permettre le recouvrement est incomplet même si récession
> était assez importante sur la 14 .
> Il est dommage de ne pas avoir englober le récession débutante sur la 12.
> Je n'aurais pas osé dans ce cas faire cette technique et aurait préféré une
> greffe de gencive libre puis un LTC, certes moins esthétique et plus longue mais
> plus pérenne AMHA en regard de la 14.
> toutefois je ne connais pas le désir du patient et je trouve le résultat assez
> satisfaisant.
>
> Tu as mis un conjonctif ou du mucograft?

Moi aussi un peu decu sur la 14 parce que pas de recouvrement a 100% mais bon la patiente survivra a ca.
La GGL n'a d'interet que si il n'existe pas de GA. Or j'en ai un petit peu donc un lambeau tracté reste le meilleurs choix. Concernant l'esthetique n'en parlons pas...

La demande de la patiente ne concernait pas la 12 . Le demande majeure etait esthetique. Mon indication etait une freinectomie et une amelioration de l'anatomie pour faciliter le brossage.
J'ai utilité du conjonctif . Le muccograft ca coute trop chere!!!


Img 8465 fqhxid - Eugenol
noahaxeltiger-olivier

26/03/2013 à 18h29

Tillc écrivait:
---------------
> Pour boucler un fils commencé un peu plus haut voila la cicat.
> Tunnel+ conjonctif tracté

Wachtel serait content! Jolies sutures double crossed ;-))
C'est un tunnel ou un LDC que tu as fait Tillc ?


Logocolornotext kiwlk1 - Eugenol
Clio

27/03/2013 à 15h34

Salut Olivier, je comprends ce que veut dire Tilc.
Tunel car pas de lambeau a proprement parlé, puis LDC car traction de l'ensemble en direction corronaire.
J'ai fait la même chose, grace à tes précieux conseils.
Mais pour toi il s'agit certainement d'une erreur de terminologie non?

(ps: la dernière photo est à + 2ans )

Img 6444 ftxtdt - Eugenol
Img 6445 nfl76o - Eugenol
Img 6447 rkmldx - Eugenol
Img 7127 weu05p - Eugenol

 mg 0207 xwjxcl - Eugenol
Tillc

27/03/2013 à 18h54

J'ai opté pour un un tunnel "classique" Olivier sauf que j'ai décollé les papilles assez haute pour que ma ligne de réflexion muqueuse ne gène pas lors de la traction . De cette manière j’évite aussi un petit bourrelet au milieu de la papille qui n'est pas toujours esthétique..
Ce qui a guidé mon choix c'est principalement les papilles larges et une recession large plus simple d'acces pour glisser le conjonctif en dessous


Ulysse 31 nono le petit robot tjdbmb - Eugenol
ptitrobot

27/03/2013 à 19h12

noahaxeltiger-olivier écrivait:
-------------------------------
>>
> Dans le cas que je présente ici dans ce post, il s'agit d'utiliser le Mucograft
> comme substitut d'une greffe de tissu conjonctif enfoui. Dans une tel cas, quand
> la zone à greffer est trop étendue et qu'il est difficile de prélever autant de
> tissu, oui, je trouve que le Mucograft est indiqué (et je n'ai pas changé d'avis
> sur ce point). Le résultat n'est pas meilleur qu'avec un tissus conjonctif, il
> n'est pas moins bon non plus.
>
> Amicalement
> Olivier

Bonjour Olivier,
merci pour ton "i-mucco" qui est remarquable.
Connais-tu le mucoderm de chez TLB ?


Grumpy cat ifik8s - Eugenol
radich_a_tord

27/03/2013 à 21h05

G-P écrivait:
-------------
> Mais euh :(
> J'ai que des périphériques android moi, je vais quand même pas acheter Apple !

+1 Je me prive de cette superbe application car je n'ai pas et je ne veux pas de périphérique Apple. C'est vraiment dommage de votre part de ne même pas envisager un portage Android, au vu des parts de marché Samsung/GooglePlay.


Img 8465 fqhxid - Eugenol
noahaxeltiger-olivier

27/03/2013 à 23h16

Clio écrivait:
--------------
> Salut Olivier, je comprends ce que veut dire Tilc.
> Tunel car pas de lambeau a proprement parlé, puis LDC car traction de l'ensemble
> en direction corronaire.
> J'ai fait la même chose, grace à tes précieux conseils.
> Mais pour toi il s'agit certainement d'une erreur de terminologie non?
>
> (ps: la dernière photo est à + 2ans )

Tout à fait Sylvain.
Dis moi, c'est quoi ces fils ?? Je pense pas avoir recommander ce genre de matériel de suture ;-)))


Tillc écrivait:
---------------
> J'ai opté pour un un tunnel "classique" Olivier sauf que j'ai décollé les
> papilles assez haute pour que ma ligne de réflexion muqueuse ne gène pas lors de
> la traction . De cette manière j’évite aussi un petit bourrelet au milieu de la
> papille qui n'est pas toujours esthétique..
> Ce qui a guidé mon choix c'est principalement les papilles larges et une
> recession large plus simple d'acces pour glisser le conjonctif en dessous

La technique de tunnélisation est utilisée avec de très bons résultats par Aroca, Sculean, Zuhr, Hürzeler. La traction coronaire des tissus gingivaux est indispensable pour optimiser au maximum le recouvrement radiculaire.
Le recouvrement radiculaire doit en effet être surcorrigé (1 à 2 mm) pour compenser la contraction tissulaire qui est inévitable.
C'est justement ce surcorrigé qui est très difficile à obtenir avec la technique du tunnel. Il existe des techniques de sutures que Sculean et Zuhr utilisent afin de gérer tout ça, mais vous ne semblez pas les utiliser. L'inconvenient est que ce tracté coronaire entraine très souvent un volume papillaire trop important et un plissé tissulaire qui esthétiquement peut être préjudiciable.

En terme d'analyse de résultat, une chirugie mucogingivale de recouvrement radiculaire n'est considérée comme un succÈs uniquement quand 100% de la récession est recouverte. Même si un recouvrement de 80-90% peut être considéré dans certains cas comme un très bon résultat, c'est par le patient considéré comme un échec complet si les 10% de racine non recouverte sont toujours sensibles ou si le joint dentoprothéique est toujours visible !
Les récessions que Tillc et Clio ont opéré auraient dû être totalement recouvertes. Et cela était parfaitement prévisible si un LDC modifié avait été pratiqué.

J'ai pratiqué toutes ces techniques chirurgicales de très nombreuses fois et je recommande largement d'utiliser le LDC modifié plutôt que la technique du tunnel.
Il y a toujours dans notre profession une tendance par certains de préconiser des techniques difficiles et de faire croire que la gestion de certains problèmes n'est pas à la porté de tout chirurgien dentiste. La technique du tunnel en est un parfait exemple. À résultat équivalent et en terme de compléxité d'exécution sur une échelle de 0 à 10 (où 0 est le plus simple et 10 le plus compliqué), la tunnélisation est un 8 alors que le LDC modifié est un 5.
Je ne comprends donc pas Aroca, Sculean et Hürzeler sur ce point. Je rejoins sur ce point Zucchelli.

Faite simple et tout ira beaucoup mieux !!

ptitrobot écrivait:
-------------------
> Bonjour Olivier,
> merci pour ton "i-mucco" qui est remarquable.
> Connais-tu le mucoderm de chez TLB ?

Merci ptitrobot. Frédéric et moi-même sommes très contents de lire ce genre de feed-back !
Je connais et aies aussi utilisé Mucoderm de chez Botiss. Son utilisation a les même indications que Mucograft ou un greffon de tissus conjonctif. L'inconvénient de Mucoderm est sa rigidité. Il est primordial de bien imbibé Mucoderm dans du sang prélevé sur le patient afin de rendre cette "membrane" maléable et non traumatisante pour des tissus bien souvent très fins.

radich_a_tord écrivait:
-----------------------
> +1 Je me prive de cette superbe application car je n'ai pas et je ne veux pas de
> périphérique Apple. C'est vraiment dommage de votre part de ne même pas
> envisager un portage Android, au vu des parts de marché Samsung/GooglePlay.

Cher radich-a-tord, je comprends ta frustration ;-)) Mais tu ne sembles pas avoir la moindre idée du boulot que cela représente. Si c'était aussi simple que ça, nous l'aurions fait depuis le début.
Je t'invite à investir sans plus attendre dans un iPad pour acquérir iMuco, parce que Frederic et moi vous réservons de nouvelles surprises dans peu de temps !!!


Avatar transparent iqadnc - Eugenol
adhoc

28/03/2013 à 01h22

Pour visualiser l'appli d'olivier sur pc/zindowz

- télécharger/installer itunes64.exe ou itunes.exe selon la version 64 ou 32 bits
-taper dans le navigateur chrome l'adresse
http://ipad-emulator.org/
vous etes alors sur du mac emulé
-taper alors l'adresse correspondant a l'appli d'olivier
*https://itunes.apple.com/fr/app/imuco-gingival-recessions/id480170333?l=en&mt=8
-cliquer sur le lien acheter sur itunes. Un avertissement d'une application tierce va s'ouvrir. Accepter.
Un compte "apple " est demandé. Bon, il va falloir etre patient... choisir un mot de passe avec au moins une lettre minucule, une lettre majuscule et un nombre, 8 chars mini.
Remplir les questions a la c...
- renseignements a remplir pour la validation du compte itunes, apparemment, et c'est vraiment complètement idiot, paypal n'est pas admis, donc CB.

Voila, c'est le monde apple store, comme il existe le monde google store (a racheté android), ou nokia store.
Bienvenue au XXIsiecle. Je prefere le XX avec ibazar, pardon ebay ou les moyens de paiement 'paypal', c trop de la balle!


Vraiment, olivier, tu devrais mettre ton appli en langage internet universel (php, javascript, flash, non finalement, pas flash, android 4.2 bof pour le flash)) en plus de apple store. Tu ferais pareil, une procedure d'inscription avec pass dynamique, et cela serait visible sur toutes les autres plate formes... Je comprends que passer a l'android ou symbian, cela soit galère!


HansHelder

28/03/2013 à 11h17

hello

j'ai recu une proforma de hu friedy, a propos de la liste du materiel conseille dans l'application.

bilan : 1700 euros pour une premiere boite d'instruments.

pourquoi ce choix de marque ? qui offre certe du materiel de qualite, mais on peut pas avoir le meme materiel pour moins que cela ?

surtout si on veut avoir 3 boite d'instruments pret en stock


 mg 0207 xwjxcl - Eugenol
Tillc

28/03/2013 à 11h52

C'est vrai que Hue friedy c'est pas donné... Tu me diras mes instruments sont soit Dexter/Stoma. C'est pas vraiment moins chere. Si tu peux pas te le permettre achete moins chere !
C'est comme tout investissement calcul si tu le rentabilises

Bon Olivier j'ai le meme cas en avril je vais tenter un LDC modifié on va voir...

Img 1726 te2mhn - Eugenol

Img 8465 fqhxid - Eugenol
noahaxeltiger-olivier

28/03/2013 à 20h24

Effectivement HansHelder, les instruments HuFriedy sont onéreux et tu peux certainement trouver moins cher.
Je ne l'ai pas choisi pour le prix mais pour leur qualité ;-))

Pour ceux qui n'ont pas l'application iMuco et qui souhaiteraient connaitre la liste des instruments proposés, il n'y a aucun secret et vous trouverez là le lien vers ce kit iMuco :
http://education.hu-friedy.de/fileadmin/education_pdf/caracuac-imuco_sell_sheet.pdf

Kit carcuac imuco v5nqne - Eugenol

HansHelder

29/03/2013 à 18h03

en fait ma question n'etait pas, a premiere intention de faire des economies, mais de justifier la qualité, le choix des instruments, par rapport a d'autres marques.

- conception ?

- resistance a la sterilisation ?

- anti rouille ?

- meilleure adherence aux doigts du chirurgien ?

car je pense que pour ce genre de chirurgie, les connaissances en paro, la dextérité et l'experience, sont au devant de la marque d'instrument.

En fait sans trop polemique je me refuse d'acheter en chirurgie cher pour de la marque, mais pour des arguments utiles, fondees pratique dans le geste chirurgical, ou peut etre de resistance a 135 degres celsius.....mais ca je crois que tous ont cet argument

enfin ce n'est qu'un avis

superbe application entre autre.


P.S. : desole pour le clavier qwerty j'en perds mon accent


flicflac

29/03/2013 à 23h29

Il me semble qu'entechnique tunnel il a été dit de ne pas décollé les papilles.
Dans les 2 cas montrés, la technique de sutures ne correspond pas à celle d'Imuco.
Tillc a joint les dents et fait des sutures double...
en technique tunnel les dents ne sont pas jumelées, ce n'est que la surface buccale inter-papillaires qui est soulevé.
Dans les deux cas, tel que dit précédemment on a toujours un certain niveau de récession


 mg 0207 xwjxcl - Eugenol
Tillc

30/03/2013 à 00h08

lLa technique tunnel que j ai utlise est celle qu on m a enseigne ( etienne/aroca/bouchard) avec traction et decollement des papilles . apres c est vrai qu elle n est pas identique a celle d imucco.
Tout comme j ai une technique legerement differente pour les ggl que celle presentee.
Concernant la legere recidive je pense qu elle est plus la consequence de mon inexperience que d un defaut de technique


Img 8465 fqhxid - Eugenol
noahaxeltiger-olivier

30/03/2013 à 00h15

HansHelder, que tu utilises des instruments HuFriedy, Mamadent, Stoma ou autres n'a effectivement pas une grande importance.
L'important est par contre que ces instruments soient des instruments de microchirurgie te permettant de manipuler les tissus gingivaux, souvent très fins, de façon la plus atraumatique possible.

Travailler avec des instruments microchirgicaux n'est pas un luxe qd on doit faire ce type de chirurgie mais un atout. Les techniques chirugicales sont beaucoup plus facilement réalisables avec ce type d'instrumentation.
Continuer avec des lames 15 classiques et suturer avec du Vicryl 4/0 c'est ce compliquer la tache et augmenter les risques d'échec. Moi en tout cas, je ne sais pas faire !