Cookie Consent byPrivacyPolicies.comPépé vit toujours.. Héhé.. - Eugenol

Pépé vit toujours.. Héhé..

flicflac

22/12/2012 à 23h27

chrome, mais habituelllement explorer pas de problèmes
bon dodo cher Pépé
j'aimerais éventuellement voir une photo de ta barre au lingual

Sous p riost  amqdjh - Eugenol

Smile beach jgh0a1 - Eugenol
Céramik

22/12/2012 à 23h53

Salut pépé

Le mp3 , tu le trouves si bon que cela ?
Rien ne semble bien différent avec ce produit, et son indication est pour les sinus.

http://www.pred.fr/public.catalogue.produitshow.screen?p_idproduit=326&p_idCatalogue=1&p_idssfamille=113&p_idfamille=112


http://www.has-sante.fr/portail/upload/docs/application/pdf/2011-04/mp3-25_janvier_2011_2994_synthese_davis.pdf

A+


--
Céramik


Smile beach jgh0a1 - Eugenol
Céramik

22/12/2012 à 23h56

Aussi, tu as des radio à 3-5-10 ans de ces plaques, avec formation d'os autour ?

De mon côté de l'Atlantique, on va pas ces plaques, sauf sur internet...

--
Céramik


Pépélaratiche

23/12/2012 à 10h34

flicflac écrivait:
------------------
> chrome, mais habituelllement explorer pas de problèmes
> bon dodo cher Pépé
> j'aimerais éventuellement voir une photo de ta barre au lingual

Oups...les sous-périostés sont interdit ici comme les aiguilles de Sailom : déclérés obsolètes !!!

Oui je vois le patients en janvier je te fais ça


--
Pp, bon en rien, mauvais en tout ...
Sed Fortuna audaces iuvat ...


Pépélaratiche

23/12/2012 à 10h45

Céramik écrivait:
-----------------
> Salut pépé
>
> Le mp3 , tu le trouves si bon que cela ?
> Rien ne semble bien différent avec ce produit, et son indication est pour les
> sinus.
>
> http://www.pred.fr/public.catalogue.produitshow.screen?p_idproduit=326&p_idCatalogue=1&p_idssfamille=113&p_idfamille=112
>
>
> http://www.has-sante.fr/portail/upload/docs/application/pdf/2011-04/mp3-25_janvier_2011_2994_synthese_davis.pdf
>
> A+
>
>
> --
> Céramik


J ai utilisé l interpore par la passé : ça c est vraiment de la daube...

J ai utilisé et j utilse encore le nanobone qui me donne de bons résultats

Je suis passé au MP3 car il y avait un gel de collagène qui favorise l ossification initiale. Par rapport au nanobone, la présence du gel de collagène donne une cicatrisation étonnement plus jolie, bien fermée de partout et d un rose non inflammatoire

Ce que la HSA reproche sont des choses techniques à propos de la méthodologie des études faites et stt ne pas rembouser est son but... Nulle part ils ne disent que le matériau est nuisible

Je vais tenter un mélange de biomat (Nano + mp3 ) ds un cas à venir car je crains que le mp3 ne se résorberait trop bien donc trop vite pour se commuer en os et donc qu on pourrait avoir une petite perte de volume ajouté à terme

L idéal serait que le nano soit aussi mélangé à un gel collagénique comme ça on aurait le nano avec ses paticules ossifiantes à résorption rapide et à résorption lente pour assurer le maintien du volume

Comme le nano n existe pas sous cette forme je vais les mélanger ensmble avec le mp3


--
Pp, bon en rien, mauvais en tout ...
Sed Fortuna audaces iuvat ...


Pépélaratiche

23/12/2012 à 10h51

Céramik écrivait:
-----------------
> Aussi, tu as des radio à 3-5-10 ans de ces plaques, avec formation d'os autour ?
>
> De mon côté de l'Atlantique, on va pas ces plaques, sauf sur internet...
>
> --
> Céramik

Les plaques existent depuis environ une dizaine d années
Je suis un des tous premiers à en avoir posé en dehors de GS puisqu à l époque il m en a confié une pour poser à la mandibule chez une patiente où je n avais pas pu poser un monodisk

J ai posé cette plaque en quais totalement enfoui à l époque : elle tjs là totalement indolore, bien sonore comme un cylindre

Je vais te filer qques photos d une patiente opérée voici 3 ans avec du nano et des plaques rien que l aspect de la muqueuse te montrera que tout ça est sain et ossifié


--
Pp, bon en rien, mauvais en tout ...
Sed Fortuna audaces iuvat ...


Pépélaratiche

24/12/2012 à 09h57

Céramik écrivait:
-----------------
> Aussi, tu as des radio à 3-5-10 ans de ces plaques, avec formation d'os autour ?
>
> De mon côté de l'Atlantique, on va pas ces plaques, sauf sur internet...
>
> --
> Céramik


--
Pp, bon en rien, mauvais en tout ...
Sed Fortuna audaces iuvat ...

Img 0982 pjptrc - Eugenol
Img 0983 qmt2xh - Eugenol
Img 0989 fepicp - Eugenol
Img 6346 n57l4i - Eugenol
Img 6517 jjpwqx - Eugenol
Img 6518 euz60h - Eugenol
Img 6519 scc9ts - Eugenol
Img 6530 nfz8tw - Eugenol
Img 0992 odvlfg - Eugenol
Img 0993 cuiqdu - Eugenol
Img 0994 hzmbcq - Eugenol
Img 0995 zfy6xi - Eugenol
Img 6472 ryr4lg - Eugenol
Img 6473 f1gmco - Eugenol

Smile beach jgh0a1 - Eugenol
Céramik

24/12/2012 à 20h18

Merci, je me souviens bien de ce cas déjà présenté.
Le volume est en effet bien plus grand après, mais je me permet d'avoir quelques doutes sur l'intégration des plaques au niveau osseux...reste à avoir des études et des statistiques sur quelques centaines de cas, voir plus ;-)

Bonnes périodes des Fêtes à tous

--
Céramik


Pépélaratiche

24/12/2012 à 21h11

Céramik écrivait:
-----------------
> Merci, je me souviens bien de ce cas déjà présenté.
> Le volume est en effet bien plus grand après, mais je me permet d'avoir quelques
> doutes sur l'intégration des plaques au niveau osseux...reste à avoir des études
> et des statistiques sur quelques centaines de cas, voir plus ;-)
>
> Bonnes périodes des Fêtes à tous
>
> --
> Céramik

Ben des études statistiques moi j en ai pas... J ai que mes propres cas

Par contre je peux te dire que les 4 plaques et même le monodisk sont sonores et parfaitement indolores donc a priori intégrés béton

Sûr par contre que j aurais pas obtenu le même résultat avec cette vieille merde d interpore ( que je suspecte perso d être responsable de bcp d échecs sur des disks et plaques )


--
Pp, bon en rien, mauvais en tout ...
Sed Fortuna audaces iuvat ...


Pépélaratiche

11/03/2013 à 14h18

flicflac écrivait:
------------------
> chrome, mais habituelllement explorer pas de problèmes
> bon dodo cher Pépé
> j'aimerais éventuellement voir une photo de ta barre au lingual


--
Pp, bon en rien, mauvais en tout ...
Sed Fortuna audaces iuvat ...

Img 1182 s6mmza - Eugenol
Img 1193 e1whny - Eugenol
Img 1194 xpaov4 - Eugenol

Smile beach jgh0a1 - Eugenol
Céramik

12/03/2013 à 02h49

Manque que 6 e.max en antérieur !


--
Céramik


flicflac

12/03/2013 à 03h19

merci pépé


Pépélaratiche

12/03/2013 à 08h35

De rien flic flac et désolé pour le retard ;-)

--
Pp, bon en rien, mauvais en tout ...
Sed Fortuna audaces iuvat ...


Pépélaratiche

12/03/2013 à 11h25

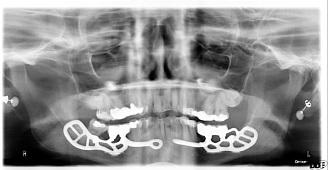
Le dentascan de la mandibule pour que vous compreniez mieux la difficulté...quais impossible de la considérer en cylindres même en déplaçant le NDI vous n avez aucune hauteur exploitable... Même des lame de Likow n y passent pas et les sous périostés sont interdits en Europe

J ai perdu mes deux foutus cylindres et ai dû les remplacer par deux double disk...et changer les deux mono disk du secteur droit

Et oui l implanto basale n est pas non plus un long fleuve tranquille

--
Pp, bon en rien, mauvais en tout ...
Sed Fortuna audaces iuvat ...

Img 0020 xyrpom - Eugenol
Img 0022 kbdh2r - Eugenol
Img 0021 k8qb4v - Eugenol
Img 0023 juidf9 - Eugenol
Img 0024 yllod0 - Eugenol
Img 0136 g2koj2 - Eugenol

Pépélaratiche

03/08/2013 à 14h46

Vous vous dites sans doute que je ne vis plus ou que la chaleur m a empêché de continuer à poser des implants

Alors deux petites photos pour vous dire que je vais bien

Pour posit, les cylindres ont tous été posés à main levée et je pense que c est pas si mal que ça ;-)

--
Pp, bon en rien, mauvais en tout ...
Sed Fortuna audaces iuvat ...

Img 3577   copie xi5xvm - Eugenol
Img gnzfyd - Eugenol

200106 10150128247663588 709988587 6466236 5598391 n d7mksb - Eugenol
hallboy

03/08/2013 à 15h21

pourquoi les deux plus distaux? ( prothetiquement pas d'antagonistes, et plus d'os dans une position plus mesiale qui ( peut-etre ? je n'ai que le pano a dispo ) semble avoir plus d'os et ( peut-etre ? ) aurait permis un cylindre large et court? tout en diminuan tla portée d l'ensemble


Pépélaratiche

03/08/2013 à 15h51

Allez trois autre photos

Ne me dites que les dents restantes à la mandibule sont pourries sur le plan paro... Je le sais

Prochainement étape : virer les molaires avec PRFs et poser déjà deux implants en 35 45 en enfoui...et qd les PRFs auront fait leur oeuvre : implanto totale du bas

Si tu veux y revenir Richard, tu es le bienvenu :-)))))))

--
Pp, bon en rien, mauvais en tout ...
Sed Fortuna audaces iuvat ...

Img 1009 lr6akw - Eugenol
Img 1013 dq27kt - Eugenol
Img 1226 mg1sq5 - Eugenol

Pépélaratiche

03/08/2013 à 17h22

hallboy écrivait:
-----------------
> pourquoi les deux plus distaux? ( prothetiquement pas d'antagonistes, et plus
> d'os dans une position plus mesiale qui ( peut-etre ? je n'ai que le pano a
> dispo ) semble avoir plus d'os et ( peut-etre ? ) aurait permis un cylindre
> large et court? tout en diminuant la portée d l'ensemble

1. Les deux distaux pour s ancrer le plus possible derrière car zone solide en distal... Il est vrai que les zones des 7 paraissent bien la pano mais le modèle 3D de Materialise ne montrait pas autant d os que ça donc j ai choisi distal car on mieux se caler ds des corticales

2. Oui sans doute après coup pourquoi des cylindres de 8mm en diamètre 4.75 ... mais bon voilà les deux disk de 11 par 9 mm je les ai bloqués à coup sûr et distalement en plus ce qui est plus solide et tant pis si les 7 sup sont des inter de bridge

3. De plus on comble en vestibulaire avec du nanobone ou du MP3 ds la zone des disks d où cette image à laquelle les implantos basaux sont habitués : on a l impression qu il y avait plus d os et qu on aurait pu faire autrement... Reagarde Alapex vient de passer les photos du materialise


--
Pp, bon en rien, mauvais en tout ...
Sed Fortuna audaces iuvat ...

Img 1206 bxf61o - Eugenol
Img 1205 jiwen8 - Eugenol
Img 1204 onokad - Eugenol
Img 1207 kq0lhz - Eugenol
Img 1213 lhdmeb - Eugenol

Img 3657 cwjvqm - Eugenol
alapex

04/08/2013 à 11h13

...

R3 cwp7jl - Eugenol

Pépélaratiche

04/08/2013 à 15h13

LOL

Bises à toi

--
Pp, bon en rien, mauvais en tout ...
Sed Fortuna audaces iuvat ...


Pépélaratiche

21/08/2013 à 19h06

La mandibule est faite

Ostéotension maxillaire en cours

Implanto maxillaire en nov 2013

Le scan pour vous faire patienter


--
Pp, bon en rien, mauvais en tout ...
Sed Fortuna audaces iuvat ...

Img 1225 rua2qt - Eugenol
Img 1228 ieloxr - Eugenol
Img 1229 jnzjuf - Eugenol
Img 1230 nxtlpf - Eugenol
Img 1231 jovt7v - Eugenol
Img 1232 cgzgum - Eugenol

Scan10030 ukikhq - Eugenol
vava

22/08/2013 à 13h45

l attente est insurpportable!!!


Icon poker h4nm2d - Eugenol
jeff

22/08/2013 à 16h18

il y a une sacré perte osseuse mandibulaire entre la premiere et derniere pano de ton post du 3 aout.

Il y a eu un essai de ttt paro, ou, d’emblée, tu pars pour l'extraction de tout ?


Scan10030 ukikhq - Eugenol
vava

22/08/2013 à 17h44

La duré de ton protocole est d’un autre temps


Icon poker h4nm2d - Eugenol
jeff

22/08/2013 à 22h14

vava écrivait:
--------------
> La duré de ton protocole est d’un autre temps


Tu peux développer ?