Cookie Consent byPrivacyPolicies.comNécrose spontanée 27? - Eugenol

Nécrose spontanée 27?

Maké

17/01/2013 à 16h13

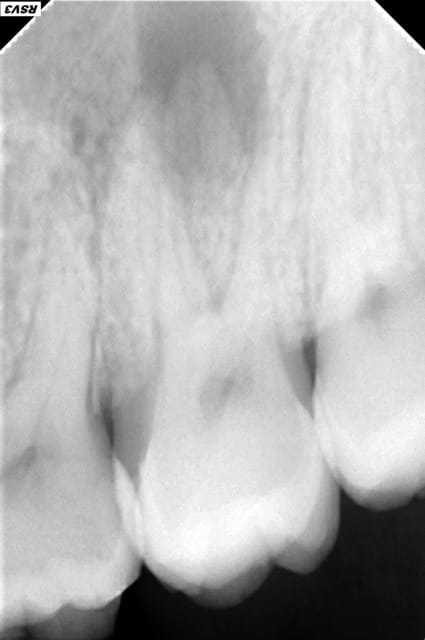
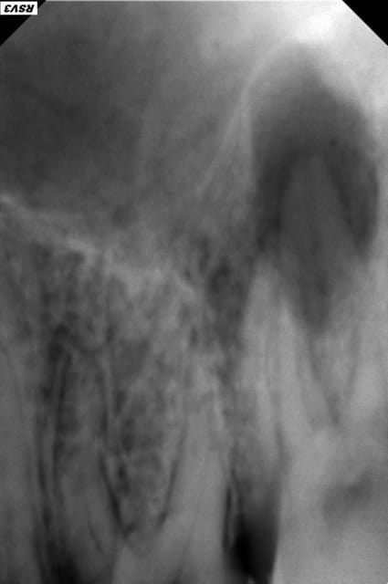
Patiente 18 ans, se présente pour douleurs à la pression dans le secteur 2.

Examen clinique: Fistule palatine et voussure vestibulaire en regard de 27.

Douleur percussion 27.

La dent est indemne. Pas de carie.

La radio parle d'elle même.

C'est bien une nécrose pulpaire qui s'est compliqué en abcès apical? C'est possible sur une 7 une nécrose spontanée comme ça (j'entend par la un choc antérieur ou autre...)

Ou alors je passe à coté de quelque chose?

merci à vous!



Necrose 27 1 khjlxc - Eugenol
Necrose 27 2 p6jkkc - Eugenol

1309531 ours brun n5iukf - Eugenol
seespan

17/01/2013 à 16h23

Prendre une radio avec cone de guta inseré dans la fistule.

Sinon test de vitalité ?
Situation occlusal ?
Sondage paro ?
Pano ? (autant voir large)

--
หมอจัดฟัน


Maké

17/01/2013 à 16h28

seespan écrivait:
-----------------
> Prendre une radio avec cone de guta inseré dans la fistule.
>
> Sinon test de vitalité ?
> Situation occlusal ?
> Sondage paro ?
> Pano ? (autant voir large)
>
> --
> หมอจัดฟัน

Test de vitalité négatif (je suis aller jusqu'au test de fraisage...), situation occlusale satisfaisante, la patiente ne présente aucun problème dentaire à part ça. j'ai pas pensé au sondage paro, je suis peut être passé à coté d'une fissure...


1309531 ours brun n5iukf - Eugenol
seespan

17/01/2013 à 16h48

Une radio sous trois angulation aurait put être sympa pour une fissure fracture.
Tu peut prendre avec cône de guta dans la fistule pour voir si ça remonte jusqu'a l'apex d'une racine.

Sinon une pano pourrait étre sympa juste pour voir les structures environnante.

La d'après la radio si en plus pas de signe de vitalité = ouverture de chambre.

Pour l'étiologie je dirais comme dick cheney quand on lui a appris que du matériel radioactif avait était volé en Irak et avait passé la frontière Iranienne.

"sometime stuff happen"

Je suppose qu'il n'y a pas d'histoire de trauma ?
En latéralité et propulsion pas d'accroche ?

--
หมอจัดฟัน


carident

17/01/2013 à 17h45

Nécrose abiotique suite à un choc...
L'anamnèse devrait permettre de révéler le trauma s'il y en a eu un. Si elle ne s'en souvient pas, il faut un peu orienter les question... est-elle déjà tombé sur le menton suite à un coma éthylique? une crise d’épilepsie? un évanouissement éventuelle ces derniers mois?
J'ai une patiente qui s'était cassée deux molaires suite à un coup de boule d'une vache sur son menton!

S'il n'y a pas eu de choc, peut-être que la patiente claque des dents la nuit?

Possible qu'il ne soit pas possible d'objectiver une quelconque fêlure par sondage, car la dent n'est peut être ni fêlée, ni fracturée. Dans ce cas là, cela serait une nécrose abiotique suite à une concussion assez violente pour avoir rompu le paquet vasculo-nerveux sans avoir endommagé les tissus durs de la dent... (mais c'est quand même très peu probable au niveau des molaires, il faut des forces horizontales pour que cela arrive).


Blondie

17/01/2013 à 20h08

J'ai eu exactement le même cas sur un patient de 18 ans. 27 sans fêlure apparente, sans aucune atteinte carieuse, pas de souvenir de trame, seul un antécédent de traitement ortho à signaler. L'image radio n'était pas aussi claire, mais la récurrence de l'abcès (2 à 2 mois d'intervalle, je ne l'ai pas vu la première fois) et l'absence de sondage parodontal m'ont finalement fait me décider pour l'endo. Test de fraisage négatif, quand je suis rentré dans la chambre il y avait pas mal de tissus fibreux et la pulpe était nécrosée. Depuis le traitement, RAS...


malimor33

18/01/2013 à 02h37

Vu aussi plusieurs cas identiques sans fêlure apparente, mais en déposant une goutte d'éosine on de teinture d'iode dans la chambre après trépanation on arrive très bien à objectiver une fêlure même très fine. Les loupes ça aide bien aussi.


paulru

18/01/2013 à 11h43

Vu aussi une fois, sur une 36. Patient d'une 20 d'année, j'étais en remplacement, un de mes premiers rempla.

Le patient avait voir un autre dentiste avant moi, une personne avec de l'expérience, bien plus que moi modeste étudiant.

Le patient se plaignait de douleur sur cette dent, le dentiste n'avait rien vu. Il avait juste prescrit des antalgique.

Le patient, est venu me voir ensuite car sa douleur ne passait pas et que son dentiste ne voyait rien. Imaginez la pression sur moi !

J'ai repris mes fondamentaux, :
- rien de visible en bouche, pas de carie, pas de poche paro, pas de trace de la moindre inflammation
- rien à la radio
- mais 36 sensible à la percussion axiale, et test au froid negatif.

Me voila bien avancé.

Je dis au patient que c'est probablement une nécrose de sa dent, lui demande s'il a déjà eu un trauma, un choc ou autre. Il ne se rappelle de rien.

Je lui expose la situation : le seul moyen d'être certain du diagnostic c'est d'ouvrir la dent. Mais j'étais vraiment des scrupule sà ouvrir une dent visiblement saine dans une bouche ultra saine sans le moindre soin existant ni la moindre carie.

Je prends ma plus belle fraise boule, et avec son accord je me dirige vers la pulpe. Je descents doucement toujours avec ce remors de fraiser une dent saine comme je le faisais en TP à la fac.
Puis vient la sensation de vide sous ma fraise. Me voila dans la pulpe. Le patient n'a ressenti aucune douleur.
J'ouvre bien, et je vois... rien. Chambre vide.

Je l'ai revu, j'ai fait l'endo et depuis RAS.


Monsieur Poupi

18/01/2013 à 14h10

ce matin, nécrose d'une 26 chez une jeune fille de 18 ans.
la 36 avait été extraite il y a longtemps, et la 26 a maintenant un contact prématuré sur la 37 parce qu'elle a egréssé un peu.


carident

18/01/2013 à 14h42

paulru écrivait:
----------------

> J'ai repris mes fondamentaux, :
> - rien de visible en bouche, pas de carie, pas de poche paro, pas de trace de la
> moindre inflammation
> - rien à la radio
> - mais 36 sensible à la percussion axiale, et test au froid negatif.
>

En générale dans ces cas là, il y a toujours une lésion apicale responsable de la douleur à la percussion axiale. Elle peut ne pas être visible sur une pano suivant le plan de coupe, ou sur une radio rétro-alvéolaire suivant l'incidence, mais sera visible avec un Cone Bean...


paulru

18/01/2013 à 19h11

Exact, mais je n'avais pas de cone beam sous la main.

D'ailleurs, je n'ai jamais eu l'occasion d'utiliser ce genre d'imagerie. C'est interessant pour de l'omnipratique ? ou bien c'est vraiment indiqué seulement pour l'implanto ?


Utilisateur banni

28/01/2013 à 11h12

Possible oui surtout si elle s'est prise une droite qui ets donc arrivée à gauche!