Cookie Consent byPrivacyPolicies.comComment ingresser la 11? - Eugenol

Comment ingresser la 11?

Android jyzura - Eugenol
Tavéca

05/12/2012 à 15h41

J'aimerais via un dispositif simple ingresser de 2 mm env. la 11. Idéalement a partir de la 21 avec une prov quand l'implant sera osteo-integrer ou via des mini implants ou un arc en dernier recours mais sans bracket.
Des idées?
Merci

A nrk70m - Eugenol
B g3stwu - Eugenol

1309531 ours brun n5iukf - Eugenol
seespan

05/12/2012 à 16h07

Je vais dire une bétise mais pourquoi tu ne fais pas endo couronne.

Pour l'esthétique c'est top car sa te permet de couronner les deux central même temps donc tu est sur d'avoir les même teinte.
Pour la 11 tu dois certe dévitalisé mais ça t'assure un rapport racine couronne plus favorable.

Pour l'ingrésion, normalement l'os va suivre la racine ce qui signifie que tu risque de créer un défaut osseux en regarde de 12, la gencive risque de décendre aussi et ton rapport racine couronne sera pas top. Ce qui veut aussi dire que la dent aura tendance a procliner facilement dans le future (centre de résitance bas)

J'ai vue une étude dans un journal de paro ou ils ont montré que l'on pouvais dans une certaine mesure rentrer une incisive dans l'os par ingréssion mais seulement si c'est associé a une chirurgie parodontal près traitement orto.

Sinon si tu veux tenter attend les conseils de Dancha il est très fort sur ce genre de cas et un danchemon serait indiqué.
Juste question l'occlusion niveau incisive est comment ? Deep bite ? Une photo en oclusion de face et coté possible ?

--
หมอจัดฟัน


paradoxe

05/12/2012 à 16h39

seespan écrivait:
-----------------
> Je vais dire une bétise mais pourquoi tu ne fais pas endo couronne.
+1
le parodonte va suivre la 11, ... et c'est pas bon du tout.
Tu vas enfermer une poche, et le résultat esthétique risque d'être décevant.



G-P

05/12/2012 à 17h02

La hauteur à corriger est faible, ici je ferais une facette. Surtout pas d'ingression dans un cas paro comme celui-ci.


Img 1744 z0evts - Eugenol
dumaille

05/12/2012 à 20h27

Tavéca écrivait:
----------------
> J'aimerais via un dispositif simple ingresser de 2 mm env. la 11. Idéalement a
> partir de la 21 avec une prov quand l'implant sera osteo-integrer ou via des
> mini implants ou un arc en dernier recours mais sans bracket.
> Des idées?
> Merci

rien à voir mais tu utilises souvent les vis de cicat antérieur sur ankylos?
qu'elles sont les aventages pour toi.
--
La vie est une fête!


Smile beach jgh0a1 - Eugenol
Céramik

06/12/2012 à 06h23

La solution est simple, un 2e implant pour la 11





--
Céramik


1309531 ours brun n5iukf - Eugenol
seespan

06/12/2012 à 11h51

Dans ce cas l'implant sur la 11 pas faire il faut.
Entre 11 et 21 la gencive interpapillaire trop basse elle sera.
Si tu garde la 11 la gencive interpapillaire sera soutenu en mésial et distal de l'implant par une dent.



--
หมอจัดฟัน


paradoxe

06/12/2012 à 14h00

seespan écrivait:
-----------------
> Dans ce cas l'implant sur la 11 pas faire il faut.
> Entre 11 et 21 la gencive interpapillaire trop basse elle sera.
> Si tu garde la 11 la gencive interpapillaire sera soutenu en mésial et distal de
> l'implant par une dent.
Re +1
Trés chiant à corriger esthétiquement.


1309531 ours brun n5iukf - Eugenol
seespan

06/12/2012 à 14h24

paradoxe écrivait:
------------------

> Trés chiant à corriger esthétiquement.

Trois heure et demis de conférence sur la gestion de l'espace interpapillaire dans le secteur antérieur par le Pr Kan. Forcément on en retient quelque chose.
Mis a part qu'au US 8 mois d'ortho ça peut se facturer 5000$
Le BIS c'est bien

--
หมอจัดฟัน


Img 1744 z0evts - Eugenol
dumaille

07/12/2012 à 12h53

une erreur pardon
--
La vie est une fête!


1 eugenol dmj5np - Eugenol
Dancha

07/12/2012 à 17h56

Tavéca écrivait:
----------------
> J'aimerais via un dispositif simple ingresser de 2 mm env. la 11. Idéalement a
> partir de la 21 avec une prov quand l'implant sera osteo-integrer ou via des
> mini implants ou un arc en dernier recours mais sans bracket.
> Des idées?
> Merci

seespan écrivait:
-----------------
..
> J'ai vu une étude dans un journal de paro ou ils ont montré que l'on pouvait
> dans une certaine mesure rentrer une incisive dans l'os par ingression mais
> seulement si c'est associé à une chirurgie parodontale..
>

Oui, l'expérience montre qu'on peut "rentrer" des dents dans l'os, mais il est inexact de dire qu'il faut obligatoirement associer une chirurgie. Il faut par contre une force très légère et constante.
Tu peux faire ça ici sans braquets, cela ne me paraît tout à fait possible de différentes façons. Quand tu auras mis en place ta provisoire, fais des photos et on pourra en discuter.

Daniel


Img 1744 z0evts - Eugenol
dumaille

07/12/2012 à 20h39

si d'autres utilisateurs d'ankylos veulent répondre.


--
La vie est une fête!


Android jyzura - Eugenol
Tavéca

10/12/2012 à 16h03

dumaille écrivait:
------------------
>
> rien à voir mais tu utilises souvent les vis de cicat antérieur sur ankylos?
> qu'elles sont les aventages pour toi.
> --
> La vie est une fête!

Salut dumaille,
J'utilise que celles ci en ant. comme en post.
la prothétique étant un élément embêtant chez ankylos les vis balance me permettent de mieux gérer la future émergence.
En plus au niveau stock , c'est beaucoup plus facile a gérer.
Enfin si tu veux les fraiser ou les personnaliser pour modeler ta gencive pendant la phase de cicatrisation , tu peux et ensuite tu peux les positionner comme tu le souhaites.

Dsc 5384 jvynur - Eugenol
Q3 df9hw5 - Eugenol
Dsc 6081 qhlsym - Eugenol

Coyote hfbg68 - Eugenol
coyote32

10/12/2012 à 16h29

Tavéca écrivait:
----------------
> J'aimerais via un dispositif simple ingresser de 2 mm env. la 11. Idéalement a
> partir de la 21 avec une prov quand l'implant sera osteo-integrer ou via des
> mini implants ou un arc en dernier recours mais sans bracket.
> Des idées?
> Merci

"a pas peur" la 11 ne résistera pas longtemps implant d'entrée de jeux aurait été le mieux il me semble, c'est sur quelque fois le gout bloque le patient mais au vue de la radio chaud chaud les marrons , bon c'est noël c’était facile!!!!!!!!!
--
un bip bip à tous


Android jyzura - Eugenol
Tavéca

10/12/2012 à 16h58

Merci pour vos réponses.
Bien sur on pourrait envisager les méthode traditionnelles prothétiques (CCC ou facette) voir implantaire. Voir même des techniques de préservation/création papillaire.

mais ici ci la demande esthétique est relative et les possibilité financières limitées.

La patiente me demande de "limer"sa dent! Me décrivant comme un dentiste plutôt moderne(du moins au niveau du matos ;) )je me dit qu'il a autre chose a faire que de sortir sa turbine ou son davier.

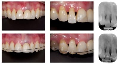
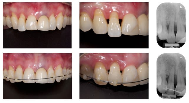
Le support paro est stable depuis 3 ans et la maintenance parfaite. je pense ici qu'un traitement ortho serait une bonne solution. j'ai déjà effectué un traitement similaire sur une 12 égressé ( confère photo ci-joint) et même si comme certain l'ont décrit, on a quelques aléas a cette méthode, ca vaut le coup d'essayer.
Merci dancha d'intervenir, j'avoue que j’espérerai bien que ce cas te face sortir de ta tanière et tes conseils sur eugenol m'avaient bien aidé pour réaliser le traitement ci-dessous.

J'avais dans l'idée d'intégrer a ma futur prov sur 21 un dispositif d'ingression.
J'attends vos remarques.

A nwrroh - Eugenol

Android jyzura - Eugenol
Tavéca

10/12/2012 à 17h00

coyote32 écrivait:
------------------
> Tavéca écrivait:
> ----------------
> > J'aimerais via un dispositif simple ingresser de 2 mm env. la 11. Idéalement a
> > partir de la 21 avec une prov quand l'implant sera osteo-integrer ou via des
> > mini implants ou un arc en dernier recours mais sans bracket.
> > Des idées?
> > Merci
>
> "a pas peur" la 11 ne résistera pas longtemps implant d'entrée de jeux aurait
> été le mieux il me semble, c'est sur quelque fois le gout bloque le patient
> mais au vue de la radio chaud chaud les marrons , bon c'est noël c’était
> facile!!!!!!!!!
> --
> un bip bip à tous

Elle est en pleine forme cette 11, pas de mobilité un bel os, je vais essayer de la garder, sinon si ça marche pas, ben on l’enlèvera, en attendant je vais lui laisser sa chance.


1309531 ours brun n5iukf - Eugenol
seespan

10/12/2012 à 17h10


Pour l'articles sur l'ingression et traitement paro, c'est assez logique en fait, pour espérer faire rentrer la dent dans l'os il faut recréer le ligament desmondontal dans une zone ou il avait disparut. Donc faire un traitement de surface avec d'ingresser semble logique.

Si vous tener vraiment a extraire cette dents faut l'egresser avant ! au moins vous aller recrer un volume osseux.

Mais la un traitement similaire a ce que vous avez déja fait semble parfaitement adapté.
--
หมอจัดฟัน


Smile beach jgh0a1 - Eugenol
Céramik

11/12/2012 à 01h18

seespan écrivait:
-----------------
> Dans ce cas l'implant sur la 11 pas faire il faut.
> Entre 11 et 21 la gencive interpapillaire trop basse elle sera.
> Si tu garde la 11 la gencive interpapillaire sera soutenu en mésial et distal de
> l'implant par une dent.


Sauf votre respect, il n'y a actuellement aucune papille en mésial de la 11.
Cette dent est parodontalement parlant plutôt môche.

Avec une couronne sur l'implant 21 et une dent 11 tel-quel, ça sera pas beau

L'implant choisi est très bien, connection sous crestal stable.
Il y a amplement d'espace inter-implants pour placer un autre Ankylos et avoir au final quelque chose de bien plus stable que cette dent 11.

Au final, la papillie risque d'^tre limite entre la 11 et la 21, mais pas pire qu'actuellement. Sinon, exo de la 12 et bridge sur implants 12-X-21.

Ou encore, pourquoi avoir placé en 21 avec une tel 11 et se poser la question après pour gérer la 11 ? Fallait enlever 12+11+22 et poser en 12 et 22...

Il y a surement encore d'autres options...
bridge 12-11-X-22 tout céram ?


--
Céramik


1309531 ours brun n5iukf - Eugenol
seespan

11/12/2012 à 02h39

Une autre option est égression de la 11, traitement endo et couronne. L'extrusion permettra de créer une lamelle d'os en distal de 11 qui soutiendra la gencive interpapillaire en regard de 21.
Le traitement endo + couronne permet de récupérer un rapport racine dans l'os/ dent hors de l'os plus favorable pour le long terme.
Si le terrain paro est stable ça peut être une bonne option.
L'avantage c'est que tant que vous avez la racines vous pouver recréer de l'os durablement par mouvement ortho, ce qui dans le secteur antérieure est un atout non négligeable.

Une fois que vous avez posé un implant la situation est fixée.


--
หมอจัดฟัน


Aiguille cyboyt - Eugenol
fatboy

11/12/2012 à 14h57

Céramik écrivait:
-----------------
Sinon, exo de la 12 et bridge sur implants 12-X-21.
>
> Ou encore, pourquoi avoir placé en 21 avec une tel 11 et se poser la question
> après pour gérer la 11 ? Fallait enlever 12+11+22 et poser en 12 et 22...


Ta solution est certainement très bonne, mais je t'avoue que j'aurais beaucoup de mal a proposer ça a une patiente qui vient pour qu'on lui remplace la 21.
Je reste dans l'idée que les implants sont un formidable moyen d'économie tissulaire, la tu arrives a virer 3 dents saines (bon ok, la 11 est pas toute jeune mais il n'y a pas de pathologie active) pour en remplacer une.
Pour moi, ça aurait été une facette sur 11 épicétou


Bazaruto 2007 ircsez - Eugenol
jumpingjackflash

11/12/2012 à 16h11

l'aspect de la gencive en vestibulaire de la 11 me fait penser que l'os est fin et cortical , je ne ferais surtout pas d'ortho sur cette dent et je solutonnerai le problème esthétique par un facette céramique


Android jyzura - Eugenol
Tavéca

11/12/2012 à 16h32

jumpingjackflash écrivait:
--------------------------
> l'aspect de la gencive en vestibulaire de la 11 me fait penser que l'os est fin
> et cortical , je ne ferais surtout pas d'ortho sur cette dent

Pourquoi si c'est une ingression ?



et je solutonnerai
> le problème esthétique par un facette céramique

Bien sur c'est facile etplus rapide comme un implant, mais sur une dent saine, on peut raisonnablement se poser la question d'une alternative économe en tissus dentaire et donc plus pérenne.


Android jyzura - Eugenol
Tavéca

11/12/2012 à 16h47

Céramik écrivait:
-----------------
> seespan écrivait:
> -----------------
> > Dans ce cas l'implant sur la 11 pas faire il faut.
> > Entre 11 et 21 la gencive interpapillaire trop basse elle sera.
> > Si tu garde la 11 la gencive interpapillaire sera soutenu en mésial et distal
> de
> > l'implant par une dent.
>
>
> Sauf votre respect, il n'y a actuellement aucune papille en mésial de la 11.
> Cette dent est parodontalement parlant plutôt môche.
>
> Avec une couronne sur l'implant 21 et une dent 11 tel-quel, ça sera pas beau
>
> L'implant choisi est très bien, connection sous crestal stable.
> Il y a amplement d'espace inter-implants pour placer un autre Ankylos et avoir
> au final quelque chose de bien plus stable que cette dent 11.
>
> Au final, la papillie risque d'^tre limite entre la 11 et la 21, mais pas pire
> qu'actuellement. Sinon, exo de la 12 et bridge sur implants 12-X-21.
>
> Ou encore, pourquoi avoir placé en 21 avec une tel 11 et se poser la question
> après pour gérer la 11 ? Fallait enlever 12+11+22 et poser en 12 et 22...
>
> Il y a surement encore d'autres options...
> bridge 12-11-X-22 tout céram ?
>
>
> --
> Céramik

Il il a une perte papillaire généralise maxillaire du fait d'une lyse osseuse horizontale generalisé consécutive a une parodontite stabilisé depuis, et vous, vous voulez mettre une papille entre 11 et 21 ?

Non, alors on refait de 12 a 22, oui comme ça c'est plus facile:
- blanchiment bi-maxillaire en vue réhabilitation esthétique globale
- facette 12-22
- implant 11-21 avec greffe osseuse vestibulaire post-extractionnelle sur 11 et conjonctif pédiculé palatin, moignon usiné cad/cam zircone, et couronne full ceram emax.

On fait le bas Madame...


Mais Monsieur le dentiste moi je demande juste si on peut raccourcir ma dent en plus de remplacer celle d’à coté?

Excusé moi Mme Normal, je m’étais perdu dans mes pensées.

Bon, evidemment on peut faire beaucoup de chose, mais le soucis c'est garder cette 11, car elle est saine.
Etre moderne ici c'est comment ingressé cette 11.

Apres si soucis, alors là, on sort le bazouka!




Smile beach jgh0a1 - Eugenol
Céramik

12/12/2012 à 03h05

fatboy écrivait:
----------------
> Céramik écrivait:
> -----------------
> Sinon, exo de la 12 et bridge sur implants 12-X-21.
> >
> > Ou encore, pourquoi avoir placé en 21 avec une tel 11 et se poser la question
> > après pour gérer la 11 ? Fallait enlever 12+11+22 et poser en 12 et 22...
>
>
> Ta solution est certainement très bonne, mais je t'avoue que j'aurais beaucoup
> de mal a proposer ça a une patiente qui vient pour qu'on lui remplace la 21.
> Je reste dans l'idée que les implants sont un formidable moyen d'économie
> tissulaire, la tu arrives a virer 3 dents saines (bon ok, la 11 est pas toute
> jeune mais il n'y a pas de pathologie active) pour en remplacer une.
> Pour moi, ça aurait été une facette sur 11 épicétou


c'est du 2e niveau...


--
Céramik


1309531 ours brun n5iukf - Eugenol
seespan

12/12/2012 à 04h50

Céramik écrivait:
-----------------

> c'est du 2e niveau...

C'est la crise ne France Céramik, laisse nous rêver un peut...

Quelque part dans un pays très lointains, l'on peut pratiquer une dentisterie différente, une dentisterie ou plus on place d'implant mieux c'est.

Ben oui pour te dire le niveau de la crise, le Quebec c'est le rêve et l'exotisme sur eugénol...


--
หมอจัดฟัน


12