Cookie Consent byPrivacyPolicies.comDépassement obturation 22 - Eugenol

Dépassement obturation 22

Icarus

28/12/2012 à 00h10

Bonsoir,

Je suis étudiant en 6ème année, j'effectue mon 1er remplacement cette semaine, et il m'est arrivé mésaventure ce matin.

Un patient que je n'avais pas encore vu au cours de la semaine avait RDV ce matin: le praticien m'avait demandé de réaliser le TEI dans la séance de la 22 ayant une LIPOE.

La radio pré opératoire était déjà prise. La cavité d'accès réalisée.
Le cabinet n'est pas équipé de digue.

J'ai cathétérisé le canal à la lime 10K, et validé la LT avec une lime 15K avec une radio lime en place.

J'ai amplié le canal au Hero 642 avec une séquence rouge, car canal large mais courbé à l'apex. J'ai irrigué entre chaque instrument au NaOCl, et ai mis de l'EDTA en gel sur chacun de mes instruments mécanisés. Pas d'EDTA liquide disponible au cabinet.

J'ai séché le canal, pas de suintement ni de saignements, j'ai donc décidé d'obturer dans la séance.

J'ai ensuite obturé le canal selon une condensation latérale à froid, avec un ciment inséré au lentulo. Le cabinet n'avait que des cônes calibrés à 25/100e à l'apex. J'ai donc placé celui ci à 0,5mm de ma LT, et j'ai placé deux cônes accessoires en utilisant un figer spreader. J'ai ensuite coupé la Gutta avec un instrument chaud, puis tassé à chaud.

J'ai fait une radio post op montrant un dépassement, que je n'ai développé qu'une fois le patient parti. J'aurais du m'en douter étant donné que l'apex était ouvert du fait de la LIPOE. L'obturation semble dense. Je n'ai pas pu surinstrumenter le canal amicalement car j'avais des stops bien stables, et je vérifiais mes longueurs sur chacun de mes instruments.

Je ne sais pas si le dépassement est juste du ciment, ou si le maitre cône est aussi sorti en tassant.

Mes erreurs sont multiples ici, et j'en suis conscient: pas de radio lime 30 en place, pas de maitre cône adapté, pas de radio maitre cône en place, et surtout de ne pas avoir prévenu le patient...

Je suis un peu paniqué des conséquences de ce dépassement, et surtout de ne pas avoir averti le patient. Je compte appeler le praticien que je remplace demain matin pour lui exposer le cas.

Mais dois-je appeler le patient demain matin pour prendre de ses nouvelles, ou alors attendre que le praticien le revoie? Il a RDV prochainement pour le composite palatin.

Je m'en veux d'avoir été si négligeant... Et je ne sais comment m'y prendre à présent pour que cette histoire se finisse au mieux.

Cordialement =)


Icarus

28/12/2012 à 00h16

Sans oublier que j'aurais pu faire une interséance de Ca(OH)2 pour essayer d'avoir une fermeture apicale...

Bref, avec le recul j'aurais agi autrement, mais dans le feu de l'action, tous les paramètres ne me sont pas venus en tête, et j'ai échoué.


pourri

28/12/2012 à 00h25

Icarus slt
Je suis un ''vieux'' dentiste c'est quoi une TEI et une LIPOE?
Merci


doczi

28/12/2012 à 00h29

Patience, ton ciment de scellement contient il des corticoides? si oui, ça devrait passer, sinon si patient appelle avec douleurs, AINS 4 à 5 j, mets la dent en sous occlusion, antibio si tu estimes un risque de réchauffement de la lésion (moi, je ne donnerai pas)puis provisoire en attendant que ta lésion commence à guérir et là tu peux faire la définitive, quoique si c t moi je la ferais directement et aprés si problème résection apicale sans me poser trop de question, si biensur obturation bien faite, dense
Pas de digue, ça peut passer pour une 22 si rouleaux de cotons et bonne aspi chir.
Pas besoin d'hydroxyde si ton canal était sec, comme tu le disais
pour éviter ce genre de problème, localisateur et toujours radio maitre cône en place
Dors bien, et ne te fais pas de soucis, ce n'est que le début.


Icarus

28/12/2012 à 00h30

Traitement Endodontique Initial

Lésion Inflammatoire Peri-apicale d'Origine Endodontique , ou autrement dit, une image apicale radio claire, ou vulgairement, une pêche! Héhé =)


Hinanui

28/12/2012 à 00h38

premier point : reste zen ! Beaucoup de patients présentent des dépassements sans aucun symptômes ! Tu peux dormir cette nuit sans aucun soucis !

Ce qui est important est de connaitre la qualité de ton obturation. (Une petite radio peut-être ? même si cela ne nous donne pas tous les éléments.) Si c'est étanche, tu as une surobturation, ce n'est pas très grave à condition bien entendu que le dépassement ne soit pas trop volumineux. Si ce n'est pas étanche, c'est une surextension, et là c'est plus ennuyeux car il y a un risque de percolation bactérienne.

Dans tous les cas : wait and see. Termine la reconstitution coronaire de la dent et surveillance pour voir si il y a un début de cicatrisation osseuse dans les mois à venir. Si amélioration : poursuivre la surveillance. Si pas d'amélioration ou si apparition de symptômes ou d'une fistule, il sera toujours temps de faire une résection apicale (à condition bien sur que ton obturation soit correcte).

Pour la non utilisation de la digue, je ne peux pas te jeter la pierre. Quand j'étais collaboratrice je ne disposais pas toujours d'un set de digue. Je me suis fait quelques sueurs froides ! Maintenant, je suis incapable de réaliser une endo sans digue. Peut-être peux-tu essayer de demander au titulaire d'acheter un set de digue : cela ne va pas ruiner le cabinet. Si il dit non, tu peux peut être envisager d'acheter pour toi un set, sachant que c'est quasi inusable si tu y fait attention, et faire acheter les feuilles de digue par le titulaire ???

En résumé, dors bien cette nuit. C'est tout à ton honneur de vouloir travailler dans les règles de l'art et de te préoccuper ainsi de tes patients.


dentatronche

28/12/2012 à 00h49

il ne va rien arriver de grave si c'est un petit dépassement. Si le patient a mal ne t'affole pas, il aurait pu aussi avoir mal avec un cone a la LT. AINS

si douleur persistante au delà de 3 semaines, dans ce cas tu leves un lambeau et tu curettes. Cas archi favorable sur une 22.


jeff13

28/12/2012 à 00h52

Jette moi ce bon lentulo.
Tu n'en a pas besoin, même pour une latérale à froid


Icarus

28/12/2012 à 00h53

Merci pour vos réponses, mais je ne parviens pas être rassuré.

L'obturation semblait dense à la radio, mais sur une radio en 2D c'est difficile de juger et d'être sur à 100%. Je n'ai pas la radio sur mon ordinateur.

Le ciment utilisé est le Sealite Regular je crois, donc sans anti inflammatoires.

Je termine le remplacement ce lundi 31 décembre, difficile d'imposer du choix de matériel dans ces cas là =) Le patient reverra d'ailleurs son praticien habituel la semaine prochaine.

Je suis habitué à travailler sous digue, avec un localisateur d'apex, et avec des cônes dont le diamètre apical correspond au diamètre apical de préparation, mais là je n'avais pas tous ces éléments en main. Il en sera autrement lorsque je serai installé dans un cabinet pour une plus longue période je l'espère.

Je vais avertir le praticien que je remplace demain matin du cas. Mais je ne sais pas si je dois convoquer le patient au cabinet avant que je parte pour lui expliquer la situation, ce que je trouverais normal car j'en suis responsable, ou alors si je dois m'abstenir pour ne pas l'inquiéter... J'ai peur que la convocation exprès pour cette explication rende l'entretien un peu solennel et soit un peu angoissant pour le patient. A mon avis il vaut tjs mieux être honnête avec ses patients, mais comment m'y prendre?


Img 3657 cwjvqm - Eugenol
alapex

28/12/2012 à 01h50

Icare , quand j'étais petit au siècle dernier il y avait des petits opuscules avec l'Antiquité , l'histoire de France , tout ça.
Bref c'était super , pis bien dessiné tout ça , le rêve quoi .
Tu t'excites comme un malade , tu ne fournis pas une radio , et tu sais pas ci et tu sais pas ça ...
T'es hypocondriaque ?

Quand tu vas pété ton 1er instrument , on t'amène à l'hosto ?
Ou bien ?


levm

28/12/2012 à 02h56

Alapex , il sort de fac . Cette faculté ,où l'on te faire reprendre des endos asymptomatiques en 15 séances pour gagner 1/4 de mm alors que la dent était tranquille depuis 10 ans .

Lorsqu'un étudiant fait une sous ou une surobturation , c'est la risée du service . Je ne parle même pas de péter un instrument.

Il va bosser en cabinet , faire quelques conneries comme tout le monde . Il parait que l'expérience est l'autre nom que l'on donne à ses erreurs .


Sinon pour un dépassement de gutta , rien de dramatique dans cette région .
Previens ton titulaire et le patient , et tout va bien se passer .


tungstene

28/12/2012 à 10h13

je rebondis sur le post. J'ai vu hier une patiente traitée par un autre dentiste.
Douleur percussion sur 37 + début lésion périapicale avec dépassement gutta net de 2.5mm
Dent couronnée.

La chir endo sur 37 me semble compromise on est d'accord ? et un retraitement en cas de dépassement me semble servir a rien non ?

Dans ce genre de cas au final ca se termine en extraction + implant ?


celse

28/12/2012 à 11h04

Icarus écrivait:
----------------
>
> Je suis habitué à travailler sous digue, avec un localisateur d'apex, et avec
> des cônes dont le diamètre apical correspond au diamètre apical de préparation,
> mais là je n'avais pas tous ces éléments en main. Il en sera autrement lorsque
> je serai installé dans un cabinet pour une plus longue période je l'espère.
>
> Je vais avertir le praticien que je remplace demain matin du cas. Mais je ne
> sais pas si je dois convoquer le patient au cabinet avant que je parte pour lui
> expliquer la situation, ce que je trouverais normal car j'en suis responsable,
> ou alors si je dois m'abstenir pour ne pas l'inquiéter... J'ai peur que la
> convocation exprès pour cette explication rende l'entretien un peu solennel et
> soit un peu angoissant pour le patient. A mon avis il vaut tjs mieux être
> honnête avec ses patients, mais comment m'y prendre?


Doucement... une petite radio serait la bienvenue pour avoir un avis plus éclairé...

pour l'histoire du diamètre des cônes, même si tu n'as que du 25, tu peux toujours recouper le cône pour obtenir le diamêtre souhaité, l'important étant d'obtenir un tug back qui te prouve que tu as une bonne étanchéité apicale.

A ton praticien de juger si le patient doit être averti à la prochaine séance ou non, mais pas besoin je pense de le faire venir juste pour ça, ça va l'angoisser pour pas grand chose à mon sens...

on a tous fait des boulettes, comme on dit il n'y a que ceux qui ne font rien qui ne font pas d'erreurs...

(j'ai failli m'évanouir la première fois où j'ai fait une perfo, alors je comprends ton stress, mais il faut apprendre à relativiser!)


paulru

28/12/2012 à 11h35

no stress !

Ne pas oublier qu'on ne soigne que des dents, on ne fait pas de la chirurgie cardiaque.

au pire une résection apicale, et hop.

Des depassements tu en feras d'autres, et des pires. Et la nature est bien faite souvent... Tout va s'arranger.


Avatar transparent iqadnc - Eugenol
adhoc

28/12/2012 à 12h10

Je n'ai pas de radio numérique, je n'ai pas de négatoscope, mais j'ai au moins un apn??? Ah non? j'ai au moins un smartphone? oui, ouf.
J'ai du scotch pour fixer mon film et une fenêtre éclairée a la lumière du jour. Si je me débrouille bien, je peux alors envoyer une radio sur le nonol au lieu de tourner en rond comme un fauve dans une cage!!!!


implantista

28/12/2012 à 12h12

alapex écrivait:
----------------
> Icare , quand j'étais petit au siècle dernier il y avait des petits opuscules
> avec l'Antiquité , l'histoire de France , tout ça.
> Bref c'était super , pis bien dessiné tout ça , le rêve quoi .
> Tu t'excites comme un malade , tu ne fournis pas une radio , et tu sais pas ci
> et tu sais pas ça ...
> T'es hypocondriaque ?
>
> Quand tu vas pété ton 1er instrument , on t'amène à l'hosto ?
> Ou bien ?

lol T'as raison


Mouton volant jlatmr - Eugenol
Toto le Héros

28/12/2012 à 18h50

Moi je dis que ça fait plaisir de voir un tel paquet d'angoisse. Ca prouve que la conscience professionnelle n'est pas morte.

Bon en revanche, je suis à 100% d'accord avec Alapex (comme souvent), respire.

Et puis si tu veux bosser sous digue, rien ne t'empêche d'investir dans une boîte de crampons et deux-trois feuilles. Ca te servira de toute façon...


33.2 - Eugenol
scuba06

28/12/2012 à 20h54

Respire un bon coups, pas de stress a avoir.
Vraisemblablement, le ciment canalaire ou la gutta sont rentrés dans la lésion, donc certainement pas de douleur.

Informe le titulaire, par acquis de conscience.

Pour tes obturations : ce n'est pas parce que tu as fini ta préparation en 25/100, que ton canal fait forcement 25/100 (surtout dans le cas d'une LIPOE).
En fin de préparation, fait un jaugeage apical (lime K en butée à la longueur de travail te donnera ton diamètre apical). De ce jaugeage, tu pourra ajuster ton maître cône, le condenser, puis ajouter les autres cônes. Par contre oublie le lentulo (c'est certainement lui, qui a projeté le ciment dans la lésion).

Voici les conseils que je peux te donner.
Mais surtout, pas d'inquiétude.


doczi

28/12/2012 à 23h10

y aurait il un bon moyen pour oublier les vrais soucis de la journée?? Apprendre à gérer le stress face à des problèmes pourtant , dans une certaine mesure, ""normaux"", qui peuvent arriver...Cela m'embête de , parfois, passer des heures à regarder le toit en pensant à la chir de l’après midi, à une dernière spire non enfouie, à un dépassement fait bêtement..à m'en vouloir pour ci ou pour ça, à voir et revoir les éventuels problèmes, à vouloir imaginer le devenir de ce que je fais aujourd'hui dans un an, dans 5 ans ...dans 20 ans??? 6 ans de pratique et pourtant il m'arrive parfois encore de pas bien dormir en pensant à un cas ou un patient...


Icarus

28/12/2012 à 23h24

Merci pour toutes ces réponses.

Je revois le patient lundi matin pour faire le composite après l'endo, j'aurai donc l'occasion de l'avertir du dépassement. J'ai vu ce matin que le ciment était le Sealite Ultra, avec des anti inflammatoires, il y a donc moins de risque que le patient ait eu des douleurs. Il n'a pas appelé aujourd'hui pour se plaindre des suites post-op.

Ces éléments me rassurent un peu, et je me satisfais d'avoir l'occasion de le revoir en consultation dés lundi pour m'expliquer et assumer cela. Ainsi le praticien sera moins ennuyé à expliquer une éventuelle ré-intervention si cela s'avérait nécessaire.

Je dormirai vraisemblablement mieux ce soir =)


flicflac

29/12/2012 à 02h48

pour moi, pas de digue...pas d'endo
pas de lentulo,
je crois voir un dépassement sur 21,
le dentiste qui a fait ce traitement de canal...sur ma dent...me demande à la fin du traitement (fait sous digue, avec localisateur d'apex, limes motorisées, système calamus pour vertical à chaud), que faite vous quand cela vous arrive?
cela ne m'arrive plus, c'est l'expérience.
sensibilité à la pression quelques semaines sans plus. Présentement sous ortho sans conséquences.

Pr  op d0fenl - Eugenol
Post op tpqpau - Eugenol

Bartho

29/12/2012 à 04h25

Ne te tracasse pas, un dépassement peut arriver, et à moins de bourrer comme un malade avec un MacSpadden dans un canal trop large sur une réaction apicale active, tu ne risques pas grand chose, pour peu que ton canal ait été bien alésé et désinfecté.

En cinq ans de pratique, j'en ai eu quelques uns (et j'en aurai certainement encore), mais j'en ai tiré les leçons:
- toujours bosser avec un localisateur d'apex et confirmer plusieurs fois la longueur de travail en cours de traitement (avec l'alésage sur un canal courbe tu réduis la longueur de travail et tu risques de sur-instrumenter)
- je travaille avec le système Protaper, ils font des limes manuelles de même calibre que les limes mécanisées, pratiques pour vérifier la LT en fin de traitement. Les cônes papier et gutta sont aussi calibrés sur la même cônicité. Avec ça, MacSpadden à LT-3mm et aucun souci.
- s'il te reste des lentulo, fiche les à la poubelle et oublie la condensation latérale à froid. Je ne compte plus les lentulos pétés qu'on m'envoie (je suis spé endo) et les récidives sur condensations latérales ou monocône scellé... J'utilise la thermocondensation verticale avec les MacSpadden et je n'ai aucun souci avec. Pas besoin de se casser la tête avec des systèmes genre Calamus, c'est de l'argent jeté par les fenêtres... Dans mon précédent cabinet, j'en avais un et je ne l'utilisais que pour couper les cônes et retirer les excédents de gutta dans la chambre (mais depuis je me suis aperçu qu'une fraise boule acier donnait de meilleurs résultats)...
- je ne fais plus de radios d'essai de cône sauf pour les cas que je sens un peu foireux (mesures variables au localisateur par exemple), mais c'est une fois sur 30 maximum...

Bref, dors sur tes deux oreilles. S'il y a un souci prescris des anti-inflammatoires et laisse faire la nature, elle est bonne mère...


Bagheera tudzjy - Eugenol
bagheerra

29/12/2012 à 10h27

Je suis étonné que personne n'ai pensé à rappeler que la radio post-opératoire doit être analysée immédiatement, et pas après le départ du patient.


pâtesaubeurre

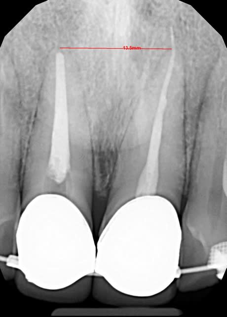
29/12/2012 à 11h16

ça fait deux jours qu'on parle d'un dépassement qu'on n'a pas vu, tu veux bien poster une radio please?


Smile beach jgh0a1 - Eugenol
Céramik

30/12/2012 à 04h44

flicflac écrivait:
------------------
> je crois voir un dépassement sur 21,

Présentement sous ortho
> sans conséquences.

Place un implant dès l'ortho terminé, c'est pas jolie cette endo !
;-)


--
Céramik


12