Cookie Consent byPrivacyPolicies.comDevinette เกิดอะไรขึ้น - Eugenol

Devinette เกิดอะไรขึ้น

1309531 ours brun n5iukf - Eugenol
seespan

16/02/2013 à 04h44


Patiente reçut en début d'année.
L'examen des éléments clinique montre qu'elle était border line extraction.
Vue que le profile et l’esthétique était correct, les enseignant on décider de commencer dans une optique de non extraction et de réévaluer a la fin de l'étape d'alignement.

Le traitement se déroule normalement.
--
หมอจัดฟัน

Intra oral frontal msmsq6 - Eugenol
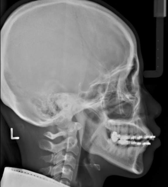
Cephalometric onyfbp - Eugenol
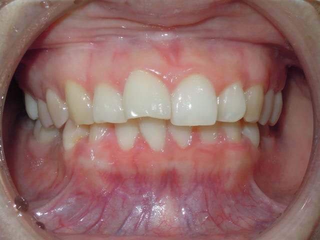
Frontal smile jjsbjf - Eugenol
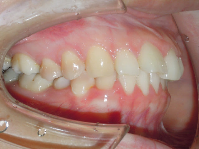
Left ig9oqm - Eugenol
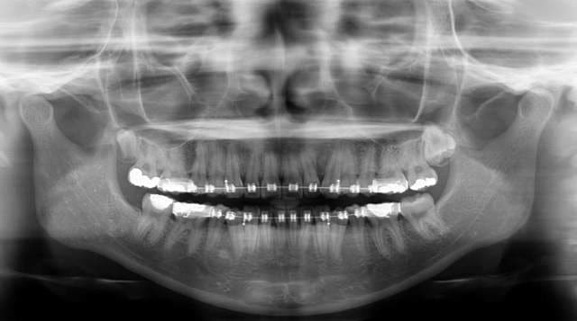
Panoramic du2frg - Eugenol
Right smile suxlpz - Eugenol
Right vebsrz - Eugenol

1309531 ours brun n5iukf - Eugenol
seespan

16/02/2013 à 04h50

Quand soudain ..

Suite a un problème d'emplois du temps la patient n'a pas pus venir pendant deux mois, a sont retour nous avons la situation suivant .

- open bite
- over jet

La question est donc เกิดอะไรขึ้น

ou en version doublée



La réponse n'est bien entendue pas que la patient fait son occlusion avec les 7 qui sont égressé (mais ça il faut examiner en bouche pour s'en apercevoir ).
Si on lui demande elle revient dans sa position d'occlusion habituelle (celle de début de traitement.)

--
หมอจัดฟัน

Dscn4518 c4culp - Eugenol
Frontal smile lat782 - Eugenol
Frontal jkwrhf - Eugenol
Left qxed4n - Eugenol
Right nx6pog - Eugenol

Avatar transparent iqadnc - Eugenol
adhoc

16/02/2013 à 10h27

1/ Ta jolie patiente porte régulièrement ses elastics verticaux?
2/ habitudes : mordillement crayon? ou outil quelconque?
J'ai bien peur que son temps de traitement soit long, très long....


1309531 ours brun n5iukf - Eugenol
seespan

16/02/2013 à 10h34

On en était au stade de leveling, donc trop tôt pour des élastique.
De toute façon pas de problem verticaux avec l'occlusion.
Je met une photo de Quatre mois auparavant, deux mois avant c'était pareil.

pas de parafonction type mordiller un crayon ou tout autre objet.

--
หมอจัดฟัน

Right darc95 - Eugenol

1309531 ours brun n5iukf - Eugenol
seespan

16/02/2013 à 10h37

adhoc écrivait:
---------------

> J'ai bien peur que son temps de traitement soit long, très long....

Vue qu'elle est avocate il vaut mieux éviter.
Par contre c'est la ou je vois que je suis étudiant, m'a prof a regarder et m'a donner la solution en 5 seconde, elle m'a ensuite indiqué quel document( pré traitement ) et ou regarder pour confirmer.
--
หมอจัดฟัน


gad

16/02/2013 à 11h03

C'est monstrueux comme résultat ! C'est monstrueux comme traitement! Avec un visage fin et allongé , le traitement lui a fait une '' gueule au carré '' ! Il y a de plus certains critères ethniques qui n' ont pas été respectés ! Vous avez gardé toutes les dents , pas fait d' extractions ... , vous comptez , aussi , garder les 8 ? Horrible !!!!


Avatar transparent iqadnc - Eugenol
adhoc

16/02/2013 à 11h06

Gad, il est ecrit:

>Vue que le profile et l’esthétique était correct, les enseignant on décider de commencer dans une optique de non extraction et de réévaluer a la fin de l'étape d'alignement.<

(Ce n'est pas un cas facile pour moi, je n'ai pas la baguette magique thai!:-))


1309531 ours brun n5iukf - Eugenol
seespan

16/02/2013 à 11h08

gad écrivait:
-------------
> C'est monstrueux comme résultat ! C'est monstrueux comme traitement! Avec un
> visage fin et allongé , le traitement lui a fait une '' gueule au carré '' ! Il
> y a de plus certains critères ethniques qui n' ont pas été respectés ! Vous avez
> gardé toutes les dents , pas fait d' extractions ... , vous comptez , aussi ,
> garder les 8 ? Horrible !!!!

Traduction vous ne réaliser pas de traitement ortho :-)

Comment peut on obtenir d'un visage fin un geule au carré quand le problème est l'apparition d'un open bite ?
Le visage est plus fin qu'en début de traitement.

En passant la prof a était très soulagé de ne pas avoir fait d'extraction en première intention.


--
หมอจัดฟัน


G MAIL

16/02/2013 à 11h38

Trop de frictions postérieures:secteur prémolaires et molaires?
donc autoligaturants en postérieur.


Avatar transparent iqadnc - Eugenol
adhoc

16/02/2013 à 11h45

Jeu labial, langue, 18 qui fait un loop?:-))


Picture1111 zburnd - Eugenol
saidkholoki

16/02/2013 à 12h59

Un probleme articulaire non diagnostiqué au depart, apres le nivellement la mandibule a pris une position un peu plus en arriere avec legere rotation posterieure.Peut etre bien une luxation non reductible sans claquement. Sur la radio de profil il me semble que les articulation ne sont pas dans leurs cavités glenoides d'une facon optimale, donc la mandibule n'etait pas dans une position stable. Je crois!
Ou bien il y a eu un applatissement de la courbe de Spee au niveau de l'arcade mandibulaire par egression des dents posterieures creant des points d'interference de pivotement mandibulaire antero-posterieur.

--
A suivre...
Said


belette

16/02/2013 à 13h03

Ce que je ne comprends pas c'est que " Si on lui demande elle revient dans sa position d'occlusion habituelle (celle de début de traitement.)"
Un problème articulaire ? de position des condyles ?

Sinon j'imagine que la langue très active chez une avocate et qui se retrouve dans une "boite à langue" fermée de force a tendance à repousser les limites de son enclos...
^ ... ^
Ô"""Ô
= o = edit : Oups! j'avais pas vu Said.
°°°°°


1309531 ours brun n5iukf - Eugenol
seespan

16/02/2013 à 13h26

saidkholoki écrivait:
---------------------
> Un probleme articulaire non diagnostiqué au depart,

Bingo !!!

apres le nivellement la
> mandibule a pris une position un peu plus en arriere avec legere rotation
> posterieure.Peut etre bien une luxation non reductible sans claquement. Sur la
> radio de profil il me semble que les articulation ne sont pas dans leurs cavités
> glenoides d'une facon optimale, donc la mandibule n'etait pas dans une position
> stable. Je crois!
> Ou bien il y a eu un applatissement de la courbe de Spee au niveau de l'arcade
> mandibulaire par egression des dents posterieures creant des points
> d'interference de pivotement mandibulaire antero-posterieur.
>

Simple regarder la pano intial il y a le condyle droit qui est dans une position trop antérieur.

Cette patient en fait ne mâcher que du coté gauche, avec le temps une occlusion stable c'est developé mais avec une position asymétrique des condyles.
Vue que cette situation c'était developé sur le long terme la patiente c'était habitué a positionné la mandibule en avant.
Pendant l'examen initial comme un gros débutant de base je me suis focalisé sur l'occlusion et n'est pas fait attention qu'il y avait un décalage entre RC et ICM.
Comme j'était vraiment une buse je n'ais pas fait attention a la pano non plus ( vue que dans 95% des cas il n'y a pas de problème ).
Résultat des course pendant la phase de levelling, déprogrammation neuro musculaire, la patient ne retrouve plus se position d'occlusion non naturelle de maniére simple, donc elle retourne naturellement dans la position la plus confortable pour c'est deux condyle la RC.

Ce qui se traduit pour le jeunot comme une retrusion de la mandibule (qui est en faite une correction de la protrusion initiale) avec prématurité sur les 7, open bite et donc mécaniquement overjet excessif.

Mais si elle fait une protrusion de la mandibule elle retrouve plus ou moins la position initiale.

Demain je vous mettrais les pano prise le jour en question et vous verrez que haut miracle en position " retrusive " les deux condyles sont dans les fosses de manière symétrique.

Un cas assez proche était celui posté par pluton " atchoum craque" un des condyles était sortie de sa fosse. Si la mandibule était consolidé dans cette position sans réduction, futur probléme occlusaux en vue.


> --
> A suivre...
> Said


--
หมอจัดฟัน


Avatar transparent iqadnc - Eugenol
adhoc

16/02/2013 à 14h14

Standing ovations à said et belette.
Mais alors, que faut il faire dans ce cas la?


1309531 ours brun n5iukf - Eugenol
seespan

16/02/2013 à 14h56

adhoc écrivait:
---------------
> Standing ovations à said et belette.
> Mais alors, que faut il faire dans ce cas la?

Très simple tu repart de zéro au niveau du diagnostique, empreinte, relation intermaxillaire, radio.
Du moins a la fac tu fais comme ça, ensuite avec l’expérience ça se gère simplement.
Mais vue je suis encore un Kaidäl je dois tout reprendre a zéro pour le diagnostique

Demains tu sera peut etre ortho mais aujourd'hui t'es que dâle, alors tu recommences et tu ferme ta gueule.
--
หมอจัดฟัน


Picture1111 zburnd - Eugenol
saidkholoki

16/02/2013 à 15h04

adhoc écrivait:
---------------
> Standing ovations à said et belette.
> Mais alors, que faut il faire dans ce cas la?

1- s'occuper des ATM . C'est à dire examen, montage sur articulateur, gouttière de relâchement puis repositionnement .
2- Quand la situation articulaire est contrôlée , il faut refaire un bilan complet et établir des nouveaux objectifs orthodontiques en fonction des rapports dentaire obtenus. Dans un cas extrême on peut passer de l'ortho seule à la chirurgie orthognatique.
3- La nouvelle occlusion doit stabiliser les améliorations réticulaires obtenues.
--
A suivre...
Said


1309531 ours brun n5iukf - Eugenol
seespan

18/02/2013 à 07h08

Et voici les radio prise le jour de la réevaluation.
Les condyles sont dans une position plus symmetrique.
L'openbite et l'overjet vont très probablement se regler par intrusion des 7, mais l'apparition du problème et due au non diagnostique de la mauvaise position des ATM


--
หมอจัดฟัน

Ceph sxp8iz - Eugenol
Pano dzuk09 - Eugenol

Picture1111 zburnd - Eugenol
saidkholoki

18/02/2013 à 12h31

Et comment tu comptes corriger la classe II dentaire et squelettique ?

--
A suivre...
Said


1 p3qrc4 - Eugenol
Bjc.

18/02/2013 à 12h38

"""mais l'apparition du problème et due au non diagnostique de la mauvaise position des ATM"""


Lors de la prise d’une Rx. panoramique, le patient mord sur une cale inter-incisive.

Il n’est pas en occlusion de convenance !
Non seulement, il peut se positionner différemment à chaque prise de Rx, mais si en plus il y a entre 2 Rx., un décalage des rapports incisifs, ces Rx. panoramiques ne sont pas comparables pour des ATM.

il est aléatoire de diagnostiquer un Pb. d'Atm. sur seulement une Rx. Panoramique
Si on veut travailler sur l’ATM. avec rigueur, il faut faire au moins des Tomos.


@+ Bjc.

P.S.: Tu as peut être crée ou aggravé un Pb. d’ATM. ou peut être n’y a t il pas de Pb. d’ATM., mais plus simplement une erreur de mécanique de traitement.


120 81 mdkvjo - Eugenol
Monaco

18/02/2013 à 13h18

saidkholoki écrivait:
---------------------
> Et comment tu comptes corriger la classe II dentaire et squelettique ?
>
> --
> A suivre...
> Said


Oui veux savoir aussi !


1309531 ours brun n5iukf - Eugenol
seespan

18/02/2013 à 13h40

saidkholoki écrivait:
---------------------
> Et comment tu comptes corriger la classe II dentaire et squelettique ?
>
> --
> A suivre...
> Said

Comme indiqué ce cas est en réévaluation donc je ne sais pas ce que la prof veut faire.
D'après mois :

- le problème de positionnement est minime, sur cette patient ça parait impressionnant car les 7 n'avait pas était bagués et son légèrement plus haute que autre.
Quand la patient est en RC elle bute sur des prématurité.
Ne pas oublié 1 mm de suroclusion au niveau d'une 6 se traduit par 3 mm d'espacement au niveau des incisives ( je sais que nonol a des adepte du Dawson : functional occlusion from TMJ to smile design :-) ) Donc la l'open bite de 2 mm grand max suite a une prématurité sur les 7 ne m’inquiète pas vraiment.
je vais me contenterais de vérifier que ICM correspond bien a la RC arpès avoir corrigé les prématurité.

- pour la class II squeletique : regardé la photo de profile et la céphalometrie latéral, le profile de la patient n'est pas vraiment ce que je qualifierait de Class II.
Elle est plutôt Class III avec les compensation dentaire associé (proclination des incisives sup et rétroclination des incisives inf).

Due a la prématurité, la mandibule fait une rotation postérieur simulant une class II mais ça c'est un problème dentaire pas squelettique.

- Pour la class II dentaire voir explication au dessus.

Conclusion: c'est un cas qui peut paraitre impressionnant mais qui est relativement simple en faite. Même pas besoin d'étre ortho.
Comment corrigé une "class II" squelette avec une petite équilibration occlusale
--
หมอจัดฟัน


1309531 ours brun n5iukf - Eugenol
seespan

18/02/2013 à 13h48

@BJC

Pour tous ce qui est problème ATM ce sera vue par le service d'ATM si il y a besoin.

Encore une fois ce cas semble impressionnant mais c'est du a la localisation de la prématurité.
Pour un IRM c'est en effet un examen de choix mais seulement pour l'examen du disque articulaire et ne se demande normalement qu'après des examen plus basique.

Cette patient n'a ni douleurs, ni gène de la ne fonction.
Voir que le seul problème a l'heure actuelle est le décalage RC ICM, mais ça du point de vue de la patiente c'est mon problème pas le sien.

---
หมอจัดฟัน


1 p3qrc4 - Eugenol
Bjc.

18/02/2013 à 15h09

"""Conclusion: c'est un cas qui peut paraitre impressionnant mais qui est relativement simple en faite. Même pas besoin d'étre ortho."""

Pourquoi alors as-tu besoin d’un prof ?
Est-ce que ce prof. a vu le cas au départ ?
Est-ce que ce prof. a suivi les étapes de ta mécanique ?


Conclusion ; on apprend par ses erreurs

@+ Bjc.

P.S. : pas besoin d’un IRM. (pas encore), une Tomo suffit. A la rigueur, un Scan.


1 p3qrc4 - Eugenol
Bjc.

18/02/2013 à 15h36

Ce sont les 7 qui ont égressé,
ou les 6,5,4,3,2,1 qui se sont ingréssées et vestibulées ?

;-)


1309531 ours brun n5iukf - Eugenol
seespan

18/02/2013 à 15h42


Comme dit dans le précédent post, je vous dis ce que je pense de la situation, je doit en discuter avec l'enseignante de une semaine est demi.
Si elle m'explique pourquoi je me met dedans grave je vous tiens au courant.

Pour l'égression des 7 on ingression du reste il n'y a qu'une seul solution possible :-).

Mais ça c'est le sujet d'une autre devinette, un point de mécanique de base en ortho.
--
หมอจัดฟัน


12...