Cookie Consent byPrivacyPolicies.comGreffe en onlay avec Biobank - Eugenol

Greffe en onlay avec Biobank

3f3boxni50k58rq7e9ce9ddqrxgk - Eugenol
dentiste57

20/01/2013 à 15h36

un petit cas effectué jeudi dernier avec un correspondant...

Dsc 1572 oxauwq - Eugenol

alex33

20/01/2013 à 20h56

Pas d'autres photos?;)


G-P

20/01/2013 à 21h12

Ca à l'air intéressant mais y'a qu'une seule photo ^^


3f3boxni50k58rq7e9ce9ddqrxgk - Eugenol
dentiste57

21/01/2013 à 11h49

puisque je ne peux pas aller travailler ce matin à cause de la couche de glace dans ma rue, je poursuis donc ...

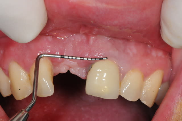
1- simplant
2-3-4- état de la situation
5-6-7-8 préparation de la surface à greffer : abrasion osseuse et perforations multiples pour l'apport sanguin.

Dsc 1571 vqj3mw - Eugenol
Dsc 1573 jzvmsv - Eugenol
Dsc 1578 w1tzg2 - Eugenol
Capture qtyedt - Eugenol
Dsc 1570 sqqj24 - Eugenol
Dsc 1575 mbo2g5 - Eugenol
Dsc 1581 sl1hgk - Eugenol
Dsc 1583 d48jrw - Eugenol

3f3boxni50k58rq7e9ce9ddqrxgk - Eugenol
dentiste57

21/01/2013 à 11h56

1- le greffon de Biobank

une plaquette avec la cortical et issu d'une tête fémorale d'un donneur vivant.
la préparation du bloc osseux se fait avec un procédé spécifique.

(voir le site de biobank: http://www.biobank.fr/ )

2-3- hydratation du greffon avec du serum phy (1/2 heure)

4-estimation du volume et de la morphologie à obtenir

5-6-7-8 préparation à la fraise et autres instruments...

Dsc 1584 woky1s - Eugenol
Dsc 1594 qkdj9o - Eugenol
Dsc 1587 ruvhyz - Eugenol
Dsc 1588 hgrrej - Eugenol
Dsc 1589 xl6zyu - Eugenol
Dsc 1590 koy21w - Eugenol
Dsc 1595 ldt8hz - Eugenol
Dsc 1596 e5195w - Eugenol

3f3boxni50k58rq7e9ce9ddqrxgk - Eugenol
dentiste57

21/01/2013 à 12h03

1-2-3 après plusieurs essaies, ça commence à adapter..

4- perforation du greffon pour les vis
(avantage, plus facile à mettre et évite un éclatemenbt du greffon pendant le vissage)

5-6-7-8 "rien ne se perd, rien ne se crée, tout se transforme"...
utilisation du reste du greffon pour en faire un broyat qui sera placé dans les interstices entre le site greffé et le greffon.

Dsc 1626 qh8hun - Eugenol
Dsc 1629 ejqm7a - Eugenol
Dsc 1606 hbfqlg - Eugenol
Dsc 1611 agzzlo - Eugenol
Dsc 1615 gamo3n - Eugenol
Dsc 1622 yld4sw - Eugenol
Dsc 1624 dtqzqk - Eugenol
Dsc 1628 jdjiqh - Eugenol

3f3boxni50k58rq7e9ce9ddqrxgk - Eugenol
dentiste57

21/01/2013 à 12h05

je reviens tout à l'heure, les enfants veulent faire de la luge...


3f3boxni50k58rq7e9ce9ddqrxgk - Eugenol
dentiste57

21/01/2013 à 14h16

ça y est fini la promenade dans la neige!
suis épuisé, ils font fait tirer les luges comme un mulet!

1-dépose broyat osseux

2- positionnement greffon avec une pince stoma (merci dudule, elle est vraiment bien celle ci)

3-vissage avec vis ostéosynthèse anthogyr (super pratique car sécable et montée sur CA

4-5-6-7- greffon avec préparation des têtes de vis

8-9-10-11-12- PRF en recouvrement

13 sutures

dés que je peux je mets des photos à j+ 8

Dsc 1634 cbbfho - Eugenol
Dsc 1645 keqx3b - Eugenol
Dsc 1650 clt8hv - Eugenol
Dsc 1656 z3vq7r - Eugenol
Dsc 1658 hx67td - Eugenol
Dsc 1660 ccqys5 - Eugenol
Dsc 1669 u4nkkh - Eugenol
Dsc 1676 wzsqrx - Eugenol
Dsc 1630 aeoqhw - Eugenol
Dsc 1632 ehp3z1 - Eugenol
Dsc 1646 qmcvdq - Eugenol
Dsc 1649 ernzfw - Eugenol
Dsc 1657 at0wq8 - Eugenol

Utilisateur banni

21/01/2013 à 14h34

Toujours aussi didactique, merci.


S2y2o1v7q53ws4r5wy6ou8czrpom - Eugenol
pxav

21/01/2013 à 15h09

nickel, mais que de temps....
Le greffon tout prêt c'est quand même bien :-))

--
xbk
"Si tous ceux qui croient avoir raison n'avaient pas tort, la vérité ne serait pas loin" Dac Pierre


arno

21/01/2013 à 15h44

dentiste57 écrivait:
--------------------
issu d'une tête fémorale d'un donneur vivant.

Comment ça se passe? c'est récupéré lors des prothèses de hanche?

Comme d'hab, super boulot!


3f3boxni50k58rq7e9ce9ddqrxgk - Eugenol
dentiste57

21/01/2013 à 18h44

oui, prothèse de hanche.

le bloc fait 20*10*5, c'est nickel comme dimension et à priori le biobank donne de meilleurs résultats qu'avec le purros de zimmer qui n'est que du spongieux.


doctyoni

21/01/2013 à 18h50

Pourquoi as tu recouvert la greffe de PRF ?


3f3boxni50k58rq7e9ce9ddqrxgk - Eugenol
dentiste57

21/01/2013 à 22h06

Ben parce qu'en cas d'exposition le Prf en 2 couches protége avantageusement le greffon


dentiste68

21/01/2013 à 22h17

Salut Thomas,
Superbe travail... Comme d'hab ;-)
Question PRF: il y avait un débat sur eugenol il y a quelques temps entre les deux versions de centrifugeuse, il le semble que tu as l'ancienne version, en es-tu satisfait? As tu suivi une formation? Si oui laquelle?
Merci.


Img 1744 z0evts - Eugenol
dumaille

21/01/2013 à 22h18

comment penses tu gérer le décalage quasi crestal de la ligne muco-gingivale.

--
La vie est une fête!


3f3boxni50k58rq7e9ce9ddqrxgk - Eugenol
dentiste57

21/01/2013 à 23h13

dumaille écrivait:
------------------
> comment penses tu gérer le décalage quasi cristal de la ligne muco-gingivale.
>
> --
Je ne suis pas bien sûre de comprendre ta question


Img 1744 z0evts - Eugenol
dumaille

21/01/2013 à 23h28

la liberation de ton lambeau a entrainé un decalage vers le sommet de la crete de la GA.
comment vas tu gérer cette situation

--
La vie est une fête!


Blason dql7mj - Eugenol
growler

22/01/2013 à 00h21

http://www.eugenol.com/sujets/398685-amenagement-des-tissus-mous-en-phase-pre-implantaire


il est aussi possible d'utiliser par exemple le mucograft en deuxième intention pour recréer une bande de gencive attachée dans un tel cas.


Utilisateur banni

22/01/2013 à 10h38

Combien de temps t’as pris l’ajustage du bloc ?


Toriko ucqp9i - Eugenol
Giantcoco

22/01/2013 à 10h46

j'en utilise souvent mais je n'irrigue plus lors du sculptage de la marqueterie. le truc est mort donc ça craint pas grand chose et puis on le voit tres bien sur les photos ( nickelles comme d'hab) on en met partout.
pourquoi ne pas avoir mélanger le PRF avec le broyat osseux?


Android jyzura - Eugenol
Tavéca

22/01/2013 à 12h01

Bravo pour cet chir. et encore merci pour le partage.
Très belle iconographie en plus.

Pour ma part j'aurais mis une membrane sous les PRF.

Ci joint cas avec biobank, très bonne stabilité et consistance a la réouverture a 9 mois.

Pour ce qui est du déficit en GA, j'avais greffé a 5 mois sur la greffe biobank, et la vascularisation du greffon osseux n’étant pas abondante, la cicatrisation a été difficile.

je dois reintervenir juste en vestibulaire de la 46 qui manque de GA.

je conseille donc comme l'a montré Noha sur un autre post d'intervenir au préalable a la greffe osseuse.

A xsrpd9 - Eugenol

Ulysse 31 nono le petit robot tjdbmb - Eugenol
ptitrobot

22/01/2013 à 12h22

dentiste68 écrivait:
--------------------
> Salut Thomas,
> Superbe travail... Comme d'hab ;-)
> Question PRF: il y avait un débat sur eugenol il y a quelques temps entre les
> deux versions de centrifugeuse, il le semble que tu as l'ancienne version, en
> es-tu satisfait? As tu suivi une formation? Si oui laquelle?
> Merci.

Bonjour, dentiste68,

la formation PRF la plus "classique" et "offcielle" est celle effectuée par le Dr CHOUKROUN dans le cadre du SYFAC à Nice; en même temps tu fais une formation pour pouvoir faire toi-même les IV et les prélèvements .. cependant je t'avoue que depuis le temps j'ai laissé tombEer et je fais venir une infirmière au cabinet pour les faire.. à chacun sont métier ..
Quant au problème de la centrifugeuse, il s'agit surtout d'un problème de tracabilité.. selon J. CHOUKROUN, seule la nouvelle machine à un agrément recevable en cas de contrôle des autorités sanitaires .. J'avais l'ancienne dans mon précédent cabinet et la nouvelle maintenant .... pas de différence notable hormis la coque ....


Img 1744 z0evts - Eugenol
dumaille

22/01/2013 à 23h01

ptitrobot écrivait:
-------------------
> dentiste68 écrivait:
> --------------------
> > Salut Thomas,
> > Superbe travail... Comme d'hab ;-)
> > Question PRF: il y avait un débat sur eugenol il y a quelques temps entre les
> > deux versions de centrifugeuse, il le semble que tu as l'ancienne version, en
> > es-tu satisfait? As tu suivi une formation? Si oui laquelle?
> > Merci.
>
> Bonjour, dentiste68,
>
> la formation PRF la plus "classique" et "offcielle" est celle effectuée par le
> Dr CHOUKROUN dans le cadre du SYFAC à Nice; en même temps tu fais une formation
> pour pouvoir faire toi-même les IV et les prélèvements .. cependant je t'avoue
> que depuis le temps j'ai laissé tombEer et je fais venir une infirmière au
> cabinet pour les faire.. à chacun sont métier ..
et le toxico au fond d'un garage, y fait venir une infirmière pour son fix?
à chacun son métier


--
La vie est une fête!


dentiste68

23/01/2013 à 00h01


>
> Bonjour, dentiste68,
>
> la formation PRF la plus "classique" et "offcielle" est celle effectuée par le
> Dr CHOUKROUN dans le cadre du SYFAC à Nice; en même temps tu fais une formation
> pour pouvoir faire toi-même les IV et les prélèvements .. cependant je t'avoue
> que depuis le temps j'ai laissé tombEer et je fais venir une infirmière au
> cabinet pour les faire.. à chacun sont métier ..
> Quant au problème de la centrifugeuse, il s'agit surtout d'un problème de
> tracabilité.. selon J. CHOUKROUN, seule la nouvelle machine à un agrément
> recevable en cas de contrôle des autorités sanitaires .. J'avais l'ancienne dans
> mon précédent cabinet et la nouvelle maintenant .... pas de différence notable
> hormis la coque ....

Merki ptirobot :-)


12