Cookie Consent byPrivacyPolicies.comAbcès -cellulite 36 - Eugenol

Abcès -cellulite 36

Tom1974

31/01/2013 à 09h48

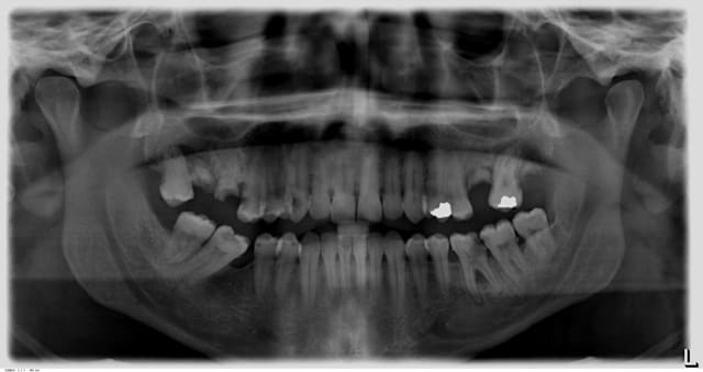
patient vu avec abcès-cellulite sur 36 avec atteinte furcation
1e scéance -> incision et drainage et nettoyage canalaire
2e scéance -> dent asymptomatique, pas de perf de la chambre visible, 3 canaux préparés,plus de saignement ou d'écoulement.
obturation par condensation latérale, radio contrôle et surprise!!!

Qu'auriez vous fait au départ(extraction?) et que feriez vous maintenant?

36 uhtkr1 - Eugenol
002928 x 00000b1a 3 ggllel - Eugenol

Avatar2 u3u8yh - Eugenol
riccyman

31/01/2013 à 10h42

extraction ou tu surveilles et tu te prépares à ... extraire un jour ^^


DLLB

31/01/2013 à 11h06

Vu l'état de la bouche (cf pano) extraction.


DLLB

31/01/2013 à 11h06

Vu l'état de la bouche (cf pano) extraction.


Tom1974

31/01/2013 à 12h08

@DLLB : le reste de la bouche est preque totalement ok maintenant, exo et soins faits, patient très motivé entre temps, implants et couronnes prévus


7313935 les metaux lourds roche et rouleau devil cornes main signe avec un bracelet en cuir noir cloutes yoxyzx - Eugenol
kinetic

31/01/2013 à 12h29

J'aurais aussi tenté l'endo en prmière intention.
Mais là, je crois que tu peux sortir ton plus beau davier.


Tozzi

31/01/2013 à 23h20

"pas de perf visible" mais pourtant il y en a bien une et tu l'as obturée en pensant que c'était un canal mésial.
Il vaut mieux extraire avant que çà empire.


Tom1974

01/02/2013 à 09h33

Ce qui est bien avec des cas comme ça, c'est qu'on se remet les protocoles qu'on nous appris en tête, même si on se sent sûr, une radio cathéterisme et maître-cône en place et ça ne serait pas arrivé.....
En fait j'ai pensé que c'était le canal ml, mais comme y avait pas de saignement, j'ai obturé

bon, d'accord pour l'extraction pour dormir tranquille.
Est-ce que des gens tenteraient de fermer la perf avec du Mta ou autre? Taux de succès et de survie?


doczi

02/02/2013 à 19h12

en passant le cône de papier, c'était comment????? c'est effectivement étonnant que la perf était passé inaperçue. sinon , pareil, j aurais tenté l'endo, mais là c'est exo.


youn

03/02/2013 à 02h48

Ben pourquoi exo? Là je laisse et au pire si ca devient symptomatique c'est petite chir pour enlever le dépassement. Si la perfo est bien obturée à la gutta chaude y'a pas de raison qu'il y ait le moindre souci par la suite.

En situation initiale j'aurais tenté le MTA (en supposant que je me sois rendu compte de la perfo, sans saignement c'est moins évident.)


toothache

03/02/2013 à 10h31

Wait and see, AB + anti inflammatoire, ensuite tu avises, petite chir comme te le propose youn