Cookie Consent byPrivacyPolicies.comgestion papilles - Eugenol

gestion papilles

arno

18/01/2013 à 18h27

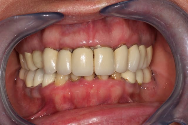
Un gros cas à démarrer: une charmante patiente début cinquantaine, hyper complexée par son sourire, inconfort total, etc...

Tout est à refaire: paro,cérams, quelques implants en vue, bref un boulot sympa à faire.

Ma question concerne les papilles: les céram rectangulaires sont hideuses, mais après la paro, le problème des papilles ne va pas s'arranger et lui faire des couronnes plus féminines va créer des trous noirs...
Je ne me vois pas non plus faire des élongations coronaires vue la position de la ligne du sourire...

Comment géreriez vous ce problème?

Bon We à tous

Img 3384 y4yy7n - Eugenol
Img 3383 x5zd7h - Eugenol

n.

18/01/2013 à 18h50

le bord libre des incisives est trop bas
le recouvrement me semble assez important
est ce que les secteurs post mandibulaires ont été réhabilités avec une hauteur suffisante ?

si la dv actuelle est satisfaisante :
tu refais tout le bas un peu plus haut, tu réduis la dv au maxillaire
tu règles ton problème de papilles avec des elongations coronaires
ton problème esthétique avec une ligne de sourire plus haute
tu améliores le guidage


G-P

18/01/2013 à 19h35

Big up au prothésiste

2161123383 small 1 dgceqc - Eugenol

Smile beach jgh0a1 - Eugenol
Céramik

18/01/2013 à 23h56

n. écrivait:
------------
> le bord libre des incisives est trop bas
> le recouvrement me semble assez important
> est ce que les secteurs post mandibulaires ont été réhabilités avec une hauteur
> suffisante ?
>
> si la dv actuelle est satisfaisante :
> tu refais tout le bas un peu plus haut, tu réduis la dv au maxillaire
> tu règles ton problème de papilles avec des elongations coronaires
> ton problème esthétique avec une ligne de sourire plus haute
> tu améliores le guidage
>

+1 sur tout
Les incisives sont trop longues

Des radio

--
Céramik


Avatar2 u3u8yh - Eugenol
riccyman

19/01/2013 à 01h13

y a du boulot...

avoir une belle courbe de spe se fera difficilement. La marche d'escalier est inévitable sauf a faire des élongations coronaires partout. A voir la longueur des racines.

Y a un bon problème squelettique quand même, le pré maxillaire équin, ça limite les perspectives.

le sourire doit être maximal, et si la lévre remonte et découvre les gencives jusqu'aux yeux, ben.... désolé madame, on va faire juste un peu mieux.

tester en provisoire. faire des dents les plus petites possibles.

On voit pas bien l'arcade inf.

Amuse-toi.

Cas eug cblytv - Eugenol

Avatar2 u3u8yh - Eugenol
riccyman

19/01/2013 à 01h17

a part ça, on jurerai qu'elle porte un dentier de farce et attrape. je comprends qu'elle soit complexée.


arno

19/01/2013 à 16h03

oui on va s'amuser, de toutes façons on ne peut pas faire pire!!!
En plus ce qu'on ne voit pas, c'est que toutes les cérams sont débordantes de presque 2 mm...

Bon, on va faire un wax-up, déposer tout ça, mettre sous provisoire, faire un bon traitement paro, faire des plasties gingivales pour retrouver un semblant de papilles, et ensuite à mon protho de jouer.

Je vous poste la pano lundi.


flicflac

21/01/2013 à 04h49

overbite prononcé
au sourire il me semble que la longueur des dents avec la lèvre inférieure est pas si mal, canine 23 un peu longue.

Pour moi, pas d'hygiène, pas de prothèses fixes...sinon...on voit le résultat ici... perte osseuses, récession, perte de papilles...maintenant les nouvelles dents seront encore plus longues à moins de racoucir et de changer l'harmonie du sourire.

Nous attendons avec impatience des photos avec provisoires en bouche.


Pepsi tmi4vp - Eugenol
cartman

21/01/2013 à 10h43

Aurais tu une photo bouche entrouverte, lèvres au repos? Ce genre de photos nous donnera beaucoup plus d'infos sur la position des bords libres des incisives.
C'est le genre de cas où une réhabilitation globale est à envisager avec le devis en conséquence.

Hate de voir la suite du cas.