Cookie Consent byPrivacyPolicies.comDépassement avec projection sur le nerf alvéolaire inférieur - Eugenol

Dépassement avec projection sur le nerf alvéolaire inférieur

denty352

20/01/2013 à 03h42

Message pour la rubrique endo !

Bonjour à tous,
A l'heure qu'il est j'ai du mal à dormir à cause d'un échec endo.
Le patient, un enfant de 10 ans, sa 36 est très délabrée,et sa maman l'amène après un passage par le chirurgien-dentiste de garde. Celui-ci avait fait une pulpotomie.
Je fais donc le parage: sous digue, avec hypochlorite , système de préparation Hero Shaper, radio cône calibré en place ok.

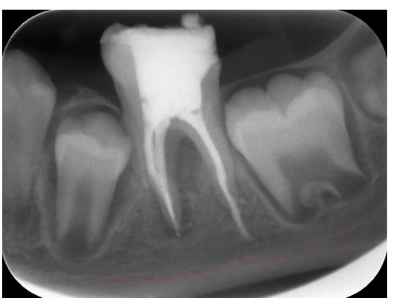
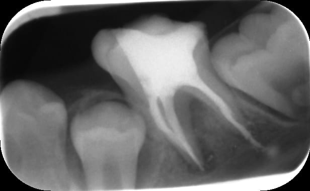
J'obture au Mac Spadden et je fais la radio post op: dépassement sur le canal distal, jusqu'au nerf alvéolaire inf !
Ouuufff !
Le lendemain l'enfant n'a pas mal mais le surlendemain les douleurs commencent, elle cèdent au doliprane et à l'ibuprofène (pas les deux en même temps).
Je vois le petit à J+3, il va bien car la maman lui avait donné un médicament avant de venir. Je l'ai mis trois jours sous ibuprofène 200 mg et j'ai mis la dent en sous occlusion (j'avais mis un peu trop de pansement)

Qu'en pensez vous ? Risque-t-il d'avoir mal longtemps ?
Il est très jeune, la cicatrisation peut elle être plus rapide ?


1309531 ours brun n5iukf - Eugenol
seespan

20/01/2013 à 08h01


Je vais peut etre dire une grosse connerie mais pourquoi ne pas envoyer en consultation pour avis dans un service de neuro chir ?


--
หมอจัดฟัน


denty352

20/01/2013 à 10h18

J'ai l'espoir que le problème pourra se résoudre sans faire appel aux "gros moyens" !


120 81 mdkvjo - Eugenol
Monaco

20/01/2013 à 10h28

L'apex était bien fermé ?
T'as une radio ?

Je pense que tu ne risques pas énormement, la pâte en elle même ne peut pas léser le NAI à mon humble avis. Les douleurs devraient disparaitre à la cicatrisation. Adresse par précaution.


denty352

20/01/2013 à 11h09

Voici des radios:

Pre op tkcn8m - Eugenol
Per op qyau2v - Eugenol
Post op 1 qinen3 - Eugenol
Post op2 hvhcb9 - Eugenol

Img 0052 dkvbyu - Eugenol
Leandro

20/01/2013 à 11h11

Apex pas assez fermé,pas d'obturation définitive.


Logo m4n3gc - Eugenol
drmarcus

20/01/2013 à 11h19

Du calme, moi aussi au risque de dire une ânerie il faut déjà poser le problème.

Dans ton diagnostic clinique tu ne fais allusion à aucun signe clinique relatif à une lésion du N.A.I..

Ceux ci se rapprochent plus de l'arthrite "médicamenteuse". Ce point semble se confirmer par la suppression des douleurs sous AINS. Cette douleur apparait à distance de l'acte comme dans ton cas. La durée est fonction "de l'age du capitaine".

Voilà a priori ce n'est pas grand chose juste une petite complication des suites post op.

Par ailleurs il faut se méfier des rx en 2D il n'est absolument pas sur que ce soit dans le même plan que le N.A.I.

Tiens nous au courant. J'espère avoir raison.

--
"La seule chose promise d'avance à l'échec, c'est celle que l'on ne tente pas" Paul Emile VICTOR


denty352

20/01/2013 à 11h32

Dr.marcus

J'aimerais tellement que ce soit effectivement le cas !
C'est vrai que les douleurs qui sont apparues que le surlendemain sont calmées par des antalgiques légers.

Il n'y avait pas de signes de douleurs à la percussion, juste une douleur vers l'apex de la dent...
Absence de paresthésies également.
A votre avis, quel serait l'impact du jeune âge de mon patient sur les possibles suites ? Pensez-vous que la cicatrisation peut être plus rapide ?
Le NAI n'est pas encore positionné de façon définitive. Avec la croissance il va s'éloigner des apex dentaires.
J'ai passé une nuit difficile, pffff


1309531 ours brun n5iukf - Eugenol
seespan

20/01/2013 à 11h35

Disons que mois j'aurais envoyer en consultation neuro chir pour ne pas que l'on puisse me reprocher un manque de moyen :-).
J'avoue que ça semble un peut disproportionné mais c'est rembourser par la sécu, mes connaissance sur les lésions nerveuse sont aussi relativement limité surtout pour ce type de lésion qui apparemment n'est pas mécanique donc autant envoyé a un pro.

Soit il n'y a rien a faire et le neuro va confirmer
Soit il y a quelque chose a faire et la forte chance que se ne soit pas de notre domaines.
Le problème étant bien entendus si l'acte en question a une chance de succès qui décroit avec le temps. La on peut tomber dans le domaine de perte de chance.


--
หมอจัดฟัน


denty352

20/01/2013 à 11h38

seespan,
Je revois le petit mercredi, je l'adresserai si les douleurs ne se sont pas atténuées.


carident

20/01/2013 à 11h50

C'est pas sûre qu'il n'y ait qu'un dépassement de pâte, ton cône de gutta est certainement aussi passé au delà de l'apex...
De toute façon l'obturation n'est certainement pas étanche, et avec un apex encore trop ouvert, il sera difficile d'obtenir une étanchéité suffisante.

Si le germe de la 38 est présent, je préconise d'extraire rapidement la 36, cela enlèvera par la même le cône de gutta.


Mug2dm79f9axozneagomtszjwylf - Eugenol
Piccalilly

20/01/2013 à 11h56

D'accord avec drmarcus,

une nuit difficile à ruminer sur un cas qui nous soucie, c'est dur, on est tous passé par là.
Mais là, tu dois relativiser.

Un bon dépassement de pâte dans le canal NAI, ça m'est arrivé une fois, mais on voyait carrément une migration à l'horizontale du ciment canalaire, et paresthésie, ce que tu n'as pas.
A l'époque, j'ai adressé, et la consigne a été abstention et surveillance, anti inflammatoire, Vit B, déclaration à la RCP.

Pas de suite, récupération sur quelques semaines.



denty352

20/01/2013 à 11h59

cariedent:
Ce gamin très gentil au passage, présente un état buccal très mauvais:
La 36 que vous voyez sur la radio, la 46 qui est à extraire et les incisives définitives sont les seules dents présentes à la mandibule.

Du fait qu'il n'a pas été appareillé, il y a une perte de l'espace prothétique à droite et à gauche, les six maxillaires étant égressées. Les dents lactéales mandibulaires ayant été perdues, les dents définitives sortiront sans guidage et dans un contexte de manque de hauteur. Il faudra un bon traitement ortho.

Dans ce contexte, je voulais lui sauver la 36, seule dent présente. De façon générale, beaucoup de patients présentent des traitements plus ou moins réussis, sans symptômes et pourtant on n'enlève pas systématiquement ces dents du fait d'un manque d'étanchéité du traitement endo.
Ne penses tu pas que l'extraction serait un peu radicale comme traitement ?


denty352

20/01/2013 à 12h11

Picallily,

En effet j'avais déjà vu des dépassement dans le NAI et il y avait ce déplacement horizontal de pâte.
Dans ton cas, les douleurs sont apparues dès l'arrêt de l'anesthésie ?
Dans le cas de mon patient,il n'y a pas de signes de lésions du NAI.

Vu le dépassement c'est peut être normal qu'il ait mal.

Si mercredi ça ne va pas, je pense adresser à un chir maxillo-faciale ou à un spécialiste du CECSMO de l'hôpital de mon secteur.


belette

20/01/2013 à 12h13

Au risque de dire moi aussi une ânerie, je pense que tu es loin du canal. Si la pate part dans le canal, elle s'étend horizontalement comme l'a dit Piccalilly.

^ ... ^
Ô"""Ô
= o =
°°°°°

Canal yl8ofc - Eugenol

carident

20/01/2013 à 12h14

Il faut l'adresser à un ortho, et il faut qu'il aille le voir très rapidement...

Par ailleurs, étant donné la perte prématuré des molaires de lait, la 36 s'est mésialée et empêche la 35 d'évoluer! Extraire rapidement la 36 permettra à la 35 de pousser rapidement, et à la 37 de se mésialer tout en sortant...


denty352

20/01/2013 à 12h17

En effet Belette, celle-ci c'est la radio post op du jour de l'endo. Ce jour là je me suis dit la même chose. La deuxième radio post op a été prise à J+3 et en distalant l'angle d'incidence du cône radio. Donc ce qu'on voit sur la deuxième radio ne correspond pas à une incidene orthogonale.


denty352

20/01/2013 à 12h33

carident écrivait:
------------------
> Il faut l'adresser à un ortho, et il faut qu'il aille le voir très rapidement...
>
> Par ailleurs, étant donné la perte prématuré des molaires de lait, la 36 s'est
> mésialée et empêche la 35 d'évoluer! Extraire rapidement la 36 permettra à la 35
> de pousser rapidement, et à la 37 de se mésialer tout en sortant...
............................

C'est très bien vu. Le rendez-vous chez l'ortho a été déjà pris, mais ça sera qu'en avril. Peut être qu'il faudrait qu'il aille chez un autre ortho pour un rendez-vous plus rapide.
Je comptais lui faire une prothèse amovible résine que je rebaserai progressivement en mésial de la 36 pour distaler celle-ci et désenclaver la 35. Dans le sens verticale, je voulais faire des rebasages sur les faces occlusales en parallèle avec des ingresions (sur des minivis) des 6 maxillaires. Sur la 36 j'envisage un inlay-onlay composite.


Cependant, si j'extrais la 36, il n'a plus de dents en secteurs postérieurs, ce n'est pas très conservateur mais ça peut permettre de symétriser l'arcade mandibulaire, en sachant que la 46 est sans doute, à extraire...faut l'avis de l'ortho aussi.


kluby

20/01/2013 à 12h41

denty352 écrivait:
------------------

> C'est très bien vu. Le rendez-vous chez l'ortho a été déjà pris, mais ça sera
> qu'en avril. Peut être qu'il faudrait qu'il aille chez un autre ortho pour un
> rendez-vous plus rapide.
> Je comptais lui faire une prothèse amovible résine que je rebaserai
> progressivement en mésial de la 36 pour distaler celle-ci et désenclaver la 35.
> Dans le sens verticale, je voulais faire des rebasages sur les faces occlusales
> en parallèle avec des ingresions (sur des minivis) des 6 maxillaires. Sur la 36
> j'envisage un inlay-onlay composite.
> Si j'extrais la 36, il n'a plus de dents en secteurs postérieurs, ce n'est pas
> très conservateur mais ça peut permettre de symétriser l'arcade mandibulaire, en
> sachant que la 46 est sans doute, à extraire..

Je ne connais pas l'état en bouche mais à partir du moment où tu vas extraire la 46 à quoi bon garder une 36 avec une bio. Elle va être comment cette dent dans 10 ans? Puis ce rajoute le problème du dépassement moi j’enlèverai et une PPA en surveillant l'éruption. Tout va se mésialer rapidement et on ne verra même plus l'absence des 6.


Bubo bubo portrait xqn39s - Eugenol
oiseaudenuit

20/01/2013 à 12h43

Les douleurs neuropathiques d'origines traumatiques peuvent survenir dans un délai libre. C'est dire dans la semaine (le plus souvent) ou dans six mois (plus rare). Vu la radio, le NAI ne semble pas touché (souvent le ciment tapisse le canal ce qui donne cette image de trait horizontal). De plus, les symptômes décrits évoquent une douleur de type inflammatoire tout à fait banale après un traitement endo. D'ailleurs le fait que les antalgiques usuels calme cette douleur va dans ce sens car les douleurs neuro ne cèdent pas avec les antalgiques de niveau I. Et pour finir, si lésion nerveuse il y a, la symptomatologie sera principalement de type déficit nerveux (hypoesthésie, anesthésie de la région mentonnière).
A mon avis, il est prématuré d'adresser à un neurologue ou un neuro chirurgien. Déjà que chez l'adulte ils interviennent rarement et qu'après échec des traitements médicamenteux...
Si ça t'intéresse, il y a article dispo gratuitement sur pubmed : Inferior Alveolar Nerve Injury Caused by Thermoplastic Gutta-Percha Overextension. Très concis.


carident

20/01/2013 à 12h46

la 35 et la 37 peuvent évoluer très très rapidement (elles sont "très proches de la sortie"), si tu enlève la 36 qui les bloque.
C'est en quelque sorte un protocole d'extraction piloté... La 36 est pour moi condamnée à long terme, nonobstant l'absence de pâte ou de gutta au contact du NAI. Mieux vaut faire la place à des dents encore saines!


 mg 0207 xwjxcl - Eugenol
Tillc

20/01/2013 à 12h47

Laisse tomber le neurologie ppour l instant c est de la connerie. Il fait juste une flambee infectieuse sur les peches. Ab paracetamol et vogue la galere. stop les ains sinon tu bas en plus lui coller une cellulite.


Logo m4n3gc - Eugenol
drmarcus

20/01/2013 à 12h48

denty352 écrivait:
------------------
> Dr.marcus
>
> J'aimerais tellement que ce soit effectivement le cas !
> C'est vrai que les douleurs qui sont apparues que le surlendemain sont calmées
> par des antalgiques légers.

Les antalgiques ne sont que des "placebos" dans ton cas. Aussi je pense avoir grandement raison effectivement.

>
> Il n'y avait pas de signes de douleurs à la percussion, juste une douleur vers
> l'apex de la dent...
> Absence de paresthésies également.

Alors là dors tranquille et laisse le temps de guérir que diable......!!!!!!


> A votre avis, quel serait l'impact du jeune âge de mon patient sur les possibles
> suites ? Pensez-vous que la cicatrisation peut être plus rapide ?
> Le NAI n'est pas encore positionné de façon définitive. Avec la croissance il va
> s'éloigner des apex dentaires.

Après 25-30 ans de pratique clinique tu verras que la nature est bonne fille. Il n'y aura aucune séquelle à long terme, tel que la situation semble se décrire. Pire ce sera le manque d'hygiène qui fera le plus de dégât.

> J'ai passé une nuit difficile, pffff

Relativises, plus facile à dire qu'à faire, je suis pareil :-((((. Certes tu ne te changeras pas alors apprends à faire avec et trouves toi une "danseuse" pour gérer ça.


--
"La seule chose promise d'avance à l'échec, c'est celle que l'on ne tente pas" Paul Emile VICTOR


Avatar hjdsnm - Eugenol
TiGabi

20/01/2013 à 12h57

1/ Une 36 avec apex immatures et infection endo-parodontale, sur un enfant à risque carieux élevé a un pronostic à 10 ans très mauvais.
2/ La 46 est à avulser ? L'avulsion de 36 permettra de symétriser les arcades.
3/ Il est à l'âge parfait : la furcation des 7 vient à peine d'apparaître. Elles se mettront en place des 6 sans mésioversion.
4/ Les dents de sagesse sont présentes et les 7 semblent avoir une dimension mésio-distale correcte.

Avulse la 36 ! Sans l'ombre d'une hésitation.


Avatar hjdsnm - Eugenol
TiGabi

20/01/2013 à 12h59

Même pas l'ombre d'une ombre !