Cookie Consent byPrivacyPolicies.comScanner pour suspicion de fêlure/fracture? - Eugenol

Scanner pour suspicion de fêlure/fracture?

dentek

13/02/2013 à 11h21

Bonjour,

voici tout est dans le titre.
Je n'en ai jamais prescrit jusqu'à présent pour ce type de recherche.

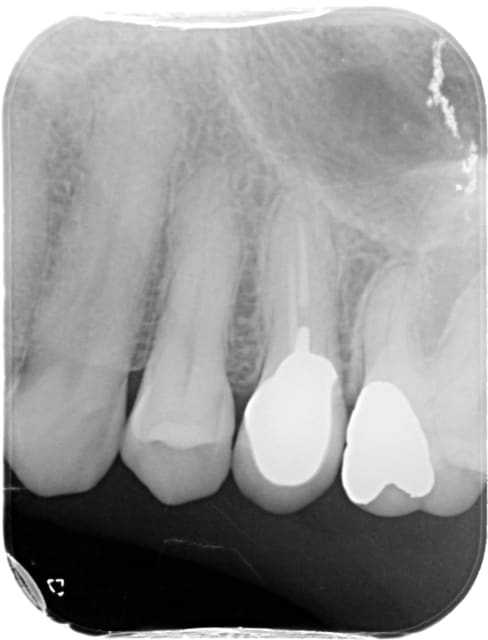
Cette patiente présente des douleurs à la percussion axiale sur la dent 15. La palpation vestibulaire est douloureuse et on peut observer une inflammation gingivale vestibulaire localisée sur 3 à 4 mm en regard de la racine de 15.
Je n'ai ni réalisé l'endo ni la coiffe.
Cette patiente ne présente aucun antécédent notable.

La 16 porteuse d'une grosse reconstitution à l'amg répond au froid sans problème. Et malgré l'épaississement ligamentaire sur la racine MV, la 16 ne présente aucun signe.

Il semble bel et bien que cela vienne de la 15; pour info, j'ai mis la patiente sous antibio une semaine et les symptômes ont diminué mais pas cédé totalement.

N'arrivant à déterminer l'origine, je suspecte une fêlure même si le tenon n'a pas l'air iatrogène vue sa taille...
n'ayant pas envie de tout déposer, je me demandais si un scanner pouvait être prescrit...

Merci!

09906 x 2013 02 08 15 29 07 4 modkvf - Eugenol

220px don camillo4 qrcfhs - Eugenol
camillo

13/02/2013 à 11h32

Je pense pas qu'un scanner t'aide bcp à voir une fêlure.
La meilleure chose à faire à mon avis est de démonter et regarder.
Si fracture/fêlure il y a, elle sera plutôt dans le partie coronaire à mon sens.


Logo m4n3gc - Eugenol
drmarcus

13/02/2013 à 11h34

Un scanner je ne suis pas certain. Un cone beam c'est sur!
Par contre il en faut un spécifique, pas ceux des cab. dent. apparemment sauf si c'est très évident.
J'ai vu la manip chez le radiologue c'est balèze! (une histoire de définition.....trop complexe techniquement pour moi Lol)
Ensuite il faut avoir de la chance car les coupes peuvent ne pas tomber pile dessus!

--
"La seule chose promise d'avance à l'échec, c'est celle que l'on ne tente pas" Paul Emile VICTOR


Cd7ab0fb be26 42ce a229 3d3cb85fbdc0 wqmnyz - Eugenol
dorado

13/02/2013 à 11h54

... je suspecte une fêlure même si le tenon n'a pas l'air iatrogène vue sa taille...

justement!
c'est avec ce genre de tenon trop court que l'on voit des fractures/fêlures coronaires!


4a338550 6a5b 47ea b2a7 d3cb675c5076 oni5gh - Eugenol
fistule69

13/02/2013 à 12h02

Bonjour, sondage paro périphérique, surtout en regard de ta lésion et mini lambeau d'exploration avec extraction de la dent si la fêlure est réelle.
Facile pour un patient fidèle, toujours difficile à faire comprendre pour un nouveau patient.
Au moment du lambeau, si tu ne trouves pas de fêlure, tu peux surfacer la racine.
A bientôt ...


Icon poker h4nm2d - Eugenol
jeff

13/02/2013 à 12h05

Scanner, je ne pense pas que tu verras grand chose. Cone-beam, possible. la félure risque de ne pas etre bien visible, mais par contre, si tu n'a plus de corticale vestibulaire, c'est quand même un bon indice.

Sinon, je que je fais dans ce cas, c'est un lambeau d'exploration. 20 mn, Si félure avec abcès, plus de corticale vestibulaire, et la félure est bien visible : prend alors une photo pour montrer au patient que la dent est foutu et proposer un implant.


Logo m4n3gc - Eugenol
drmarcus

13/02/2013 à 12h37

jeff écrivait:
--------------
> Scanner, je ne pense pas que tu verras grand chose. Cone-beam, possible. la
> félure risque de ne pas etre bien visible, mais par contre, si tu n'a plus de
> corticale vestibulaire, c'est quand même un bon indice.
>
> Sinon, je que je fais dans ce cas, c'est un lambeau d'exploration. 20 mn, Si
> félure avec abcès, plus de corticale vestibulaire, et la félure est bien visible
> : prend alors une photo pour montrer au patient que la dent est foutu et
> proposer un implant.

Très bonne réfexion! J'ai le cas actuellement félure non visible mais paruli et on visualise bien la perte osseuse en regard de la dent sur les coupes.

--
"La seule chose promise d'avance à l'échec, c'est celle que l'on ne tente pas" Paul Emile VICTOR


Monsieur Poupi

13/02/2013 à 12h44

Pour le CBCT il faudrait une résolution de 70 microns au moins.
sinon sondage et lambeau, avec aides optiques et colorant (bleu de méthylène)


roger chicot

13/02/2013 à 13h12

Photos de la lésion gingivale vest. ?
Radio 15/16 ou 25/26 ?? Tiens ton capteur pour une fois, et parallélise au mieux si il y a suspicion de fissure et plusieurs clichers sous différentes incidences seraient souhaitables.
26 a des signes radios.
En plus de l'élargissement, la ch pulpaire a l'air bien diminuée... Etape par étape, comme à la fac, démontage Amal 26, eugénate, tests divers et variés, phase d'observation et d'attente, les bases quoi avant de sortir l'artillerie lourde !!!
Et les tests à la morsure sur un coton, ça n'existe plus ??
Fissure ou fracture, test à la PRESSION !!! La percussion peut faire mal sur une dent saine, avoir une réponse différente sur une dent dévitalisée, etc...


dentek

13/02/2013 à 14h45

Merci pour vos messages,

J'ai effectivement proposé un lambeau d'explo à la patiente, mais l'un d'entre vous a bien compris que la patiente est réticente; c'est une nouvelle patiente, qui a l'impression d'avoir subi beaucoup de traitements dentaires et qui ne veut plus entendre parler de chirurgie...
malgré tout, je le lui imposerai si nécessaire.

Mr Chicot, je n'ai pas voulu encombrer mon post mais bien entendu que j'ai effectué toute une batterie de tests pour essayer d'avancer (le test de morsure fait partie de ma panoplie aussi); j'y ai passé 3 séances de 30 minutes; et là, ce serait pas mal d'avancer un peu donc j'avais pensé à cette éventualité d'imagerie. This is a question!

Cela va d'ailleurs aller dans ce sens, puisque j'ai eu "Le" radiologue du coin qui gère toute l'imagerie dentaire et qui va recevoir ma patiente pour une tomographie.

Et oui je n'ai pas pris le temps de remette la radio dans le bon sens mais c'est bien le secteur 1...screugneugneu!!!

A bientôt


Images nv3xcf - Eugenol
au fond du canal

13/02/2013 à 15h32

Et le retraitement endodontique, vu le canal palatin, ça ne tente personne?


lai

14/02/2013 à 08h19

dentek écrivait:
----------------
> entek écrivait:
----------------
>
> La 16 porteuse d'une grosse reconstitution à l'amg répond au froid sans
> problème. Et malgré l'épaississement ligamentaire sur la racine MV, la 16 ne
> présente aucun signe.
>
> Il semble bel et bien que cela vienne de la 15; pour info, j'ai mis la patiente
> ...
>
> Merci!
>

j'approuve le point de vue de Roger Chicot

La 16 comporte 3 canaux; même s'il répond au froid, il est possible qu'un des canaux en soit à l'origine du test ++. Et les autres ?

Ta radio montre un grosse obturation mésio-occlusal qui repose directement sur l'entrée du canal MV et un épaississement ligamentaire de la racine MV. Il est propable que la racine MV soit nécrosée.

Si fistule sinon la créer artificiellement, y introduire un cône de gutta et refaire RX.

Par expérience Scanner ne permet pas de diagnostiquer fêlure ou fracture sauf si on a bcp de chance.


dentek

14/02/2013 à 14h30

OK

La patiente va aller passer sa tomo.

Mais vous m'avez bien éveillé sur la 16, voire même l'endo de 15 qui n'est pas parfaite.

Je vous tiendrai au courant.

A +