Cookie Consent byPrivacyPolicies.comDevinette biaisée - Eugenol

Devinette biaisée

1309531 ours brun n5iukf - Eugenol
seespan

02/02/2013 à 08h44

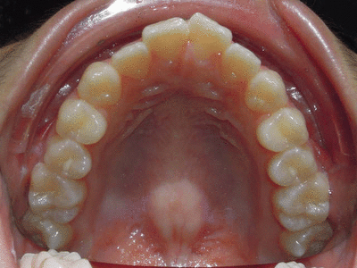
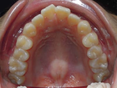
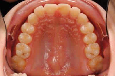
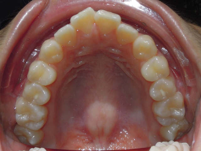
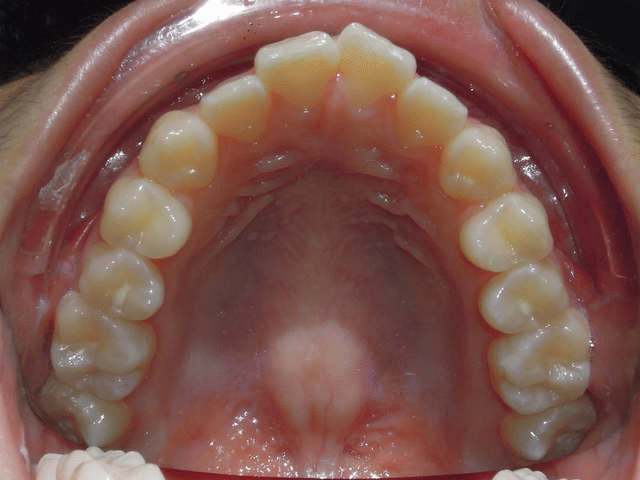
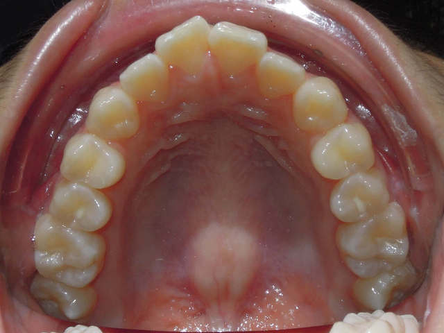
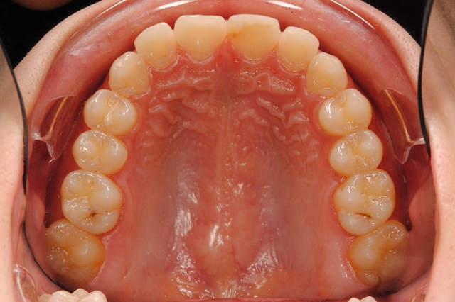
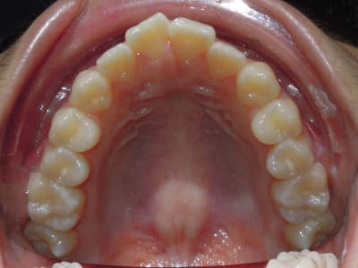
La question est simple sur ces quatre photo ou se trouve le secteur 1, le secteur 2 et comment faite vous pour les identifier.

Si vous répondez au hasard vous avez une chance sur deux pour chaque photo.
Pour un spécialiste de la cavités buccal si le sujet photographié a certaine caractéristique l'on peut attendre plus de 80% de bonne réponse, sinon on retombe a 50%.

--
หมอจัดฟัน

1 ixr23a - Eugenol
2 qabu3o - Eugenol
3 zys2ra - Eugenol
4 wsh62r - Eugenol

Photo pluton1b h9n4ea - Eugenol
pluton

02/02/2013 à 08h56

photos de moulages plâtre: secteur 1 à gauche et 2 sur la droite...pourquoi, photo directe

photos intrabuccales: secteur 1 à droite secteur 2 à gauche...parce que là les photos sont prises avec un miroir (on voit les dents sur la partie inf de l'image)
par contre çà aurait été moins évident si le recadrage de ces photos ne nous montrait pas ce détail...;-))


1309531 ours brun n5iukf - Eugenol
seespan

02/02/2013 à 09h16


Secteur 1 secteur 2 ?

Ps : la methode utilisée pour différencié la droite et la gauche est basée sur un article fort rébarbatif de plus de 120 page.
Donc non la réponse n'est pas si évidente que ça


Sorry pluton ;-)
--
หมอจัดฟัน

5 uhkiee - Eugenol

F e01w igu3rl - Eugenol
roumette

02/02/2013 à 09h39


Devinette "biaisée"...
En général, je sais reconnaitre un gaucher d'un droitier à leur bouche...
Est-ce que je chauffe?


1309531 ours brun n5iukf - Eugenol
seespan

02/02/2013 à 10h02

Il est possible de reconnaître si une personne est droitière ou gauchère en regardant ses mains, l'usage différentiel devenant perceptible avec le temps.

Vue qu'un coté du visage est utilisée de manière préférentiel (pareil que pour les mains, un coté est plus adroit que l'autre) je suppose qu'il doit y avoir un impacte sur la fonction, il donc doit être possible de déterminer avec une relative certitude si le patient est droitier ou gaucher.

Juste j'ignore si la distribution du coté le plus adroit est identique pour le visage et la main dans la population.

En supposant que se soit le cas vue la faible fréquence de gaucher dans la population, un "gaucher" sur une de mes photo s'aurait probablement une photo inversée.

Merci pour cette piste de réflexion je n'y avait pas pensé mais ça pourra m’être utile pour ma thèse.

Mais non la méthode a laquelle je pense n'a rien a voir a ma connaissance.

--
หมอจัดฟัน


Avatar transparent iqadnc - Eugenol
adhoc

02/02/2013 à 10h05

120 pages! La méthode ne doit pas être fiable à 100% , mais basée sur des faisceaux d'indices (facettes d'usure, déviation du suture palatine..), non?


1309531 ours brun n5iukf - Eugenol
seespan

02/02/2013 à 10h25

L'article de 120 page traite d'un problème en générale, a l'intérieure se trouve cette information particulière.

L'histoire complète étant que je lisait un article qui n'avait rien a voir, dans un paragraphe l'auteur indiqué : l'article X nous apprend que .....

Je suis donc aller a la BU pour commandé l'article X.
Par expérience j'ai appris que l'on ne peut pas toujours faire confiance au citation d'article, y compris dans les manuelle de référence.
Quand il s'agit d'une information de se genre je préfère donc allez voir la source pour vérifier :

- le nombre de sujet dans l'étude
- les méthodes d'études
- les méthode d'analyses statistique
- l'interprétation des données par l'auteur

Dans ce cas la il s'agit d'un très bonne article, et la citation était parfaitement juste.

Récemment j'ai due présenter un chapitre d'un bouquin de chir orthognatique qui fait référence au U.S pour les orthodontistes

Sur un passage sur les Antibios l'auteur indiquait qu'une étude avait montré un taux d'infection post op de 15% en l’absence d'Antibiothérapie post opératoire. Il en déduisait que les antibiotiques était utiles. Il ne précisait pas post op mais c'était sous entendus.

Seul problème assez peut de sujet était inclue dans l'étude et l'analyses statistique montré que ces résultats n'étaient pas significatif. L'auteur indiqué de plus que pour les trois cas avec infection, l'infection c'était produit un a deux semaines post op, donc hors du champs d'action des antibio (l'article indiquant que trois heures après la prises l'effet prophylactique des ab est quasie nulle). L'étude concluait donc que les AB post op n'avaient pas démontrée leur utilité en cas de chir orthognatique.
Par contre si on ne lisait que le résumé de l'article s'était moins claire :-) .


--
หมอจัดฟัน


Avatar transparent iqadnc - Eugenol
adhoc

02/02/2013 à 11h11

Je reprends la problématique; si l'on a une des deux images plus bas (horizontal flip), il existe une méthode infaillible pour deviner la latéralité?

Horizontalflip1 stkbkq - Eugenol
Horizontalflip0 ia5spi - Eugenol

1309531 ours brun n5iukf - Eugenol
seespan

02/02/2013 à 11h18

Si l'on a les deux images ou l'une des deux il existe une méthode qui indique avec une relativement bonne prédictibilité ou est la droite et ou est la gauche.

Avec certaine photo l'on peut dire que l'on ne sais pas. Cette méthode ne marche qu'avec une certaine tranche de la population et ne peut pas être utiliser sur certain patient.

Avec un nombre restreint de patient l'on va se tromper.

En gros dans 80% des cas l'on va tomber juste.

Pour l'instant j'ai qu'un exemple de patient ou un personne utilisant cette méthode va placer la secteur 1 a gauche en étant a peut près sure d'avoir juste.

--
หมอจัดฟัน


1309531 ours brun n5iukf - Eugenol
seespan

02/02/2013 à 11h23

Vous pouvez poster des photos de moulage ou maxillaire. Si je pense que je peux identifier la droite de la gauche je vous le direz.

Ça me permettra de tester la méthode, parce que pour l’instant chaque fois que j'ai essayer je savais ou était la droite et la gauche ce qui peut évidemment fausser le résultat.

J'ai essayer avec une étudiante mais vue que je lui avait expliqué avant comment faire ce n'était pas très fiable non plus.

--
หมอจัดฟัน


01 ukhwbq - Eugenol
ʎqqoq

02/02/2013 à 11h50

seespan écrivait:
-----------------

>
> Avec un nombre restreint de patient l'on va se tromper.
>
> En gros dans 80% des cas l'on va tomber juste.

Hors gauchers et ambidextres on tombe juste c'est ça? ^^


1309531 ours brun n5iukf - Eugenol
seespan

02/02/2013 à 12h45

On peut faire la même chose pour une photo de face.

Sur la majorité des patients vous ne pouvez pas vraiment dire si la photo est inversée ou non.
Mais sur une part non négligeable des photos vous allez pouvoir déterminer si la photo a était inversée ou non.

Et une fois sur 20 vous allez pensez que vous savez si la photo à était inversée et vous allez vous planter.

Si vous utiliser un programme informatique pour faire les calcule vous allez augmenter la proportion des patients ou vous pouvez vous prononcer.
Mais pareil chaque fois que vous allez dire si la photo a était inversée ou non vous avez une chance sur 20 de vous planter.

A noté pour la photo de face j'avais utilisé cette technique pour bluffer un orthodontiste sur un cas clinique ( un cas ou j'aurais dit photo inversée, vue qu'il était plus que probable que l'ortho ne procédais pas a l'inversion de ses photo il n'y avait qu'une explication clinique possible :-) ).

Comme pour les photo du maxillaire il n'y a ma connaissance aucun rapport avec la latéralité.

Il est aussi plus dure de se prononcé car ce que l'on observe est beaucoup moins évident que sur une photo de face.
--
หมอจัดฟัน


Mario ycg44a - Eugenol
Mario180

02/02/2013 à 14h47

Hypothèse :

- le côté droit est plus développé dans 80% des cas.

- les tori palatins sont dans un plan à priori parfaitement axial

- donc si un torus est visible, il pointe sur l'incisive centrale du côté droit dans 80% des cas.

J'ai bon ?


1309531 ours brun n5iukf - Eugenol
seespan

02/02/2013 à 15h14

Mario180 écrivait:
------------------
> Hypothèse :
>
> - le côté droit est plus développé dans 80% des cas.

Malheureusement cette hypothèse est fausse.
la massif cranio facial est en effet asymmetrique mais ce n'est pas aussi simple que un coté est plus gros que l'autre.
Ça dépend des os et des dimensions. Par exemple un os peut être plus long dans certaine dimension d'un coté et dans d'autre dimension de l'autre.
Ça varie aussi avec l'age

Ensuite pour une vue de face, le menton si il dévie, dévirat a gauche dans 95% des cas
Une exception a cette règle étant les patients avec un long face syndrome (étage inférieure de la face proportionnellement plus long que les autres) dans leur cas le menton dévie a droite comme a gauche avec la même fréquence.
Donc si vous avez un patient normalement proportionné avec le menton qui dévie droite c'est soit :

- qu'il fait partie des 5% d'exception
- soit que la photo a était inversé
- soit qu'il a un syndrome quelconque
- Soit qu'il a subit une fracture du condyle droit quand il était jeune ce qui a conduit a un retard de croissance du coté droit par rapport au gauche d'ou déviation a du menton a droite.

Quand la photo présenté est deux jumeaux avec l'un des jumeaux qui a le menton au milieux et le deuxième qui a le menton qui dévie a droite vous pouvez en tout tranquillité éliminer les trois première possibilité et énnoncé que l'un des jumeaux a subit une fracture du condyle droit quand il était jeune . La normalement vous devez bluffer l'ortho qui vous présente sont cas clinique :-).

>
> - les tori palatins sont dans un plan à priori parfaitement axial
>
> - donc si un torus est visible, il pointe sur l'incisive centrale du côté droit
> dans 80% des cas.
>
> J'ai bon ?

Si la face était globalement asymmetrique se serait juste, mais comme ce n'est pas le cas c'est faux;

Mais l'idée est très bonne.
--
หมอจัดฟัน


Mario ycg44a - Eugenol
Mario180

02/02/2013 à 15h24

"NEXT !"


Blason dql7mj - Eugenol
growler

02/02/2013 à 19h08

on dit que tous les visages sont assymétriques avec un côté plus "tonique" que l'autre et peut être corrélé au fait que le patient soit droitier ou gaucher ? la position du bloc incisivo-canin étant notamment influencé par la tonicité de l'orbiculaire des lèvres et de la langue, si cette tonicité assymétrique était autant répartie dans la population que la proportion de droitiers et gauchers on pourrait alors dire que tel secteur est le secteur 1 avec une certitude de 80 %

par exemple, une langue est-elle gauchère ou droitière à l'instar de son propriétaire ?


Mario ycg44a - Eugenol
Mario180

02/02/2013 à 20h41

growler écrivait:
-----------------
> on dit que tous les visages sont assymétriques avec un côté plus "tonique" que
> l'autre et peut être corrélé au fait que le patient soit droitier ou gaucher ?
> la position du bloc incisivo-canin étant notamment influencé par la tonicité de
> l'orbiculaire des lèvres et de la langue, si cette tonicité assymétrique était
> autant répartie dans la population que la proportion de droitiers et gauchers on
> pourrait alors dire que tel secteur est le secteur 1 avec une certitude de 80 %
>
> par exemple, une langue est-elle gauchère ou droitière à l'instar de son
> propriétaire ?

Si je ne m'abuse, ça revient à peu près à ce que j'ai proposé...


rat

03/02/2013 à 03h26

ou j'ai pas compris ou j'ai pas vu l’intérêt :c'est pour voir les tricheurs dans les publications ?


1309531 ours brun n5iukf - Eugenol
seespan

03/02/2013 à 06h41

rat écrivait:
-------------
> ou j'ai pas compris ou j'ai pas vu l’intérêt :c'est pour voir les tricheurs dans
> les publications ?

L’intérêt clinique est en effet assez réduit d'ou la présence de ce fil dans le forum eugènologie.

Mais d'un autre coté nous somme dentiste et pas boulanger, donc savoir qu'il y a un moyen (même imparfait) de différencier la droite de la gauche sur un maxillaire mois ça m’intéresse. Des maxillaire en vue occlusal je vais passer ma vie a en voir, donc tout information que je peux extraire est utile

A propos cette méthode avait fait l'objet de recherche pour savoir si elle pouvait être utiliser pour des recherche en paternité.
Conclusion : ce n'est pas sur a 100% mais si vous devez soigner toute une famille vous pouvez savoir avec un relative bonne certitude si la papa civil est aussi le papa biologique.

--
หมอจัดฟัน orthodontiste pas boulanger ..............


1309531 ours brun n5iukf - Eugenol
seespan

03/02/2013 à 06h45

@ growler

Cela n'a rien a voir avec la latéralité, le corps humain est asymmérique (des détail comme le coeur a gauche et pas au milieux).
Une vue maxillaire sera donc asymmétrique, il y a un point de détail qui est plus courant a droite qu'a gauche c'est tout. Ce n'est pas sur a 100% mais nettement plus que 50%
--
หมอจัดฟัน


Michel4 ve7g1x - Eugenol
chabit

03/02/2013 à 09h49

Salut,
Je ne suis pas spécialiste, ni en photo, ni en piège à ortho, ni en sodomie drosophilique, mais par contre en jeu des 7 erreurs...
La forme et la répartition des papilles bunoïdes sont différentes à droite et à gauche (espacés pour les bourrelets les plus postérieurs dans les deux cas présentés). Si je suis près de la réponse que tu attends, il ne me manque plus qu'un panel de cas significatif, pour déterminer (en fréquence) à quel secteur correspond les papilles bunoïdes espacées et en déduire une règle.


1309531 ours brun n5iukf - Eugenol
seespan

03/02/2013 à 10h36

Déduire une règle avec les cas présenter risque d’être dure car il faudrait déjà savoir quelle photo j'ai inversée...

Mais enfin c'est dimanche pas de raison que je sois le seul a souffrir en lisant des publications scientifique.

--
หมอจัดฟัน


Michel4 ve7g1x - Eugenol
chabit

03/02/2013 à 11h51

Je ne prétendrais pas définir quelque règle que ce soit (c'est pourquoi, j'ai parlé d'un échantillon représentatif). J'avoue humblement que je n'ai parcouru qu'en diagonale le document que tu as joint, dimanche matin oblige, mais il semblerait bien que le fondement de ta devinette se situe bien au niveau de la forme et la position des papilles bunoïdes, non ?


1309531 ours brun n5iukf - Eugenol
seespan

03/02/2013 à 11h52

C'est exacte

--
หมอจัดฟัน


Avatar transparent iqadnc - Eugenol
adhoc

04/02/2013 à 16h41

>Mais d'un autre coté nous somme dentiste et pas boulanger, donc savoir qu'il y a un moyen (même imparfait) de différencier la droite de la gauche sur un maxillaire mois ça m’intéresse. Des maxillaire en vue occlusal je vais passer ma vie a en voir, donc tout information que je peux extraire est utile<

Total respect.


12