Cookie Consent byPrivacyPolicies.comComment ingresser la 11? - Eugenol

Comment ingresser la 11?

inset

27/02/2013 à 14h15

si l'ingression de la 11 est toujours d'actualité ci joint un dispositif a appliquer uniquement sur la 11.

vous aurez besoin d'un bout de fil 19*25 acier
et une minivis.


refrence:
Clinical Application of Orthodontic Mini-implant
Tae-Woo Kim DDS, MSD, PHD

2 t9qzx8 - Eugenol
1 xms8sp - Eugenol

1309531 ours brun n5iukf - Eugenol
seespan

27/02/2013 à 14h32


Marrant ce dispositif je l'avais vue pour ingresser une molaire, présenter par un australien :-) . Ils sont trop fort ces Australiens.
--
หมอจัดฟัน


Android jyzura - Eugenol
Tavéca

01/05/2013 à 16h55

inset écrivait:
---------------
> si l'ingression de la 11 est toujours d'actualité ci joint un dispositif a
> appliquer uniquement sur la 11.
>
> vous aurez besoin d'un bout de fil 19*25 acier
> et une minivis.
>
>
> refrence:
> Clinical Application of Orthodontic Mini-implant
> Tae-Woo Kim DDS, MSD, PHD


Merci pour ces informations tres intéressantes.
On a concocté avec mon prothésiste un petit système.
je montrerai le cas une fois fini.


jt2000

01/05/2013 à 23h27

bonjour
pourquoi pas une minivis entre 11 et 12
tu pourrais tirer sur la 11 depuis la minivis et la tete de l'implant avec 2 chainettes élasto.
il manquerait sur la 11 une butée en composite type minimold
(que tu peux fabriquer avec un séparateur orthodontique)
(il faut la placer ou tu mettrais ton bracket et pas comme sur le dessin)

après pour l'axe de la 11 je sais pas ce que ca donnera mais ca marchera.

Capture d  cran 2013 05 01   21.21 - Eugenol

jt2000

01/05/2013 à 23h33

re bonjour

ou plus simple encore tu met la minivis entre 11 et 12 en palatin et tu fais le hamac depuis limplant sur la 11 avec une chainette élasto (comme pour les 6)


jt2000

01/05/2013 à 23h33

re bonjour

ou plus simple encore tu met la minivis entre 11 et 12 en palatin et tu fais le hamac depuis limplant sur la 11 avec une chainette élasto (comme pour les 6)

Capture d  cran 2013 05 01   21.33 - Eugenol

1309531 ours brun n5iukf - Eugenol
seespan

02/05/2013 à 06h00

Attention dans le cas présenter par inset il s'agit d'une class II division II dans ce cas on veut obtenir une protrusion des incisives centrales donc le dispositif est parfaitement adapté.

Pour un patient classique , la propension a la protrusion doit être contrôlé.

Pour la mécanique un modèle en plâtre permet de voir ou situé les points d’appui pour contrôler le mouvement de la 11. Une minivisse peut parfaitement suffire si l'on contrôle sa mécanique.

Le paralléle avec les 6 ne marche pas car les 6 sont beaucoup moins encleinte a verser ( en plus ici on parle d'une 11 avec atteinte paro)

--
หมอจัดฟัน


Android jyzura - Eugenol
Tavéca

07/05/2013 à 18h17

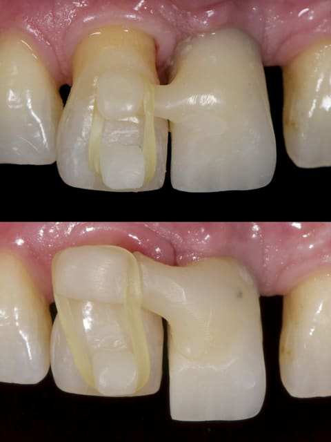
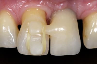
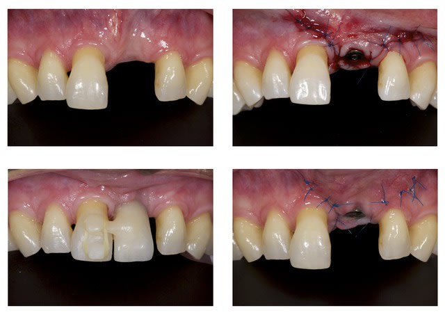
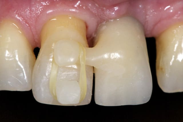
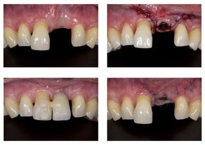
Merci jt2000, seespan et inset pour votre aide. Voici finalement le dispositif que l'on a choisi car je voulais me servir de l'implant comme ancrage.

je vous montrerai l'evolution, favorable ou.... défavorable.
je suis a l'écoute des ortho pour leurs conseils et critiques...

A virskn - Eugenol
B c15bbz - Eugenol
C abqhrm - Eugenol

1309531 ours brun n5iukf - Eugenol
seespan

07/05/2013 à 18h31

Si tu fais comme ça mécaniquement il n'y a pas de problème l'implant empéchant la protrusion de la 11.
Normalement il ne devrais pas y avoir de problème.

Juste faire attention a ce que la force ne soit pas trop élévé normalement il ne faut pas plus de 10g pour une intrusion.

Personnellement j'aurait utiliser deux bracket ou danchemon un sur la provisoire et un sur la 11.

Pour contrôler le mouvement de la 11 avec un fils s'a aurait était plus précis la force aurait était continue aussi.

Mais d'un autre coté il n'y a rien qui vous empéche de fignoler aprés.

--
หมอจัดฟัน


Android jyzura - Eugenol
Tavéca

07/05/2013 à 19h54

> Personnellement j'aurait utiliser deux bracket ou danchemon un sur la provisoire
> et un sur la 11.
>
> Pour contrôler le mouvement de la 11 avec un fils s'a aurait était plus précis
> la force aurait était continue aussi.

Tu me fais un schéma please.


3f3boxni50k58rq7e9ce9ddqrxgk - Eugenol
dentiste57

07/05/2013 à 23h07

chouette !


1309531 ours brun n5iukf - Eugenol
seespan

08/05/2013 à 04h36

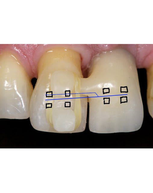
Le probllème que tu a en ortho habituellement c'est la force de reaction, donc quand tu veux bouger une dents pour limiter ces effets tu es obliger de prendre appuis sur plusieurs dents.

La tu utilise un implant donc pas besoin de se soucier de la force de réaction. L'implant il ne va pas bouger. Donc un système avec deux brackets et parfaitement gérable au niveau mécanique.

Pour ingresser la dent tu fait juste un pliage du type sur le dessins.
SI la dent procline tu plie le fil en lingual.

Par contre attention vue qu'il s''agit d'un intrusion sur un terrain paro je dirais qu'il ne faut utiliser que des fils de faible diamètre car il ne doivent surtout pas remplir le slot.
Ici il y aurait une très bonne indication pour des danchemon.

Normalement tu dois tout pouvoir faire avec un Niti 0.014.

Ps : sur le shema j'ai mis les bracket en vestibulaire mais il n'y a strictement aucun problème pour les mettre en lingual, mis a part que le pliage devient beaucoup plus délicat.



--
หมอจัดฟัน

Ortho mnnddl - Eugenol

Darmon - Eugenol
Latin

08/05/2013 à 10h53

seespan écrivait:
-----------------
> Ps : sur le shema j'ai mis les bracket en vestibulaire mais il n'y a strictement
> aucun problème pour les mettre en lingual, mis a part que le pliage devient
> beaucoup plus délicat.

Mais le gros avantage de coller en lingual ici serait de faire passer la ligne d'action de la force ingressive plus proche du centre de résistance de la 11 et donc de diminuer voir supprimer complètement le mouvement parasite de vestibulo version.


1309531 ours brun n5iukf - Eugenol
seespan

08/05/2013 à 11h45

La c'est pour de l'ortho classique.

Avec un appuis sur un implant et deux bracket tout devient beaucoup plus simple. Si la dent procline un peut c'est facile a corriger en donnant une pliure en linguale.

Vue qu'un des points d'appuis est immobile le seul élément qui peut bouger c'est la 11 donc très facile de contrôler la position par pliage.

Le problème en lingual c'est que le pliage du fil est plus délicat car on ne peut pas vraiment travailler en vision direct.

--
หมอจัดฟัน


Android jyzura - Eugenol
Tavéca

07/11/2013 à 13h07

Le cas est terminé mais je ferai la photo finale lors du prochain controle.

Sans titre   copie cnlkjz - Eugenol

Android jyzura - Eugenol
Tavéca

05/08/2014 à 11h23

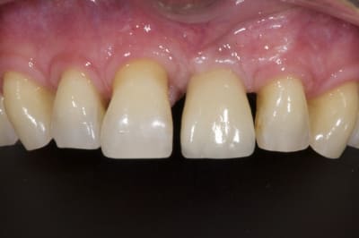
Comme demandé en MP voici le contrôle 10 mois après la pose.
C'est acceptable je pense. Ce traitement a ses limite bien sûr mais peut être une indication voire une alternative dans certains cas spécifiques comme celui-ci.

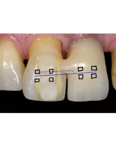
Au passage, qui connait le nom que l'on donne à cette collerette de GA que l'on voit sur 13-12-11-22-23, j'ai oublié.

A omtjjz - Eugenol
1 zf3owi - Eugenol

Img 0812 mvp6i0 - Eugenol
jeamba

05/08/2014 à 20h20

Je ne sais pas si tu as réellement ingressé car quad je regarde ta radio du départ et celle que tu viens de mettre, ton apex arrive pratiquement au même niveau de spire, à savoir au niveau de la troisième spire en partant de l'apex de l'implant. Il y a quelque chose qui m'échappe.


Img 1744 z0evts - Eugenol
dumaille

07/08/2014 à 12h50

Feston de mac call je dirais

--
La vie est une fête!


12