Cookie Consent byPrivacyPolicies.comTourisme dentaire - Eugenol

Tourisme dentaire

015 agccv9 - Eugenol
alexandre1er

18/01/2013 à 10h26

Dimanche matin sur France inter à 9h10:reportage sur le tourisme dentaire en hongrie...


Marque a3 orange fyvhyq - Eugenol
Marc Apap

18/01/2013 à 12h53

Bridge bulgare sur une Bulgare qui pourtant a les moyens.

Bridge bulgare efels0 - Eugenol

Photo pluton1b h9n4ea - Eugenol
pluton

18/01/2013 à 13h09

Marc Apap écrivait:
-------------------
> Bridge bulgare sur une Bulgare qui pourtant a les moyens.

affûte les forets zimmer...;-)


Monsieur Poupi

18/01/2013 à 14h06

C'est la première chose que j'ai entendu à la radio ce matin. Ça m'a foutu de mauvais poil pour le reste de la journée... Je n'écouterai pas, j'ai pas envie de n*** mon dimanche non plus.
Ça sera exactement comme les autres reportages j'en suis sure.(vu le petit avant gout de ce matin)


roudy

18/01/2013 à 14h18

Bridge Bul...gare à tes dents et/ou bridge Bullshit ?


carident

18/01/2013 à 14h31

Bridge Chinois... Qui dit mieux?

Et ça a été fait il y a plusieurs décennies. Comme quoi quand les patients sentent que c'est bancale, il y a une adaptation psychomotrice inconsciente des muscles masticateurs...

Pano 3 omwwcy - Eugenol

Tumblr nbpd8ntwip1rsb3deo1 1280 hyinig - Eugenol
Enki

18/01/2013 à 14h31

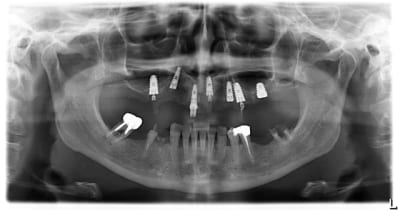
J'avais déjà posté ce cas me semble-t-il, mais je recommence car il est "pédagogique".

La patient consulte pour sa réhabilitation. Je me vois obligé de lui proposer un plan de traitement à base de "on dépave tout" (je conserve de 35 à 43). Puis sinus lift....Bref le traitement classique. Il y en avait pour 25k€ à la louche. C'est très cher j'en conviens.

Une heure de consultation a expliquer le tenants et aboutissant puis elle s'évapore.

Quelques mois après elle revient "pour un bridge descellé qui fait mal". Je ne fais pas attention à qui c'est, je la reçois comme toutes les urgences douloureuse, patiente du cabinet ou pas.

Là je découvre un bridge provisoire en résine implanto-porté. Devant la mobilité de l'ensemble je prends une pano.

A la vue de cette dernière je lui demande ou elle a fait ça, tout en restant parfaitement confraternel.

D'un ton assez sec elle me répond que c'est "un ponte marocain qui fait ses études au states" (sans doutes plein de diplômes post graduate of michigan university au mur).

Je l'ai donc renvoyé vers son ponte de Rabat. Je n'ai plus jamais eu de nouvelle.

Implantmaroc zobbvd - Eugenol

Olieve

18/01/2013 à 14h44

Enki écrivait:
--------------
c'est "un ponte marocain qui fait ses études au states"


Il y a mis de la bonne volonté, il a choisi différents implants pour s'adapter à chaque site...

Ou alors il a vidé ses fonds de tiroirs.


Tumblr nbpd8ntwip1rsb3deo1 1280 hyinig - Eugenol
Enki

18/01/2013 à 14h55

Y'en a quand même 2 qui ont évité un sinus ou une fosse nasale...C'est à ça qu'on voit que c'est un ponte.


Images 1 vwmtnm - Eugenol
Castor

18/01/2013 à 14h57

t'es sur qu'elle a pas dit "une pompe"?


Little shop of horrors brzqjx - Eugenol
chatondecarte

18/01/2013 à 16h51

Tourisme dentaire ou non, ce genre d'artiste (et bien pire) on en trouve sans difficulté en France. Et même dans les beaux quartiers parisiens. Et là c'est pas du low cost.


jeff31

18/01/2013 à 18h05

bien vu chatondecarte, je confirme.


Img 3657 cwjvqm - Eugenol
alapex

18/01/2013 à 21h41


.


jeut

26/02/2013 à 02h28

https://dl.dropbox.com/u/48514833/Dentaire_Banlieue/implanto_mon_amour.html


Avatar ow44t3 - Eugenol
Chicot

27/02/2013 à 09h23

jeut écrivait:
--------------
> https://dl.dropbox.com/u/48514833/Dentaire_Banlieue/implanto_mon_amour.html
>

C'est du 2' degrés Hiiiiiiii!

Alors t'es journaliste ?

--
;O)


Images jm2g2g - Eugenol
dr_0le

27/02/2013 à 10h08

Très bon reportage en tout cas..


Images jm2g2g - Eugenol
dr_0le

27/02/2013 à 10h08

Très bon reportage en tout cas..


paradoxe

27/02/2013 à 10h15

MDR
Merci pour ces fabuleux panos !!
Vraiment excellents !
J'adore !
Certaines personnes préfèrent supporter les douleurs physiques et même la mort pour éviter les douleurs psychiques (reconnaitre que l'on a pris une mauvaise décision)


jeut

28/02/2013 à 00h32

j'avais pas vu ce message de ce matin, mais entretemps...