Cookie Consent byPrivacyPolicies.comJ'aime mon boulot / les cas dont vous êtes fiers - Eugenol

J'aime mon boulot / les cas dont vous êtes fiers

Mm goodteeth2 ex0rr1 - Eugenol
Jules

01/10/2013 à 21h21

Patiente de 25 ans, le genre qui montrait plus un seul bout de dent même si elle avait envie de sourire...
L'hygiène a fait l'objet d'un topo et d'un accord clair : si c'était pas impeccable, fin de soins.

Elle ressourit avec ses compos :)

Compos cervicaux okvmki - Eugenol

lary

01/10/2013 à 22h18

Jules,

J'ai un patient en clinique qui présente le même type de lésion carieuse de collet, pourrais tu expliquer succinctement le protocole et quizz de la jonction émail/gencive marginale/composite.
Merci


Nouveau image bitmap fz77zh - Eugenol
Sethef

02/10/2013 à 01h02

Très joli boulot, à condition que le profil d'émergence soit respecté.

Je trouve que le plus dur, dans un cas comme celui là, est l'isolation correcte du champ op. En général, je le fais avec une digue unitaire, mais ce n'est pas toujours possible lorsque les lésions sont infragingivales.

Ce doit être les seuls compos que je sculpte à la fraise: je les réalise souvent en excès large, puis slice en descendant sans complexe dans le sulcus.

Mis à part ça, sur autant de lésions, et aussi avancées, j'ai jamais fait.


denlv35

02/10/2013 à 12h42

petit cas, commencé il y a quelques années.

C'est de l'ortho mais je suis omnipraticien.
Le cas ou j'ai le plus galéré ( classe 3 et surtout 43 incluse ), mais qui m'apporte beaucoup de satisfaction.

fille d'un ami en plus!

Pe 20100202 6925 focot7 - Eugenol
P 20120125 9362 tvmf6s - Eugenol

Mm goodteeth2 ex0rr1 - Eugenol
Jules

02/10/2013 à 14h00

@Lary :
Comme l'a dit Sethef, c'est bien l'isolation des cavités qui pose le plus de problème...
- Détartrages dans les premières séances associés à technique de keyes 15jours pour retrouver une gencive non-inflammatoire.
- Curetage complet sous anesthésie et biseau périphérique au niveau de l'émail.
- Digue posée sur plusieurs dents mais composite réalisé dent par dent en décalant le clamp à chaque fois.

@Sethef :
Effectivement, j'ai toujours peur du devenir de ces compos et surtout de l'inflammation gingivale qu'on peut retrouver si la finition n'est pas top.
Le polissage est réalisé avec fraises diamantées rouges puis jaunes puis meulette silicone CA.
Les limites sont vérifiées à la sonde. Je me satisfais quand elle ne raccroche plus aucune des limites.
Comme toi, sans complexe pour le polissage, ça saigne mais comme le résultat est meilleur la semaine suivante et plus durable...

Ca a été plus compliqué pour la 13, carie trop sous-gingivale pour correctement isoler... Hémostase au bistouri électrique, pose d'un CVI en excès, puis retouche du profil d'émergence à la fraise.
Composite de recouvrement la séance suivante, en repréparant dans le CVI pour coller sur de l'émail en mésial, distal et occlusal.
Le niveau gingival a baissé légèrement ensuite, puis s'est stabilisé, on distingue le CVI sur la photo.



Mm goodteeth2 ex0rr1 - Eugenol
Jules

02/10/2013 à 16h16

Et un nouveau candidat !
Comme la précédente, 25 ans...

 mg 1009 w7muol - Eugenol

41467 100000418256397 4215 n ypxyho - Eugenol
Blette

02/10/2013 à 22h42

un petit cas recent de 22 en grain de riz...

Img 9512 ktbei8 - Eugenol
Img 9866 v5bfiz - Eugenol

41467 100000418256397 4215 n ypxyho - Eugenol
Blette

02/10/2013 à 22h58

rehabilitation esthetique sur une superbe femme de 50 ans, 6 ceram sur zircone, je regrette juste de ne pas avoir fait une petite plastie gingivale sur la 11

Img 4593 etehoi - Eugenol
Img 6056 boeyxw - Eugenol

Img 3657 cwjvqm - Eugenol
alapex

02/10/2013 à 23h47

Ou des facettes ?


youn

03/10/2013 à 02h46

Jules écrivait:
---------------
> Et un nouveau candidat !
> Comme la précédente, 25 ans...

Y'a de l'endo dans ce cas...


Nouveau image bitmap fz77zh - Eugenol
Sethef

03/10/2013 à 18h14

A l'instant, courbure apicale en manuel, ça faisait longtemps que j'avais pas eu besoin d'une lime 15...


Bon, je fais rien de très compliqué en ce moment, mais ce genre de petit truc me fait plaisir.


(et je ne suis pas responsable de la 16 hein)

15 qg07yv - Eugenol

Nouveau image bitmap fz77zh - Eugenol
Sethef

03/10/2013 à 19h54

Et puisque lapin, une autre qui me fait plaisir, pourtant j'ai accumulé les boulettes sur celle-là...

J'attends encore 3 mois pour être certain de la cicatrisation de la 44 en distal avant les définitives, mais ça semble plutôt bien engagé.

44 46 s5mx87 - Eugenol
Pano oxw8hv - Eugenol

01 ukhwbq - Eugenol
ʎqqoq

03/10/2013 à 20h03

Tu bosses avec quel système d'endo? En réciprocité? (rapport à l'utilisation peu fréquente de limes 15)

Si je pouvais m'en passer... ^^


Nouveau image bitmap fz77zh - Eugenol
Sethef

03/10/2013 à 20h23

Protaper et/ou One Shape.

Pas de cathétérisme manuel sauf pour les cas galères, parce que je suis un manche en manuel.

Réciprocité un jour probablement, ça fait quand même de jolies choses. Mais j'ai déjà acheté un moteur d'endo l'année dernière, j'attendrais bien un peu.


Nouveau image bitmap fz77zh - Eugenol
Sethef

04/10/2013 à 00h19

Jules écrivait:
---------------

(.....)
> Ca a été plus compliqué pour la 13, carie trop sous-gingivale pour correctement
> isoler... Hémostase au bistouri électrique, pose d'un CVI en excès, puis
> retouche du profil d'émergence à la fraise.
> Composite de recouvrement la séance suivante, en repréparant dans le CVI pour
> coller sur de l'émail en mésial, distal et occlusal.
> Le niveau gingival a baissé légèrement ensuite, puis s'est stabilisé, on
> distingue le CVI sur la photo.
>
>



Juste pour info, combien de temps passé sur un boulot comme ça? En combien de séances?
J'imagine que j'aurais tendance à le faire secteur par secteur, mais je suis curieux...


Nouveau image bitmap fz77zh - Eugenol
Sethef

04/10/2013 à 11h02

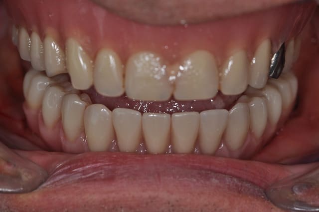
Bon, pour celui-là, vous devrez me croire sur parole, mais j'ai posé un complet haut et bas, sur un mec qui a un peu morflé ces dernières années... Chimio, diabète +++...
J'ai fait un tench...

Et ben mes complets ils tenaient, les 2! Le haut et le bas! Et vous savez quoi, quand ça marche comme ça, j'aime mon boulot, et je suis fier de mes cas.


(j'y mettrais bien 2 locators quand même, faut pas déconner, mais en attendant le résultat était vachement chouette)


dent2669

04/10/2013 à 12h06

Mon premier complet immédiat sur implants fait cette semaine...

Implants posés mercredi matin, bridge posé jeudi matin...

Dsc 0037 clomyw - Eugenol
Dsc 0038 cff4sp - Eugenol
Dsc 0039 n8y16y - Eugenol
Dsc 0040 vdb4vc - Eugenol
Ori h2jjrj - Eugenol

S8ysxdzhdqgw00w4q6m07a5d47q2 - Eugenol
Gai-Luron

04/10/2013 à 12h47

joli.


dent2669

04/10/2013 à 13h01

Gai-Luron écrivait:
-------------------
> marrant, la dent en métal...

Oui, c'est pour rendre le sourire plus "naturel" ;-)

Venez travailler à la campagne, vous n'aurez pas les mêmes standards esthétiques qu'à Paris 16ème !!!

Blague à part, son appareil à 15 ans, il veut la même chose en haut qu'en bas... pas d'os... je suis en train de me creuser la tête pour trouver une solution convenable.


Nouveau image bitmap fz77zh - Eugenol
Sethef

04/10/2013 à 13h25

Chouette boulot, ça va lui changer la vie.


Bazaruto 2007 ircsez - Eugenol
jumpingjackflash

04/10/2013 à 13h33

facettes Emax HT avec Cerec

 mg 7678 jhtry8 - Eugenol
 mg 7706 ndnilo - Eugenol
 mg 7667 o82mnp - Eugenol
 mg 7676 rt9mcv - Eugenol
 mg 7689 trwxb8 - Eugenol
 mg 7730 l92ec8 - Eugenol

RépondreCiter
joséphine

04/10/2013 à 14h00

très chouettes tes facettes.

Dans mon job, c'ets différent, parce que je suis assistante dentaire :)
Mon cas clinique dont je suis la plus fière, c'est mon p'tit Enzo.

hop, c'est dit;)
Bonne journée !

--
http://perlamazing.free.fr/


RépondreCiter
Mm goodteeth2 ex0rr1 - Eugenol
Jules

04/10/2013 à 15h52

Sethef écrivait:
----------------
> Juste pour info, combien de temps passé sur un boulot comme ça? En combien de
> séances?
> J'imagine que j'aurais tendance à le faire secteur par secteur, mais je suis
> curieux...

16h15 !
Pour HBD, retrouver une jolie gencive, bio de 15-17-24-25 et les compos.
Pour ne pas s'éterniser, on a groupé les soins sur des séances de 2h (voire même 3h pour m'occuper de 13 à 23).

Pour faire accepter la durée des séances, j'utilise des optradam pour soulager un peu les ATM, et des concerts pour occuper l'esprit :)


Images jm2g2g - Eugenol
dr_0le

04/10/2013 à 20h43

9 mois de traitement, mais le patient est le plus heureux du monde...
et ça ne fait que 3 semaines !

Photo  1  xfpcgj - Eugenol

gogodancer

04/10/2013 à 21h27

un cas qui me tient à coeur . j'ai pu sauvé toutes les dents après reprise des traitements canalaires et ma prothésiste a pas mal bossé

Agrys avant qpj067 - Eugenol
Photo 019 cr dy4tzg - Eugenol
Photo 446 cr cdjv8w - Eugenol
Photo 447 cr anuc1u - Eugenol
Photo 445 cr xbqinx - Eugenol

123...