Cookie Consent byPrivacyPolicies.comMac. Namara: On ne peut pas reculer une 6 - Eugenol

Mac. Namara: On ne peut pas reculer une 6

Images 1 qtgoxf - Eugenol
ciwil

17/01/2013 à 10h17

Bjc sur ton cas l'alignement de la 25 se fait au détriment de la 13, c'est un jeu de chaises musicales ;)


1 p3qrc4 - Eugenol
Bjc.

17/01/2013 à 12h25

il faut d’abord mettre en place les piliers post, pour cela il faut déplacer un ancrage.
c'est le plus difficile.

ensuite cela devient un cas classique, puisqu’il reste de la croissance.

@+ Bjc.


ameli

17/01/2013 à 18h00

full écrivait:
--------------
> Je n'ai aucune agressivité, je pense juste differemment.

Si tu n'as pas d'agressivité, tant mieux.

Mais le coup de la "théorie à deux balles", c'est au minimum très désobligeant pour quelqu'un qui montre des cas.
De plus quand la théorie est démontrée par la pratique et par des photos, elle vaut davantage que 2 balles, et n'est plus une théorie, mais une bonne pratique.


1 eugenol dmj5np - Eugenol
Dancha

31/01/2013 à 20h21

ameli écrivait:
---------------
> full écrivait:
> --------------
> > Je n'ai aucune agressivité, je pense juste differemment.
>
> Si tu n'as pas d'agressivité, tant mieux.
>
> Mais le coup de la "théorie à deux balles", c'est au minimum très désobligeant
> pour quelqu'un qui montre des cas.
> De plus quand la théorie est démontrée par la pratique et par des photos, elle
> vaut davantage que 2 balles, et n'est plus une théorie, mais une bonne pratique.

Le juge a parlé !
Pan sur Full, fermez le ban !

ameli, je ne suis pas d'accord avec toi. Relis bien la discussion. Sur la forme les termes employés "théorie à deux balles" étaient peut-être mal choisis, mais sur le fond Full avait quand même parfaitement raison. Il posait les bonnes questions, ses remarques étaient fondées et parfaitement sensées, je les partage.

Dans le fil de la discussion, bjc ne se contente d'ailleurs pas de se contredire et de botter en touche quand Full l'interroge, il énonce également une contrevérité dans le domaine fondamental.

Devinette : quelle est-elle ?

Daniel


1 eugenol dmj5np - Eugenol
Dancha

31/01/2013 à 20h21

...


1 eugenol dmj5np - Eugenol
Dancha

31/01/2013 à 20h21

Curieux, mon message est passé trois fois au lieu d'une. Pas d'explication.
Daniel


1309531 ours brun n5iukf - Eugenol
seespan

01/02/2013 à 02h53

1 Utilisation des élastique comme distalisateur, quand le seul mouvement obtenus sera en effet une disto version de la 7 et mesio version de la 6.
Tout l'espace "gagner" sera donc perdu lors de la phase de finition lors de la correction de l'axe des dents.

2 Bloquer la mésialisation ne constitue pas une distalization, cette technique peut etre utilisé pour corriger un encombrement incisif en augmentant la part de distalisation des incisives (qui au passage n'avance pas )

3 Parler de la croissance comme d'un avantage.
La longueur d'arcade ne change pas durant la croissance sur un ado. D'après certain auteur elle est maximal vers l'age de trois ans, dans tout les cas les changements durant la croissance tende vers une réduction (très très minime, mais qui se poursuit tout au long de la vie).

Le même phénomène se produit pour la longueur d'arcade de la mandibule.

Espérer que la croissance va apporter de l'espace sur le "devant" créant ainsi une "distalisation" des molaire est illusoire.

La seul chose dont l'on peut tirer profit durant la croissance est

- la croissance différentiel du maxillaire et de la mandibule
- Orientation de la direction du croissance du maxillaire et de la mandibule (orthopédie).

L'on peut jouer sur c'est deux phénomènes pour essayer de repositionner les bases osseuse l'une par rapport a l'autre est ainsi corriger une mal occlusion.

--
หมอจัดฟัน


1 p3qrc4 - Eugenol
Bjc.

01/02/2013 à 13h26

Beau récapitulatif des arguments anciens en faveur des traitements avec extractions.
(Tu as bien appris ton cours.)

Malheureusement on a fait des progrès depuis 50 ans !
On fait de moins en moins d’orthodontie, et de plus en plus d’orthopédie-dento-faciale,

Au hasard, regarde les mesures avant et après TTT. de Bagden, puisque tu as un exemplaire de son cours.

@+ Bjc.


RépondreCiter
1309531 ours brun n5iukf - Eugenol
seespan

01/02/2013 à 13h48

Le fil porte sur la distalisation d'une 6

Quelque soit le cas de figure attendre une aide de la croissance pour avoir un coup de pouce dans le sens antéro postérieur au maxillaire (comme a la mandibule) est perdue d'avance.
Cela fait partie des donnée acquise de la science est a était observé par de nombreuse étude longitudinal.

Le Dr Bagden ne contestera pas ce point.

Ensuite si vous pensez que vous pouvez gagner de l'espace par une expansion ou par un autre artifice mécanique c'est un autre problème.
Le résultat peut être plus favorable sur un sujet en croissance (type expansion palatine rapide), mais dans tout les cas il s'agit d'une intervention thérapeutique, ce n'est pas la croissance du sujet elle même qui va augmenter la longueur d'arcade.

--
หมอจัดฟัน


1 p3qrc4 - Eugenol
Bjc.

01/02/2013 à 14h55

"""Quelque soit le cas de figure attendre une aide de la croissance pour avoir un coup de pouce dans le sens antéro postérieur au maxillaire (comme a la mandibule) est perdue d'avance. """

tu n'en est pas encore à la V.T.O. ?

@+ Bjc.


1 p3qrc4 - Eugenol
Bjc.

02/02/2013 à 02h47

"""Quelque soit le cas de figure attendre une aide de la croissance pour avoir un coup de pouce dans le sens antéro postérieur au maxillaire (comme a la mandibule) est perdue d'avance. """

Si tu attends des coups de pouce, tu vas au devant de déceptions.
la croissance n'est pas une aide, elle peut aller dans le mauvais sens, accentuer les disharmonies... etc ...
Il faut canaliser la croissance, l’utiliser, l’orienter, pour rectifier les malfaçons installées.

@+ Bjc.


edje ouaïse

02/02/2013 à 09h52

Vous n'avez que les dents comme passion dans la vie ?

Moi, les dents, ça me permet de vivre (bien) mes passions ;-)


1 eugenol dmj5np - Eugenol
Dancha

02/02/2013 à 14h02

Tu as bien répondu, Seespan,, mais il y a encore une affirmation de bjc qui est une contrevérité flagrante que tu aurais dû relever.
Elle porte sur du fondamental.

Même devinette : quelle est-elle ?

Pourrais-tu également expliquer aux lecteurs non-spécialistes du forum ce que signifie la fameuse question du recul molaires telle qu'elle est discutée par les orthodontiste et comment on peut contrôler ce recul ? Il y a là une notion que bjc ne semble pas avoir bien intégrée.

Daniel

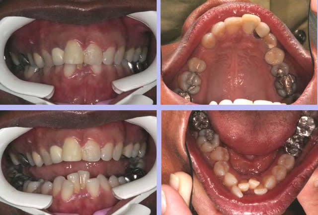
P.S. Pour illustrer, voici deux clichés avant et après d'un traitement que j'ai réalisé il y a quelques années chez une adulte d'une cinquantaine d'années.
Question : recul ou bascule des molaires ?
Réponse : bascule !

Recul bascule ycjorb - Eugenol

1309531 ours brun n5iukf - Eugenol
seespan

02/02/2013 à 15h01

Sorry mais c'est Samedi je viens de passer ma journée a la B.U et je suis en peut claquer.

La seul "erreure" que je vois de maniére évidente est l'affirmation qu'il faille mobiliser une dent pour la faire bouger.

Les trois points nécessaire a l'initialisation d'un mouvement dentaire sont

- du temps
- de l'espace
- une force, le niveau minimum de la force n'est pas très claire mais suivant les hauteurs descend jusqu'a 5 gramme.

Ensuite la ou ça devient plus compliquer c'est pour obtenir une transalation de la dent et pas une simple bascule.

Pour la question du recul molaire c'est relativement simple a obtenir avec des minivisses, sans minivisse l'on obtient en fait plus en changement d'orientation de l'ensemble des dents que l'un réel recule molaire.

C'est une bête question mécanique l'on ne peut pas reculer toute les dents en ne prenant appuis que sur les dents.
(Encore que ce point est controverse et discutable mais il n'y a pas les éléments scientifique pour trancher sur la réel possibilité d'un recul molaire par implication de force asymmetrique ou autre type de mécanique)

Une magnifique démonstration de se principe est le MEAW.

Dans l'absolue un appuis externe type headgear devrais permettre d'y arrivé mais en pratique c'est controversée et plus que discutable pour les résultat cliniques.

Pour la mécanique ceux que le sujet interesse vraiment un seul livre a lire :

Bioengineering Analysis of Orthodontic Mechanics By Robert J; Nikolai

On a jamais fait mieux a mon sens

Après vous pouvez essayer Common sense mechanique.

--
หมอจัดฟัน


1 eugenol dmj5np - Eugenol
Dancha

02/02/2013 à 18h00

seespan écrivait:
-----------------
> ..
> La seul "erreur" que je vois de manière évidente est l'affirmation qu'il faille
> mobiliser une dent pour la faire bouger.
>

Il a dit exactement "avant de déplacer une dent, il faut la mobiliser." Ce n'est pas une "erreur", mais une absurdité. Je trouve quand même ahurissant que personne n'ait relevé avant !
Bravo à toi.

Bon WE

Daniel


1 p3qrc4 - Eugenol
Bjc.

02/02/2013 à 22h05

Personne ne sait pourquoi il faut mobiliser une dent avant de la déplacer ?
C'est quand même ahurissant

;-)


1 p3qrc4 - Eugenol
Bjc.

03/02/2013 à 15h42

"""P.S. Pour illustrer, voici deux clichés avant et après d'un traitement que j'ai réalisé il y a quelques années chez une adulte d'une cinquantaine d'années.
Question : recul ou bascule des molaires ?
Réponse : bascule !"""

VOIR PHOTO DANCHA



Déplacer une dent c’est à la portée de n’importe qui.
Mais qu’elle reste là ou l’a mise, c’est une autre affaire. C’est pourquoi ceux qui ne font que de l’orthodontie, sans faire de l’ODF. sont condamnés à faire des contentions globales qui sont défavorables, occlusalement et parodontalement.

Souvent, après ce genre de traitement, ce sont toutes les dents qui bougent d’un seul coup.
Pour moi c’est du bricolage, pas de l’ODF.

Ou de la préparation au dentier, ou à l’implantologie, s’il reste de l’os, sinon greffes etc …

En tout cas, ce n’est pas un service à rendre au patient.
A cout terme, peut être, mais après ?

Je n’ai jamais été d’accord avec ce type de traitement qui apporte une satisfaction immédiate au praticien, et au patient, qui malheureusement, n’est pas informé des risques dans le temps.

@+ Bjc.


1 p3qrc4 - Eugenol
Bjc.

03/02/2013 à 21h48

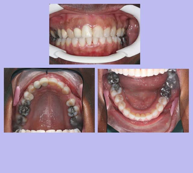
Voici, par exemple, un cas traité selon les principes O.D.F.

SANS contention

@+

002 tz0pmg - Eugenol
009 frcmt9 - Eugenol
0011 doolys - Eugenol

Grueavatar nptrc9 - Eugenol
Le Choixpeau magique

03/02/2013 à 23h31

Et combien d'années de recul sur ce cas (anecdotique) ?

Les études sont sans appel, seule la contention permanente permet d'avoir une garantie de stabilité, et même Damon ne se fait pas prier pour le rappeler.


1 p3qrc4 - Eugenol
Bjc.

04/02/2013 à 02h18

On va dériver sur la contention (qui n’est pas le sujet)
Les américains, pour des raisons de procès, font des contentions à vie.

Au risque de me répéter, ce cas fait partie de mes expériences personnelles, avec le consentement du patient, qui portent sur 10 cas.
J’ai eu 50% de récidives, résolues en 4 mois, à la suite desquelles j’ai fait une contention.
Ce cas comme les autres date de 5 à 6 ans.

Ce que j’ai constaté, c’est que, sur les cas avec reformage d’arcade, je n’ai eu aucune fracture de contention, contrairement aux cas que je contentionnais avant.

J’en déduis empiriquement, que, dans ces cas, les forces qui s’opposent à la contention sont plus faibles que les forces des cas que je traitais avant, sans reformage d’arcade.

Vous en conclurez ce vous voudrez

@+ Bjc.


1 p3qrc4 - Eugenol
Bjc.

04/02/2013 à 02h21

Bon, si on revenait au recul de la 6 ?

@+ Bjc.


1 p3qrc4 - Eugenol
Bjc.

04/02/2013 à 04h37

Mac Namara a testé ce qu’il y a de plus difficile, c.a.d. un recul en translation.
Ce qu’un certain, qui persiste à faire de l’orthodontie, a confondu avec un recul de la couronne (en version)

J’ai voulu faire part de mes constations cliniques qui sont :
Les gains qu’obtient mac Namara sont perdus pour les raisons qu’a donné Amoric

Maintenant, on peut, pendant la croissance, empêcher d’avancer la 6, (V.T.O.) ce qui revient à la faire reculer par rapport à sa symétrique.

Sur adulte, on peut reculer la couronne de la 6, si elle est versée, sans avoir à immobiliser l’apex, l’apex devient un ancrage, meilleur qu’une mini-vis..
On redresse la 6, tout simplement.

Déplacer les apex est extrêmement délicat, et est la cause de résorptions.

@+ Bjc.


1309531 ours brun n5iukf - Eugenol
seespan

04/02/2013 à 04h58

Pour le cas présenté par Dancha il s'agit d'un cas avec atteinte du parodonte relativement importante vue que les racines palatines des molaires sont visible.

La contention total n'est donc pas une contention orthodontique mais une contention parodontal, en toute probabilité ce patient à était suivit dans le cadre d'un traitement multidisciplinaire. Un parodontologiste a donc due réaliser la contention en fin de traitement dans le cadre du traitement parodontologiste.


Pour la résorption des racines, c'est proportionnel au mouvement si je ne dis pas de bétise. Dans un traitement classique le mouvement qui présente la plus fort probabilité de résorption (au niveau de l'apex là ou ça compte) est donc torquer une racine.

Pour les contention le sujet fait débat, certain orthodontiste très renommer réalise des traitements sans contention permanente.

Les études sur la stabilité indique que dans tout les cas c'est fortement conseillé au niveau du bloc incisivo canin inférieure.
--
หมอจัดฟัน


12