Cookie Consent byPrivacyPolicies.comQue faire après cette endo? - Eugenol

Que faire après cette endo?

Rodrigue_Beaubois

21/12/2012 à 15h43

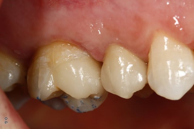
Bonjour que feriez vous sur cette 46 qui a été dépulpée correctement.

La patiente a 10 ans.

Des amis pédo me disent de faire une coiffe pédo.

Le dentiste qui a fait l'endo veut faire un classique inlay core + CCM.

Perso j'aurais penché pour une reconsitution corono-radiculaire foulée et une couronne collée.

Pourquoi attendre les sacro-saint 18 ans pour faire une couronne ?

Je précise que l'image postée est pourrie car il s'agit de la fille d'une amie qui me demande conseille.
Son dentiste a refusé de lui envoyer la radio par mail et lui a donné une photocopie papier.

Merci pour vos avis


P do kym183 - Eugenol

Little shop of horrors brzqjx - Eugenol
chatondecarte

21/12/2012 à 15h45

composite direct ou indirect


denlv35

21/12/2012 à 15h47

endocouronne cerec


1309531 ours brun n5iukf - Eugenol
seespan

21/12/2012 à 15h56

Faux moignon + couronne provisoire pour agir comme mainteneur d'espace et éviter de perdre de l'os.

Vers 12 13 ans extraction de 46 mesialisation de 47 et 48 prendra naturellement la place de 47.


--
หมอจัดฟัน


doagui

21/12/2012 à 16h02

Clairement je penche pour la solution ortho également. Tu adresses la patiente vers un ortho en lui demandant s'il peut mésialer les 7 et 8 suite à l'extraction de la 6. Ainsi la petite repartira avec 2 dents saines au lieu d'avoir une 6 pourries à 25 ans et sa 8 saine extraite très probablement.

C'est un traitement chiant, c'est vrai, ça dure longtemps et il faut une motivation sans faille, mais le résultat est bien meilleur. En attendant tu fais un simple compo juste pour maintenir l'espace, si l'ortho te demande d'attendre.


Bagheera tudzjy - Eugenol
bagheerra

21/12/2012 à 16h03

+1 pour coiffe pédo.

http://www.eugenol.com/sujets/391390-realisation-d-une-couronne-comment-anticiper-sa-depose


Tronche2 ug74bc - Eugenol
Franck LE BOURHIS

21/12/2012 à 16h03

seespan écrivait:
-----------------
> Faux moignon + couronne provisoire pour agir comme mainteneur d'espace et éviter
> de perdre de l'os.
>
> Vers 12 13 ans extraction de 46 mesialisation de 47 et 48 prendra naturellement
> la place de 47.
>
>
> --
> หมอจัดฟัน

bonne idée effectivement
sinon risque de finir par extraire une 48 neuve pour garder cette 46 d'occase ;-)
juste un détail: une ccm assurera + sainement la transition qu'une provisoire résine qui va s'infiltrer et sentir mauvais...
--
Franck LE BOURHIS


Utilisateur banni

21/12/2012 à 16h05

Moi, les IC...

Je pencherais sur un ancrage collé et couronne pedo, ou cc classique (ccm, ccc, cca si les parents radinent).

Mais l'ic...s'il faut démonter pour reprendre l'endo dans qques années, ça finit en implant.

De mon avis.


220px don camillo4 qrcfhs - Eugenol
camillo

21/12/2012 à 16h19

Et si elle faisait confiance à la dentiste qui a dû bien s'emmerder à réaliser cette belle endo...


Dsc 3167 ff43tz - Eugenol
Xenophon

21/12/2012 à 18h34

Onlay composite. On garde toute la matière dentaire. On redonne une occlusion et c'est pas cher.


Et je ne comprends pas pourquoi il faut extraire la 46 à 12-13 ans ????


DentR

21/12/2012 à 19h00

Si l extraction est envisagée, la réaliser entre 8ans 1/2 et 10,5 ans pour avoir la meilleure mésialisation possible des 47 48. (En profitant de la croissance ).
La décision sur le plan de traitement, je pense, dépendra de la patiente; bonne hygiène ? Autres dents très cariées ?
Suivi regulier? ...


003 penrd2 - Eugenol
Cingulum

21/12/2012 à 19h11

Difficile de se prononcer. Ce n'est pas le caractère dépulpée ou non qui indique un choix de traitement.
Ce n'est pas non plus l'age du patient!
C'est le délabrement coronaire qui permet ou non une rétention par collage.
Il faut :
Préparer le moins possible
Restaurer les tissus perdu
Assurer l'étanchéité.
A première vu un Onlay (ceramique ou compo...)
mais pas de tenon, pas de préparation périphérique.

Voici un exemple d'onlay sur dent dévitalisée.



--
Dr Cingulum
-----Ancien interné----
----Attaché à l'apex----
http://www.clinic-all.fr/ formation par passion

01  mg 2632 hixoh7 - Eugenol
02  mg 2635 l8xqka - Eugenol
03  mg 2638 ojrxj5 - Eugenol
04  mg 2698 ou1snx - Eugenol
05  mg 2702 eo3tmr - Eugenol
06  mg 2703 glj3va - Eugenol
07  mg 2705 tov4mu - Eugenol
08  mg 2708 a5n224 - Eugenol
09  mg 2710 sq3was - Eugenol
10  mg 2715 kaygvh - Eugenol

Grueavatar nptrc9 - Eugenol
Le Choixpeau magique

21/12/2012 à 19h33

Cingulum écrivait:
------------------
> Il faut :
> Préparer le moins possible
> Restaurer les tissus perdu
> Assurer l'étanchéité.

Mezaussi protéger les structures restantes quand elles ne peuvent pas le faire par elles mêmes !
Le recouvrement, partiel ou total, garde son utilité.


Rodrigue_Beaubois

21/12/2012 à 20h16

Merci à tous pour vos réponses.

Je vois qu'il y a 2 écoles : 1- extraction + ortho

ou 2- prothèse : cingulum le plus économe en tissus (c'est ce à quoi je pense que l'on devrait tendre) à la Couronne accompagnée de son ancrage radiculaire.

Tes photos sont superbes Cingulum.

Maintenant j'avoue que je n'oserais pas faire qu'un simple inlay/onlay.

Le fait qu'une des faces proximales soit effondrée diminue considérablement la résistance mécanique de la dent (enfin c'est ce qu'on m'a appris).

Et si ceci est toujours vrai comment peux tu garantir la pérennité de cette dent? N'as tu pas peur qu'elle se fracture à terme?

Ma question est qu'est ce qui différenciera ta dent avec ton inlay super bien collé de celle qu'on reçoit tous les jours au cabinet en urgence qui s'est fracturée. Le patient savait qu'il fallait couronner mais ne l a pas fait faute de temps et/ ou de moyens....


Little shop of horrors brzqjx - Eugenol
chatondecarte

21/12/2012 à 23h18

Rodrigue_Beaubois écrivait:
---------------------------


> Ma question est qu'est ce qui différenciera ta dent avec ton inlay super bien
> collé de celle qu'on reçoit tous les jours au cabinet en urgence qui s'est
> fracturée. Le patient savait qu'il fallait couronner mais ne l a pas fait faute
> de temps et/ ou de moyens....

Le collage justement, le patient avec la dent fracturée, dans 90% des cas il y avait un amg ou un cavit. Quasiment jamais une restau collée.


003 penrd2 - Eugenol
Cingulum

22/12/2012 à 00h07

En quoi retirer des tissus sain de la dent la renforcerait ?
Je veux bien admettre que certaines cuspides doivent être recouverte si trop frêles... et encore

Mais comment concevoir que retirer toute la périphérie, alors que le centre de la dent est absent peut avoir un rôle dans l'amélioration du pronostic...

Le cerclage à un role, mais une dent délabré à un mauvais pronostic...

Entre une dent délabrée sans cerclage et une dent délabrée avec cerclage, je suis d'accord que c'est mieux d'avoir un sertissage périphérique.

Mais quand il reste des structures, des cuspide, on s'appuie, on remplace on colle, mais on taille pas...



--
Dr Cingulum
-----Ancien interné----
----Attaché à l'apex----
http://www.clinic-all.fr/ formation par passion


003 penrd2 - Eugenol
Cingulum

22/12/2012 à 00h09

on peut pas comparer un gros compo direct et une restauration indirecte (compo, ou ceram)
Difficile de gérer les contraintes de rétraction .. et donc la dent n'est pas aussi bien collée en directe qu'en indirecte...

--
Dr Cingulum
-----Ancien interné----
----Attaché à l'apex----
http://www.clinic-all.fr/ formation par passion


003 penrd2 - Eugenol
Cingulum

22/12/2012 à 00h17

Sur le cas que je viens de poster, l'amalgame date pas d'hier, et il est pas top.. pourtant la dent est pas cassée, et pourtant dévitalisée ... pourquoi ?
Car pas de récidive de carie, et surtout les structures restantes s'assument...
L'onlay collé, fera mieux que ce plombage.
Avec une préparation périphérique, on perd toutes les cuspides, et on prend des gros risque sur l'étanchéité endo à cause de la limite qui va descendre partout...
or un nombre important d'échec est une suite endodontique par perte d'étanchéité...

--
Dr Cingulum
-----Ancien interné----
----Attaché à l'apex----
http://www.clinic-all.fr/ formation par passion


Rodrigue_Beaubois

22/12/2012 à 00h21

Bien sur qu'on ne peut pas comparer un collage direct de l'indirect.

En revanche je m'interroge toujours sur les limites de l'indication d'un inlay collé sur dent dépulpée.

A partir de quand doit on passer au recouvrement partiel ou total? A partir de l'effondrement de 2 crêtes marginales?

Connais tu une étude parlant du sujet cingulum ?


003 penrd2 - Eugenol
Cingulum

22/12/2012 à 00h44

Tant que la rétention est assuré par collage, je colle
Tant que je peux ne pas mettre de tenon je mets pas de tenon
Tant que je peux garder des tissus sains...
bref.
tu m'as compris ;)

C'est une question de choix et de technique.


--
Dr Cingulum
-----Ancien interné----
----Attaché à l'apex----
http://www.clinic-all.fr/ formation par passion


hachehaine

22/12/2012 à 01h04

Rodrigue_Beaubois écrivait:
---------------------------
> Bonjour que feriez vous sur cette 46 qui a été dépulpée correctement.
>
> La patiente a 10 ans.
>
> Des amis pédo me disent de faire une coiffe pédo.
>
> Le dentiste qui a fait l'endo veut faire un classique inlay core + CCM.
>
> Perso j'aurais penché pour une reconsitution corono-radiculaire foulée et une
> couronne collée.
>
> Pourquoi attendre les sacro-saint 18 ans pour faire une couronne ?
>


On ne fait pas de couronne avant 18 ans , car les tissus gingivaux ne sont pas encore matures .

La patiente a 10 ans et a ses germes de dents de sagesse .
Je pense qu'il est préférable d'extraire la 46 , afin de mésialer le bloc 47 /48.
Une dent bien dépulpée , même restaurée par un praticien excellent , sera toujours plus fragile qu'une dent saine .

Si le praticien réalise une couronne (avec inlay core ) : risque à long terme d'échec endodontique , risque de fracture radiculaire ,...
La durée de vie moyenne d'une couronne est de 10 ans .
Quand elle aura 20 ans , 30 ans ou 40 ans ...Il lui faudra un implant .

De plus , elle bénéficie de quelques semestres pour l'orthodontie à son âge .
Je demanderais par lettre écrite , un avis à l'ortho avant de commencer à tailler .


Aiguille cyboyt - Eugenol
fatboy

22/12/2012 à 04h53

Compo direct si limite trop infra gingivale pour faire un inlay compo, ou acces trop difficile..etc.
Mais bon l'endo a l'air joile, donc la petite patiente doit etre soignable correctement.
Pourquoi faire une couronne si ce n'est que c'est rembourse par la secu mieux qu'un inlay, Qui a dit qu'une dent depulpee, correctement restauree, finissait en extraction.
Une 47 n'est pas une 46, certaines 48 ne sortent jamais. Et tu feras quoi? tu iras la chercher pour ensuite la tracter, tout ca en ayant envie de mieux faire.
Une couronne qui se casse la gueule a 10 ans ca s'apparente a un echec. Si tu pars dans l'idee que nos traitements sont potentiellement des echecs pourquoi les multiplier: extraction+ traction +desenfouissement...


1309531 ours brun n5iukf - Eugenol
seespan

22/12/2012 à 05h14

Le problème est que plus une dent a était dépulpée jeunes plus sa structure racinaire est faible. Cela se vois sur cette dents la canaux sont encore très large. La valeur mécanique de cette dents n'est donc pas comparable a une 6 traditionnelle.

Certes une dents dépulpé peut rester en bouche très longtemps. Mais il faut voir que même si elle reste en bouche 30 ans se que chacun s'accordera a dire serait un très bon succès a la fois endodontique et prothètique,la patiente la perdra a 40 ans.

Aucune raison que la 48 ne sorte pas les ankylose sont quand même excessivement rare, nettement plus rare en tout cas que les fractures de racines ou les infections peri-apicales. Dans tous les cas on se dirige vers une solution plus favorable statistiquement.

IL est très probable que cette jeune filles doive subir un traitement ODF de toutes manière autant en profiter pour remplacer cette dent dévitaliser par une dent saine.

Plus Placer une CCM unique dans une bouche ne comportant que des dents saines n'est jamais idéal d'un point de vue mécanique sur le long terme.

--
หมอจัดฟัน


Aiguille cyboyt - Eugenol
fatboy

22/12/2012 à 07h07

Et la 47, qui apparemment a une grosse carie aussi (en mesial, c'est ce que je crois voir a la radio), qu'est-ce tu fais, tu l'extrais aussi?


1309531 ours brun n5iukf - Eugenol
seespan

22/12/2012 à 07h20

SI une carie est confirmée et SI la vitalité ne peut être maintenue (mais avec cette radio même la présence ou non de carie est a confirmer), dans ce cas la 47 a une valeur inférieure a la 46.
Il convient donc d'extraire 47 et essayer de conserver 46, mais on peut aussi envisager de greffer une des trois autre dent de sagesse en place de 46.

La logique reste la même plutôt que d'extraire des dents saines on extrait les dents avec le plus faible pronostique sur le long terme.
--
หมอจัดฟัน


12