Cookie Consent byPrivacyPolicies.comvotre avis sur ce patient - Eugenol

votre avis sur ce patient

Le Gaucher

20/12/2012 à 15h02

Bonjour
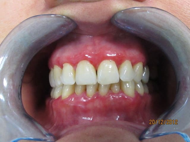
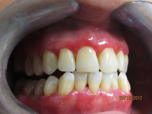
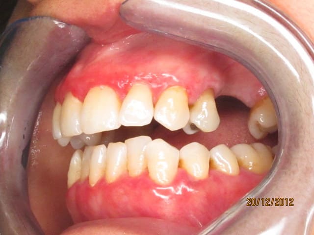
Je viens de voir cette patiente, qui consulte pour le problème esthétique lié à la couleur très gênante de sa gencive.
Cette patiente, originaire d’Afrique du nord a la trentaine, pas de pathologie générale connue, pas d'allergie.
elle a été traitée il y a 2 mois par surfaçage et motivation aux soins locaux qu'elle applique plutôt sérieusement.
Au sondage pas de poche, quasiment pas de saignement.
La couleur rouge s'estompe à la pression, on sent la gencive très fine et lisse.
Aucune douleurs.
Ca me rappel le cas d'une patiente qui avait une penphigoîde, qu'en pensez vous ? On voit sur les photos des trace qui pourrait laisser penser à des desquamations de bulles.

Img 1842 ug1fhh - Eugenol
Img 1839 z0ex3n - Eugenol
Img 1840 s5w1vt - Eugenol
Img 1841 we7cbu - Eugenol

paradoxe

20/12/2012 à 15h35

respiration buccale ?
aliments exotiques ?
clope ?


roger chicot

20/12/2012 à 15h36

Contrôle de la plaque, les photos montrent que ce n'est pas propre du tout...
Brossage.
Occlusion + édentement postérieur (surcharge occ ant) !!!
Pour faire simple, revois tout ça et remet des photos après, la gencive redeviendra peut-être rose et piquetée...
Si elle reste telle, on pourra alors discuter paro...


doagui

20/12/2012 à 15h41

Au premier regard on pencherait pour une inflammation gingivale tout bête...

L'absence de saignement ne veut pas dire grand chose, peut-être que la patiente fume clopes sur clopes et que ça masque les symptômes en partie.

Si le surfaçage n'a pas fonctionné il faut peut-être revérifier l'hygiène (à vue de nez sur la photo ça semble discutable) et ensuite revoir qui l'a fait (un paro exclusif ? un omnipraticien ?) et surtout quel diagnostic a été posé et quel protocole en a découlé (parodontite chronique et donc traitement sans antibio ? Peut-être alors réévaluer le diagnostic et mettre une cure de metronidazole et de penicilline à 750mg et 1.5g par jour pendant 10 jours).


G-P

20/12/2012 à 15h49

Avant de penser pemphigoïde (qui touche une cinquantaine de personne en France tous les ans...), il faudrait peut être revoir le contrôle de plaque.
Brossettes, brossage correct et on revoit tout ça dans 1 mois.


Le Gaucher

20/12/2012 à 17h19

La patiente ne fume pas et ne prend pas de médicament, fonction respiratoire normale.
Evidemment sur les photos c'est pas aussi parlant que sur le fauteuil, mais ça ne ressemble pas à tout ce que j'ai vu jusqu'à présent, c'est à dire à des inflammations d'origine bactériennes.
Je suis d'accord il reste un peu de plaque, elle me dit passer les fil et les brossettes, ce que je veux bien croire vu l’absence d'inflammation marqué au collet de dents.

Le surfaçage a été fait chez un confrère peut être pas spécialiste mais très orienté paro avec séances de maintenance et tout ce qui va avec la méthode de charon.
La patiente vient me voir car elle n'a pas constaté d'amélioration en 3 mois.


Prévalence et incidence de la penphigoide selon wikipedia :

C'est est la moins rare parmi les maladies bulleuses auto-immunes.
prévalence (nombre de personnes atteintes dans une population donnée) : environ 1 personne sur 40 000 en France ( 1 personne sur 3 000 à partir de 70 ans).
incidence (nouveaux cas par an) : est estimée en France à environ 1 000 à 1 500 nouveaux cas par an, à presque 90 % chez les personnes âgées (> 70 ans)3.


roger chicot

20/12/2012 à 17h30

eh ben, G-P, t'es moins en colère aujourd'hui ??
Au fait, ta gueule toi même... pour rire !!!
En tout cas, on est bien d'accord sur ce cas, contrôle de plaque et tout et tout...


doagui

20/12/2012 à 17h34

Le Gaucher écrivait:
--------------------

>avec la méthode de charon.

! Mode mauvaise langue on !

Ah bah voilà l'explication...

! Mode mauvaise langue off !

Je trouve tout de même surprenant qu'aucun des paros exclusifs que je connais ne pratique cette méthode et qu'elle ait déclenché des haussements de sourcils et des yeux au ciel quand je leur en ai parlé.

En tout cas, en cas de doute tu bottes en touche et tu l'envoie vers un autre paro exclusif pour un 2eme avis. Si c'est autre chose qu'une simple inflammation gingivale, il devrait pouvoir le détecter aussi.


Mario ycg44a - Eugenol
Mario180

20/12/2012 à 17h42

N'y aurait-il rien à trouver dans un bilan sanguin (NFS notamment) ?

Sinon, c'est peut-être qu'elle suce trop de betteraves.


Canin

20/12/2012 à 17h54

Le Gaucher écrivait:
--------------------
> La patiente ne fume pas et ne prend pas de médicament, fonction respiratoire
> normale.
> Evidemment sur les photos c'est pas aussi parlant que sur le fauteuil, mais ça
> ne ressemble pas à tout ce que j'ai vu jusqu'à présent, c'est à dire à des
> inflammations d'origine bactériennes.
> Je suis d'accord il reste un peu de plaque, elle me dit passer les fil et les
> brossettes, ce que je veux bien croire vu l’absence d'inflammation marqué au
> collet de dents.
>
> Le surfaçage a été fait chez un confrère peut être pas spécialiste mais très
> orienté paro avec séances de maintenance et tout ce qui va avec la méthode de
> charon.
> La patiente vient me voir car elle n'a pas constaté d'amélioration en 3 mois.
>
>
> Prévalence et incidence de la penphigoide selon wikipedia :
>
> C'es est la moins rare parmi les maladies bulleuses auto-immunes
> prévalence (nombre de personnes atteintes dans une population donnée) : environ
> 1 personne sur 40 000 en France ( 1 personne sur 3 000 à partir de 70 ans).
> incidence (noueaux cas par an) : est estimée en France à environ 1 000 à 1 500
> nouveaux cas par an, à presque 90 % chez les personnes âgées (> 70 ans)3.


À mon avis, ces chiffres sont ceux de la pemphigoïde bulleuse qui a moins de manif buccale.

Pour la PC , celle qui nous intéresse le plus, l'incidence serait plus de l ordre de moins d une centaine nouveaux cas par an en France.

Si tu penses que c est ça ben tu sais ce qu il te reste à faire, faut investiguer.



--
Canin


Le Gaucher

20/12/2012 à 17h58

En tout cas merci pour votre aide, faut donc que je lui demande si elle suce... des betteraves.
En attendant je vais la revoir pour mettre en place un contrôle de plaque plus efficace.


Canin

20/12/2012 à 18h24

Le Gaucher écrivait:
--------------------
> En tout cas merci pour votre aide, faut donc que je lui demande si elle suce...
> des betteraves.
> En attendant je vais la revoir pour mettre en place un contrôle de plaque plus
> efficace.


En fait, et pour être plus explicite, une biopsie gingivale standard s'impose. Ça sera une première étape. Tu pourrais avoir des surprises.

--
Canin


roger chicot

20/12/2012 à 18h38

Sans calage occlusal meilleur on ne peut pas répondre !!!
On recale, on ODF si nécessaire, on bouche les trous des édentation, la base du boulot, on ré-évalue et on pourra discuter paro...
S'il vous plaît, pour le bien de cette patiente...
Si tu m'envois ta patiente comme ça, je t'envoie sur les roses pour rester poli...
Au fait, le gaucher, t'es gaucher ? car on est peu dans la profession...


G-P

20/12/2012 à 18h47

Donc tu fais la fixée avant la paro ?


Android jyzura - Eugenol
Tavéca

20/12/2012 à 18h51

roger chicot écrivait:
----------------------
> Sans calage occlusal meilleur on ne peut pas répondre !!!

Ha bon !


> On recale, on ODF si nécessaire, on bouche les trous des édentation, la base du
> boulot, on ré-évalue et on pourra discuter paro...

la paro en dernier, Ha bon !

> S'il vous plaît, pour le bien de cette patiente...
> Si tu m'envois ta patiente comme ça, je t'envoie sur les roses pour rester
> poli...


Ben on te l'envoie pas alors ;)

> Au fait, le gaucher, t'es gaucher ? car on est peu dans la profession...


doagui

20/12/2012 à 18h57

roger chicot écrivait:
----------------------
> Sans calage occlusal meilleur on ne peut pas répondre !!!

Ah bon ?

> On recale, on ODF si nécessaire, on bouche les trous des édentation, la base du
> boulot, on ré-évalue et on pourra discuter paro...

La paro après la prothèse ? En voilà un concept intéressant...


G-P

20/12/2012 à 19h25

On peut pas à la fois vouloir se débarrasser des syndicats et faire des formations voyons.


Image001 e0kg9q - Eugenol
clemsdent

20/12/2012 à 19h39

pour moi aussi, trop de plaque.


Blocperso talon jer3sl - Eugenol
mrquentin

20/12/2012 à 21h56

pour moi trop de dents, extrais tout et ca devrait disparaitre


Dentiste oa9i0v - Eugenol
DavierCrocket

20/12/2012 à 22h44

mrquentin écrivait:
-------------------
> pour moi trop de dents, extrais tout et ca devrait disparaitre

très bon.

il y aussi la bonne gingivectomie à biseau externe (qui permet aussi la biopsie!)

blague à part, elle brosse pas comme une branque horizontalement avec de l'eau oxygéneé trop dosée? L'epithélium a l'air bien pelé qd même


aimpi

21/12/2012 à 00h22

prévalence de la parodontite sur les populations maghrébines


Avatar 46 aoi1yc - Eugenol
HononLulu

21/12/2012 à 00h29

Tes photos ressemblent bien à un cas de stomatite pemphygoïde que je viens d'avoir.
Un truc simple pour avancer dans ton diagnostic --> frotte très doucement le manche du miroir sur la gencive là ou elle est le plus rouge, si une bulle se forme spontanément cela confirmera le diagnostic.
Si ce n'est pas le cas et que les lésions érosives durent dans le temps malgré une meilleure hygiène, adresse-la à un bon dermato qui fera le dépistage nécessaire pour exclure une maladie auto-immune.


flicflac

21/12/2012 à 06h06

brûlure chimique par un adjuvant thérapeutique...peroxyde???


flicflac

21/12/2012 à 23h57

a eu surfacage il y a 2 mois, la gencive était-elle dans cette état? couleur minceur...
si il y a eu surfacage et que présentement pas de poches, il y a surement eu amélioration... mais non visible par le patient... en général les surfacage n'améliore pas l'esthétique..


Gabriel Dufay

25/12/2012 à 17h47

tu as bien fait l'examen de ta patiente: elle n'a pas probablement pas de problème parodontal profond. Elle présente un lichen étendu à l'ensemble de la gencive. C'est un de ces cas que présentait le professeur Monique Brion pour mettre en garde contre les traitements parodontaux abusifs. Présente souvent des poussées inflammatoires douloureuses.
Evidemment il peut aussi se combiner à des problèmes de gingivites et de parodontites.


12