Cookie Consent byPrivacyPolicies.comROG sur déhiscence importante - Eugenol

ROG sur déhiscence importante

P1060496 m7josl - Eugenol
rhizalyse

04/01/2013 à 22h51

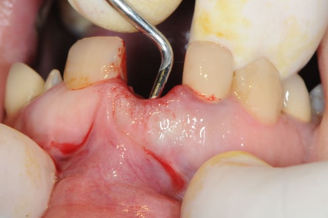
fracture radiculaire sur 22
le fragment fracturé est vest

en regardant le CBCT, je me demande si l'on peut faire une ROG ( bio oss + biogide) lorsque comme ici, toute
la table externe semble lysée le long de la racine
je sais que la ROG donne d'excellents résultats mais quelles sont ses limites ?

l'alternative serait évidemment un bridge procéra mais je crains que la pontique soit disgracieuse au niveau de
la déhiscence

l'occlusion est en bout à bout incisif

mh

Capt 2140281 imzrwc - Eugenol
Capt 2140282 vp9hcg - Eugenol
Capt 2142293 veo6yc - Eugenol
Capt 2144284 dkpact - Eugenol

Img 1744 z0evts - Eugenol
dumaille

04/01/2013 à 23h24

pour moi la reponse depend du type gingival.

--
La vie est une fête!


Canin

04/01/2013 à 23h32

Même si tu fais un bridge faut aussi garder le volume et la rog peut répondre à ça avec conjonctif en plus si nécessaire.

Si tu envisages implant, c'est encore plus vrai.

Globalement si corticale foutue, la rog peut éviter une future greffe os ou conjonctif.



--
Canin


P1060496 m7josl - Eugenol
rhizalyse

05/01/2013 à 00h12

alors bridge ou implant?


G-P

05/01/2013 à 01h09

Un ptit prélevement ramique et vis et on en parle plus :)


Canin

05/01/2013 à 02h56

rhizalyse écrivait:
-------------------
> alors bridge ou implant?

J'en sais rien, faut poser question au patient. C'est lui qui décidera au
final.

À titre perso, je choisirais implant si rog fonctionne bien.


--
Canin


3f3boxni50k58rq7e9ce9ddqrxgk - Eugenol
dentiste57

05/01/2013 à 03h07

tu peux aussi faire ça;
glisser et interposer une membrane entre la parois vestibulaire osseuse et le périoste que tu décolles en partant de l'alvéole et en restant en contact osseux...

Dsc 1694 g1dqrv - Eugenol
Dsc 1694  m1qvy1 - Eugenol
Dsc 1696 gl0ahe - Eugenol
Dsc 1697 wczasd - Eugenol
Dsc 1698 neel8h - Eugenol
Dsc 1699 gxmtkd - Eugenol
Dsc 1706 rb4onj - Eugenol
Dsc 1709 kozl7e - Eugenol
Dsc 1711 zspjwi - Eugenol

Smile beach jgh0a1 - Eugenol
Céramik

05/01/2013 à 04h33

dentiste57 écrivait:
--------------------
> tu peux aussi faire ça;
> glisser et interposer une membrane entre la parois vestibulaire osseuse et le
> périoste que tu décolles en partant de l'alvéole et en restant en contact
> osseux...


Le classique "Ice Cream Cone Technic"
Avec une telle gencive, ça va.

--
Céramik


Blason dql7mj - Eugenol
growler

05/01/2013 à 13h26

rhizalyse, tu as la chance ici d'avoir une occlusion en bout à bout et donc de pouvoir assurer la temporisation soit par une petite dent amovible ou collée aux voisines sans être absolument obligé de recourir à une extraction implantation et reconstitution immédiate. j'ai vu hier un patient où je n'aurai pas le choix car il est en classe II div 2 avec ses incisives inf qui sont en contact avec la muqueuse palatine et qu'il existe un diastème important entre le 22 et le 23. Dans ce cas je vais extraire, cureter, implanter en position palatine, positionner une membrane et combler grassement avec un mélange d'os autogène (du forage) et de matériau très peu résorbable d'origine animal ou synthétique.

Horiz b69fha - Eugenol
Coupes xo2gnm - Eugenol

P1060496 m7josl - Eugenol
rhizalyse

05/01/2013 à 17h20

je pense utiliser une dent provisoire résine collée aux adjacentes

qu'utiliseriez-vous comme système de collage ?


que penser d'une implantation en un temps avec vis de cicatrisation ou deux temps avec vis de couverture ?

mh


Ikimine xg3119 - Eugenol
ikimine

07/01/2013 à 19h44

Avec la ROG je vous conseille le 2 temps 'vis de couverture)
même si le gold stantard est le seul temps chirurgical.
moi je vous pose un cas ou la patiente consœur veut extraire une latérale en palato position et placer un implant je demande votre avis sur l'axe de l'implant


P1060496 m7josl - Eugenol
rhizalyse

19/01/2013 à 12h47

quand j'ai évoqué avec la patiente le risque d'échec possible de la ROG, je lui ai dit que l'on pouvait dans un premier temps faire une ROG, puis attendre 6 à 8 mois, et ensuite implanter tranquillement

que penser de cette solution qui l'a séduite ?

a-t-on plus de chance de succès ?

mh


3f3boxni50k58rq7e9ce9ddqrxgk - Eugenol
dentiste57

19/01/2013 à 16h38

tu aura d'avantage de succé en terme de reformation osseuse mais pas en terme d'esthétique qui sera plus compliquée à gérer par une greffe de conj enfouis par exemple


O'Pal

19/01/2013 à 17h11

tout en sachant que l'architecture pérenne des tissus mous dépend du volume osseux sous-jacent.


P1060496 m7josl - Eugenol
rhizalyse

19/01/2013 à 19h00

on a la chance que son sourire n'atteigne pas la gencive :)


Blason dql7mj - Eugenol
growler

26/01/2013 à 21h04

un cas où j'ai préféré extraire , implanter, combler et temporiser avec un petit bridge provisoire selfmade collé.

Capture gnvbiw - Eugenol

P1060496 m7josl - Eugenol
rhizalyse

26/01/2013 à 21h26

c'est quoi les deux points de suture vest ?

--
mh


Smile beach jgh0a1 - Eugenol
Céramik

26/01/2013 à 21h49

Très joli.

Tu avais une occlusion te permettant la pose de ton petit bridge maison, c'est pas tjs le cas.
Tu fais comment sinon ?

--
Céramik


Blason dql7mj - Eugenol
growler

26/01/2013 à 22h03

la semaine prochaine j'ai un autre cas en classe II div 2, pas de temporisation possible par bridge collé ni petit partiel, je vais implanter et reconstituer immédiatement en prenant bien garde à libérer l'occlusion à ce niveau et à bien briefer le patient.


Smile beach jgh0a1 - Eugenol
Céramik

26/01/2013 à 22h14

growler écrivait:
-----------------
> la semaine prochaine j'ai un autre cas en classe II div 2, pas de temporisation
> possible par bridge collé ni petit partiel, je vais implanter et reconstituer
> immédiatement en prenant bien garde à libérer l'occlusion à ce niveau et à bien
> briefer le patient.

Tu bosses trop ;-)

--
Céramik


Logo m4n3gc - Eugenol
drmarcus

27/01/2013 à 13h25

growler écrivait:
-----------------
> un cas où j'ai préféré extraire , implanter, combler et temporiser avec un petit
> bridge provisoire selfmade collé.

Pour répondre à Rhizalye je crois pourvoir dire que ce sont des points en U.

Toutefois Growler ce qui m'intéresse sur ton cas ce serai de connaitre le comportement de ton comblement; il semble pouvoir s'exposer à 8 jours, non?


--
"La seule chose promise d'avance à l'échec, c'est celle que l'on ne tente pas" Paul Emile VICTOR


l adan

28/01/2013 à 10h13


> Pour répondre à Rhizalye je crois pourvoir dire que ce sont des points en U.
>
> Toutefois Growler ce qui m'intéresse sur ton cas ce serai de connaitre le
> comportement de ton comblement; il semble pouvoir s'exposer à 8 jours, non?
>
>
+1 . Quel materiaux de comblement as tu utilisé ?


Blason dql7mj - Eugenol
growler

28/01/2013 à 14h43

mais pourquoi pensez-vous que mon matériau s'exposera à 8 jours ?


Blason dql7mj - Eugenol
growler

28/01/2013 à 14h43

.


Blason dql7mj - Eugenol
growler

28/01/2013 à 14h43

.


12