Cookie Consent byPrivacyPolicies.comun bon gros kyste bien ragoutant ! - Eugenol

un bon gros kyste bien ragoutant !

3f3boxni50k58rq7e9ce9ddqrxgk - Eugenol
dentiste57

05/01/2013 à 03h14

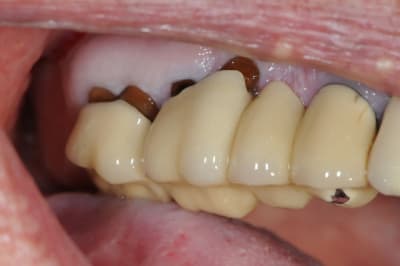
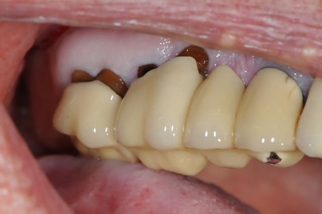
j' ai fais ce matin l'extraction et l'énucléation d'un kyste sur 17.

c'était bien gros!

Armand 3d6 s2f2ke - Eugenol
Armand 3d5 f4flq1 - Eugenol
Armand 3d4 dusbmi - Eugenol
Armand 3d3 hkptht - Eugenol
Armand 3d2 zwuh1e - Eugenol
Armand 3d1 vflues - Eugenol
Armand 3d ycovwq - Eugenol

3f3boxni50k58rq7e9ce9ddqrxgk - Eugenol
dentiste57

05/01/2013 à 03h19

et voici ce que cela a donné :

une épaisse pâte jaunâtre est d'abord sortie doucement, puis, une fois vidée, j'ai retiré le kyste avec une pince gouge.

on voit l'assistante qui à continué de presser le kyste entre les doigts.

curieux, il a fallu que j'insiste pour qu'elle accepte d'y toucher!
vous y comprenez quelque chose vous ?

Dsc 6751 rjxkxc - Eugenol
Dsc 6753 zkfxou - Eugenol
Dsc 6768 jkzkh6 - Eugenol
Dsc 6752 asd2xk - Eugenol
Dsc 6754 muqu5z - Eugenol
Dsc 6757 l1fo8s - Eugenol
Dsc 6761 ekz9zb - Eugenol
Dsc 6762 m98kig - Eugenol
Dsc 6765 rors4l - Eugenol
Dsc 6767 mlycsh - Eugenol

Avatar2 u3u8yh - Eugenol
riccyman

05/01/2013 à 03h34

MDR !!


1309531 ours brun n5iukf - Eugenol
seespan

05/01/2013 à 03h35


Les femmes sont un mystère....

Sinon beaux boulot, qu'est ce qui est prévus pour la suite ? Implant ?
--
หมอจัดฟัน


X ray 03 medium zvq18j - Eugenol
cyber_quenottes

05/01/2013 à 09h24

Ouais, on voit bien qu'elle est pas prête d'accoucher

NOUS les HOMMES , ca nous fait même pas peur !


Canin

05/01/2013 à 10h15

Je veux pas dire mais en général on essaye de pas trop manipuler la pièce opératoire une fois enlevée, direct dans le flacon pour l anapath.

Sinon vu l'aspect du "jus" ça ressemble à une kéatokyste donc récidive possible mais là on voit bien que tu as pu avoir une seule pièce donc ça devrait bien se passer.

Après réponse de anapath je ferais suivi sur 5 ans avec des rétros


--
Canin


Utilisateur banni

05/01/2013 à 10h59

C'est la première fois que je vois un kyste en éréction..........c'est beau.

Elle est bonne ton assistante?


Images jm2g2g - Eugenol
dr_0le

05/01/2013 à 11h05

Extraction implantation immédiate dans ces conditions favorables??
))


sidchir

05/01/2013 à 11h16

paroi épaisse donc peut être kératokyste (très récidivant), bien que probablement c'est un kyste inflammatoire, mais attendons l'anapath c'est elle qui tranche!!!


Canin

05/01/2013 à 15h30

Tapavuméclé écrivait:
---------------------
> C'est la première fois que je vois un kyste en éréction..........c'est beau.
>

Après les kystes inflammatoires, nous avons ici une première mondiale à inclure rapidement dans la classification OMS : le kyste érectatoire !!

--
Canin


Utilisateur banni

05/01/2013 à 15h41

Canin écrivait:
---------------
*le kyste érectatoire !!

...joli sujet de thèse.


Canin

05/01/2013 à 15h48

Tapavuméclé écrivait:
---------------------
> Canin écrivait:
> ---------------
> *le kyste érectatoire !!
>
> ...joli sujet de thèse.

sans oublier sa variante ayant un contenu plus fluide que celui présenté : le "kyste éjaculatoire".


--
Canin


Utilisateur banni

05/01/2013 à 16h05

Canin écrivait:
---------------
> sans oublier sa variante ayant un contenu plus fluide que celui présenté : le "kyste éjaculatoire".

...j'attends avec impatience l'iconographie d'un tel sujet.

Des coups à se faire radier à vie avant même de s'être inscrit au tableau.


3f3boxni50k58rq7e9ce9ddqrxgk - Eugenol
dentiste57

05/01/2013 à 17h05

Canin écrivait:
---------------
> Tapavuméclé écrivait:
> ---------------------
> > Canin écrivait:
> > ---------------
> > *le kyste érectatoire !!
> >


MDR


41467 100000418256397 4215 n ypxyho - Eugenol
Blette

06/01/2013 à 12h35

Beurk....


edje ouaïse

06/01/2013 à 13h07

Je suis sûr que l'on peut attraper une belle truite avec un truc pareil.


41467 100000418256397 4215 n ypxyho - Eugenol
Blette

09/01/2013 à 20h37

ma peche du jour....


41467 100000418256397 4215 n ypxyho - Eugenol
Blette

09/01/2013 à 20h38

la 2e peche est moins degueu .... :0)
merci les patients et correspondants...

Img 4435 mwpgex - Eugenol
Img 4436 ma2tge - Eugenol

3f3boxni50k58rq7e9ce9ddqrxgk - Eugenol
dentiste57

09/01/2013 à 23h23

attends le mien de cadeaux, il est bien plus original.
tu l'aura dés qu'on pourra bouffer ensemble...

patience


sidchir

10/01/2013 à 00h08

et cette peche plutôt sympa, non!!!

P1020573 l7q4re - Eugenol
P1020577 twah2c - Eugenol

Pépélaratiche

10/01/2013 à 01h33

sidchir écrivait:
-----------------
> paroi épaisse donc peut être kératokyste (très récidivant), bien que
> probablement c'est un kyste inflammatoire, mais attendons l'anapath c'est elle
> qui tranche!!!


Aucune chance que ce soit un kératokyste car l atteinte est tjs multifocale en cas de kératokyste


--
Pp, bon en rien, mauvais en tout ...
Sed Fortuna audaces iuvat ...


Canin

10/01/2013 à 09h02

Pépélaratiche écrivait:
-----------------------
> Aucune chance que ce soit un kératokyste car l atteinte est tjs multifocale en cas de kératokyste

Ben non c'est tout le contraire, l'écrasante majorité des KK se présente sous une forme monofocale

La forme multifocale entrant principalement dans le cadre d'une neurocristopathie syndromique qui elle, est super rare pour le coup, de l'ordre de 1 cas pour 100000 naissance à la louche

Y'aurait-il eu confusassion ?? ;-)

Pour moi le contenu caséux largement iconographié ici est évocateur d'un KK.
--
Canin


sidchir

10/01/2013 à 10h05

Pépélaratiche écrivait:
-----------------------
> sidchir écrivait:
> -----------------
> > paroi épaisse donc peut être kératokyste (très récidivant), bien que
> > probablement c'est un kyste inflammatoire, mais attendons l'anapath c'est elle
> > qui tranche!!!
>
>
> Aucune chance que ce soit un kératokyste car l atteinte est tjs multifocale en
> cas de kératokyste
>

Non tu te trompe, le kératokyste peut avoir une forme uni focale c'est la plus fréquente(j'ai un cas fait cette semaine je vais chercher les photos et le poster), la 2eme forme c'est dans un cadre sydromique naevomatose basocellulaire(syndrome de gorlin gotz) et c'est cette forme qui est multifocale (moins fréquente)l'examen clinique montre des nævi cutanés.


sidchir

10/01/2013 à 10h12

sidchir écrivait:
-----------------
> et cette peche plutôt sympa, non!!!

Aucun commentaire pour mon cas:(
ce n'est pas un kyste mais une tumeur, laquelle? (ne me demandez pas de poster la radio je ne la retrouve pas)


Photo pluton1b h9n4ea - Eugenol
pluton

10/01/2013 à 10h31

si, c'était bien gros en tout cas....
tu dis tumeur...tu as simplement fait l’énucléation ou alors il t'a fallu encore aller plus loin???
et autre petite question...reconstruction en même temps?


12