Cookie Consent byPrivacyPolicies.comPépé vit toujours.. Héhé.. - Eugenol

Pépé vit toujours.. Héhé..

Pépélaratiche

22/08/2013 à 23h48

vava écrivait:
--------------
> La duré de ton protocole est d’un autre temps


Ah oui titine pcq toi tu sais faire avancer l ostéotension plus vite que les délais biologiques ???

Jusqu à preuve du contraire l ostéotension est plus moderne que les greffes à sec sans aucune préparation LOL


--
Pp, bon en rien, mauvais en tout ...
Sed Fortuna audaces iuvat ...


Pépélaratiche

22/08/2013 à 23h49

jeff écrivait:
--------------
> il y a une sacré perte osseuse mandibulaire entre la premiere et derniere pano
> de ton post du 3 aout.
>
> Il y a eu un essai de ttt paro, ou, d’emblée, tu pars pour l'extraction de tout
> ?
>

Extraction de toute les dents mandibulaires sans tt paro

Pour le maxillaire tout part aussi ;-)


--
Pp, bon en rien, mauvais en tout ...
Sed Fortuna audaces iuvat ...


Pépélaratiche

22/08/2013 à 23h53

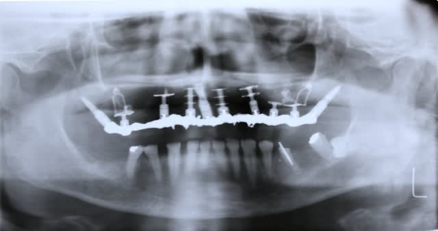
Programmé le 24 sept pour vous faire patienter mieux

Maxillaire complet extraction - implantation

Pas possible de poser que des cylindres voire même très peu voire aucun

Regardez bien les ostéolyses autour des canines

--
Pp, bon en rien, mauvais en tout ...
Sed Fortuna audaces iuvat ...

23 09 2013 ke1i0n - Eugenol
Img 1235 dnjwsh - Eugenol

Pépélaratiche

22/08/2013 à 23h56

vava écrivait:
--------------
> l attente est insupportable!!!

Et puisque tu est si maline ou maligne à toi de voir, montre nous donc tes prouesses à toi en implanto

On en reparle après :-)))))))))))))))


--
Pp, bon en rien, mauvais en tout ...
Sed Fortuna audaces iuvat ...


Scan10030 ukikhq - Eugenol
vava

24/08/2013 à 16h38

jeff écrivait:
--------------
> vava écrivait:
> --------------
> > La duré de ton protocole est d’un autre temps
>
>
> Tu peux développer ?

Extraire, temporiser avec du PRF dans les alvéoles, implanter 4 implants temporiser 3 mois, implanter les autres implants, empreinte puis pose d’un provisoire dans les 72 heurs, il me semble que certain s’affranchissent de ces délais ?


Pépélaratiche

25/08/2013 à 04h32

vava écrivait:
--------------
> jeff écrivait:
> --------------
> > vava écrivait:
> > --------------
> > > La duré de ton protocole est d’un autre temps
> >
> >
> > Tu peux développer ?
>
> Extraire, temporiser avec du PRF dans les alvéoles, implanter 4 implants
> temporiser 3 mois, implanter les autres implants, empreinte puis pose d’un
> provisoire dans les 72 heurs, il me semble que certain s’affranchissent de ces
> délais ?


Joue l insécurité si tu le veux mais même moi un adapte de la basale j ai fini par adorer cette carte de sécurité même si je sais tjs jouer le all in one time typique de la basale


--
Pp, bon en rien, mauvais en tout ...
Sed Fortuna audaces iuvat ...


Pépélaratiche

25/09/2013 à 02h54

Pépélaratiche écrivait:
-----------------------
> Programmé le 24 sept pour vous faire patienter mieux
>
> Maxillaire complet extraction - implantation
>
> Pas possible de poser que des cylindres voire même très peu voire aucun
>
> Regardez bien les ostéolyses autour des canines

Voilà c est fait depuis hier mardi...

Me suis bien fait chier avec les canines : il y a avait plus rien...

Bref 2 ptérygo, 2 plaques en molaires, deux disk en canine 1 simple et un double, un cylindre ds le trou naso palatin, 2 triple disk en 11 12 et 21 22 et enfin un monodisk en 24...ça a été galère mais c est fait

Pour Pxav une petite citation de Pp : "Toujours plus content de l avoir fait que de l avoir à faire ;-)"

Pano dispo à partir de samedi


>
> --
> Pp, bon en rien, mauvais en tout ...
> Sed Fortuna audaces iuvat ...


--
Pp, bon en rien, mauvais en tout ...
Sed Fortuna audaces iuvat ...


Pépélaratiche

25/09/2013 à 02h56

vava écrivait:
--------------
> jeff écrivait:
> --------------
> > vava écrivait:
> > --------------
> > > La duré de ton protocole est d’un autre temps
> >
> >
> > Tu peux développer ?
>
> Extraire, temporiser avec du PRF dans les alvéoles, implanter 4 implants
> temporiser 3 mois, implanter les autres implants, empreinte puis pose d’un
> provisoire dans les 72 heurs, il me semble que certain s’affranchissent de ces
> délais ?

Ici Vava j ai bien dû tout faire en une fois

Ce n est pas pcq je temporise de tps en tps pour augmenter la sécurité qu il ne faut pas être capable de le faire one shot


--
Pp, bon en rien, mauvais en tout ...
Sed Fortuna audaces iuvat ...


Pépélaratiche

30/09/2013 à 02h22

Et voilà ce ne fut pas facile mais c est fait

Tjs plus content de l avoir fait que de la voir à faire LOL

--
Pp, bon en rien, mauvais en tout ...
Sed Fortuna audaces iuvat ...

Img 1245 mjvzcu - Eugenol
Img 1248 byferi - Eugenol
Img 1249 vom57v - Eugenol
Img 1269 nlosy1 - Eugenol
Img 1260 ltzhca - Eugenol
Img 1261 maddrp - Eugenol

Pépélaratiche

30/09/2013 à 18h18

Euh oui je sais le détartrage du bas n a pas été fait mais vu l urgence le travail en haut primait largement

--
Pp, bon en rien, mauvais en tout ...
Sed Fortuna audaces iuvat ...


Smile beach jgh0a1 - Eugenol
Céramik

01/10/2013 à 01h28

Les photo floues, c'est Alapex ? ;-)

Combien de temps pour placer tout ça ?
La prothèse posée à 48 heures ?

Merci du partage de cas.




--
Céramik


Pépélaratiche

01/10/2013 à 06h47

Opéré mardi matin
Posé samedi matin

Photos un peu flou car implanto chaude et j ai pris juste l appareil deux fois pour tirer le portrait des deux plaques

En plus j ai mal sélectionné le mode : je devais les faire en manuel ouverture 16 vitesse 1/200 mais j ai selcetionné priorité à l ouverture et la vitesse était trop lente d où flou :-((((((((((

--
Pp, bon en rien, mauvais en tout ...
Sed Fortuna audaces iuvat ...


Choukroun Joseph

01/10/2013 à 10h20

PP, beau travail comme d'habitude.
il faudrait quand même que tu penses à passer à un monofilament pour tes sutures.. ces gros boudins, c'est un peu dépassé..


Humator t9r5wy - Eugenol
humator

01/10/2013 à 12h04

tu trouveras les monofilaments chez "touslesbiomateriaux.com" ;-)

superbe pépé!

--
N.Hum


Icon poker h4nm2d - Eugenol
jeff

01/10/2013 à 12h41

4 jours entre la pose des implants et la pose du provisoire, c'est pas trop long ?

Cela explique comment le prothésiste a eu le temps de faire une armature coulée. J'imagine que comme les implants basaux ont une moins bonne stabilité primaire que des axiaux, la déformation de l'armature a la coulé ne te pose pas de problème..

Pas de souci pour mettre le provisoire en place, alors que certain implant sont recouvert par la gencive ? ( la dernière fois que j'ai fait ça, j'ai coincé un fil de suture ! )

Enfin, tu as un point commun avec paolo malo. lui aussi utilise de la soie .


Pépélaratiche

01/10/2013 à 14h43

Choukroun Joseph écrivait:
--------------------------
> PP, beau travail comme d'habitude.
> il faudrait quand même que tu penses à passer à un monofilament pour tes
> sutures.. ces gros boudins, c'est un peu dépassé..

Je demande qu à essayer ;-)


--
Pp, bon en rien, mauvais en tout ...
Sed Fortuna audaces iuvat ...


Pépélaratiche

01/10/2013 à 14h52

jeff écrivait:
--------------
> 4 jours entre la pose des implants et la pose du provisoire, c'est pas trop long
> ?
>
> Cela explique comment le prothésiste a eu le temps de faire une armature coulée.
> J'imagine que comme les implants basaux ont une moins bonne stabilité primaire
> que des axiaux, la déformation de l'armature a la coulé ne te pose pas de
> problème..
>
> Pas de souci pour mettre le provisoire en place, alors que certain implant sont
> recouvert par la gencive ? ( la dernière fois que j'ai fait ça, j'ai coincé un
> fil de suture ! )
>
> Enfin, tu as un point commun avec paolo malo. lui aussi utilise de la soie .

1. non 4j c est pas trop long
2. non les implants basaux n ont pas une moins stables si tu as pas de blocage primaire tu es au jus comme avec de l axial. Non pas de tolérance de déformation pour l armature pcq basale on pose des bagues collées en titane ds l armature pour avoir passivité totale
3. aucun souci on vire tous les fils au placement et on écarte un peu la gencive
4. Amusant ce point commun avec Malo que je ne porte pas ds mon cœur LOLLLLLLLLLLLL


--
Pp, bon en rien, mauvais en tout ...
Sed Fortuna audaces iuvat ...


Logocolornotext kiwlk1 - Eugenol
Clio

01/10/2013 à 15h10

Pépélaratiche écrivait:
-----------------------

> 4. Amusant ce point commun avec Malo que je ne porte pas ds mon cœur
> LOLLLLLLLLLLLL

Effectivement c'est la thèse et l'antithèse, mais qui fait quoi?? ;-)


Img 3657 cwjvqm - Eugenol
alapex

01/10/2013 à 15h38

Céramik écrivait:
-----------------
> Les photo floues, c'est Alapex ? ;-)



Non ,non , on ne vit pas encore ensemble , mais ça ne saurait tarder...


Img 3657 cwjvqm - Eugenol
alapex

01/10/2013 à 15h40

Par contre je garde toujours le chien de Jo , Pépé devrait l'implanter bientôt , mais nous n'avons pas trouvé d'ortho pour corriger l'interposition latérale de la langue ...)))


Pépélaratiche

01/10/2013 à 16h10

alapex écrivait:
----------------
> Céramik écrivait:
> -----------------
> > Les photo floues, c'est Alapex ? ;-)
>
>
>
> Non ,non , on ne vit pas encore ensemble , mais ça ne saurait tarder...
>

Grâce à VOTRE hollandouille on n est même plus obligé de se paxer...on peut se marier directement :-))))))))))

--
Pp, bon en rien, mauvais en tout ...
Sed Fortuna audaces iuvat ...


Choukroun Joseph

01/10/2013 à 19h48

Alapex, si tu le voyais maintenant, il faudrait lui un complet du bas en basale !! chiche ?


Pépélaratiche

01/10/2013 à 20h47

Choukroun Joseph écrivait:
--------------------------
> Alapex, si tu le voyais maintenant, il faudrait lui un complet du bas en basale
> !! chiche ?

Attention Jo ne nous prends pas au mot : j ai déjà fait qques soins chez des chiens avec ma VT

Si ça te tente je veux bien le faire
Mais avant tu me botoxes ses masséters et ses temporaux histoires qu il nous casse pas tout

Oui et on lui fait une glossoplastie en V pour pas qu il nous chasse tout avec sa grosse langue étalée

Pp ;-)))))))))))


--
Pp, bon en rien, mauvais en tout ...
Sed Fortuna audaces iuvat ...


Img 3657 cwjvqm - Eugenol
alapex

01/10/2013 à 23h57

Choukroun Joseph écrivait:
--------------------------
> Alapex, si tu le voyais maintenant, il faudrait lui un complet du bas en basale
> !! chiche ?

Oui , je ferai personnellement les prf et les photos , la basale comme je n'implante pas on va laisser ça à Pépé ...)))
Mais bon je m'étonne que ce chien n'ait pas besoin d'être opéré du larynx , c'est fréquent chez "eux" et prolonge leur vie par une ventilation retrouvée.
Il est vraiment sympa ce chien , bon pis s'il est permis de faire un peu de pub ici , pour les autres faites les formations de la SYFAC , Mr Jo est un homme passionnant .


87 ujotte - Eugenol
Spatouille

02/10/2013 à 01h11

Pépélaratiche écrivait:
-----------------------
Non pas de tolérance de déformation
> pour l armature pcq basale on pose des bagues collées en titane ds l armature
> pour avoir passivité totale

avec le système cresko ?